癌症种类
癌症相关药物
靶向药临床试验推荐
荣昌生物维迪西妥单抗临床试验..
治疗阶段: 靶点:
华夏英泰GPC3 STAR-T临床试验..
恒瑞源正HRYZ-T101临床试验..
天科雅TC-N201临床试验..
经组织学证实的晚期非小细胞肺癌患者。经研究中心实验室检测证实存在c-Met异常。
治疗阶段: Ⅰ期 靶点: c-MET
评价JMT101在局部晚期或晚期非小细胞肺癌的Ⅰb期临床研究
ALK阳性的非小细胞肺癌患者
治疗阶段: Ⅱ期 靶点: c-MET
评价TQ-B3101胶囊单药治疗ROS1阳性非小细胞肺癌患者疗效和安全性的II期单臂、多中心临床研究
治疗阶段: Ⅱ期 靶点: ROS1
药物资讯
晚期肺癌不再无药可医!NY-ESO-1 TCR-T疗法让多线耐药患者获PR,肿瘤大幅缩小
已有研究证实,NY-ESO-1是安全性与有效性良好的潜在癌症免疫治疗靶点,因此我们选择其作为本研究中T细胞受体工程化T细胞(TCR-T细胞)的理想靶向抗原。...
【TIL疗法免费招募】BEN201注射液终于启动临床!现正急招肺癌患者!
TIL(Tumor Infiltrating Lymphocytes,肿瘤浸润淋巴细胞)是一种从肿瘤组织中分离出的浸润淋巴细胞。...
【ADC双抗免费招募】新一代靶向药BL-B01D1终于启动临床,现正招募肺癌患者!
BL-B01D1是靶向EGFR/HER3的双特异性抗体偶联药物(双抗ADC),一方面可同时靶向EGFR、HER3两个肿瘤相关靶点,从而对EGFR及HER3旁路通路同时进行阻断,同时实现针对EGFR依赖肿瘤的靶向杀伤并有效防止HER3引起的耐药。...
肺癌筛查漏诊率高≠没救!她靠这些手段揪出侵袭性肺癌,早筛成"救命关键"
美国肺癌筛查漏诊率极高——仅35%的人群符合美国预防服务工作组(USPSTF)的筛查标准,而被排除的三分之二人群中,女性和非吸烟者占比明显偏高。...
PD-L1抑制剂新适应症重磅获批!Ⅲ期肺癌福音,中位总生存超3年!
2025年11月24日,阿斯利康PD-L1抑制剂——度伐利尤单抗(Durvalumab,Imfinzi)新适应症获中国国家药品监督管理局(NMPA)批准,适用于接受铂类药物为基础的同步或序贯放化疗后未出现疾病进展,且未携带已知表皮生长因子受体(EGFR)敏感突变或间变性淋巴瘤激酶(ALK)重排的不可切除III期非小细胞......
中位生存超2年!晚期胃癌迎颠覆性突破,DC疫苗联合化疗让应答者生存期提升4倍
《肿瘤学年鉴》报道的一项I/II期临床试验显示,DC疫苗联合挽救性化疗治疗晚期或复发性胃癌,不仅验证了该疗法的可行性,更证实其具备良好的治疗耐受性,这一突破性进展为晚期胃癌治疗开辟了全新路径,让无数深陷困境的难治性胃癌患者重燃长生存希望!...
【放射性核素疗法免费招募】Lu-DOTA-TATE 终于启动临床啦,现正急招胃癌患者!
[177Lu]Lu-DOTA-TATE(镥[177Lu]-氧奥曲肽/镥[177Lu]oxodotreotide,Lutathera)是属于新兴的肽受体放射性核素疗法,是一种Lu-177标记的生长抑素类似物,也就是一种放射性同位素标记的奥曲肽。...
ADC新药在华获突破性认定,胃癌1年生存率超66%+最高90%控病率
据“Onclive”消息,中国国家药品监督管理局药品审评中心近日授予安腾生物的新型靶向Claudin18.2(CLDN18.2)抗体药物偶联物ATG-022突破性疗法认定,用于既往接受过至少两线治疗的CLDN18.2阳性、HER2阴性、不可切除或转移性胃癌或胃食管交界处(GEJ)腺癌的治疗。...
【HER2药物免费招募】新一代靶向药SSGJ-705终于启动临床,现正在招募胃癌患者!
SSGJ-705以PD-1和HER2为靶点,将HER2靶向治疗与免疫治疗相结合。...
肺癌3年生存率翻倍!日本重磅获批Optune Lua®:居家可用的非侵入性抗癌黑科技
2025年9月15日,Novocure宣布日本厚生劳动省(MHLW)批准Optune Lua®,与PD-1/PD-L1抑制剂联用,用于治疗铂类化疗期间或之后进展的不可切除晚期/复发性非小细胞肺癌(NSCLC)成年患者。...
CAR-GPC3 T细胞首次人体临床试验传捷报!肝癌3年存活率超10%
《临床癌症研究》报道了“GPC3靶向CAR-T细胞,治疗晚期GPC3阳性肝细胞癌(HCC)的首次人体临床试验”的振奋数据,不仅证实了该疗法的可行性,还观察到早期抗肿瘤活性,对疾病快速进展和/或高肿瘤负荷患者尤为值得关注。...
肝癌"救命组合拳"!DC疫苗+NK细胞+PD-1抑制剂联手让肿瘤退缩、腹水消失
近期,全球知名期刊《Cureus》报道了一例上述免疫联合疗法的疗效显著案例:该疗法不仅大幅提升了抗肿瘤效果,还成功改善了患者的体能状态与肝储备功能,为这类难治性HCC患者带来了新的治疗希望。...
【CAR-T疗法免费招募】ECT204终于启动临床啦!现正急招肝癌患者!
ECT204是一款靶向GPC3的自体T细胞疗法,用于治疗GPC3阳性肝细胞癌(HCC)。...
【ALK抑制剂免费招募】新一代靶向药WGI-0301终于启动临床,正急招肝癌患者!
WGI-0301(HC0301) 是浙江海昶生物医药技术有限公司以QTsomeTM核酸递送技术包裹的新一代反义核酸AKT-1抑制剂。...
肝癌诊疗新纪元!清华长庚权威专家领衔,原发性肝癌及肝转移癌医患沙龙+公益义诊震撼启幕
为助力深陷肝癌诊疗困境的患者拓宽生存路径、捕捉生命曙光,全球肿瘤医生网携手北京清华长庚医院放疗科,重磅发起「原发性肝癌及肝转移癌医患沙龙+公益义诊」——前沿新药/技术解析+成功抗癌经验+MDT多学科会诊+钇90免费评估,11.22北京线下+多平台直播,为生命续航!...
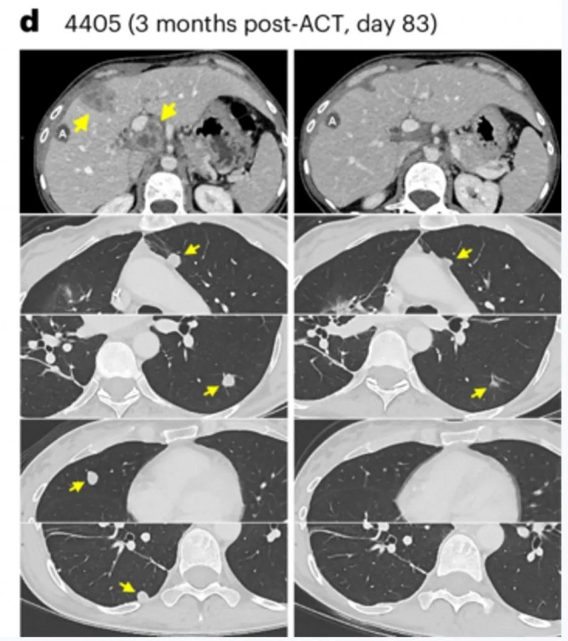
TCR-T疗法交出硬核答卷:多线治疗失败结直肠癌获42.8%客观缓解,多人转移灶消退
转移性结直肠癌患者接受TCR-T治疗后,转移灶显著缩小,病情持续7个月无进展!...
全球首例!肠道菌群三药联合助患者从疗效不佳到病理完全缓解,病灶全缩小
多项研究提示,肠道菌群调节或可改善CRC患者对ICI的耐药问题。...
《Nature》重磅!TCR-T疗法助四成结直肠癌实现客观缓解,1例多处转移灶清零
一位转移性结直肠癌患者经TCR-T治疗后,转移灶显著缩小且7个月未出现疾病进展!这一突破性进展不仅为晚期结直肠癌患者开辟了精准免疫治疗新赛道,更让无数难治性肿瘤患者燃起了长期生存的新希望!...
癌症疫苗让难治性结直肠癌从化疗无效到病灶清零,无癌生存19个月!
针对手术联合化疗后复发或转移的MSS型CRC患者,该研究的初步结果显示,个体化新抗原疫苗治疗具备良好的可行性、安全性及显著免疫活性,有望为MSS型CRC治疗带来重大突破,不仅能延长患者无进展生存期,还能改善治疗效果与生活质量,为这类难治性患者带来了全新希望与治疗选择!...
DC疫苗双线突围:生存期翻倍+54个月无进展,肠癌化疗失败别放弃!
近年研究发现,自体树突状细胞(ADC)癌症疫苗可补充ICB,二者联合或产生协同效应:疫苗能刺激肿瘤抗原特异性细胞毒性T淋巴细胞,特异性识别清除癌细胞,将“冷”肿瘤转化为“热”肿瘤。...
【HER2抑制剂免费招募】新一代靶向药GQ1005终于启动临床,正急招乳腺癌患者!
GQ1005是启德医药基于专有的酶促定点偶联技术和稳定开环连接子技术开发的一款靶向HER2的创新ADC药物。...
生存率超91%!帕妥珠单抗申报上市,HER2阳性乳腺癌有了"生命盾牌"
2025年11月11日,这一迫切需求迎来关键突破——石药集团帕妥珠单抗注射液的上市申请,已正式获中国国家药品监督管理局药品审评中心(CDE)受理,用于治疗HER2阳性乳腺癌。...
绝境中的抗癌曙光!Vγ9Vδ2T 细胞调控疗法潜力爆发,乳腺癌病情显著改善!
《临床实验免疫学》报道的一项I期临床试验结果显示,Vγ9Vδ2T细胞状态与肿瘤进展控制密切相关,这也提示相关联合治疗方案,有望为部分难治性晚期乳腺癌患者提供一种全新、安全且可行的治疗选择。...
刚刚!又一国产HER2 ADC新药获批!乳腺癌客观缓解率超68%
2025年10月17日,科伦博泰研发的一款靶向HER2的ADC药物+——博度曲妥珠单抗,获中国国家药品监督管理局(NMPA)批准上市,用于既往至少接受过一种抗HER2治疗的HER2阳性不可切除或转移性乳腺癌成人患者的治疗。...
【HER2药物免费招募】新一代靶向药TQB2930终于启动临床啦,现正在招募乳腺癌患者!
TQB2930是一种新型的 HER2 靶向药物,与曲妥珠单抗联合使用可实现双靶点协同作用,目前正在针对HER2 阳性复发/转移性乳腺癌患者开展临床招募!...
患者根据自己的条件,
选择合适项目点击下方我要报名
填写个人基本信息,专业人员根据方案对患者进行初步筛,为您匹配适合项目
汇集受试者资源库,
提高试验项目招募效率。
临床招募需求组织和个人可以通过此处发布项目