全球首例!肠道菌群三药联合助患者从疗效不佳到病理完全缓解,病灶全缩小
小编 2025-12-08
全球首例!肠道菌群移植三药联合助患者从疗效不佳到病理完全缓解,病灶全缩小
结直肠癌(CRC)是全球第三大常见恶性肿瘤,仅次于乳腺癌与肺癌。免疫检查点抑制剂(ICI)在晚期或转移性结直肠癌(mCRC)治疗中展现出巨大潜力,尤其对有错配修复缺陷(dMMR)和微卫星不稳定性高(MSI-H)的患者疗效显著;但对于错配修复功能良好(pMMR)、微卫星稳定(MSS)或微卫星不稳定性低(MSI-L)的患者,ICI响应率极低。因此,为这类患者寻找新的治疗策略迫在眉睫。
多项研究提示,肠道菌群调节或可改善CRC患者对ICI的耐药问题。在此基础上,我国研究人员取得突破性进展——《Cureus》期刊报道了全球首例“替雷利珠单抗+贝伐珠单抗+FMT胶囊”联合治疗IV期pMMR/MSS转移性结直肠癌的病例,该方案成功将肿瘤缩小至可根治性手术范围,最终实现病理完全缓解(pCR)!
全球首例!粪菌移植联合替雷利珠单抗+贝伐珠单抗三管齐下,助晚期结直肠癌患者病灶全缩小,肿瘤标志物骤降
该患者是一位57岁中国男性,确诊为升结肠错配修复充分(pMMR)晚期转移性结直肠癌(mCRC),伴继发性肝脏恶性肿瘤,近半个月来反复出现腹痛、大便性状异常等症状。基因检测显示KRAS/NRAS/BRAF均为野生型,临床分期为cT4bN2M1b Ⅳb期。
患者先后接受三次治疗:首次入组Ⅱ期临床试验,采用CPGJ602+mFOLFOX6(奥沙利铂+氟尿嘧啶+亚叶酸钙)方案,疗效不佳;随后改为贝伐单抗联合FOLFOXIRI(奥沙利铂+伊立替康+亚叶酸钙)方案,完成3个周期后CT评估达部分缓解(PR),但因高强度化疗引发消化道反应、骨髓抑制等严重副作用,患者拒绝继续该方案,且病情暂不适合根治性手术,最终接受第三次治疗——口服肠道菌群胶囊联合替雷利珠单抗+贝伐单抗。治疗后疗效显著,结果显示如下:
1、肿瘤标志物大幅下降:癌胚抗原(CEA)从入院时的30.1μg/L骤降至4.3μg/L,CA19-9从62.64kU/L降至23.97kU/L。
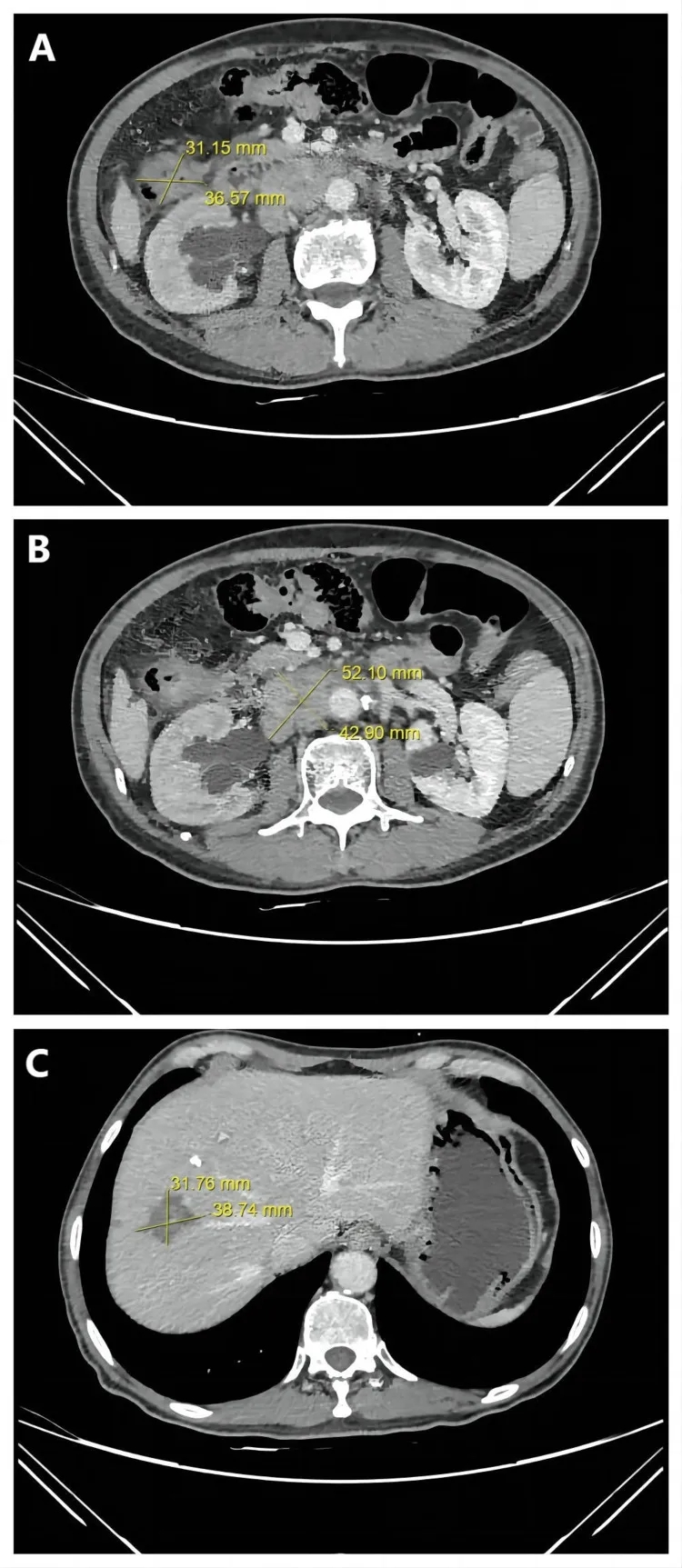
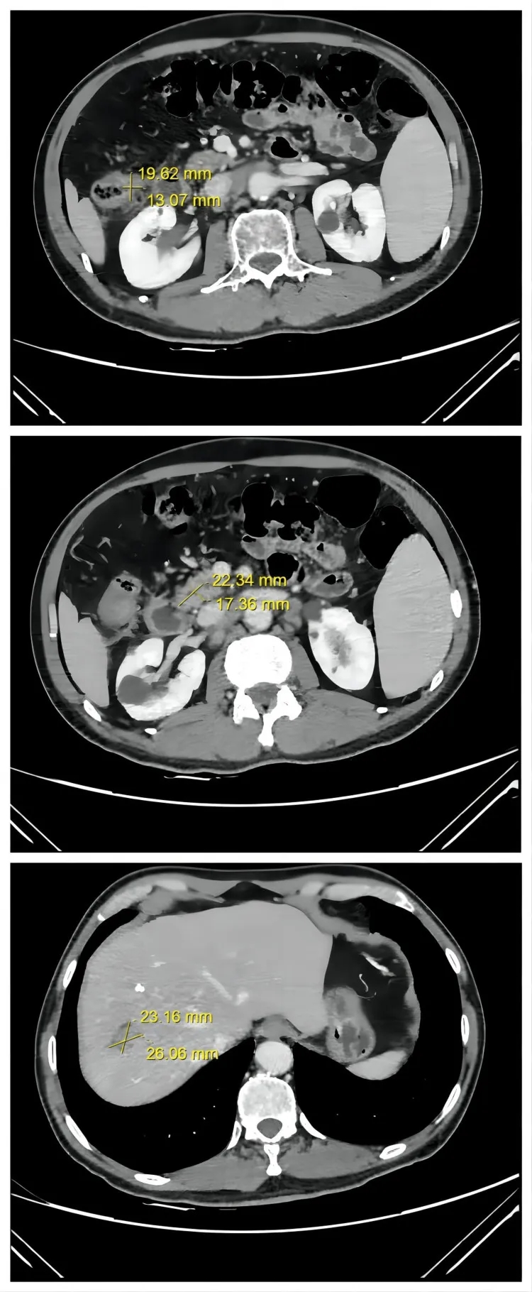
2、病灶全面缩小并达PR:相较于第二次治疗后“结肠及淋巴结病灶缩小、肝转移灶无变化”的情况,此次所有病灶均明显缩小——CT显示结肠肿瘤从3.7cm×3.1cm缩小至2.1cm×1.7cm,腹膜后淋巴结转移灶从5.2cm×4.3cm缩小至2.3cm×1.4cm,肝脏肿瘤从3.9cm×3.2cm缩小至2.9cm×2.3cm(详见下图)。肿瘤缩小至可手术切除的程度。术后,患者获得病理完全缓解(pCR)。
▼该患者第二次治疗后,腹部轴向CT图像

▲图源“Cureus”,版权归原作者所有,如无意中侵犯了知识产权,请联系我们删除
▼该患者第三次治疗后,腹部轴向CT图像

▲图源“Cureus”,版权归原作者所有,如无意中侵犯了知识产权,请联系我们删除
益生菌的前世今生,开启全新抗癌模式
肠道中的天然菌群大部分由益生菌构成,其中乳酸菌较为常见,此外还涵盖肠球菌、迷走球菌、魏斯氏菌、明乳球菌、链球菌、四联球菌、双歧杆菌、肉杆菌、酒球菌、片球菌、乳杆菌、大肠杆菌以及酵母菌等。需要注意的是,同一物种的细菌并非都具备相同特性,且可能会对生物体产生不同影响,而且并非所有菌株都属于益生菌范畴。
益生菌是一类“活的、非病原性微生物”,在适量摄入的情况下,可为宿主提供多种有益影响。早在益生菌被明确认知之前,奶酪、面包、葡萄酒、啤酒等发酵产品就因其具备营养和治疗功效而被广泛应用。
早期对于益生菌的研究,主要聚焦于其作为食品或膳食补充剂时所发挥的营养作用。然而,近期的研究重点则转向了益生菌在医学和治疗领域的功能,其中在癌症领域的作用尤为突出。益生菌在癌症防治方面的作用广泛,其抗癌作用主要体现在以下三个方面:
1、多项研究显示,益生菌能够提高机体免疫功能,对改善肝癌、肺癌、肾癌、结直肠癌等多种癌种的预后具有积极意义,有望成为癌症和免疫治疗领域的热门研究方向之一。
2、微生物群可参与多种癌症的致癌进程,妇科癌症便是其中之一。以宫颈癌为例,菌群失调已被证实会通过影响人乳头瘤病毒(HPV)的感染、清除及持续状态,进而影响HPV感染情况,同时还会通过改变TGFβ1等免疫系统蛋白的水平,对宿主免疫反应产生影响。
3、益生菌还可用作辅助药剂,以增强或调节其他诊断和治疗手段的效果。例如,全身化疗常引发腹泻这一副作用。研究表明,益生菌丁酸梭菌能够减轻肺癌患者因化疗导致的腹泻症状,同时缓解全身炎症反应。
小编寄语
在癌症治疗的漫漫征程中,积极调节肠道菌群已然强势崛起,成为继癌症疫苗、免疫细胞疗法之后的又一“抗癌新星”。肠道菌群作为人体内部生态的关键“守护者”,与癌症防治紧密交织,恰似为抗癌之战精心构筑的一道 “隐形防线”。通过科学有效的调节举措,不仅能为患者的整体健康状况筑牢根基、添砖加瓦,更能显著提升抗癌及免疫治疗的 “战斗力”,巧妙化解手术与放化疗带来的诸多副作用 “难题”,宛如在荆棘满布的抗癌路上,铺就一条更为平坦、顺遂的通途,小编也希望未来能实现“无痛抗癌”的美好愿景。
但小编温馨提示,癌症患者由于疾病的高度复杂性,建议在专业营养师或有执照的医疗保健人员的指导下,选择私人订制版个体化益生菌,这类益生菌是根据不同病种筛选出的特定菌种组成,可针对患者的自身病情,辅助肠道建立优势菌种架构,并能排除毒素和有害菌、重整肠道环境,从而促进疾病显著改善,以达到预期的应答水平。《柳叶刀》也曾指出“个体化益生菌群可能是未来癌症免疫治疗的策略”。想了解定制益生菌更多内容或寻求益生菌帮助的患者,可通过医学部,咨询权威的营养专家。
参考资料
[1]Cheng X,et al.Shen T. Successful Treatment of pMMR MSS IVB Colorectal Cancer Using Anti-VEGF and Anti-PD-1 Therapy in Combination of Gut Microbiota Transplantation: A Case Report. Cureus. 2023 Jul 24;15(7):e42347.
https://pmc.ncbi.nlm.nih.gov/articles/PMC10445052/







