2025八大TCR-T重磅突破,横扫肝癌/肠癌/胰腺癌等六大癌种,100%控病率+3倍生存期
小编 2026-01-06
2026八大TCRT细胞疗法重磅突破,横扫肝癌/肠癌/胰腺癌等六大癌种,100%控病率+3倍生存期
抗癌路上,新药与新技术的研发从未停歇,每一项突破都在为生命点亮新的希望!作为极具潜力的新型免疫治疗方式,TCR-T疗法能精准识别并清除携带特定驱动突变(如KRASG12V)的肿瘤细胞,以个体化治疗为实体瘤精准医疗注入重要力量。
值得欣慰的是,2025年这一疗法在多个癌种治疗中迎来突破性进展。值此岁末之际,小编将为大家盘点2025年TCR-T疗法的关键进展,为抗癌之路提供实用参考,更坚定大家战胜癌症的信心!
2025八大TCR-T疗法重磅进展,横扫黑色素瘤/肉瘤/肝癌/肠癌/胰腺癌等六大癌种
IMA203:首次I期临床曝光,黑色素瘤/肉瘤总缓解率达52.5%
IMA203是一款靶向HLA-A02:01呈递的PRAME抗原的TCR-T疗法,用于治疗HLA-A02⁺PRAME⁺复发性/难治性实体瘤(含黑色素瘤、肉瘤等)。2025《Nature Medicine》报道其首次I期临床数据:40例患者总缓解率52.5%,高剂量组达70%。

▲图源“nature medicine”,版权归原作者所有,如无意中侵犯了知识产权,请联系我们删除
此外,2024年黑色素瘤研究学会大会公布的1b期更新数据中,1例51岁男性皮肤黑色素瘤患者(A-DL4-03)获持续完全缓解(CR)超2年。
该患者有13年病史,经达拉非尼+曲美替尼等5线治疗失败,入组时颈部23mm靶病灶伴盆腔骨骼、肺部转移。接受IMA203治疗后,按RECIST1.1标准评估,24个月内持续无进展,病灶缩小78.3%;治疗15个月PET成像提示代谢CR,截至数据截止时,缓解持续超2年(详见下图)。

▲图源“nature medicine”,版权归原作者所有,如无意中侵犯了知识产权,请联系我们删除
FAST-TIL(HS-IT101):黑色素瘤DCR达100%
2025年11月17日,华赛伯曼国研新型TIL疗法FAST-TIL(HS-IT101)获国家药监局CDE批准开展晚期黑色素瘤关键II期临床试验,成为国研TIL疗法领域重大里程碑!
此前2025 ESMO年会首次全球公布其I期黑色素瘤临床数据,引发广泛关注:截至2025年10月,10例完成治疗并至少1次肿瘤评估的受试者中,4例确认缓解(1例CR+3例PR),客观缓解率(ORR)40%,疾病控制率(DCR)更是高达100%;中位随访5个月,中位无进展生存期(mPFS)仍未达到,显著优于美国已上市同类产品AMTAGVI(ORR31.4%、mPFS4.2个月)。这一突破彰显国研免疫疗法硬核实力,为晚期黑色素瘤患者带来新希望!
▼黑色素瘤受试者FAST-TIL(HS-IT101)治疗后靶病灶总和(SOD)变化

▲图源“华赛伯曼官微”,版权归原作者所有,如无意中侵犯了知识产权,请联系我们删除
BNT221:黑色素瘤大幅消退20%
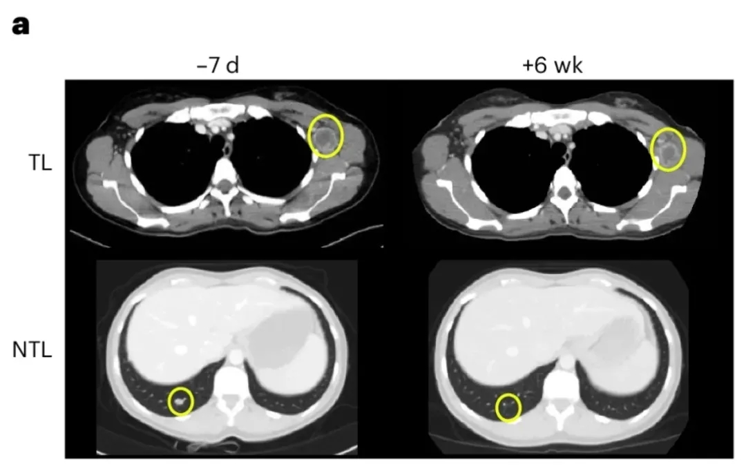
BNT221是基于外周血开发的个性化新抗原特异性自体T细胞疗法。2025年1月3日,《Nature Medicine》发表其1期临床研究(NCT04625205)振奋数据:针对ICB耐药的不可切除/转移性黑色素瘤患者,经6周治疗,肿瘤最大消退幅度达20%。
该研究入组9例患者,3例接受DL1剂量、6例接受DL2剂量治疗。结果显示:6例达病情稳定(SD),其中4例(NAC03、NAC07、NAC08、NAC09)经RECIST1.1评估肿瘤消退达20%;2例(NAC08、NAC09)自述患肢水肿减轻、活动范围扩大、日常生活能力提升。
▼基于RECIST1.1的临床反应瀑布图

▲图源“Nature Medicine”,版权归原作者所有,如无意中侵犯了知识产权,请联系我们删除
尤为值得关注的是NAC09号患者,其疗效最为突出:治疗6周后CT显示,左腋窝靶病变缩小20%,继发性腋窝淋巴结及毫米级肺转移灶等非靶病变显著缩小(详见下图)。
▼NAC09号患者治疗前后CT扫描对比

▲图源“Nature Medicine”,版权归原作者所有,如无意中侵犯了知识产权,请联系我们删除
SCG101:全球首个针对HBV相关肝细胞癌的TCR-T
SCG101是全球首个针对HBV相关肝细胞癌(HBV-HCC)、可同时实现病毒清除与肿瘤消退的TCR-T疗法。2025年《肝病学》报道了其针对HBV相关HCC的临床研究(NCT05339321),展现出显著的抗病毒/抗肿瘤活性及良好安全性。
结果显示:客观缓解率(ORR)33.3%,疾病控制率(DCR)66.7%。按mRECIST标准评估,3例肿瘤缩小(最佳缩小率-19.5%~-100%),其中1例完全缓解(CR,PFS达27个月)、2例部分缓解(PR,缓解持续8.0个月~≥9.5个月,详见下图C),2例病情稳定。中位无进展生存(PFS)12.8周,1例PFS超2年(详见下图D),2例存活超2年。ST1301患者肺部靶病灶输注18个月后显著退缩,伴SCG101 T细胞重现,印证疗法持久活性。


▲图源“BMJ”,版权归原作者所有,如无意中侵犯了知识产权,请联系我们删除
Liocyx-M004:全球首创获FDA认可,晚期肝癌总生存期延长3倍
Liocyx-M004是全球首个针对HBV相关肝细胞癌的mRNA编码TCR-T疗法,也是首个获美国FDAIND批准、首个纳入快速通道的HBV病毒抗原靶向TCR-T疗法。2025年2月11日,该疗法获FDA批准启动国际多中心2期临床试验。
其早期临床试验(NCT03899415)成果显著:入组8例不可切除HBV相关HCC患者,7例可评估疗效。其中3例达病情稳定(SD),持续3.0~9.5个月;患者中位总生存期达33.57个月,是FDA批准一线药物索拉非尼(10.7个月)的3倍多。该研究随访47.9个月,数据截止时4例患者仍存活。

▲图源“LIONTCR”,版权归原作者所有,如无意中侵犯了知识产权,请联系我们删除
值得关注的是,其中1例患者疗效尤为突出:该患者第二剂输注后,肿瘤缩小同时出现ALT、GGT、AST及胆红素短暂3级升高,提示疗法具有明确靶向效应,且肝脏肿瘤显著缩小超30%,持续30个月(详见下图)。

▲图源“LIONTCR”,版权归原作者所有,如无意中侵犯了知识产权,请联系我们删除
ADP-A2AFP:首个人体试验,难治性肝细胞癌DCR达66.7%,最长生存超5年
ADP-A2AFP是一款靶向甲胎蛋白(AFP)的亲和力增强型自体TCR-T疗法,也是首个用于晚期难治性肝细胞癌(HCC)评估的TCR-T疗法。
《肝病学杂志》公布其I期首次人体临床试验(NCT03132792)振奋数据:21例AFP阳性HCC或其他肿瘤患者(不适合移植/手术),经环磷酰胺+氟达拉滨淋巴清除预处理后输注ADP-A2AFP。
结果显示:总体反应率(ORR)9.5%,疾病控制率(DCR)达66.7%。含1例完全缓解(CR)、1例部分缓解(PR)、12例病情稳定(SD),缓解者均为HCC患者;14例SD持续6.7~73.0周,8例≥16周(详见图1)。值得一提的是,其中1例患者首次输注后随访约5年仍存活。

▲图源“Journal of hepatology”,版权归原作者所有,如无意中侵犯了知识产权,请联系我们删除
好消息是,目前国内多家癌症中心启动TCR-T疗法的临床试验,主要针对肺鳞癌、卵巢癌、三阴乳腺癌、滑膜肉瘤、黑色素瘤、食管癌、肝癌等多癌种,进行临床招募。
做过基因检测的病友可以拿出报告看看,一旦存在上述癌症种类或突变,可联系医学部,进行初步评估,看不懂报告检测的病友,也可以致电医学部详细阅读。
NW-301V TCR-T:破冰KRAS"不可成药"靶点!首个人体I期临床,结直肠癌/胰腺癌ORR达42.9%
NW-301V是一款靶向KRASG12V突变的新型自体TCR-T疗法,基于自然选择TCR转导,可特异性识别HLA-A11:01呈递的KRASp.G12V新抗原,且T细胞共表达CD8αβ共受体以强化功能。
2025年ESMO大会公布其研究者发起的首个人体I期临床初步结果:14例HLA-A11:01+/KRASG12V+不可切除/晚期结直肠癌(CRC)、胰腺癌(PC)患者(无有效治疗选择),接受三种剂量水平治疗。
结果显示:疗法初步疗效良好且耐受性佳:总体客观缓解率(ORR)42.9%;10例接受目标剂量(1.5×10⁹/7.5×10⁹个细胞)患者中,50%达部分缓解(PR)、50%达病情稳定(SD),中位无进展生存期(PFS)为5.8个月。

▲图源“ESMO”,版权归原作者所有,如无意中侵犯了知识产权,请联系我们删除
SCG142:全球首款双基因型"装甲"TCR-T,HPV相关肿瘤DCR达100%
SCG142是星汉德生物研发的全球首款可同时针对HPV16或HPV52两种基因型的TCR-T产品,同时也是全球首个获批临床、采用嵌合开关受体“装甲”的下一代TCR-T产品,能显著提升T细胞在肿瘤免疫抑制微环境下的抗肿瘤活性,用于治疗HPV相关癌症(如宫颈癌等)。
2025年10月,该疗法在ESMO大会公布Ⅰ期临床数据(NCT06544720):7例复发性/转移性晚期癌患者接受治疗后,均实现肿瘤缩小或负荷减轻,疾病控制率(DCR)100%;其中4例(57%)肿瘤缩小超30%(2例确认PR、2例待确认PR)。目前中位随访4.3个月,中位无进展生存期(PFS)及总生存期(OS)尚未达到。

▲图源“SCG”,版权归原作者所有,如无意中侵犯了知识产权,请联系我们删除
小编寄语
随着全球首款TCR-T细胞疗法Afami-cel获批上市,这一新型免疫细胞疗法逐渐崭露头角。2025年,TCR-T疗法在肝癌、结直肠癌、胰腺癌、肺癌等多个实体瘤领域均取得突破性进展。小编也热切期盼,我国首款TCR-T细胞疗法能早日获批上市,让实体瘤患者切实获益!
好消息是,目前我国已有多款在研TCR-T疗法正在招募患者。感兴趣的病友可将近期影像学报告、病理报告、出院小结及治疗经历等资料,提交至医学部,进行初步评估或了解详细的入排标准。
参考资料
[1]Wermke M,et al.Autologous T cell therapy for PRAME+ advanced solid tumors in HLA-A* 02+ patients: a phase 1 trial[J]. Nature Medicine, 2025: 1-10.
https://www.nature.com/articles/s41591-025-03650-6
[2]Jiang Y,et al.1652P A phase I clinical trial of autologous tumor-infiltrating lymphocytes FAST-TIL (HS-IT101) with low-dose IL-2 for the treatment of advanced solid tumors: Subgroup analysis of melanoma[J]. Annals of Oncology, 2025, 36: S979.
https://www.annalsofoncology.org/article/S0923-7534(25)03200-4/fulltext
[3]Borgers J S W,et al.Personalized, autologous neoantigen-specific T cell therapy in metastatic melanoma: a phase 1 trial[J]. Nature Medicine, 2025: 1-13.
https://www.nature.com/articles/s41591-024-03418-4
[4]Wu X,et al.Clinical results of an HBV-specific T-cell receptor-T-cell therapy (SCG101) in patients with HBV-related hepatocellular carcinoma treated in an investigator-initiated, interventional trial[J]. Gut, 2025.
https://gut.bmj.com/content/early/2025/08/21/gutjnl-2025-335456
[5]https://www.liontcr.com/en-blog-posts/lion-tcr-announces-data-presentation-for-its-lead-t-cell-product-liocyx-m-at-easl-digital-liver-cancer-summit-2021
[6]Meyer T,et al.Phase I trial of ADP-A2AFP TCR T-cell therapy in patients with advanced hepatocellular or gastric hepatoid carcinoma[J]. Journal of hepatology, 2025.
https://www.journal-of-hepatology.eu/article/S0168-8278(25)02404-3/fulltext
[7]Bai X, et al. First-in-human phase I study of TCR-T therapy targeting KRAS G12V in metastatic solid tumors. ESMO Congress 2025 -Abstract 1514O
https://cslide.ctimeetingtech.com/esmo2025/attendee/confcal/show/session/126
https://dailyreporter.esmo.org/esmo-congress-2025/immunotherapy/first-in-human-trial-of-a-tcr-t-therapy-targeting-kras-g12v-reports-a-significant-response-rate
[8]Li Y, Ren T,et al.1171P First-in-human clinical result of a novel HPV-specific TCR T cell therapy (SCG142) in patients with recurrent or metastatic HPV16/52-positive carcinoma[J]. Annals of Oncology, 2025, 36: S772.
https://www.annalsofoncology.org/article/S0923-7534(25)02727-9/fulltext







