国研TIL闪耀2025 ESMO-Asia大会:胰腺癌病灶大幅缩小70%,黑色素瘤迎减负新方案
小编 2026-01-06
国研GC101TIL闪耀2025 ESMO-Asia大会:胰腺癌病灶大幅缩小70%,黑色素瘤迎减负新方案
2025年12月5日,全球肿瘤诊疗领域顶级国际学术盛会——欧洲肿瘤内科学会亚洲年会(ESMO-Asia),公布君赛生物“自体天然肿瘤浸润淋巴细胞注射液(GC101TIL)治疗晚期黑色素瘤的关键Ⅱ期临床试验(代号MIZAR-003)”研究方案。
作为全球首个TIL疗法用于后线晚期黑色素瘤治疗的注册性随机对照试验(RCT),该研究将为TIL疗法提供更高等级临床证据支持。
2025 ESMO-Asia:GC101 TIL双癌显效,黑色素瘤免清淋+胰腺癌肝转移病灶"缩水"70%
免疫检查点抑制剂(ICIs)与靶向治疗虽彻底改变晚期(不可切除或转移性)黑色素瘤的治疗格局,但临床仍面临挑战:多数一线ICIs治疗患者一年内疾病进展,40%-65%存在原发性耐药,30%-40%发生继发性耐药。而近年研究发现,TIL疗法对ICIs治疗失败的晚期黑色素瘤患者已显示临床意义疗效,但传统方案需高强度清淋预处理(高剂量环磷酰胺+氟达拉滨)联合大剂量IL-2,不良反应突出。
基于此,君赛生物研发了无需高强度清淋及IL-2联用的GC101TIL疗法,且在先前I期试验中已显示出良好效果。如今其关键II期随机开放标签研究MIZAR-003(NCT04943913),正评估该药对PD-1抗体治疗失败或不耐受黑色素瘤患者的疗效与安全性。

除了黑色素瘤外,GC101在胰腺癌治疗中也获积极进展,君赛生物曾报道过一例“GC101治疗晚期胰腺癌”的振奋案例:该患者是一位晚期胰腺癌男性,术后复发伴肝转移,入组GC101临床试验后,单次回输TIL细胞6周,结果显示:胰头复发病灶从10cm缩至3cm,肝转移病灶完全消失(详见下图),肿瘤标记物恢复正常,截至目前已正常生活超39个月。

▲图源“JUNCELL”,版权归原作者所有,如无意中侵犯了知识产权,请联系我们删除
TIL联合伊匹木单抗暴击黑色素瘤,ORR达38%,一例完全缓解超4年
除了GC101外,TIL疗法治疗黑色素瘤的效果早就有迹可循,且可与其他疗法联合应用。《癌症免疫和免疫疗法》就曾报道过一项“TIL+伊匹木单抗联合治疗转移性黑色素瘤”的临床研究:入组13例患者,术前2周起接受伊匹木单抗治疗,术后1周复治,TIL输注后2周、5周再予伊匹木单抗,后续联合IL-2。12例完成TIL输注(中位数6.5×10¹⁰)。
结果显示:12周客观缓解率(ORR)38%(5例部分缓解),其中4例持续缓解34-46个月以上,1例52个月时达完全缓解(持续至53个月);中位无进展生存期(PFS)7.3个月(95%CI:6.13–29.9个月,详见下图B),中位总生存期在35个月随访期内未达(详见下图A)。9例(75%)靶病灶缩小,联合方案可行且耐受性良好,为后续研究提供借鉴。

▲图源“BMJ”,版权归原作者所有,如无意中侵犯了知识产权,请联系我们删除
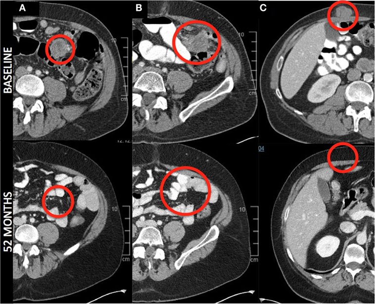
值得一提的是,其中一例完全缓解患者,经TIL+伊匹木单抗联合治疗后,肠系膜(详见下图A、B)和腹壁(详见下图C)的病灶完全消退,所有其他病灶(肝脏和后腹壁,图中未显示)也完全消失。

▲图源“BMJ”,版权归原作者所有,如无意中侵犯了知识产权,请联系我们删除
小编寄语
TIL疗法自1988年初次尝试用于临床以来,已有30多年的发展历程,凭借其独特的优势,在黑色素瘤、肺癌、宫颈癌、乳腺癌、头颈部肿瘤等多种实体瘤领域,取得了显著的疗效,是当之无愧的实体瘤“大杀器”!
不过,癌症作为一种高度突变且极度复杂的疾病,很难仅靠单一治疗手段达到预期效果。目前仍以手术、放化疗等传统治疗手段为主。在此基础上,存在TIL细胞制备条件的患者,可在初次手术及放化疗前,及时冻存TIL细胞,用于后续治疗,以预防复发/转移,或在癌症晚期其他措施束手无策时,作为末线补救措施,为患者赢得“一线生机”。想寻求TILs疗法或国内外其他抗癌新技术(如CAR-T、TCR-T、NK细胞疗法等)帮助的患者,可将近期病理报告、治疗经历等资料,提交至医学部,进行初步评估。
参考资料
[1]Mullinax J E,et al.Combination of ipilimumab and adoptive cell therapy with tumor-infiltrating lymphocytes for patients with metastatic melanoma[J]. Frontiers in oncology, 2018, 8: 44.
https://www.frontiersin.org/journals/oncology/articles/10.3389/fonc.2018.00044/full







