靶向MSLN的救命疗法首试告捷!KT032 CAR-T为难治性患者带来10.5个月长期生存+100%控病率
小编 2026-01-06
靶向间皮素(MSLN)的CAR-T疗法KT032为难治性患者带来10.5个月长期生存+100%控病率
KT032是全球首创国研靶向间皮素(MSLN)的CAR-T疗法,采用多链DAP-CAR-T技术路线。在体外细胞杀伤试验与异种移植模型中,该疗法(尤其NKIR截短体与DAP12结合亚型),相比其他DAP12/DAP10/CD3ζ介导的CAR-T,展现更优细胞毒性与肿瘤杀伤能力。
近期《Genome Medicine》报道其首次人体临床试验振奋数据:卵巢癌与间皮瘤患者疾病控制率(DCR)达100%!这一突破不仅彰显了国研CAR-T的硬核实力,更为难治性卵巢癌、间皮瘤患者点亮生存新希望,未来可期!

▲截图源自“springer”
KT032 CAR-T暴击晚期卵巢癌/间皮瘤治疗格局:首次人体临床试验实现100%控病率+10.5个月OS
该研究纳入8例晚期难治性患者(7例卵巢癌、1例间皮瘤),均经至少2线标准治疗(如化疗、靶向药)后复发/进展,且病理确认肿瘤细胞MSLN表达≥15%(KT032精准靶点)。
结果显示:8例患者疾病控制率(DCR)达100%,无快速进展案例,证实CAR-T细胞有效抑制肿瘤;其中2例达部分缓解(PR,肿瘤缩小≥30%),客观缓解率(ORR)达33.3%,4例达疾病稳定(SD,肿瘤未增大或略有缩小),6例肿瘤获有效控制。
此外,生存数据显著优于同类患者预期:中位无进展生存期(PFS)5.5个月,中位总生存期(OS)10.5个月;部分患者治疗后癌抗原125(CA125)水平显著下降,整体有效率远超传统方案。

▲图源“BMC”,版权归原作者所有,如无意中侵犯了知识产权,请联系我们删除
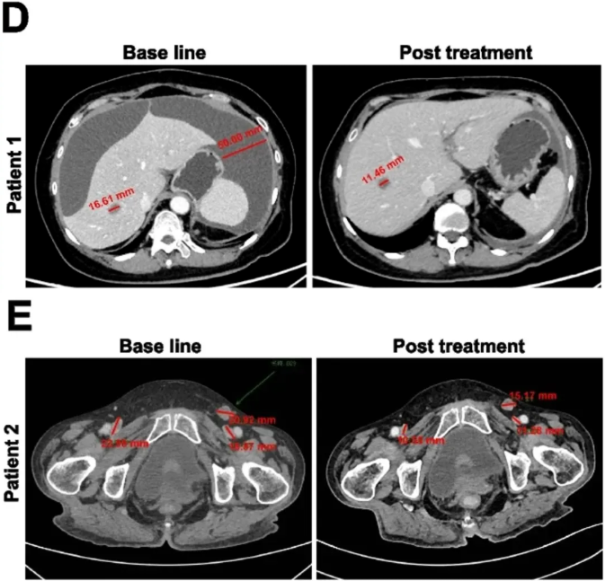
值得一提的是,其中2例患者的疗效尤为亮眼:其中患者1肝转移灶缩小31%,腹腔积液完全消失(详见下图D);患者2可测量病灶总最大直径缩小42%(详见下图E)。

▲图源“BMC”,版权归原作者所有,如无意中侵犯了知识产权,请联系我们删除
小编寄语
CAR-T细胞疗法在血液系统恶性肿瘤的治疗领域已取得突破性进展,众多患者从中受益。令人欣慰的是,近年来全球的研究人员从未停止探索的脚步,持续钻研各种新型策略,致力于降低肿瘤抗原异质性,打破免疫抑制的困境,并在胃癌、脑瘤、胰腺癌、肝癌、结直肠癌等实体瘤领域取得了突破性进展!
好消息是,中国已成功研发出多款针对多款血液肿瘤及实体瘤的CAR-T疗法,并在国内多家知名癌症中心启动临床,想明确自身靶点或寻求CAR-T等新型疗法帮助的患者,可将完整的病理报告、治疗经历等资料,提交至医学部,进行初步评估或了解详细的入排标准。
参考资料
[1]Xu T,et al. Efficacy and safety of novel multiple-chain DAP-CAR-T cells targeting mesothelin in ovarian cancer and mesothelioma: a single-arm, open-label and first-in-human study[J]. Genome medicine, 2024, 16(1): 133.
https://link.springer.com/article/10.1186/s13073-024-01405-5







