国研新型TIL获FDA IND批准!另附2025六大重磅TIL疗法,重创肝癌/肺癌/胰腺癌/肠癌等
小编 2025-12-31
国研TIL疗法GT307获FDA新药临床试验批准,另附2025六大TIL细胞疗法,重创肝癌/肺癌/胰腺癌/肠癌等
2025年12月23日,沙砾生物自主研发的新一代基因敲除型肿瘤浸润淋巴细胞(TIL)产品——GT307注射液,正式获得美国食品药品监督管理局(FDA)的新药临床试验(IND)批准,这一成果标志着中国自主研发的TIL细胞疗法正式迈入美国临床阶段。
作为一类极具前景的过继细胞疗法(ACT),TIL疗法在实体瘤治疗领域展现出显著潜力,其单药治疗联合治疗方案,已为众多患者带来持久的临床缓解与生存获益。除了此次获批的GT307注射液外,2025年国内外已有多款TIL细胞疗法,在脑瘤、黑色素瘤、肺癌、肝癌等多个癌种的治疗领域取得突破性进展。为给深陷癌症困境的患者提供新的治疗方向与选择,小编已第一时间盘点出2025年值得关注的TIL疗法十大里程碑进展,供广大癌友参考,助力大家坚定抗癌信心!
GT307凭双基因敲除+CRISPR,成为全球首个冷肿瘤有效TIL产品
GT307是一款基于CRISPR基因编辑技术的下一代双基因敲除型TIL产品,旨在解决传统TIL在肿瘤微环境中易发生功能耗竭、持续性不足等关键瓶颈问题。依托沙砾生物自主研发的ImmuTFinder®高通量免疫调控靶点筛选平台,团队系统性发现并鉴定了抑制TIL抗肿瘤功能的关键免疫调控因子,通过CRISPR技术对其实现精准敲除,从而显著增强TIL的抗肿瘤活性与体内持久性。
GT307作为全球唯一在冷肿瘤中呈现疗效读出的TIL产品,验证了其创新靶点选择与产品策略的临床可行性,奠定了在实体瘤TIL领域的差异化竞争优势。目前,GT307的中国IND申请正积极推进中,未来将依托中美双临床研究平台,加速开展其在多种晚期或转移性实体瘤中的临床研究,为更多肿瘤患者提供具有突破潜力的细胞治疗方案。

2025 TIL疗法六大突破性进展,横扫脑瘤、胰腺癌、肝癌、黑色素瘤、肠癌等
GC101:肺癌DCR超66%,胰腺癌肝转移灶消失,脑瘤缓解超1.4年
GC101是君赛生物自主研发的全球首款无需清淋预处理、无需IL-2注射的天然TIL细胞新药。2025年ESMO-IO大会,首次公布其针对晚期非小细胞肺癌I期临床试验(NCT05417750)的振奋数据:客观缓解率(ORR)达41.7%(5/12,95%CI:15.2-72.3%),疾病控制率(DCR)达66.7%(8/12,95%CI:34.9-90.1%,含5例部分缓解、3例疾病稳定);12个月总生存率高达66.7%(95%CI:33.7-86.0%)。

▲截图源自“ESMO”
除肺癌外,GC101在治疗胰腺癌/脑胶质瘤方面,也有突出表现,两则典型案例进一步印证其抗癌潜力:
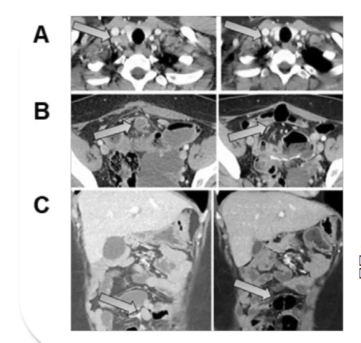
案例1(晚期胰腺癌):一例晚期胰腺癌患者,术后肿瘤复发伴肝内转移,入组接受GC101治疗。单次回输6周后,胰头10cm复发病灶缩至3cm,肝转移灶完全消失,肿瘤标志物恢复正常;后续复查病灶缩至1cm左右(钙化斑,无代谢活性),目前已恢复正常生活超39个月。

▲图源“JUNCELL”,版权归原作者所有,如无意中侵犯了知识产权,请联系我们删除
案例2(Ⅳ级脑胶质瘤):2025年SITC大会上,苏州大学附属第二医院与君赛生物联合公布I期临床试验(NCT04943913)振奋数据:一位确诊恶性程度最高的胶质母细胞瘤亚型的56岁男性患者,术后经Stupp方案、两次CAR-T治疗均失败。2023年末入组临床后,研究人员从其手术标本中制备TIL(T细胞占比99.92%,CD8⁺T细胞占比97.85%),12月完成输注。结果显示:GC101TIL细胞输注4周后,2.8cm复发病灶完全清零,疗效判定为完全缓解(CR);截至2025年6月,患者持续完全缓解超1.4年,已回归正常生活。

▲图源“JUNCELL”,版权归原作者所有,如无意中侵犯了知识产权,请联系我们删除
BST02:全球首个肝癌TIL,疾病控制率达100%
BST02注射液是百吉生物研制的过继性免疫细胞治疗产品,通过扩增患者自身肿瘤浸润淋巴细胞制成,可用于肝细胞癌、胆管癌等各类肝癌的治疗。其原理为:从患者肿瘤组织中采集并富集可特异性识别肿瘤抗原的淋巴细胞,经体外细胞因子诱导实现快速增殖并维持干性,最大限度扩增具有抗肿瘤功能的T细胞后,回输患者体内杀伤肿瘤。
2023年10月26日,BST02获美国FDA批准进入临床试验,成为全球首个针对肝癌的临床阶段TIL产品,也是首个覆盖所有肝癌类型的TIL疗法。
2025年美国临床肿瘤学会(ASCO)大会上,这款疗法公布了突破性数据:在针对中国人群的探索性临床试验(NCT06526832)中,初步结果显示:疾病控制率(DCR)100%(2/2),客观缓解率(ORR)50%(1/2);最佳反应患者的多个病灶持续显著缩小,其中肝脏靶病灶在输注后84天缩小57.1%,门静脉癌栓缩小51.8%。

▲截图源自“ASCO”
GT201:晚期实体瘤ORR超55%,口腔癌患者实现完全缓解
GT201是沙砾生物研发的新型TIL疗法,通过在TIL上表达mbIL-15,实现增强肿瘤微环境(TME)内免疫激活、消除IL-2毒性的双重目标。2025年美国临床肿瘤学会(ASCO)大会上,公布了“治疗标准疗法无效的晚期实体瘤”的I期临床试验的振奋数据。
结果显示:该疗法客观缓解率(ORR)达55.6%(5/9),疾病控制率(DCR)高达77.8%(7/9);其中1例(11.1%)实现完全缓解(CR),4例(44.4%)达到部分缓解(PR),2例(22.2%)为疾病稳定(SD)。尤为值得关注的是,非小细胞肺癌(NSCLC)亚组的3例患者均实现疾病控制(SD≥24周或PR),控制率达100%。

▲截图源自“ASCO”
除ASCO公布的最新数据外,GT201联合PD-1抑制剂治疗晚期头颈部鳞癌的单臂临床研究,也在上海九院取得亮眼成果——首例口腔癌受试者已实现完全缓解。该受试者为61岁男性,2016年因喉癌接受手术及辅助放化疗后治愈,2023年9月确诊口底癌(属头颈部鳞癌,伴下颌骨侵袭及颈部多发淋巴转移)。因手术可能导致严重语言、吞咽功能障碍及外形损伤,患者放弃手术,且多轮化疗、靶向治疗后肿瘤仍快速进展,最终入组接受GT201治疗(配合桥接治疗及后续维持治疗)。
治疗结果显示:TIL输注后仅3周,患者病灶显著缩小达到部分缓解(PR);治疗9周随访时,影像学评估显示所有病灶完全消失,成功实现完全缓解(CR)(详见下图)。

▲图源“上海九院官网”,版权归原作者所有,如无意中侵犯了知识产权,请联系我们删除
Lifileucel:31%黑色素瘤患者一次治疗缓解超5年,肺癌疾病控制率高达71.8%
Lifileucel是一款肿瘤浸润淋巴细胞(TIL)疗法。2025年美国临床肿瘤学会(ASCO)大会公布了其针对153例晚期黑色素瘤患者的II期C-144-01临床研究(NCT02360579)五年随访数据,证实该疗法作为一次性治疗具备持久疗效。
具体数据显示:客观缓解率(ORR)达31.4%,其中完全缓解率(CR)为5.9%(9/153),部分缓解率(PR)为25.5%(39/153);79.3%(111/140)的患者肿瘤负荷减轻。在缓解者中,31.3%(15/48)完成5年评估并持续保持缓解,经独立评审委员会(IRC)评估的中位缓解持续时间长达36.5个月(95%CI:8.3~未达到,详见下图)。总体人群的中位总生存期(OS)为13.9个月(95%CI:10.6~17.8),5年总生存率达19.7%。

▲图源“JCO”,版权归原作者所有,如无意中侵犯了知识产权,请联系我们删除
除黑色素瘤外,Lifileucel在肺癌领域也取得突破性进展。2025年11月3日,Iovance官网披露了其针对晚期非鳞状非小细胞肺癌(NSCLC)的II期IOV-LUN-202试验(NCT04614103)中期数据。
结果显示:39例既往接受过治疗的患者接受单次治疗后,按RECISTv1.1标准评估,疾病控制率(DCR)高达71.8%,客观缓解率(ORR)为25.6%(含2例完全缓解、7例部分缓解);经25.4个月随访,中位缓解持续时间尚未达到,较标准治疗多西他赛展现出“前所未有的疗效持久性”。

▲图源“Iovance”,版权归原作者所有,如无意中侵犯了知识产权,请联系我们删除
据悉,该疗法计划于2026年医学会议披露更多试验数据,后续将提交补充生物制品许可申请(BLA)。若进展顺利,2027年下半年有望面向既往接受过治疗的晚期非鳞状NSCLC患者上市,填补临床治疗空白。
好消息是,目前我国有多款TILs疗法的临床试验在招募患者,主要针对黑色素瘤、非小细胞肺癌、肾癌、胆管癌、乳腺癌、输卵管癌、卵巢癌、宫颈癌、尿路上皮癌、头颈部鳞癌、食管鳞癌等多类癌种。想寻求TILs疗法帮助的癌友,可将基因检测报告、近期影像学及病理检查报告、治疗经历等资料,提交至医学部,进行初步评估。
CRISPR-TIL疗法:首次让结直肠癌免疫疗法实现长期生存,一例完全缓解持续21个月
2025年美国癌症研究协会(AACR)年会上,新抗原反应性TIL疗法(CRISPR-TIL)的首例单中心1期临床试验(NCT04426669)振奋数据正式公布,相关成果同步发表于《柳叶刀》。其中1例原本被判定为无法治愈的患者,疗效持续超两年——这一突破不仅改写了未经基因改造TIL疗法的治疗历史,更首次在结直肠癌(CRC)领域证实,免疫疗法可帮助患者实现长期生存。
具体数据显示:50%(6/12)的患者在治疗第28天达到病情稳定(SD),33%(4/12)的患者在第56天仍维持病情稳定;中位无进展生存期(PFS)为57天(25-156天),中位总生存期(OS)为129天(46-290天)。

▲图源“AACR”,版权归原作者所有,如无意中侵犯了知识产权,请联系我们删除
尤为值得关注的是,1例对PD-1/CTLA-4双免疫疗法耐药的微卫星高度不稳定(MSI-H)结直肠癌患者,经治疗后实现完全缓解(CR),且疗效持续超21个月。

▲图源“AACR”,版权归原作者所有,如无意中侵犯了知识产权,请联系我们删除
国研HS-IT101:黑色素瘤DCR达100%
FAST-TIL(HS-IT101)是我国自主研发的创新改良型TIL产品,采用全封闭自动化培养体系,仅需≥0.05g肿瘤组织即可完成制备,生产周期缩短至14天(行业常规周期为22~28天),在大幅提升治疗可及性的同时,进一步扩大了适用人群。
2025年11月17日,华赛伯曼研发的这款国研新型TIL疗法,获国家药监局药审中心(CDE)批准开展晚期黑色素瘤关键II期临床试验,成为我国TIL疗法领域的重大里程碑!
此前,在2025年10月17-21日欧洲肿瘤内科学会(ESMO)年会上,首次公布了FAST-TIL(HS-IT101)联合低剂量IL-2治疗晚期实体瘤的I期临床试验(NCT06342336)黑色素瘤亚组的振奋数据。

▲图源“华赛伯曼官微”,版权归原作者所有,如无意中侵犯了知识产权,请联系我们删除
结果显示:截至2025年10月,10例完成治疗及至少一次肿瘤评估的受试者中,4例确认疾病缓解(含1例完全缓解、3例部分缓解),初始客观缓解率(ORR)达40%,疾病控制率(DCR)更是高达100%;中位随访超5个月时,中位无进展生存期(mPFS)仍未达到,显著优于美国已上市同类产品AMTAGVI(ORR31.4%、mPFS4.2个月)。

▲图源“华赛伯曼官微”,版权归原作者所有,如无意中侵犯了知识产权,请联系我们删除
小编寄语
肿瘤浸润淋巴细胞(TIL)疗法自1988年首次应用于临床以来,已走过30余载的发展历程。相较于其他免疫细胞疗法,TIL疗法独具将患者自身肿瘤组织“变废为宝”的神奇功效,堪称实体瘤治疗领域当之无愧的抗癌黑科技。它既适用于早期癌症患者,可有效预防肿瘤的复发与转移;又能作为晚期患者的挽救性治疗手段,为癌症患者带来一线生机。
值得关注的是,TIL细胞数量会随着肿瘤的进展而逐渐减少,并且在术后接受辅助性治疗(如放疗、化疗)时,不仅癌细胞会受到杀伤,体内的免疫细胞也可能受到影响。因此,建议患者务必珍惜这或许仅有一次的宝贵抗癌机会。在术前应积极与主治医师进行沟通,尽可能地保留新鲜的肿瘤标本组织,并联系专业机构对TIL细胞进行分离和冻存,做到未雨绸缪。
想了解TIL细胞制备/冻存或治疗更多信息的患者,可将治疗经历、近期影像学检查及病理报告等资料,提交至医学部,进行初步评估获了解详细的入排标准。
参考资料
[1]Zhang Y,et al.A phase I study of adoptive tumor-infiltrating lymphocyte (TIL, BST02) therapy in patients with advanced liver cancer[J]. 2025.
https://ascopubs.org/doi/10.1200/JCO.2025.43.16_suppl.e16198
[2]Medina T,et al.Long-Term Efficacy and Safety of Lifileucel Tumor-Infiltrating Lymphocyte Cell Therapy in Patients With Advanced Melanoma: A 5-Year Analysis of the C-144-01 Study[J]. Journal of Clinical Oncology, 2025: JCO-25-00765.
http://ascopubs.org/doi/10.1200/JCO-25-00765
[3]Lou E, Choudhry M S, Starr T K, et al. Targeting the intracellular immune checkpoint CISH with CRISPR-Cas9-edited T cells in patients with metastatic colorectal cancer: a first-in-human, single-centre, phase 1 trial[J]. The Lancet Oncology, 2025, 26(5): 559-570.
https://www.thelancet.com/journals/lanonc/article/PIIS1470-2045(25)00083-X/abstract
[4]Jiang Y,et al.1652P A phase I clinical trial of autologous tumor-infiltrating lymphocytes FAST-TIL (HS-IT101) with low-dose IL-2 for the treatment of advanced solid tumors: Subgroup analysis of melanoma[J]. Annals of Oncology, 2025, 36: S979.
https://www.annalsofoncology.org/article/S0923-7534(25)03200-4/fulltext







