北肿创全球首个!国研CLDN18.2 CAR-T让无进展生存翻倍、死亡风险降30%,更覆盖九大靶点
小编 2025-09-11
北肿创全球首个!国研CLDN18.2 CART细胞疗法帮患者无进展生存翻倍、死亡风险降30%,更覆盖九大靶点
胃癌是中国最令人畏惧的癌症之一,全球近一半的新发胃癌病例及死亡病例均集中于中国。在此背景下,Claudin-18.2(CLDN18.2)已成为胃癌及胃食管交界处癌(G/GEJC)极具潜力的治疗靶点。
2025年6月1日,国际权威学术期刊《柳叶刀》(The Lancet)在线发表了由北京大学肿瘤医院团队主导设计的全球首个针对实体瘤的CAR-T细胞疗法随机对照试验的阳性结果。结果显示,satri-cel不仅能显著改善患者的无进展生存期(PFS),还展现出具有临床意义的总生存期(OS)获益,同时安全性可控,为晚期胃癌患者的新型三线治疗方案提供了有力支持。
这项由中国团队创下的全球突破,不仅打破了实体瘤CAR-T治疗领域的关键瓶颈,更让世界看到了中国在精准免疫治疗领域的硬核实力,为无数走投无路的患者点亮了生命曙光!
《柳叶刀》:全球首个CLDN18.2 CAR-T胃癌临床阳性结果重磅出炉:无进展生存近乎翻倍,死亡风险大降超30%,晚期胃癌三线治疗迎新选择
Satricabtagene autoleucel(satri-cel,又名CT041)是一种靶向CLDN18.2的自体嵌合抗原受体(CAR)T细胞疗法,其1期临床试验已显示出对既往接受过治疗的晚期胃癌或胃食管交界处癌患者的良好疗效。
《柳叶刀》发表的这项北京大学肿瘤医院团队主导的2期关键性试验(CT041-ST-01),共纳入266例CLDN18.2阳性的晚期胃癌或胃食管交界处癌患者,其中156例至少经二线治疗失败的患者被随机分为两组:satri-cel组((104例,接受satri-cel输注)、标准治疗(TPC)组(52例,接受紫杉醇、伊立替康、多西他赛、纳武利尤单抗或阿帕替尼治疗)。基线数据显示,两组患者均接受过至少二线治疗,其中satri-cel组26.9%、TPC组19.2%接受过三线及以上治疗;腹膜转移比例分别为69.2%、59.6%。结果显示如下:
1、在意向治疗人群(ITT)中:基于独立评审委员会(IRC)评估,satri-cel组中位无进展生存期(mPFS)为3.25个月(95%CI:2.86-4.53),显著长于TPC组的1.77个月(95%CI:1.61-2.04)(详见下图),风险比(HR)0.37(95%CI:0.24-0.56),单侧对数秩检验p<0.0001,达到试验主要终点。
此外,satri-cel组在总生存期(OS)方面,展现出明确获益趋势:mOS分别为7.92个月(satri-cel组) vs 5.49个月(TPC组),HR 0.69,95%CI:0.46-1.05;单侧p=0.0416。值得注意的是,即便存在satri-cel组15.4%(16例)未接受细胞输注、TPC组近40%(20例)后续交叉接受satri-cel输注的情况,satri-cel组患者死亡风险仍降低超30%。

▲图源“The Lancet”,版权归原作者所有,如无意中侵犯了知识产权,请联系我们删除
2、在实际用药人群(mITT)中:satri-cel的获益更为显著:两组mPFS分别为4.37个月 vs 1.84个月(HR0.30,95%CI:0.19-0.47);mOS分别为8.61个月 vs 5.49个月(HR0.60,95%CI:0.38-0.94)。此外,TPC组交叉接受satri-cel输注的20例患者mOS达9.20个月;而所有接受过satri-cel输注的患者(共108例)mOS为9.17个月。
综上,satri-cel可显著改善晚期胃癌或胃食管交界处癌患者的无进展生存期,且安全性可控,这为其作为该类患者的新型三线治疗方案提供了有力支撑。
找到实体瘤的"万能钥匙",CAR-T瞄准9大核心靶点
CAR-T细胞治疗在血液系统肿瘤领域已取得突破性进展,多款产品相继获批上市,但在实体瘤治疗中,仍需攻克肿瘤异质性、肿瘤微环境(TME)抑制、靶点特异性不足等核心挑战。其中,靶点选择是实体瘤CAR-T研发的核心环节,理想靶点需满足三大原则:肿瘤细胞高表达、正常组织低表达或不表达、与肿瘤发生发展密切相关。除开篇提及的北肿团队研发的CLDN18.2靶向CAR-T疗法外,目前实体瘤CAR-T领域研究最广泛且成熟的核心靶点还包括HER2、EGFRvIII、GPC3、MSLN等,它们广泛覆盖胃癌、肝癌、结直肠癌、卵巢癌、脑瘤、肺癌、乳腺癌、胰腺癌等高发且难治的实体瘤类型。
01、癌胚抗原(CEA)
癌胚抗原(CEA)是一种特殊糖蛋白,胚胎发育阶段会短暂表达,成年后仅在胃肠道上皮细胞中维持低水平表达;而在多种实体瘤中,它会异常高表达,例如结直肠癌、70%的非小细胞肺癌、50%的乳腺癌,以及胃癌、胰腺癌等。这种“肿瘤高表达、正常组织低表达”的特异性模式,使CEA成为CAR-T细胞治疗的“黄金靶标”——CAR-T细胞可通过识别CEA精准定位癌细胞,实现靶向打击并减少对正常细胞的损伤。
我国曾开展一项针对CEA阳性转移性结直肠癌(CRC)的CEACAR-T细胞疗法I期临床试验(NCT02349724),结果令人振奋:70%的进展期转移性CRC患者病情实现稳定,最长稳定时间超30周(7.5个月)。尤为值得关注的是两例典型病例的疗效:
其中P9-2患者经PET/CT检查显示,肿瘤活动明显减弱、代谢活性显著降低(详见下图B)。

▲图源“Molecular Therapy”,版权归原作者所有,如无意中侵犯了知识产权,请联系我们删除
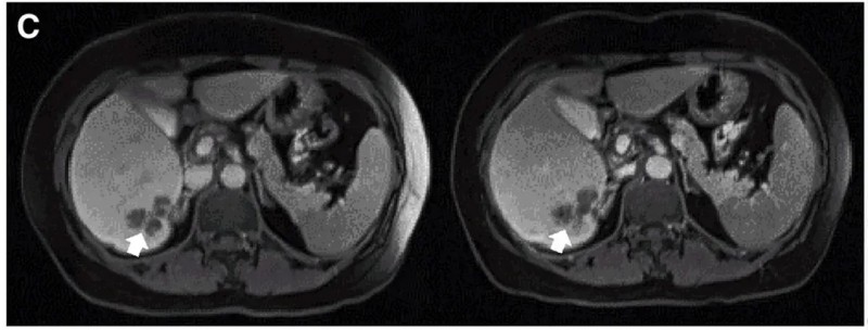
另一例P10患者接受DL4剂量治疗后,MRI检查证实其肝内一处病灶缩小(详见下图C)。

▲图源“Molecular Therapy”,版权归原作者所有,如无意中侵犯了知识产权,请联系我们删除
02、磷脂酰肌醇蛋白聚糖3(GPC3)
GPC3是一种参与细胞增殖、分化、迁移和凋亡的癌胚抗原,在正常组织中几乎未见表达,但在70%~80%的肝细胞癌中高表达,因此被视为精准靶向肝癌细胞的“黄金”靶点。
国际期刊《Cancer Communications》曾报道一则振奋案例:一名54岁男性晚期肝细胞癌(HCC)患者,有乙肝肝硬化史,确诊Ib期HCC后行手术切除,术后6周切缘复发,先后接受1次肝动脉化疗栓塞术(TACE)、2次微波消融术(MWA),但MRI提示病情进展,出现肝脏多灶性病变、下腔静脉癌栓及腹膜后淋巴结转移,后续又接受伽玛刀放射治疗(GKRS)、MWA等挽救治疗,随后入组接受CAR-GPC3T细胞输注。
结果显示:首次输注2周后,腹膜后转移淋巴结开始缩小;最后一次输注7天后,靶病灶进一步缩小7.4%。CAR-GPC3T细胞扩增至峰值时,甲胎蛋白(AFP)从1301ng/mL降至565ng/mL,降幅56.6%,患者7个月内维持疾病稳定(RECIST1.1标准)。2016年6月MRI提示AFP升高、淋巴结增大,患者于7月接受GKRS切除靶病灶,术后AFP恢复正常并持续无癌。截至2023年3月随访,患者在未接受抗癌治疗的情况下,已无病生存超5年、总生存超8年,身体状况良好。

▲图源“Cancer Commun”,版权归原作者所有,如无意中侵犯了知识产权,请联系我们删除
03、表皮生长因子受体变异体Ⅲ(EGFRv III)
“EGFRvIII”即“表皮生长因子受体变体Ⅲ”,是一种胶质母细胞瘤相关特异性抗原。因恶性胶质母细胞瘤(GB)的发病机制与表皮生长因子受体(EGFR)、EGFR变体III(EGFRv III)的过度表达有关,故成为理想治疗靶点。
《新英格兰医学杂志》报道了一则采用靶向野生型EGFR及EGFRv III的CARv3-TEAM-ET细胞治疗复发性胶质母细胞瘤(GBM)的惊艳案例(NCT05660369)。57岁女性患者因数周词汇困难及癫痫发作就诊,MRI示左顶叶强化肿块。开颅术后病理确诊为IDH野生型、MGMT未甲基化GBM,伴EGFRvIII阳性及EGFR拷贝数增加。随后接受放化疗,因血小板减少调低替莫唑胺剂量。确诊6个月后影像学提示肿瘤复发,遂入组研究,再次开颅活检并植入Ommaya储液器,复发组织检测显示EGFRvIII表达缺失。入组后通过脑室内导管接受CARv3-TEAM-ET细胞治疗。
结果显示:输注前MRI可见广泛复发病灶,输注后第5天MRI示肿瘤几乎完全消退(详见下图);治疗后脑脊液细胞外囊泡RNA中EGFRv III及EGFR拷贝数先降低,后均无法检测。

▲图源“N Engl J Med”,版权归原作者所有,如无意中侵犯了知识产权,请联系我们删除
04、间皮素(Mesothelin,MSLN)
间皮素(MSLN)可影响肿瘤细胞的粘附、进展、增殖、存活及化疗耐药性,在间皮瘤、胰腺导管腺癌(PDAC)、肺癌、上皮性卵巢癌、三阴性乳腺癌(TNBC)、子宫癌等多种实体瘤中过度表达,研究证实抗MSLN CAR-T细胞具有强大抗肿瘤活性。
《癌症免疫疗法》曾报道抗MSLN CAR-T治疗晚期卵巢癌的亮眼案例:该研究纳入3例MSLN阳性、化疗难治性转移性卵巢癌患者,既往接受含化疗的挽救治疗,但因疾病进展迅速,遂入组接受抗MSLN CAR-T治疗。
其中两例疗效显著:患者001首次输注后肿瘤显著缩小23%(详见下图)。患者002再次输注后,8个月内肿瘤无进展(病情稳定SD),且无任何毒性反应。

▲图源“Cancer Immunol Immunother.”,版权归原作者所有,如无意中侵犯了知识产权,请联系我们删除
更令人振奋的是,2025年7月8日,上海怡豪生物自研的MSLN-CAR-T注射液(SHYH006)的新药临床试验(IND)申请获中国CDE批准,拟用于治疗复发或难治性MSLN阳性卵巢癌。这标志着CAR-T疗法在实体瘤领域再获突破,为相关患者带来新曙光!
做了基因检测的病友可以拿出报告看看,一旦存在上述突变,可联系医学部,初步评估是否有机会接受国内新药治疗,看不懂的病友也可致电医学部解读报告。
05、人表皮生长因子受体-2(HER2)
HER2(人表皮生长因子受体-2,又称ErbB2)是一种大分子I型跨膜蛋白,属于ErbB受体家族成员,在胰腺癌、乳腺癌、胃癌、非小细胞肺癌、导管癌等多种癌种中存在过度表达。
在HER2-CAR-T细胞的I期临床研究中,11例晚期胰腺癌及胆道癌患者经环磷酰胺联合纳米颗粒白蛋白结合紫杉醇预处理后,接受了1~2个周期的HER2-CAR-T细胞治疗。初步结果显示,治疗4.5个月后,部分患者达到临床部分缓解(PR),另有5例患者实现病情稳定(SD)。
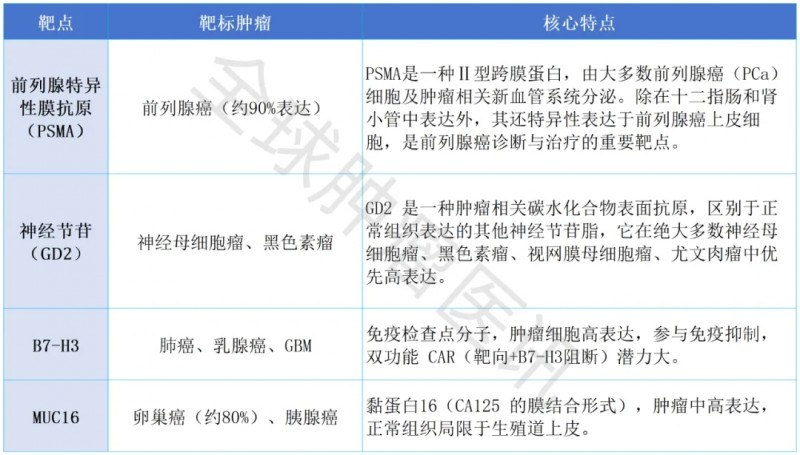
06、其他重要靶点
除上述核心靶点外,以下靶点也在实体瘤CAR-T研究中占据重要地位(详见下表):

小编寄语
时至今日,CAR-T 细胞疗法在血液系统恶性肿瘤的治疗领域已取得突破性进展,众多患者从中受益。令人欣慰的是,近年来全球的研究人员从未停止探索的脚步,持续钻研各种新型策略,致力于降低肿瘤抗原异质性,打破免疫抑制的困境,为癌症患者带来更多希望!
医学部小编也期望随着越来越多明星靶点的涌现、技术的不断革新,CAR-T疗法可以早日突破价格和癌症治疗的瓶颈,造福更多的癌症晚期患者,实现长期带瘤生存、提高生存质量、降低复发风险的美好愿景!想寻求CAR-T、TCR-T、TIL疗法等国内外抗癌新技术帮助的患者,可将病理检查报告、治疗经历、近期影像学检查等资料汇总后,提交至医学部,进行初步评估,或申请国内外抗癌专家会诊。
参考资料
[1]Zhang C,et al.Phase I escalating-dose trial of CAR-T therapy targeting CEA+ metastatic colorectal cancers[J]. Molecular Therapy, 2017, 25(5): 1248-1258.
https://www.cell.com/molecular-therapy-family/molecular-therapy/fulltext/S1525-0016(17)30108-9?returnURL=https%3A%2F%2Flinkinghub.elsevier.com%2Fretrieve%2Fpii%2FS1525001617301089%3Fshowall%3Dtrue
[2]Shi Y,et al.Combined local therapy and CAR-GPC3 T-cell therapy in advanced hepatocellular carcinoma: a proof-of-concept treatment strategy. Cancer Commun (Lond). 2023 Sep;43(9):1064-1068.
https://onlinelibrary.wiley.com/doi/10.1002/cac2.12472
[3]Choi B D,et al.Intraventricular CARv3-TEAM-E T cells in recurrent glioblastoma[J]. New England Journal of Medicine, 2024, 390(14): 1290-1298.
https://www.nejm.org/doi/full/10.1056/NEJMoa2314390
[4]Chen J,et al.Anti-mesothelin CAR-T immunotherapy in patients with ovarian cancer. Cancer Immunol Immunother. 2023 Feb;72(2):409-425. doi: 10.1007/s00262-022-03238-w. Epub 2022 Aug 4. Erratum in: Cancer Immunol Immunother. 2023 Oct;72(10):3401-3403.
https://pmc.ncbi.nlm.nih.gov/articles/PMC10991348/







