重磅!国家药监局批准3种NK细胞疗法,这些癌症患者或许将迎来新的希望
小编 2025-09-09
重磅!国家药监局批准3种NK细胞疗法,这些癌症患者或许将迎来新的希望
近年来,癌症免疫治疗飞速发展,为无数患者带来新的生机。2025年8月,国家药品监督管理局正式批准了三款异体NK细胞注射液,用于肝癌、胃癌、肺癌等多种实体瘤的治疗,标志着我国在细胞治疗领域迈入了崭新的阶段。这不仅印证了田志刚院士关于“NK细胞免疫治疗将成为未来5-10年癌症一线治疗方案”的预言,也为广大晚期患者点亮了前行之路。

一、什么是NK细胞
NK细胞(自然杀伤细胞)源于造血干细胞,属于先天免疫系统中的核心成员,也是人体第三类淋巴细胞。它被誉为人体的“第一道防线”,具备直接识别和杀伤肿瘤细胞的能力,无需提前致敏或抗原呈递,反应迅速且杀伤性强。
与传统治疗相比,NK细胞疗法具有显著优势。放化疗虽能一定程度控制肿瘤,却难以清除微小残留病灶,且易导致免疫功能下降、骨髓抑制等副作用。而NK细胞治疗通过体外扩增并回输高质量免疫细胞,不仅能精准攻击癌细胞,还能调节肿瘤微环境,提升整体免疫力,尤其适合体质较弱、无法耐受传统治疗的患者。

NK细胞攻击癌细胞示意图
二、联合治疗显著提升晚期肝癌疗效,疾病控制率达90%
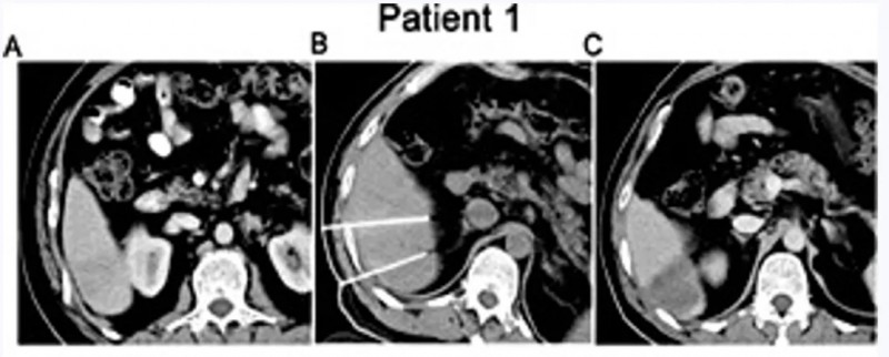
一项发表在《Cellular Physiology and Biochemistry》的研究显示,不可逆电穿孔(IRE)联合同种异体NK细胞治疗IV期肝细胞癌(HCC)具有显著优势。
该研究共纳入40例患者,分为IRE单独治疗组和IRE联合NK细胞组。结果证实,联合治疗组在多个指标上均优于对照组:
- AFP水平显著下降:治疗3个月后,联合组中有11例患者AFP恢复正常;
- 肿瘤体积缩小:联合组肿瘤直径显著小于对照组;
- 疾病控制率(DCR)高达90%,远高于对照组的75%;

- 中位总生存期(OS)延长至10.1个月,相比对照组8.9个月更具优势。

尤其令人振奋的是,有两例患者在联合治疗后达到完全缓解(CR)。一例44岁男性患者,经联合治疗后MRI显示肿瘤无强化,病灶萎缩;另一例52岁女性患者,影像显示肿瘤大面积坏死,疗效持续稳定。


数据来源:Cell Physiol Biochem,医学部汇总
这些结果说明,NK细胞联合局部消融治疗,尤其对于晚期肝癌患者,不仅能有效控制肿瘤进展,还可延长生存期,改善生活质量。
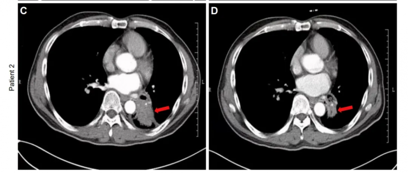
三、NK细胞联合PD-1抑制剂:晚期肺癌治疗"黄金组合"
肺癌尤其是非小细胞肺癌(NSCLC),多数患者确诊时已属晚期,传统化疗效果有限,靶向治疗又面临耐药难题。近年研究发现,NK细胞表面也可表达PD-1分子,这为联合免疫检查点抑制剂提供了理论基础。
一项编号为NCT02843204的临床研究,评估了帕博利珠单抗(PD-1抑制剂)联合NK细胞治疗晚期NSCLC的安全性与有效性。研究纳入109例既往治疗失败、PD-L1表达阳性(TPS≥1%)的患者,分为联合治疗组和单药组。
结果突出:
- 客观缓解率(ORR)提升明显:联合组ORR为36.4%,显著高于单药组的18.5%;
- 中位总生存期(OS)延长2.2个月(15.5个月 vs 13.3个月),且多疗程NK输注患者OS达18.5个月;

- 中位无进展生存(PFS)达6.5个月,优于对照组的4.3个月。

典型病例中,一位68岁女性患者治疗90天后,肺内肿瘤明显缩小;另一例57岁男性患者同样达到部分缓解(PR),肿块显著缩小。


图片来源:JCI,版权归原作者所有
这一方案被誉为晚期肺癌的“黄金组合”,不仅提高客观缓解率,还显著延长患者生存,是免疫联合治疗的重要方向。
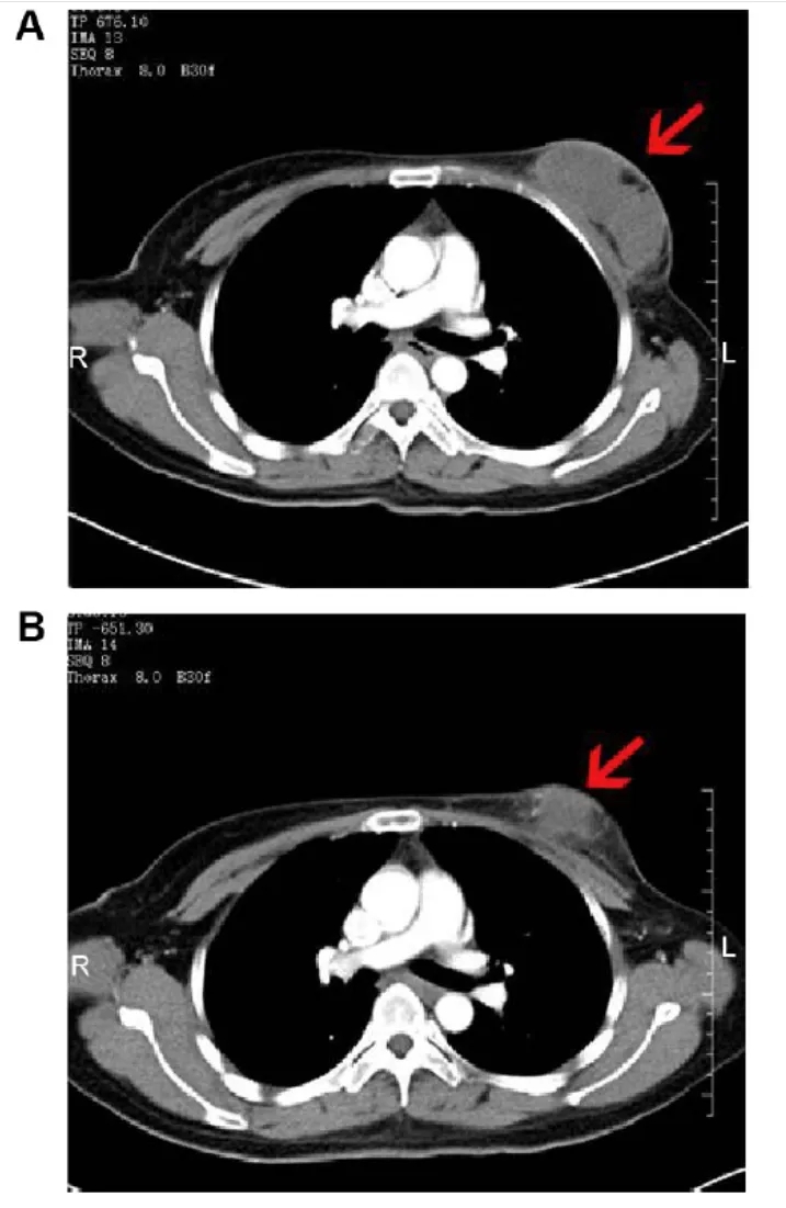
四、胃癌与乳腺癌:长期缓解与复发控制的新选择
NK细胞在胃癌辅助治疗中也表现突出。《Medicine》报道了一例41岁女性晚期胃印戒细胞癌患者,经手术、化疗及NK细胞联合治疗后,实现无病生存46个月(近4年),且生活质量良好,肿瘤标志物持续稳定。

在复发型乳腺癌中,我国开展的首个自体vs异体NK细胞对比试验(NCT02853903)显示,异体NK组临床疗效更优:16.67%达到部分缓解(PR),66.67%疾病稳定(SD),最大肿瘤横径和CT值下降更显著。一例46岁患者治疗2个月后,乳腺肿块与淋巴结均明显缩小。

图片来源:Dovepress,版权归原作者
这些案例说明,无论是实体瘤还是血液肿瘤,NK细胞都展现出良好的应用前景。
五、为什么选择NK细胞疗法
与CAR-T等细胞疗法相比,NK细胞具有以下优势:
- 安全性高:无需基因编辑,副作用小,几乎无细胞因子风暴风险;
- 来源广泛:可使用异体NK细胞,实现“现成”治疗;
- 多重杀伤机制:通过释放穿孔素、颗粒酶直接杀伤,亦可通过抗体介导(ADCC)效应协同作战;
- 调节免疫微环境:抑制肿瘤血管生成,增强T细胞功能。
六、总结
NK细胞疗法作为肿瘤免疫治疗的新支柱,已在肝癌、肺癌、胃癌、乳腺癌等多种癌症中展现出令人鼓舞的疗效。随着更多临床数据的积累和治疗方案的优化,它有望成为未来癌症治疗的核心手段之一。
需要注意的是,NK细胞治疗仍处于不断发展阶段,患者需在专业医师指导下,结合自身病情、病理类型及免疫状态进行全面评估,才能制定真正适合自己的治疗方案。
如果您身边有患者正面临癌症治疗的抉择,希望了解更多关于NK细胞疗法、CAR-NK新技术的应用和适宜性,可以整理好病例资料提交到医学部,评估是否适用。
声明:本文仅作科普交流,不构成任何医疗建议。
参考资料(部分):
1. Alnaggar M, et al. Cell Physiol Biochem. 2018.
2. Jin YY, et al. Medicine. 2021.
3. Liang S, et al. Onco Targets Ther. 2017.







