转移性淋巴结缩小82.3%,疾病控制率73.9%,NK细胞疗法成逆转恶性肿瘤的利器!
小编 2024-05-08
NK细胞治疗肿瘤转移性淋巴结缩小82.3%,疾病控制率73.9%
美国生物学家乔治▪戴利曾言道:“如果说20世纪是药物治疗时代,那么21世纪就是细胞治疗的时代!”随着CAR-T细胞疗法、TCR-T疗法及TIL细胞疗法纷纷成功上市,全球细胞免疫疗法研发的赛道进入白热化,尤其上市的几款疗法的价格普遍在百万级别,昂贵的费用让许多肿瘤患者望而却步。NK细胞具有天然的抗肿瘤能力,能够直接或间接地杀伤肿瘤细胞或抑制肿瘤细胞的生长和增殖,而且具有做成通用型细胞疗法的潜力,在成本上具有极大的优势被寄予厚望。
目前,全球范围内已有多家NK细胞疗法的企业进入临床试验阶段,也有企业进入临床前试验冲刺阶段。在适应症方面,已经不止在肿瘤领域,有企业将适应症拓展到了自身免疫疾病领域。而我国在细胞免疫疗法方面的研发可谓是突飞猛进。根据Frost&Sullivan数据统计显示,中国的细胞免疫治疗产品市场规模预计2021年至2023年由13亿增长至102亿元,复合年增长率为181.5%,并预计将于2030年达到584亿元。未来十年将成为国内细胞治疗产业的增长爆发期。
目前,国内已明确披露的NK/CAR-NK细胞疗法企业有30家左右,例如先博生物的CAR-NK产品SNC103、国健呈诺的抗MSLN CAR-NK疗法ALF101、晨泰生物的NK细胞疗法WU-NK-101等。国内NK细胞疗法赛道在2023年是从临床前阶段突破到临床阶段的一年,2024年以来也已经公布了多项进展,有望延续这个势头,同时尝试更多可能性。近年来,NK细胞疗法在实体瘤方面如胆道癌、肺癌、胃癌、肝癌、肠癌等领域均取得了卓越的成绩。今天无癌家园小编就给各位癌友们详细介绍下。
NK细胞治疗胆道癌
胆管癌是一种起源于胆管上皮细胞的恶性肿瘤,根据解剖部位,胆管癌可分为肝内胆管癌(iCCA)、肝门部胆管癌(pCCA)、远端胆管癌(dCCA)。复旦大学附属中山医学副院长周俭教授指出,肝内胆管癌发病率约占原发性肝脏恶性肿瘤的15~20%,且呈上升趋势。
对于不可切除和转移性胆道癌的主要治疗,全身化疗是标准治疗,顺铂加吉西他滨是首选方案作为一线化疗,然而据报道称总生存期不到一年。此外,目前针对顺铂/吉西他滨难治性患者的有效后续治疗有限,导致晚期胆道癌患者预后不良。因此,迫切需要扩大治疗选择。基于使用免疫检查点抑制剂的显著成功,免疫疗法已成为治疗晚期胆道癌的一种新选择。NK细胞作为一种细胞抗癌疗法更具潜力,它可能会更安全、更便宜、更快速。因此,采用同种异体NK细胞联合PD-1抑制剂(Keytruda)治疗晚期胆道癌被认为是“1+1>2”的新治疗选择。
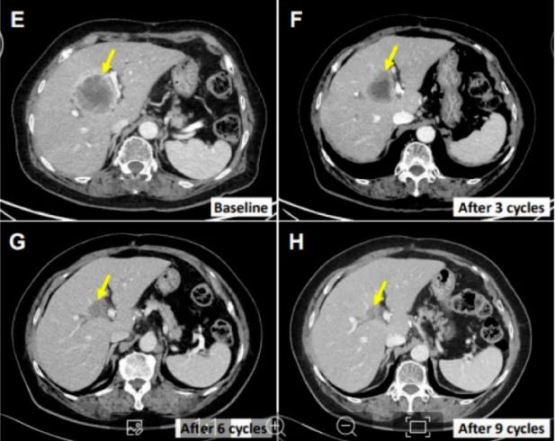
转移性淋巴结缩小82.3%,NK疗法联手PD-1绞杀晚期胆道癌
2022年8月,国际知名医学杂志《CANCERS》上刊登了一项关于晚期胆道癌的联合治疗的临床研究,利用NK细胞与常见免疫检查点抑制剂帕博利珠单抗(Keytruda)联合治疗化疗难治性胆道癌患者的安全性和有效性。该研究结果显示,相较于单一疗法,NK细胞与PD-1抑制剂的联合治疗策略在改善临床疗效方面展现出显著优势。此次研究共招募56例患者(11例患者参加1期试验,45例患者参加2a期试验)。最终6名符合条件的患者参加了1期试验,34名符合条件的患者和1名来自1a期试验的患者被纳入2a期试验。
这些均为年龄≥19岁、组织学确诊为不可切除的晚期胆道癌患者,在接受至少一种化疗方案后病情进展或因明显副作用而无法继续化疗者。在治疗的前两周,换着静脉注射高度活化的异体NK细胞(即SMT-NK),同时于第一周同步接受Keytruda治疗。此后,遵循此三周为一疗程的规律,对患者进行周期性的治疗重复。Ⅰ期和Ⅱa期分别共进行了3个和9个周期的治疗。
研究方案结束时,总的客观缓解率(ORR)为17.4%,按方案进行的客观缓解率均为50.0%。总的疾病控制率为30.4%,按方案进行的为62.5%,综合阳性评分的患者ORR无显著差异。

结合每位患者的最佳反应,疾病控制率高达73.9%,靶病灶与基线相比的最大变化为-82.3%至169%。重要的是,根据RECIST评估,有两例患者的主要靶病灶出现了持续的客观消退。
患者E0107
该例患者为40岁的女性,因胆囊炎接受胆囊切除术后被诊断为胆囊癌伴腹膜癌转移,之前曾接受过包括吉西他滨、顺铂、5-氟尿嘧啶、伊立替康和亚叶酸钙在内的化疗。在接受上述SMT-NK和帕博利珠单抗治疗后,她的转移淋巴结缩小了82.3%,并且在首次治疗18个月后仍无进展。

患者E0217
该例患者为76岁的女性,被诊断为肝外胆管癌,接受了胆总管分段切除和胆囊切除手术。四个月后,她发现了多个肝转移灶,并接受了吉西他滨和顺铂的全身化疗。随后,多处肝脏病变进展。在接受上述SMT-NK和帕博利珠单抗治疗后,她的肝转移病灶缩小了70.4%,并且在初次治疗12个月后仍未出现进展。

研究结果表明,异体NK与K药联合具有较好的安全性和耐受性。患者在治疗中出现的不良反应均与K药的使用有关。并且使用来自健康供体的同种异体NK细胞,没有报告严重的移植物抗宿主病 (GVHD)。与先前报道的K药单药疗法相比,NK细胞联合疗法产生了更高的反应率和更长的无进展生存期(PFS)。这表明肿瘤患者确实可以从NK细胞疗法中获益。
想寻求NK细胞疗法或CAR-NK细胞疗法及其他国内外治疗新技术帮助,且经济条件允许的情况下,患者可以先将病历提交至医学部进行初步评估。
NK细胞治疗非小细胞肺癌
铂类化学疗法一直是晚期非小细胞肺癌的标准一线治疗方案。但是,化学疗法的毒性和副作用会影响患者的身体健康和生活质量,而且治疗效果有限,在过去十年内没有很大的发展。尽管非小细胞肺癌的治疗随着相应突变患者靶向药物的发展而有所改善,但只有一小部分肿瘤存在这些突变,大多数肿瘤对靶向治疗会产生耐药性。
据2019年世界肺癌大会(WCLC)的多项研究成果显示,PD-1/PD-L1抑制剂正在迅速改变晚期非小细胞肺癌患者的生存前景。随着PD-1/PD-L1抑制剂疗法的发展,Keytruda(Pembrolizumab,派姆单抗)单药疗法已替代化学疗法成为非小细胞肺癌患者的一线治疗药物。无论其PD-L1表达状态如何,患者通常会采取派姆单抗联合铂类化疗。
然而,医学研究者并不满足于现今已取得的治疗效果,他们将目光投向自然杀伤细胞(NK)免疫疗法上,并假设PD-1抑制剂联合NK细胞疗法是否能够增强晚期非小细胞肺癌的临床疗效呢?一项国内最新试验研究结果实锤了上述观点。
输注NK细胞后,小细胞肺癌患者的多发转移病灶缩小、消退
2020年2月,一项由广东省蛋白质组学重点实验室姜勇教授团队带领开展的研究,证实了派姆单抗加同种异体NK细胞在先前接受过治疗的晚期NSCLC患者中安全有效。

这项研究的结果非常振奋人心,输注扩增的NK细胞后,患者的NK细胞数量显着增加,抗癌效果倍增。
1.派姆单抗联合NK细胞疗法的治疗效果是单纯采用派姆单抗治疗组近1倍(客观缓解率:36.5% vs 18.5%),并且肿瘤显著缩小。
2.血液中的循环肿瘤细胞显著减少,肿瘤生物标记物下降,这说明NK细胞能够通过靶向血液中的肿瘤细胞清除体内残余的肿瘤细胞,来防止癌症的复发转移,这对于所有的肿瘤患者都是意义重大的。
3.总生存期和无进展生存期显著延长。

此外,公认的循环肿瘤细胞(CTC)减少能够反映NK细胞通过靶向血液中的CTC来防止转移并减轻残余肿瘤负荷。此研究是目前所知的第一个研究派姆单抗和NK细胞输注联合使用的安全性和有效性试验,派姆单抗联合NK细胞在先前接受过治疗的PD-L1+晚期非小细胞肺癌患者中提高了生存率。
该研究结果表明,将抗PD-1或抗PD-L1抗体与NK细胞联合使用可增强抗肿瘤作用,并为先前接受过PD-L1+晚期治疗的非小细胞肺癌患者提供潜在的治疗策略。铂类化学疗法一直是晚期非小细胞肺癌的标准一线治疗方案。但是,化学疗法的毒性和副作用会影响患者的身体健康和生活质量,而且治疗效果有限,在过去十年内没有很大的发展。尽管非小细胞肺癌的治疗随着相应突变患者靶向药物的发展而有所改善,但只有一小部分肿瘤存在这些突变,大多数肿瘤对靶向治疗会产生耐药性。
据2019年世界肺癌大会(WCLC)的多项研究成果显示,PD-1/PD-L1抑制剂正在迅速改变晚期非小细胞肺癌患者的生存前景。随着PD-1/PD-L1抑制剂疗法的发展,Keytruda(Pembrolizumab,派姆单抗)单药疗法已替代化学疗法成为非小细胞肺癌患者的一线治疗药物。无论其PD-L1表达状态如何,患者通常会采取派姆单抗联合铂类化疗。
然而,医学研究者并不满足于现今已取得的治疗效果,他们将目光投向自然杀伤细胞(NK)免疫疗法上,并假设PD-1抑制剂联合NK细胞疗法是否能够增强晚期非小细胞肺癌的临床疗效呢?一项国内最新试验研究结果实锤了上述观点。
NK细胞治疗胃癌
胃癌是全球最常见的恶性肿瘤之一,手术仍然是可手术胃癌患者的主要治疗方法,术后化疗是可切除胃癌治疗的推荐疗法,已在多项研究中显示可改善患者的预后。然而,30%~50%的患者在手术和辅助化疗后5年内复发。其中,印戒细胞癌是一种预后不良的胃癌亚型,如果及早治疗,印戒细胞癌的预后优于其他亚型,然而,晚期印戒细胞癌的预后甚至比未分化腺癌更差。
肿瘤标志物的检测能及时反映肿瘤的发生发展,检测过程方便快捷,灵敏度高。因此,它们一直是肿瘤临床诊断和预后评估中重要的临床辅助检查手段。在可用的肿瘤标志物中、癌胚抗原(CEA)、碳水化合物抗原(CA)19-9和CA72-4广泛用于胃肠道恶性肿瘤患者的随访。这些标志物已被证明可用于胃癌的诊断、治疗和预后。
无癌生存近4年,新型NK疗法针对胃混合印戒细胞癌疗效不容小觑
与其他免疫细胞相比,NK细胞是免疫疗法的有力候选者,而脐带血是NK细胞的主要来源,因此,一篇刊登在《Medicine》上的病例报告就胃混合印戒细胞癌患者采用NK细胞辅助治疗的生存益处进行探讨。
该案例报道的是一名41岁患有胃混合印戒细胞癌患者,他于2015年12月~2016年5月在根治性胃切除术后接受奥沙利铂+替加氟联合化疗6个周期(V1)。治疗后CA72-4水平显著下降(V2)。3个月后(V3),CA72-4水平迅速上升至86.34 U/mL。2016年11月(V4),患者开始接受每年3次的NK细胞治疗。NK细胞治疗后(V4-V8)肿瘤标志物检测和腹部 CT 扫描显示,它正在变得正常且状况良好。
直到2020年9月最后1次随访时,患者在输注NK细胞后46个月保持无病状态!
这是NK细胞辅助治疗联合手术治疗和化疗对晚期胃印戒细胞癌患者的首次证明。治疗决策完全符合患者的选择,更能反映临床实际情况。NK细胞输注联合手术和化疗具有良好的耐受性,在预防胃混合印戒细胞癌复发和延长生存期方面显示出巨大的潜力。
NK细胞治疗肝癌
据研究发现,NK细胞是肝脏先天免疫系统的重要组成部分,占肝内淋巴细胞的30%~50%。在肝细胞癌患者中,NK细胞的数量和功能显著降低,肿瘤浸润NK细胞的减少与晚期肝细胞癌患者的存活率低有关。这也表明肝内NK细胞在肝细胞癌的免疫监视中起着重要作用。
目前,肝动脉输注化疗(HAIC)已被应用于治疗局部晚期肝细胞癌。5-氟尿嘧啶 (5-FU) 和顺铂是肝动脉输注的最常见方案。值得注意的是,据报道,包括5-FU和顺铂在内的化疗药物具有免疫调节作用,可作为NK细胞活性的有效诱导剂。
那么,两种疗法能不能“双剑合璧”,达到“1+1>2”的效果,更高效、更精准地对抗癌细胞呢?事实证明,这种联合疗法是可行的!
生存期超42个月!NK细胞疗法联合肝动脉灌注化疗强强联手
2022年6月2日,发表在国际期刊《frontiersin Immunology》上的一篇文章探讨了关于局部高剂量自体NK细胞联合肝动脉输注化疗(5-FU和顺铂)治疗晚期肝细胞癌患者的疗效及安全性。
此研究共纳入11例局部晚期肝细胞癌患者接受局部高剂量自体NK细胞治疗,其中结节型8例,浸润型3例;7例患者的肿瘤直径>5cm,8例患者有5个以上的肿瘤,5例患者有大血管侵犯。
试验结果显示,在接受2个周期的5-FU和基于顺铂的HAIC作为初始治疗的13例患者中,有11例患者可以评估治疗反应,接受了3剂局部高剂量自体NK细胞治疗。
结果格外喜人,有4例患者获得完全缓解,3例患者达到部分缓解,2例患者病情稳定,客观缓解率为63.6%,疾病控制率为81.8%!

11例患者的治疗效果
当中位随访时间为55.9个月时,所有患者的中位无进展生存期(PFS)为10.3个月,12个月PFS率为36.4%,24个月的PFS率为9.1%。
中位总生存期(OS)为41.6个月,12个月总生存率为72.7%,36个月总生存率为54.5%。
在安全性方面,此项试验中的不良事件均与肝动脉关注化疗相关,与局部NK细胞输注无相关;因此,无论给予何种剂量的自体NK细胞,该治疗通常都具有良好的耐受性。
据了解,这是局部高剂量NK细胞联合肝动脉灌注化疗的首次临床研究,此次的临床试验数据效果较好,且安全性高,不失为标准治疗失败的局部晚期肝细胞癌患者的一种新的治疗选择。
NK细胞治疗前景广阔,CAR-NK疗法厚积薄发
经过几十年的临床研究,世界上已经实现了既增强了NK细胞活性,又成功增加了NK细胞的数量,完成了NK细胞回输体内对抗癌细胞必备的两项基本要求。目前,无论是中国、日本还是美国,NK细胞培养技术都已经非常成熟。
而CAR-NK与CAR-T疗法有异曲同工之妙,将修饰的免疫细胞由T细胞变为NK细胞,而且有越来越多的临床前研究表明CAR-NK细胞在实体瘤治疗方面具有显著的抗瘤能力。
诸多研究证实,CAR-NK疗法在胰腺癌、卵巢癌、结直肠癌、胶质母细胞瘤和神经母细胞瘤、肝癌等实体瘤方面的疗效颇佳,还能特异性识别和高效杀伤乳腺癌肿瘤细胞,对多发性骨髓瘤疗效显著。
总之,小编坚信,在未来将会有越来越多的细胞免疫技术和药物联合使用的试验不断涌现,只要不放弃任何一点希望,攻克癌症指日可待!
参考文献
1.https://www.ncbi.nlm.nih.gov/pmc/articles/PMC9454779/
2.https://www.frontiersin.org/articles/10.3389/fimmu.2022.879452/full
3.https://pubmed.ncbi.nlm.nih.gov/37596831/







