1年生存率翻倍,更便宜高效的CAR-NK疗法横空出世,暴击肺癌、胰腺癌、结直肠癌
小编 2024-05-08
CAR-NK细胞免疫疗法治疗肺癌、胰腺癌、结直肠癌患者生存期翻倍
在癌症免疫治疗领域中,CAR-T、TCR-T、TIL疗法等一直是炙手可热的抗癌选手,作为其中的佼佼者,CAR-T细胞疗法更是在短短几十年内,成为抗癌领域的“新晋明星”,相继有十余款产品获批,在治疗血液肿瘤方面取得了突破性的进展。然而,CAR-T疗法动辄百万的价格,以及靶点的局限性,限制了其在实体瘤领域的应用。
事实上,除了T细胞外,人体中还存在另一种有助于免疫防御的免疫效应细胞,即NK细胞。近年来研究人员更是将NK细胞与CAR工程技术相结合,由此衍生出的CAR-NK细胞疗法已在早期临床试验中展现出惊艳的效果,而且有望填补CAR-T在治疗实体瘤方面的缺憾,剑指胰腺癌、结直肠癌、肺癌等多款实体瘤,加之其“现货型”的属性,大大缩短了治疗时间及成本,有望惠及更多患者!
T细胞、NK细胞与CAR-NK细胞的抗癌大比拼
NK细胞与T细胞抗癌原理PK

▲图源“PeproMene”,版权归原作者所有,如无意中侵犯了知识产权,请联系我们删除
自然杀伤细胞(Nature killer cell,NK细胞)与T细胞同属于淋巴细胞,但NK细胞无需事先激活,即可识别并裂解转化细胞和病毒感染细胞,可直接清除体内的感染细胞、衰老细胞、癌细胞等。
NK细胞与T细胞的不同之处在于,它们对MHC(主要组织相容性复合物)的反应方式不同。临床常见的CAR-T、TCR-T细胞疗法等,其焦点都集中在T细胞身上。T细胞需要依赖MHC(主要组织相容性复合物),诱导针对恶性肿瘤的免疫反应,MHC充当T细胞杀伤的激活配体,同时需要与HLA匹配。而NK细胞具有直接针对“非自我”的内在细胞毒性能力,可在没有MHC的情况下,直接识别靶细胞,也无需HLA匹配,因此“现成的”NK细胞疗法成为一种可行的选择。
换言之,虽然T细胞及NK细胞都可对抗癌细胞,但T细胞需要MHC提前“通风报信”;而NK细胞在体内巡逻过程中,一旦发现表面分子表达失衡,就会独立于抗原,直接识别并清除癌细胞等“异己”。因而,NK细胞又被称为“人体抗癌的第一道防线”。
CAR-NK细胞:搭载"CAR导航头"的NK细胞,强强联合
▼CAR-NK细胞制备过程

▲图源“SDU”,版权归原作者所有,如无意中侵犯了知识产权,请联系我们删除
近年来,随着CAR工程技术的发展,研究人员将CAR引入NK细胞,以提高过继性NK细胞疗法的功效,增强细胞的抗肿瘤免疫力,CAR-NK疗法由此产生。
CAR-NK疗法是利用基因工程,给NK细胞加入一个能识别肿瘤细胞,并且同时激活NK细胞杀死肿瘤细胞的嵌合抗体-CAR,相当于给原本强大的NK细胞,安装一个“GPS”导航,使其能在体内精准并高效地杀伤肿瘤细胞。
目前多项研究显示,CAR-NK疗法延续了NK细胞的“活性”,能显著提高NK细胞疗效特异性,同时还可克服免疫逃逸这一难题,从而精准打击癌细胞,让其“无处遁形”。CAR-NK有望带来与CAR-T细胞相媲美的治疗性效果,甚至可能超越血癌,进入实体瘤领域,未来可期!
CAR-NK细胞疗法在研临床项目盘点
▼全球CAR-NK细胞临床试验分布示例图

▲图源“BMC”,版权归原作者所有,如无意中侵犯了知识产权,请联系我们删除
据全球肿瘤医生网医学部获悉,截至目前,至少有20余项CAR-NK细胞临床试验已经计划或正在进行,涉及多款血液肿瘤及实体瘤,这些在研的临床试验大多处于I/II期试验阶段。下面小编帮大家盘点一下实体瘤研发领域几个热门试验,以供参考(详见下表)。

▲数据源自“J Exp Clin Cancer Res”,全球肿瘤医学部整理汇总
做过基因检测的病友,可拿出报告查看是否存在上述突变,看不懂的病友也可致电医学部解读报告,或进行初步评估,看是否有机会接受NK细胞、CAR-NK细胞或国内外其他抗癌新技术的帮助。
CAR-NK细胞疗法在实体瘤领域"大放异彩"
Robo1 CAR-NK细胞为晚期胰腺癌点亮曙光,胰腺及肝转移病变得以控制
《癌症研究与治疗杂志(Journal of Cancer Research and Therapeutics)》报道了一个“使用Robo1特异性CAR-NK细胞,治疗46岁伴肝转移的胰腺导管腺癌患者”的案例分析。
胰腺导管腺癌(PDAC)是胰腺癌中最常见的类型,也是恶性程度较高的癌症之一,由于其发病率不断上升,PDAC预计将成为胰腺癌的第二大原因,且5年生存率较低。
本例患者确诊为胰腺导管腺癌(PDAC),伴肝转移(T4N1M1,IV期)。通过胰腺肿瘤穿刺活检,发现Robo1分别存在于胰腺中。据悉,Robo1在调节T细胞趋化性和肿瘤血管生成中发挥重要作用,是治疗实体瘤的潜在靶点,目前已发现Robo1在胰腺癌中表达增加。鉴于该患者拒绝化疗,且此时肿瘤已无法通过手术治疗切除。故而接受Robo1特异性CAR-NK细胞回输治疗(NCT03941457),医生使用Robo1-CAR构建体转导NK-92细胞,以治疗原发灶及肝转移。结果如下:
治疗前影像学显示,患者胰腺原发病灶约6cm×2.5cm×3cm,且伴有淋巴浸润和多个肝脏代谢亢进病变(详见下图)。

▲图源“J Cancer Res Ther”,版权归原作者所有,如无意中侵犯了知识产权,请联系我们删除
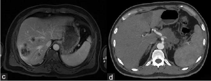
治疗5个月内,患者胰腺病变和肝转移病变得到控制(详见下图),且未见明显副作用,患者总生存时间为8个月。

▲图源“J Cancer Res Ther”,版权归原作者所有,如无意中侵犯了知识产权,请联系我们删除
CAR-NK细胞治疗转移性结直肠癌,恶性腹水显著改善
知名杂志《Mol Ther》上刊载的一篇论文中,介绍了我国研究团队采用“CAR-NK细胞治疗2例伴恶性腹水的结直肠癌患者”的相关报道,其初步疗效值得肯定!
入组的这两例患者(1001和1002号患者)均患化疗难治性转移性结直肠癌,且伴有严重的恶性腹水。入组后以剂量递增的方式,接受多轮腹腔内CAR-NK细胞输注。其中,1001号患者回输了2次由自体NK细胞制备的CAR-NK细胞,而1002号患者回输了4次由同种异体半相合NK细胞制备的CAR-NK细胞。回输方式均为直接局部注射到腹膜腔,以使CAR-NK细胞快速到达肿瘤部位,促进转移细胞和癌细胞之间的相互作用,同时限制与CAR-NK全身暴露相关的潜在靶向和脱瘤风险。治疗后结果显示如下:
1、癌细胞数量得以控制:两名患者腹水中上皮细胞粘附分子(EpCAM)阳性癌细胞的数量显著减少(详见图1)。
图1 治疗后腹水中EpCAM阳性癌细胞数量

▲图源“Mol Ther”,版权归原作者所有,如无意中侵犯了知识产权,请联系我们删除
2、腹水改善:治疗过程中,两名患者腹水量显著减少。其中,1002号患者通过计算机断层扫描(CT)成像评估,虽然在治疗前观察到大量腹水,但CAR-NK细胞治疗4个疗程后,腹水量显著减少(详见图2)。而且该患者治疗前腹水呈现乳白色,但在CAR-NK细胞治疗后,腹水变得清晰(详见图3)。
图2 1002号患者治疗前后CT对比

▲图源“Mol Ther”,版权归原作者所有,如无意中侵犯了知识产权,请联系我们删除
图3 1002号患者治疗前后腹水颜色对比

▲图源“Mol Ther”,版权归原作者所有,如无意中侵犯了知识产权,请联系我们删除
3、靶病灶稳定:CT扫描显示,两名患者在基线时以及CAR-NK治疗后2周(患者1001)或4周(患者1002)时,腹膜靶病灶病情稳定。
CAR-NK治疗晚期非小细胞肺癌,1年生存率翻一倍
《临床肿瘤研究》杂志发表了一项“CAR-NK治疗晚期非小细胞肺癌(NSCLC)的2期临床试验”结果。研究人员先将NK细胞在体外用Hsp70(即“热休克蛋白70”,在约70%的中晚期肺癌中高表达)激活,相当于让NK细胞先在体外与敌人“打个照面”,以便于回输后,NK细胞能在体内顺利抗击癌细胞,这种在体外先用抗原肽刺激、赋予NK细胞适当特异性的方法,是近年来的研究热点。
本次研究共纳入16例Ⅲ期非小细胞肺癌(NSCLC)患者,将其随机分为两组,即对照组(仅接受传统的放化疗治疗)、CAR-NK治疗组(接受Hsp70预激的NK细胞回输+放化疗)。
结果显示,CAR-NK治疗组的1年无进展生存(PFS)率为67%,而对照组仅为33%。显然,与对照组相比,Hsp70预激的NK细胞回输治疗联合传统放化疗,可将晚期NSCLC患者1年的生存率提高近1倍,初步结果振奋人心!
下图展示了一个接受Hsp70预激的NK细胞回输+放化疗联合治疗,获得完全缓解(CR)的典型案例,该患者在治疗1~2个月(V1)后复查影像学,显示肺部肿瘤完全消失;且治疗效果已维持18个月(V8)。

▲图源“Clin Cancer Res”,版权归原作者所有,如无意中侵犯了知识产权,请联系我们删除
小编寄语
具有先天免疫特性的NK细胞,经CAR修饰后,化身自带“GPS”的抗癌新利器,二者的强强联合,有望为实体瘤及血液肿瘤的治疗带来新的突破。同时CAR-NK细胞的价格更低廉、制备时间更短,且有利于实现大规模工业化生产,为更多的肿瘤患者带来新的曙光!
不过,全球肿瘤医学部小编温馨提示,癌症作为一种高度突变且易于复发的疾病,现阶段很难仅依靠单一治疗手段达到理想效果。目前临床提倡综合治疗方式,可在手术、放疗、化疗等传统治疗的基础上,结合免疫细胞治疗(如CAR-NK、NK细胞等)、癌症疫苗、肠道菌群调理等方式,以提高患者自身免疫力,从而达到维持治疗效果、预防肿瘤复发、提高生活质量、延长生存期等目的。
如果您对目前的治疗方案存疑,或想寻求CAR-NK、NK细胞等国内外新型抗癌疗法帮助,可联系医学部进行初步评估,或申请国内外抗癌专家会诊,以获得更大的生存获益!
参考资料
[1]Pan K,et al.AR race to cancer immunotherapy: from CAR T, CAR NK to CAR macrophage therapy. J Exp Clin Cancer Res. 2022 Mar 31;41(1):119.
https://jeccr.biomedcentral.com/articles/10.1186/s13046-022-02327-z
[2]Zhang, L,et al.CAR-NK cells for cancer immunotherapy: from bench to bedside.Biomark Res10, 12 (2022).
https://biomarkerres.biomedcentral.com/articles/10.1186/s40364-022-00364-6
[3]Li C,et al.Robo1-specific chimeric antigen receptor natural killer cell therapy for pancreatic ductal adenocarcinoma with liver metastasis[J].Journal of Cancer Research and Therapeutics,2020, 16(2): 393-396.
https://journals.lww.com/cancerjournal/fulltext/2020/16020/robo1_specific_chimeric_antigen_receptor_natural.29.aspx
[4]Multhoff G,et al.Targeted Natural Killer Cell-Based Adoptive Immunotherapy for the Treatment of Patients with NSCLC after Radiochemotherapy: A Randomized Phase II Clinical Trial. Clin Cancer Res. 2020 Oct 15;26(20):5368-5379.
https://aacrjournals.org/clincancerres/article/26/20/5368/82812/Targeted-Natural-Killer-Cell-Based-Adoptive
[5]https://www.thermofisher.com/blog/life-in-the-lab/what-is-car-nk-therapy-and-is-it-the-off-the-shelf-solution-the-cancer-research-field-needs/







