《Nature》重磅!TCR-T疗法助四成结直肠癌实现客观缓解,1例多处转移灶清零
小编 2025-12-02
《Nature》重磅!TCRT细胞疗法助四成结直肠癌实现客观缓解,1例多处转移灶清零
近年研究发现,基于新抗原反应性T淋巴细胞的过继性细胞疗法(ACT)可有效促进肿瘤消退。
全球顶级期刊《Nature Medicine》近期公布的一项2期临床研究(NCT03412877)惊艳数据,进一步印证了这一结论:一位转移性结直肠癌患者经TCR-T治疗后,转移灶显著缩小且7个月未出现疾病进展!这一突破性进展不仅为晚期结直肠癌患者开辟了精准免疫治疗新赛道,更让无数难治性肿瘤患者燃起了长期生存的新希望!

▲截图源自“Nature Medicine”
TCR-T疗法让42.8%晚期难治结直肠癌达客观缓解,一例多部位转移灶完全清零
本研究为一项II期单臂研究,共入组7例转移性、错配修复功能正常的结直肠癌患者,这些患者既往接受多种治疗后收效甚微,病情持续进展。研究团队从患者肿瘤浸润淋巴细胞中分离出个体化新抗原反应性T细胞受体(TCR),将其α链和β链整合至γ逆转录病毒载体,随后转导患者自体外周血淋巴细胞,在患者接受淋巴清除化疗后进行过继性输注,为其实施新型TCR-T疗法。
结果显示:根据RECIST标准,42.8%患者(3例)达到临床客观缓解,肺、肝脏、淋巴结等转移灶消退,缓解持续时间4~7个月。
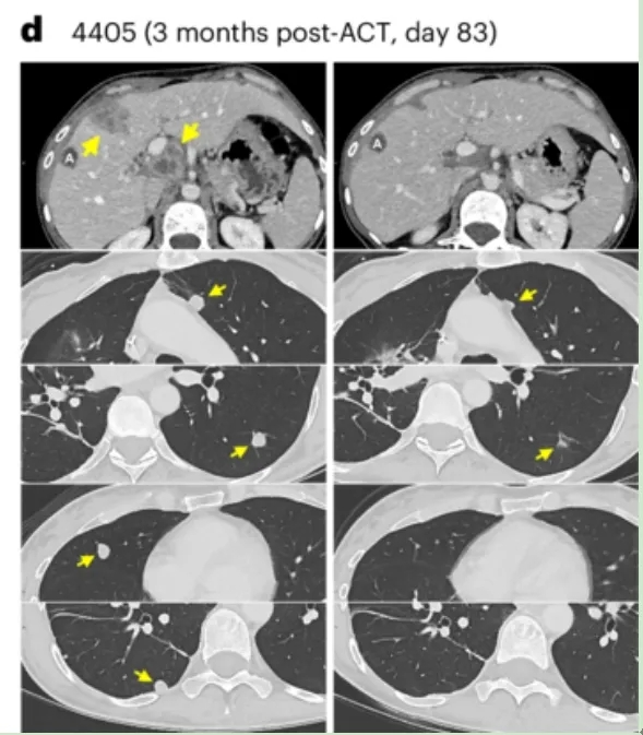
值得一提的是,其中患者4405(转移性直肠癌)在TCR-T细胞回输后,影像学检查显示其肝转移、门静脉淋巴结及多发肺转移病灶均完全消退(详见下图)。

▲图源“Nature Medicine”,版权归原作者所有,如无意中侵犯了知识产权,请联系我们删除
三大过继性T细胞疗法开启抗癌新篇章
肿瘤过继性T细胞疗法(ACT)是利用患者自身或供者的T淋巴细胞,经体外感应筛选或基因修饰获得肿瘤杀伤活性,扩增后回输患者体内以发挥抗癌作用的创新治疗方式。其中,CAR-T、TCR-T、TIL三大疗法各有所长,且均已有产品成功获批上市,为血液肿瘤与实体瘤患者带来了全新治疗希望!
01、CAR-T疗法:血液肿瘤的"精准克星"
CAR-T细胞疗法(嵌合抗原受体T细胞疗法)是以T细胞介导的CAR为基础的细胞免疫疗法。通过基因转导技术向T细胞引入抗原特异性CAR分子,如同为T细胞安装“导航头”,使其具备精准识别并攻击肿瘤的能力,可产生即时且长期的抗癌效果。
截至2025年11月,全球已有15款CAR-T产品获批上市:主要通过识别CD19、BCMA等膜表面抗原,用于治疗多发性骨髓瘤、急性淋巴细胞白血病、弥漫大B细胞淋巴瘤等多款血液肿瘤。而且近年来CAR-T在结直肠癌、非小细胞肺癌、肾癌、宫颈癌、卵巢癌等实体瘤领域,也取得了突破性进展,期待未来有更多产品在实体瘤治疗中绽放光彩!
02、TCR-T疗法:实体瘤的"攻坚利器"
TCR-T细胞疗法(T细胞受体工程化T细胞疗法)通过基因工程技术,将抗原特异性TCR基因序列(α和β链)导入T细胞,使其能特异性识别肿瘤抗原(包括细胞膜表面及细胞内来源的肿瘤特异性抗原)并精准杀伤癌细胞。
其中,靶向NY-ESO-1的TCR-T细胞已在难治复发性黑色素瘤、滑膜肉瘤、肺癌、肝细胞癌、宫颈癌等多项实体瘤临床试验中,展现出优异的安全性与有效性,成为实体瘤领域最具突破潜力的T细胞免疫疗法之一。2022年初,首款TCR-T产品“Kimmtrack”获美国FDA批准用于治疗葡萄膜黑色素瘤,正式为实体瘤治疗开辟了全新赛道!
03、TIL疗法:实体瘤的"天然王者"
TILs细胞疗法(肿瘤浸润淋巴细胞疗法)虽同属过继性免疫细胞疗法,但与CAR-T、TCR-T存在本质区别:其通过从患者自身肿瘤活检组织中采集浸润的淋巴细胞,经DNA测序筛选后在体外大量扩增,再回输患者体内发挥作用。
这些浸润于肿瘤组织中的淋巴细胞,堪称深入“敌军”内部的“免疫敢死队”,既能直接识别破坏肿瘤细胞,又能动员其他免疫细胞协同抗癌,是深藏于肿瘤中的“免疫宝藏”。凭借优越的肿瘤病灶浸润能力与低脱靶毒性,TIL疗法在卵巢癌、胰腺癌、宫颈癌、肺癌、恶性黑色素瘤、肝癌、肾癌、头颈鳞癌、食管鳞癌、三阴性乳腺癌、泌尿上皮癌、胃癌、结直肠癌、胆管癌等多种实体瘤治疗中具备独特优势。
2024年2月16日,全球首款TIL疗法“Amtagvi”获美国FDA批准,用于治疗既往接受过PD-1抗体治疗的不可切除或转移性黑色素瘤成人患者,这一里程碑事件标志着实体瘤治疗迈入全新阶段!为帮助大家清晰区分三大疗法,小编整理了核心对比信息(详见下表):
▼CAR-T、TCR-T、TIL疗法对比

小编寄语
癌症治疗一直是困扰世界的难题,传统的手术、放化疗等抗癌方式,易出现复发或转移,因此迫切需要开发新型抗癌手段。随着医学技术的不断发展,癌症逐渐进入精准治疗的时代,以CAR-T、TCR-T、TIL细胞疗法为代表的免疫细胞疗法,主要通过调动人体的免疫细胞,精准识别并杀灭癌细胞,与此同时对正常细胞组织的损伤较小,颠覆了传统的抗癌模式!
想寻求CAR-T、TILs、TCR-T疗法或其他国内外抗癌新技术帮助的患者,可先将治疗经历、出院小结、近期病理报告等资料,提交至医学部,详细评估病情或申请国际会诊。
参考资料
[1]Parkhurst M,et al.Adoptive transfer of personalized neoantigen-reactive TCR-transduced T cells in metastatic colorectal cancer: phase 2 trial interim results[J]. Nature Medicine, 2024, 30(9): 2586-2595.
https://www.nature.com/articles/s41591-024-03109-0







