HER2阳性肿瘤有救了!DC疫苗让33%患者实现逆转,卵巢癌2年无病生存,胃癌缩一半
小编 2026-01-14
DC疫苗帮助HER2阳性肿瘤33%的患者实现逆转,卵巢癌2年无病生存,胃癌缩一半
树突状细胞(DC)是体内唯一能激活初始T细胞的抗原提呈细胞,在免疫反应中居核心地位。目前,DC疫苗虽多处于早期临床试验阶段,但部分国家已正式用于临床——早期肿瘤患者术后联合DC疫苗与放化疗辅助治疗,可清除残留癌细胞、形成免疫记忆,有效降低复发转移风险。
《癌症免疫与免疫治疗》杂志报道,HER2靶向自体DC疫苗AdHER2的Ⅰ期临床试验(NCT01730118)数据振奋:其在HER2表达癌症患者中展现良好免疫原性与安全性,初步显临床获益,联合方案中临床获益率达33.3%。这一突破为HER2阳性肿瘤患者带来了全新的治疗希望与选择,随着研究深入,相信DC疫苗将在更多癌种中绽放光彩,为肿瘤治疗注入持久动力!

▲截图源自“frontiers”
AdHER2 DC疫苗
AdHER2 DC疫苗专为转移性或高复发风险的HER2表达膀胱癌患者设计,其核心流程是:通过单采获得患者单核细胞,冷冻保存备用;在需要时分批解冻、诱导分化为树突状细胞并负载 HER2 抗原,最终制备成可注射疫苗(详见下图)。
▼AdHER2DC疫苗制造示意图

▲图源“frontiers”,版权归原作者所有,如无意中侵犯了知识产权,请联系我们删除
AdHER2 DC疫苗暴击HER2阳性实体瘤:创造卵巢癌2年无病奇迹,胃癌病灶缩小一半
本次研究共纳入33例HER2表达的转移性实体瘤患者,包括乳腺癌、卵巢癌、胃癌等,其中9例曾接受抗HER2治疗(如曲妥珠单抗)。所有患者均接受4个剂量水平(5×10⁶~40×10⁶DC细胞)的AdHER2DC疫苗注射,中位年龄60岁(范围36-72岁),中位随访时间36周(范围4-124周)。
结果显示:在21例可评估疗效的患者中,7例(33.3%)获得临床获益,包括1例完全缓解(CR)、1例部分缓解(PR)和5例病情稳定(SD),其中SD患者涵盖结直肠癌、男性乳腺癌、食管胃交界处癌等不同癌种(图2A)。

▲图源“frontiers”,版权归原作者所有,如无意中侵犯了知识产权,请联系我们删除
值得一提的是,研究中还出现了几则具有突破性意义的典型病例:
其中一例高级别浆液性卵巢癌患者(患者17,HER2IHC3+,FISH1.3):在接种4剂疫苗后,阴道袖状部病灶完全消退,缓解持续至113周(约2.35年)。
另一例经5线治疗的癌肉瘤型卵巢癌(患者21,HER21+,FISH1.0):经5线治疗后入组,疫苗治疗后靶病灶最大缩小24.8%,并维持稳定48周。
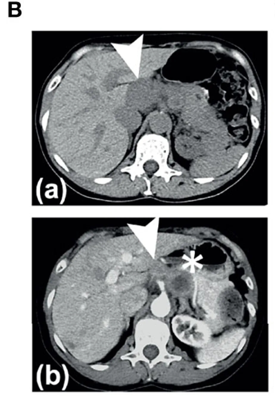
还有一例HER2阳性胃癌患者(患者9,HER2IHC3+,FISH2.5):基线时(治疗前)靶病灶大小为4.7×1.9cm;在治疗16周时靶病灶体积缩小约50%(缩小至2.8×1.9cm);第24周进一步缩小至1.9×1.9cm(见图2B)。虽因非靶病灶进展未达PR标准,但显著体现了疫苗对HER2阳性胃癌的局部控制能力。

▲图源“frontiers”,版权归原作者所有,如无意中侵犯了知识产权,请联系我们删除
小编寄语
树突状疫苗在日本、德国等,用于临床辅助治疗多种癌症,包括皮肤癌、肝癌、肺癌、肾癌、乳腺癌等,是癌症患者的新希望!值得欣慰的是,如今我国也有多款癌症疫苗正在开展临床研究,这也意味着中国患者也有机会寻求这款抗癌新技术的帮助!
对目前治疗方案不满意,或想寻求树突状细胞疫苗等抗癌新技术帮助的患者,可将近期病理报告、影像学检查资料、治疗经历等,提交至医学部,进行初步评估。
参考资料
[1]Maeng H M,et al.Phase I clinical trial of an autologous dendritic cell vaccine against HER2 shows safety and preliminary clinical efficacy[J]. Frontiers in Oncology, 2021, 11: 789078.
https://www.frontiersin.org/journals/oncology/articles/10.3389/fonc.2021.789078/full







