零毒性+超2年持久缓解!NY-ESO-1 T细胞疗法让52.9%实体瘤消退
小编 2025-12-05
NY-ESO-1 T细胞疗法帮助52.9%实体瘤消退,零毒性+超2年持久缓解
NY-ESO-1抗原是免疫疗法的理想靶点,其在80%的滑膜肉瘤患者中高表达,约25%的黑色素瘤及部分常见上皮肿瘤中亦有表达,还在10%-50%的转移性乳腺癌、前列腺癌、甲状腺癌、卵巢癌中存在表达。
《临床肿瘤学杂志》报道了首个评估“NY-ESO-1反应性基因工程改造T细胞(TCR转导T细胞)治疗转移性滑膜肉瘤和黑色素瘤”的临床试验结果:2例患者成功实现肿瘤完全消退。
这是首个证实TCR转导T细胞可成功治疗非黑色素瘤实体瘤的研究,不仅为该疗法的临床转化奠定了重要基础,更给多款难治性实体瘤患者开辟了精准免疫治疗新路径。随着研究的持续推进,必将为更多癌症患者点亮长期生存的希望之光!

▲截图源自“ASCO”
首个临床研究数据震撼出炉:高缓解率+零毒性,9例(52.9%)肿瘤消退,CR最长22个月
该研究共纳入11例表达高水平NY-ESO-1的进展性转移性黑色素瘤患者、6例滑膜肉瘤患者,入组后先接受非清髓性化疗,随后输注抗NY-ESO-1 TCR转导T细胞,同时联合全身性IL-2治疗。
结果显示:根据实体瘤疗效评价标准(RECIST),在11例黑色素瘤患者中,5例达到客观缓解,其中2例达到完全缓解(CR,分别持续22个月、20个月),1例达到部分缓解(PR,持续9个月)。而在6例滑膜肉瘤患者中,4例达到客观部分缓解,其中1例持续18个月。值得关注的是,所有患者均未观察到与治疗细胞相关的毒性反应。
值得一提的是,其中3例典型患者的疗效尤为突出:
1、5号转移性黑色素瘤患者:在治疗后多发性复发性腋窝淋巴结完全消退,目前完全缓解(CR)已维持20个月(详见下图A)。

▲图源“J Clin Oncol ”,版权归原作者所有,如无意中侵犯了知识产权,请联系我们删除
2、16号滑膜肉瘤患者:治疗后肝周胸壁滑膜肉瘤病灶消退,部分缓解(PR)持续8个月(详见下图B)。

▲图源“J Clin Oncol ”,版权归原作者所有,如无意中侵犯了知识产权,请联系我们删除
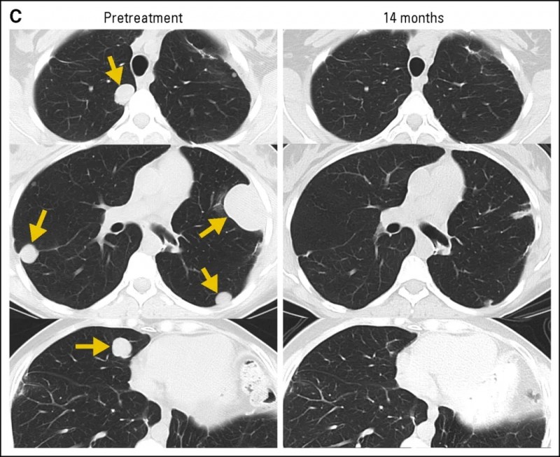
3、13号滑膜肉瘤患者:经两次NY-ESO-1TCR转导T细胞治疗后,多发性肺转移病灶消退,部分缓解(PR)持续长达18个月(详见下图C)。

▲图源“J Clin Oncol ”,版权归原作者所有,如无意中侵犯了知识产权,请联系我们删除
综上,本研究证实,NY-ESO-1靶向TCR转导T细胞疗法能有效促进转移性黑色素瘤和滑膜肉瘤患者的肿瘤消退,且安全性良好。
小编寄语
癌症治疗一直是困扰世界的难题,传统的手术、放化疗等抗癌方式,易出现复发或转移,因此迫切需要开发新型抗癌手段。随着医学技术的不断发展,癌症逐渐进入精准治疗的时代,以CAR-T、TCR-T、TIL细胞疗法为代表的免疫细胞疗法,主要通过调动人体的免疫细胞,精准识别并杀灭癌细胞,与此同时对正常细胞组织的损伤较小,颠覆了传统的抗癌模式!
值得欣慰的是,CAR-T细胞疗法已有多款产品获批上市,剑指淋巴瘤、多发性骨髓瘤、白血病等多款血液肿瘤。同时,TCR-T和TIL细胞疗法也实现了突破性进展,相继迎来了新药上市,为黑色素瘤等实体瘤患者带来了新的希望!
同时需要提醒病友,癌症作为一种复杂性疾病,单一治疗很难达到预期,一般提倡综合性治疗手段。依托于权威医院及权威专家的正规治疗,在采取常规治疗手段(手术、放疗、化疗)治疗后,根据自身的经济情况,辅助免疫治疗技术等综合治疗方法,以达到巩固治疗效果、预防复发、提高生活质量,延长生存期等目的!
想寻求CAR-T、TILs、TCR-T疗法或其他国内外抗癌新技术帮助的患者,可先将治疗经历、出院小结、近期病理报告等资料,提交至医学部,详细评估病情或申请国际会诊。
参考资料
[1]Robbins P F,et al. Tumor regression in patients with metastatic synovial cell sarcoma and melanoma using genetically engineered lymphocytes reactive with NY-ESO-1[J]. Journal of Clinical Oncology, 2011, 29(7): 917-924.
https://ascopubs.org/doi/10.1200/JCO.2010.32.2537?url_ver=Z39.88-2003&rfr_id=ori:rid:crossref.org&rfr_dat=cr_pub%20%200pubmed







