全球首款EB病毒mRNA疫苗问世,DCR超66%!横扫肺癌、肠癌、脑瘤等,生存提升45%
小编 2025-12-05
全球首款EB病毒mRNA疫苗问世,DCR超66%!更多的癌症疫苗横扫肺癌、肠癌、脑瘤等,生存提升45%
EB病毒是全球超90%成年人携带的常见疱疹病毒,通常潜伏于人体且无明显症状。但当免疫功能失调时,其持续感染与多种恶性肿瘤密切相关(已被世卫组织列为I类致癌物),其中NK/T细胞淋巴瘤、移植后淋巴组织增殖性疾病(PTLD)等淋巴瘤亚型的EBV阳性率尤为突出。遗憾的是,复发/难治性EBV阳性淋巴瘤患者正面临严峻治疗困境:化疗耐药性强,免疫检查点抑制剂对部分类型疗效有限,患者常陷入无药可用的绝境。
而国产创新mRNA治疗性疫苗WGc-043的问世,为这一困境带来突破性解决方案。2024年5月,该疫苗率先通过美国FDA的IND审批,同年8月6日获中国CDE批准,成为全球首款EB病毒相关mRNA治疗性癌症疫苗。其获批标志着EBV相关恶性肿瘤治疗从“无差别化疗”迈入“精准免疫清剿”新时代,通过调动患者自身免疫力量,为更多身处绝境的患者撑起战胜病魔的信心与底气!
全球首款EB病毒mRNA疫苗WGc-043亮剑:鼻咽癌DCR高达66.67%
WGc-043是一款针对该治疗痛点研发的mRNA治疗性疫苗,核心机制为“授人以渔”:将编码EB病毒关键抗原的mRNA递送至人体,指导细胞合成抗原,进而激活并“教育”免疫系统(尤其细胞毒性T细胞/CTLs),使其精准识别并高效清除表达该抗原的肿瘤细胞。
《临床肿瘤学杂志》披露的Ⅰ期临床数据(NCT05714748)显示,WGc-043疫苗在治疗EBV阳性复发/转移性鼻咽癌潜力显著。该研究纳入12例≥18岁患者,按25μg、50μg、100μg三个剂量分组接受疫苗回输。
结果显示:疾病控制率(DCR)高达66.67%,客观缓解率(ORR)达16.67%。其中2例患者达部分缓解(PR)、5例达病情稳定(SD),凸显了WGc-043的潜在临床疗效。

▲图源“JCO”,版权归原作者所有,如无意中侵犯了知识产权,请联系我们删除
期待该国产创新疫苗通过深入临床试验进一步验证疗效与安全性,早日上市惠及全球EBV阳性肿瘤患者,改写难治性相关肿瘤的临床治疗格局!
胶质母细胞瘤20年首个重大突破!IGV-001疫苗2b期顶线数据创45%生存提升新高度
胶质母细胞瘤(GBM)被世卫组织(WHO)归类为IV级星形细胞瘤,是成人最常见且侵袭性最强的原发性脑恶性肿瘤,数十年来治疗进展缓慢。目前标准治疗为Stupp方案(最大限度安全切除+辅助同步放化疗+替莫唑胺维持治疗),但患者平均预期寿命仅12-15个月,五年生存率不足6%——该方案自2005年Stupp试验确立后,20余年未出现重大突破,患者治疗选择极其有限。
IGV-001的问世为这一困境带来转机。这款细胞免疫疗法由自体GBM肿瘤细胞与针对IGF-1受体(IGF-1R)mRNA的反义寡脱氧核苷酸(IMV-001)组成,经辐照后通过腹部植入的生物扩散室联合给药(48小时后取出):一方面刺激免疫原性细胞死亡与抗原释放,另一方面借助IMV-001的免疫刺激特性促进抗原呈递,最终诱导患者产生强大的抗GBM免疫反应(详见下图),2017年10月获美国FDA孤儿药资格。

▲图源“frontiers”,版权归原作者所有,如无意中侵犯了知识产权,请联系我们删除
《临床癌症研究》杂志发表了IGV-001 Ib期临床试验(NCT02507583)的振奋数据,33例患者中位随访3.1年(范围2.1-4.7年)。
结果显示:意向治疗(ITT)人群中位无进展生存期(PFS)达9.8个月,显著优于标准治疗的6.5个月(P=0.0003,详见下图3A),6个月PFS率高达86%,远超标准治疗的55%。其中最高剂量组10例患者的PFS更是长达17.1个月(P=0.0025),展现出剂量依赖的疗效优势。

▲图源“Clin Cancer Res”,版权归原作者所有,如无意中侵犯了知识产权,请联系我们删除
此外,放射影像结果为疗效提供了直观佐证:
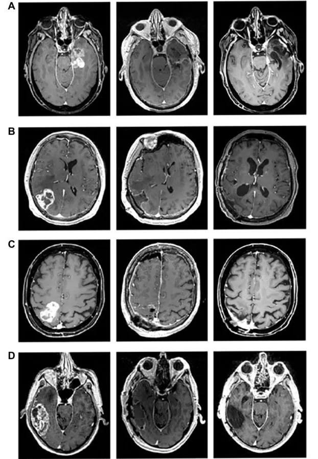
1、全切除术患者(详见下图A-D):切除部位持续无解剖强化,MRI扫描显示,术前、术后及试验结束时均无异常强化信号;4例患者最新随访时间分别为31个月(图A)、35个月(图B)、44个月(图C)、24个月(图D)。

▲图源“Clin Cancer Res”,版权归原作者所有,如无意中侵犯了知识产权,请联系我们删除
2、次全切除术患者(详见下图E-H):肿瘤体积呈现“先增后减”特征,术后6个月内开始持续缩小,符合“真性假性进展”判定——这是免疫治疗特有的良性表现,本质是激活的免疫细胞聚集引发局部炎症水肿,而非肿瘤增殖,恰恰提示免疫疗法正在发挥作用;4例患者最新随访时间分别为39个月(图E)、51个月(图F)、29个月(图G)、24个月(图H)。

▲图源“Clin Cancer Res”,版权归原作者所有,如无意中侵犯了知识产权,请联系我们删除
更为振奋的是,2025年12月2日,Imvax公司公布的2b期顶线数据(NCT04485949)进一步验证了其突破性潜力:99例新诊断GBM患者按2∶1随机分至IGV-001组或安慰剂组,两组均在术后6周接受Stupp标准治疗(IGV-001组额外于术后48小时植入含个性化肿瘤细胞与反义寡核苷酸的生物扩散室,安慰剂组为非活性溶液)。
结果显示:中位随访22个月时,IGV-001组中位总生存期(OS)达20.3个月,较安慰剂组(14.0个月)延长6.3个月(提升45%)。

▲截图源自“cancernetwork”
综上,该疗法安全性良好,有望成为改写GBM治疗格局的里程碑。
从多转移到近乎清零!WT1-DC疫苗联合化疗让晚期肺癌患者绝境逆袭
树突状细胞(DC)疫苗疗法是一类核心机制为“呈递癌症抗原以增强患者抗肿瘤免疫力”的免疫细胞疗法。其中,WT1抗原因在多种癌症中高表达,可被树突状细胞体外识别,且已被美国国家癌症研究所列为临床有效常见癌症抗原——靶向该抗原的WT1-树突状细胞疫苗(WT1-DC)应运而生,其通过激活NK细胞、CD8+T细胞等免疫细胞,降低肿瘤标志物水平,进而实现抑制癌症进展、改善远期复发风险、延长总生存期的目标,适用于血液肿瘤及实体瘤治疗。
《Cureus》曾报道一个“WT1-DC疫苗治疗晚期肺癌,获得显著疗效的案例”:该患者是一位69岁男性,确诊为右肺中叶IV期鳞状细胞癌,因无法耐受手术及放疗,遂入组接受WT1树突状细胞疫苗(WT1-DC)+化疗(紫杉醇+卡铂AUC6)联合治疗方案。
治疗效果呈现明确获益:CT检查显示,治疗前患者右下肺原发病灶伴胸腔积液,治疗114天后原发灶几乎消失;治疗第213天时虽出现复发迹象,但338天后复查可见复发灶缩小(详见下图)。

▲图源“Cureus”,版权归作者所有,如无意中侵犯了知识产权,请联系我们删除
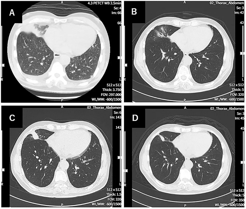
此外,PET-CT评估显示,治疗前患者除右下肺原发肿瘤外,还伴双侧肺内、骨及肝多发性转移;治疗479天后复查,仅残留右肺2个直径1.0cm病灶、肝脏1个直径1.7cm小转移灶,其余部位未发现新增转移灶(详见下图)。最终患者临床状态良好,体能状态(PS)评分为1分,可正常生活。

▲图源“Cureus”,版权归作者所有,如无意中侵犯了知识产权,请联系我们删除
双DC疫苗+纳武单抗+放疗三联破局!让化疗无效晚期小肠癌患者病灶锐减,从坐轮椅到自主步行
《Cureus》期刊报道了一个40岁晚期小肠癌男性患者的救治案例:该患者合并主动脉旁淋巴结转移与腹膜播散,对化疗无应答,且出现胆管、十二指肠梗阻,已接受胆管支架置入及中心静脉营养支持。因腹部癌痛剧烈,患者先接受8Gy单次姑息性调强放射治疗(IMRT),但疼痛控制不佳,体能状态(PS)评分为4分,需依赖轮椅活动。随后患者入组创新联合治疗方案:IMRT放疗3周后,启动WT1-DC疫苗+α-半乳糖神经酰胺脉冲树突状细胞(α-Galcer-DC)+纳武单抗输注治疗,同时配合两次活化淋巴细胞治疗,总疗程约3个月。
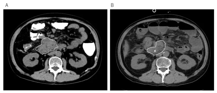
治疗效果显著:治疗前后3个月的腹部CT显示小肠癌病灶大幅减少(详见下图);血液检查提示CA19-9肿瘤标志物水平显著下降,胆红素降低,肝功能明显改善。更令人振奋的是,患者腹痛缓解,恢复流质饮食,PS评分提升至2分——无需拐杖即可步行至医院,且能自主完成如厕、洗澡等日常活动。
该案例证实,放疗与树突状细胞疫苗的联合方案可有效抑制癌症进展,为化疗无应答的晚期患者带来生存希望。尤其值得关注的是,WT1-DC与α-Galcer-DC的双疫苗组合,其协同激发的抗肿瘤免疫效应或优于单一疗法,为晚期癌症的免疫联合治疗带来了新的选择!
▼该患者接受DC免疫治疗前与治疗后的肿瘤大小对比

▲图源“Cureus”,版权归作者所有,如无意中侵犯了知识产权,请联系我们删除
小编寄语
癌细胞具有高度可变的突变特征,与传统抗癌药不同,个性化新抗原疫苗通过基因测序技术锁定易引发免疫反应的“候选靶点”,精准激发患者免疫系统,使其特异性识别并杀伤肿瘤细胞。该疫苗可与手术、放化疗等疗法联合应用,为晚期实体瘤患者(尤其是经多线治疗无果者)带来新的治疗选择与希望,更预示着个性化医疗新时代的来临。
除个性化新抗原疫苗外,mRNA疫苗、树突细胞(DC)疫苗、古巴肺癌疫苗等癌症疫苗,也为肺癌、胰腺癌、肝癌、乳腺癌、黑色素瘤等多种实体瘤患者点亮了生存新曙光!我们期待未来有更多癌症疫苗获批上市,惠及更多患者,最终实现“打一针精准抗癌”的美好愿景!
若病友想寻求上述疫苗或其他国内外抗癌新技术的帮助,可将近期病理报告、治疗经历、影像学资料等,提交到医学部,进行初步评估或申请国内外抗癌专家会诊。
参考资料
[1]Peng X,et al.Safety, tolerability, and immunogenicity of WGc-043 in subjects with EBV-positive cancers: Results from an investigator-initiated trial[J]. 2024.
https://ascopubs.org/doi/10.1200/JCO.2024.42.23_suppl.139
[2]Wong E T,et al.IGV-001 cellular immunotherapy for newly diagnosed glioblastoma: overcoming the logistic challenge[J]. Frontiers in Oncology, 2025, 15: 1556450.
https://www.frontiersin.org/journals/oncology/articles/10.3389/fonc.2025.1556450/full
[3]Andrews D W,et al.Phase Ib clinical trial of IGV-001 for patients with newly diagnosed glioblastoma[J]. Clinical Cancer Research, 2021, 27(7): 1912-1922.
https://aacrjournals.org/clincancerres/article/27/7/1912/671878/Phase-Ib-Clinical-Trial-of-IGV-001-for-Patients
[4]Nagai H,et al.WT1 Dendritic Cell Vaccine Therapy Improves Immune Profile and Prolongs Progression-Free Survival in End-Stage Lung Cancer[J].Cureus,2023,15(10).
https://www.cureus.com/articles/193305-wt1-dendritic-cell-vaccine-therapy-improves-immune-profile-and-prolongs-progression-free-survival-in-end-stage-lung-cancer#!/
[5]Nagai H,et al.Combination of Radiation Therapy, Wim's Tumor 1 (WT1) Dendritic Cell Vaccine Therapy, and α-Galactosylceramide-Pulsed Dendritic Cell Vaccine Therapy for End-Stage Small Bowel Cancer. Cureus. 2024 Jul 20;16(7):e64972. doi: 10.7759/cureus.64972. Erratum in: Cureus. 2025 May 5;17(5):c220.
https://pmc.ncbi.nlm.nih.gov/articles/PMC11259906/
[6]https://www.cancernetwork.com/view/novel-cancer-vaccine-improves-os-vs-soc-in-newly-diagnosed-gbm







