全球首款SMT-NK疗法有望2028年上市!击溃胃癌、结肠癌、乳腺癌等,最长4年未复发
小编 2025-12-01
全球首款SMT-NK疗法有望2028年上市!更多的NK细胞疗法击溃胃癌、结肠癌、乳腺癌等,最长4年未复发
NK细胞号称人体抗癌的“先天免疫第一道防线”与“免疫尖刀军团”,它正凭借独有的精准抗癌机制,为肿瘤治疗领域注入颠覆性突破!如今这股浪潮中最耀眼的“明星疗法”——SMTBio公司研发的异基因NK细胞疗法SMT-NK,已在韩国稳步推进针对胆道癌的2b/3期临床试验,预计2026年即可圆满完成关键试验阶段!
更令人振奋的是,今年3月,KuickResearch发布的权威报告再传重磅喜讯:这款疗法最快有望于2028年通过审批上市,若能顺利获批,将成为全球首款正式落地的NK细胞疗法,为万千肿瘤患者点亮生命破晓的曙光!
《Cancers》重磅官宣!SMT-NK联合疗法破局化疗耐药胆道癌,50%患者显效,一例病灶大幅缩小70%
全球癌症领域权威期刊《Cancers》重磅报道了“SMT-NK联合帕博利珠单抗,治疗化疗耐药晚期胆道癌的首次1/2a期临床试验”,并交出了振奋人心的亮眼数据!
试验结果堪称突破性:全分析集的总体缓解率(ORR)达17.4%,而严格完成研究方案的患者(按方案设置集)ORR竟飙升至50.0%;若以患者最佳治疗反应评估,疾病控制率(DCR)更是高达73.9%,靶病变相对于基线的最大变化范围为-82.3%~169%。同时,全分析集(可评估疗效患者)的中位无进展生存期(PFS)为4.1个月(95%CI:1.8-5.9个月,详见下图),为化疗耐药的晚期患者带来了关键治疗突破。

▲图源“Cancers (Basel)”,版权归原作者所有,如无意中侵犯了知识产权,请联系我们删除
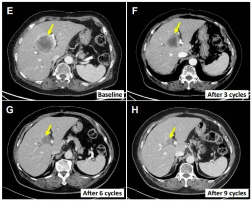
更令人动容的是一位76岁肝外胆管癌女性患者(E0217)的治疗奇迹!她既往接受过胆总管节段切除术与胆囊切除术,术后仅4个月便出现多处肝转移;后续接受吉西他滨联合顺铂全身化疗后疗效不佳,肝脏病变持续进展,抗癌之路陷入绝境。而在入组SMT-NK联合帕博利珠单抗治疗后,她的肝转移病变大幅缩小70.4%(详见下图E-H),且在初始治疗后12个月仍保持无进展状态——这份跨越绝境的持久疗效,为无数晚期胆道癌患者点亮了生命续航的希望!

▲图源“Cancers (Basel)”,版权归原作者所有,如无意中侵犯了知识产权,请联系我们删除
NK细胞凭"全能杀伤武器库",成免疫治疗的核心王牌,无需致敏精准屠癌
自然杀伤(NK)细胞作为固有免疫的核心力量,是人体抗肿瘤反应的“先天第一道防线”,在免疫监视中扮演关键角色——它们无需预先致敏,就能主动搜寻体内异常细胞,一旦识别便迅速激活并启动杀伤程序,这一独特优势使其成为免疫治疗的理想候选细胞。
为高效发挥抗肿瘤功能,NK细胞配备了多元化“杀伤武器库”:既依赖激活受体诱导溶菌颗粒(含颗粒溶素GNLY、颗粒酶BGrzB、穿孔素Prf等核心分子)形成和细胞因子释放,也可通过表达死亡受体介导靶细胞凋亡,同时还能分泌细胞因子、表达死亡配体等多重途径摧毁癌细胞,更具备介导抗体依赖性细胞毒性(ADCC)的能力,是癌症免疫监视的核心组成部分(详见下图)。
▼NK细胞的细胞毒性武器库

▲图源“Nature”,版权归原作者所有,如无意中侵犯了知识产权,请联系我们删除
在肿瘤微环境(TME)中,NK细胞更是抗肿瘤免疫反应的“指挥者”,其与先天免疫细胞、适应性免疫细胞的相互作用复杂且多元:一方面通过直接接触或分泌可溶性因子,调控其他免疫细胞的募集、成熟、极化与清除,协同放大抗肿瘤效应;另一方面,其他免疫细胞也能通过增强NK细胞的ADCC作用、IFNγ产生、激活受体表达及细胞毒性等方式正向赋能,不过部分细胞也可能抑制NK细胞的活化与杀伤功能,形成双向调控格局。自“自然杀伤淋巴细胞”被首次报道以来,NK细胞凭借其固有异常细胞识别能力与广谱杀伤潜力,始终是科学界的研究热点,为癌症患者带来了抗癌新选择!
全球首例!NK细胞联合手术+化疗让晚期胃印戒细胞癌患者,近4年未复发
胃癌(GC)作为全球高发恶性肿瘤,手术仍是可手术患者的核心治疗手段,而术后化疗作为推荐治疗组成部分,虽已证实能改善预后,但仍有30%~50%的患者在术后5年内面临复发风险,治疗困境亟待突破。更棘手的是印戒细胞癌(SRC)这一胃癌不良亚型——其命名源于独特的组织学与临床表现,虽早期治疗预后优于其他亚型,但晚期患者预后甚至差于未分化腺癌,且SRC肿瘤的R0切除率更低、化疗敏感性更弱,因此探索全新术后辅助治疗方案,成为提升临床疗效的迫切需求!
令人振奋的是,权威期刊《Medicine(Baltimore)》首次报道了一则突破性案例:晚期胃印戒细胞癌患者在“手术+化疗+NK细胞辅助治疗”的联合方案下,实现了长达46个月无复发的惊人疗效,为这一难治亚型的治疗带来了全新希望!
该案例中的患者是一位41岁女性,因阵发性呕吐病史一年余就诊,胃镜检查确诊为胃印戒细胞癌。随后她接受了根治性R0胃切除术,术后病理报告明确诊断为:胃窦小弯溃疡性低分化腺癌(大部分为印戒细胞癌,少量为黏液腺癌),肿瘤大小7×6×1.8cm,已侵犯胃壁全层,血管内可见肿瘤血栓,胃大弯淋巴结部分转移,最终分期为IIIC期(T4a,N3a,M0)。
术后,患者于2015年12月至2016年5月完成了6个疗程的奥沙利铂联合替加氟化疗,治疗后肿瘤标志物糖类抗原(CA)72-4水平显著下降。但好景不长,三个月后的随访中(V3),CA72-4水平急剧飙升至86.34U/mL,癌症复发风险陡增——此时患者经化疗后免疫功能受损,复发与转移的担忧成为急需解决的难题。关键转折点出现在2016年11月(V4):患者开始接受同种异体NK细胞输注治疗(治疗频率为每三个月一次)。
令人惊喜的是,NK细胞治疗后,患者的肿瘤标志物呈现持续改善趋势:多次随访(V4-V8)的CA72-4检测结果逐步恢复正常,腹部CT扫描也未发现任何疾病进展迹象。截至最新随访,该患者在NK细胞首次输注后已平稳度过46个月(≈3.8年),始终未出现疾病复发迹象,身体状况良好!
▼该患者的临床病史、治疗及就诊情况(V0)

▲图源“Medicine”,版权归原作者所有,如无意中侵犯了知识产权,请联系我们删除
这一案例充分证实,NK细胞输注联合手术与化疗的治疗方案耐受性良好,在预防晚期胃印戒细胞癌复发、延长患者生存期方面展现出巨大潜力!
高危结肠癌复发风险大降!NK细胞联合化疗,让局部晚期结肠癌5年PFS率高达51.1%
尽管现有治疗手段多样,但晚期结肠癌(CC)患者的预后仍面临严峻挑战,亟待更有效的治疗方案突破困局!权威期刊《Cytotherapy》发表的一项重磅研究,为这一困境带来了新的转机——该研究聚焦自然杀伤(NK)细胞疗法联合化疗的治疗模式,系统评估了其在局部晚期结肠癌患者中的疗效与安全性。
研究设计严谨,共纳入接受根治性切除术的局部晚期结肠癌患者,按治疗方案分为两组:NK细胞组(27例)采用“NK细胞治疗+化疗”联合方案,对照组(33例)仅接受单纯化疗,通过长期随访对比两组治疗效果。
结果堪称突破性:队列研究数据显示,NK细胞组的5年无进展生存期(PFS)和总生存期(OS)均显著优于对照组:5年PFS率为51.1% vs 33%(P=0.044),5年OS率达72.5% vs 51.6%(P=0.037),意味着联合疗法能显著降低复发风险、延长患者生存时间。
更值得关注的是,在低分化癌且人类白细胞抗原(HLA)-1低表达的高危患者中,联合疗法的获益更为显著:NK细胞组中位PFS达23.5个月(对照组12.1个月,P=0.0475),中位OS延长至33.1个月(对照组18.5个月,P=0.045),成功为预后极差的高危人群打开了生存通道。且整个治疗过程中未报告显著不良反应,安全性与耐受性良好。

▲截图源自“Cytotherapy”
综上,NK细胞疗法联合化疗用于局部晚期结肠癌,不仅能有效预防复发、显著延长患者生存期,且不良反应可控,尤其对低分化等高危亚型患者展现出独特优势,为局部晚期结肠癌的治疗提供了更优选择!
NK细胞联合疗法让晚期HER2阳性乳腺癌稳定超半年,一例肿瘤标志物显著下降62%
权威期刊《临床癌症研究》曾发布一项Ⅰ期临床试验的振奋数据——聚焦“自体NK细胞联合曲妥珠单抗治疗HER2阳性乳腺癌”,为对标准治疗耐药的晚期患者带来新希望。该研究共纳入19例18~75岁患者,均为对标准治疗耐药的HER2阳性晚期乳腺癌患者,全部接受该联合治疗方案。
试验结果展现出亮眼的病情控制效果:6例患者实现病情稳定(SD),且缓解持续时间均超6个月(范围6~12个月),凸显联合疗法的长期控瘤潜力。
更值得关注的是其中一位55岁特殊患者的治疗突破——她同时患有转移性激素受体阳性+HER2阳性乳腺癌,既往已历经抗HER2治疗、激素疗法及多种化疗,抗癌之路多次陷入困境。但在接受连续2个周期联合治疗后,患者成功达到部分缓解(PR),且这一良好状态持续至第8周期(详见下图)。同时,她的肿瘤标志物CA-153水平也出现显著下降:治疗前为146.8,治疗第5周期降至75.4,治疗结束时仍稳定在76.6,从分子层面印证了联合疗法的切实疗效!

▲图源“AACR”,版权归原作者所有,如无意中侵犯了知识产权,请联系我们删除
《柳叶刀血液学》2025重磅!FT516NK疗法让ADCC作用拉满,B细胞淋巴瘤ORR飙升至58%
FT516——这款基于诱导多能干细胞(iPSC)衍生的基因修饰自然杀伤细胞疗法,凭借其独特设计闪耀抗癌领域:通过表达高亲和力、不可裂解的CD16分子,它能与治疗性单克隆抗体高效协同,最大化激活抗体依赖性细胞毒性(ADCC)作用,为B细胞恶性肿瘤治疗带来全新可能!
权威期刊《柳叶刀血液学》重磅发布了FT516的I期临床研究(NCT04023071)结果,该研究共纳入56例预期表达CD20的B细胞淋巴瘤患者,且既往接受过至少含抗CD20抗体的一线全身治疗后疾病复发或难治;其中55例患者最终接受了递增剂量静脉输注FT516治疗。
结果显示:55例接受治疗的患者中,32例实现客观缓解,客观缓解率(ORR)高达58%,彰显出强劲的抗肿瘤活性!无进展生存期(PFS)数据同样亮眼:侵袭性淋巴瘤PFS为2.4个月(范围:1.1-4.9个月),惰性淋巴瘤与套细胞淋巴瘤的PFS均未达到(详见下图),提示部分患者可能获得长期疾病控制。

▲图源“Lancet”,版权归原作者所有,如无意中侵犯了知识产权,请联系我们删除
这一研究成果意义重大:不仅证实了iPSC衍生的基因修饰NK细胞,联合单克隆抗体与IL-2的治疗方案,对B细胞恶性肿瘤安全且有效;更有望突破现有免疫细胞疗法的核心局限——在生产时间、细胞异质性、临床可及性及治疗成本等方面实现关键优化,为更多复发难治性B细胞淋巴瘤患者开辟出一条更具潜力的抗癌新路径!
小编寄语
NK细胞可在第一时间发现并启动人体的免疫防御机制,及时发现并将癌细胞扼杀在“摇篮”里,是公认的抗癌第一道防线。多项临床研究也表明,NK 细胞疗法具有很高的安全性和有效性,可以实现强效、通用和现成的免疫细胞疗法的前景,而且还可与DC细胞疫苗等疗法“强强联合”,是抗癌疗法中冉冉升起的新星!
小编也希望通过这篇文章能让更多病友,了解到NK细胞疗法的前沿进展及其在实体瘤和血液肿瘤中的应用,为广大癌友带来新的希望与选择!如果您对现有治疗方案不满意,或想寻求NK细胞、CAR-NK细胞等抗癌新技术的帮助,可将治疗经历、近期病理检查报告、出院小结等,提交至医学部,进行初步评估。
参考资料
[1]Strati P,et al.Off-the-shelf induced pluripotent stem-cell-derived natural killer-cell therapy in relapsed or refractory B-cell lymphoma: a multicentre, open-label, phase 1 study[J]. The Lancet Haematology, 2025, 12(7): e505-e515.
https://www.thelancet.com/journals/lanhae/article/PIIS2352-3026(25)00142-5/abstract
[2]Leem G,et al.Safety and Efficacy of Allogeneic Natural Killer Cells in Combination with Pembrolizumab in Patients with Chemotherapy-Refractory Biliary Tract Cancer: A Multicenter Open-Label Phase 1/2a Trial. Cancers (Basel). 2022 Aug 30;14(17):4229.
https://pmc.ncbi.nlm.nih.gov/articles/PMC9454779/
[3]Jin YY,et al.NK cells adjuvant therapy shows survival benefits in a gastric mixed signet ring cell carcinoma patient: A case report. Medicine (Baltimore). 2021 Mar 12;100(10):e24979.
https://pmc.ncbi.nlm.nih.gov/articles/PMC7969222/
[4]Li L,et al.Adoptive transfer of natural killer cells in combination with chemotherapy improves outcomes of patients with locally advanced colon carcinoma[J]. Cytotherapy, 2018, 20(1): 134-148.
https://www.isct-cytotherapy.org/article/S1465-3249(17)30708-9/abstract







