TIL疗法攻坚胰腺癌、卵巢癌、肠癌三大难治癌种,控病率超62%
小编 2025-11-06
TIL细胞疗法治疗胰腺癌、卵巢癌、肠癌三大难治癌种,控病率超62%
肿瘤浸润淋巴细胞(TIL)疗法是过继性免疫细胞疗法的一种,通过从患者肿瘤样本中采集浸润淋巴细胞,经体外培养扩增后回输体内,依托自身免疫系统对抗肿瘤;其核心抗癌原理是进一步激活免疫系统,实现对癌细胞的精准杀伤。
《免疫疗法癌症》杂志发表的临床研究(NCT03610490),不仅验证了TIL疗法在实体瘤治疗中的显著优势,还评估了其用于复发性或难治性卵巢癌、结直肠癌、胰腺导管腺癌的疗效与安全性。随着研究持续深入,TIL疗法有望为更多被实体瘤困扰的患者开辟新的治疗路径,让“以自身免疫击退癌症”的希望,逐步转化为更多患者的生存转机!
TIL疗法暴击三大实体瘤:疾病控制率62.5%,中位总生存18.86个月
该研究共纳入16例实体瘤患者,中位年龄57.5岁(范围33-70岁),包括8例难治性转移性结直肠癌(CRC)、5例胰腺癌(PDAC)、3例卵巢癌(OVCA),且所有患者肿瘤区域均适合切除活检。患者入组后,先接受体外扩增的TIL治疗,后续再给予高剂量IL-2治疗。中位随访时间为18.9个月(范围:2.2-44.8个月),结果显示如下:
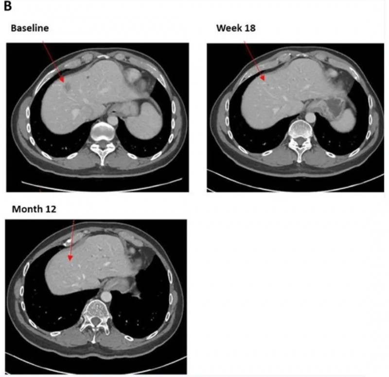
1、疾病控制率(DCR):整体DCR为62.5%(95%CI:35.4%-84.8%)。其中10例患者至少一次评估达到SD;12周时,5例患者(31.3%)达到SD,涵盖3例CRC、1例PDAC、1例OVCA。其中1例PDAC患者的SD持续17个月,虽未缩小原发灶,但部分转移灶缩小或消失(详见下图)。

▲图源“BMJ”,,版权归原作者所有,如无意中侵犯了知识产权,请联系我们删除
2、中位无进展生存期(PFS):所有患者队列中位PFS为2.53个月(95%CI:1.54-4.11)(详见下图A);其中CRC、PDAC、OVCA的中位PFS分别为2.79个月、2.43个月、2.52个月(详见下图B)。

▲图源“BMJ”,,版权归原作者所有,如无意中侵犯了知识产权,请联系我们删除
3、中位总生存期(OS):整体中位OS为18.86个月(95%CI:4.86-NR)(详见下图C);其中CRC、PDAC、OVCA的中位OS分别为21.42个月、14.49个月、4.86个月(详见下图D)。

▲图源“BMJ”,,版权归原作者所有,如无意中侵犯了知识产权,请联系我们删除
小编寄语
肿瘤浸润淋巴细胞(TIL)疗法自1988年首次应用于临床以来,已走过30余载的发展历程。相较于其他免疫细胞疗法,TIL疗法独具将患者自身肿瘤组织“变废为宝”的神奇功效,堪称实体瘤治疗领域当之无愧的抗癌黑科技。它既适用于早期癌症患者,可有效预防肿瘤的复发与转移;又能作为晚期患者的挽救性治疗手段,为癌症患者带来一线生机。
TIL疗法的发展历程更是见证了免疫治疗从“通用型”向“个体化”的升级:从早期依赖IL-2的复杂流程,到如今无需清淋、低温保存的技术革新,其安全性与可及性不断提升。随着针对肝癌、肺癌等更多实体瘤的临床试验推进,TIL疗法有望与PD-1抑制剂、基因编辑技术等联合,形成“精准免疫治疗矩阵”,为更多晚期癌症患者带来生存希望。
想寻求TILs疗法帮助或了解TILs细胞制备或冻存更多信息的患者,可将治疗经历、近期影像学检查及病理报告等资料,提交至医学部,进行初步评估获了解详细的入排标准。
参考资料
[1]Amaria R,et al.Efficacy and safety of autologous tumor-infiltrating lymphocytes in recurrent or refractory ovarian cancer, colorectal cancer, and pancreatic ductal adenocarcinoma. J Immunother Cancer. 2024 Feb 2;12(2):e006822.
https://www.ncbi.nlm.nih.gov/pmc/articles/PMC10840042/







