控病率最高100%!全球首个双靶点CAR-T新药IND获批,逐一攻克血癌、肠癌、肝癌、卵巢癌等
小编 2025-10-11
全球首个双靶点CAR-T产品SA102新药IND获批,CAR-T细胞疗法逐一攻克血癌、肠癌、肝癌、卵巢癌等
SA102 CAR-T是武汉思安医疗技术有限公司自主研发的双靶点嵌合抗原受体T细胞疗法,也是全球首个获得安全性与有效性临床数据的CS1/BCMA双靶CAR-T产品。
好消息是,2025年9月4日,这款创新疗法的新药临床试验申请(IND)已正式获国家药品监督管理局药品审评中心(CDE)批准,适应症为复发难治性多发性骨髓瘤!这一进展不仅为复发难治性多发性骨髓瘤患者带来了新的治疗希望,更标志着我国在双靶点CAR-T领域的研发实力迈向全球前沿,为肿瘤治疗突破带来新的选择与希望!

▲截图源自“NMPA”
国研双靶点SA102 CAR-T来了!81%总体缓解+100%亚组ORR,为多发性骨髓瘤患者打开"治愈"新通道
SA102已在武汉协和医院完成一项研究者发起的1/2a期临床试验(NCT04662099),16例复发或难治性(RR)多发性骨髓瘤(MM)患者接受SA102输注,中位随访时间为246天(范围:55~547天)。
结果显示:81%(13/16)患者达到总体缓解并实现微小残留病(MRD)阴性,其中严格完全缓解(sCR)率38%(6/16)、非常好的部分缓解(VGPR)率19%(3/16)、部分缓解(PR)率25%(4/16)(详见下图A);4例患者维持sCR,中位持续时间达17个月。

▲图源“Leukemia”,版权归原作者所有,如无意中侵犯了知识产权,请联系我们删除
此外,生存指标方面也表现良好,1年总生存率(OS)为62.22%(95%CI:23.90~85.45)(详见下图B),中位无进展生存期(PFS)9.0个月(95%CI:2.1~NR)(详见下图C),1年缓解持续时间(DOR)为56.26%(95%CI:19.48~81.69)(详见下图D)。

▲图源“Leukemia”,版权归原作者所有,如无意中侵犯了知识产权,请联系我们删除
最后值得一提的是,亚组疗效更突出:13例缓解患者的1年OS和PFS分别为72.73%(95%CI:24.13~93.16)、56.26%(95%CI:19.48~81.69)(图2E、F)。13例骨髓(BM)中可检测到MM细胞的患者,ORR达100%、sCR率46%,且全部实现MRD阴性,首次MRD阴性的中位时间仅0.5个月(范围:0.5-1.0个月)。

▲图源“Leukemia”,版权归原作者所有,如无意中侵犯了知识产权,请联系我们删除
综上,该研究验证了SA102良好的安全性与有效性,预期上市后将为国内广大多发性骨髓瘤患者,尤其是移植或单靶点CAR-T治疗失败的患者提供新的治疗希望。
全球首个抗CEA CAR-T试验阳性!超57%结直肠癌肝转移患者术后两年未复发,最长无复发生存15个月
约75%的结直肠癌肝转移患者,会在术后两年内因循环肿瘤细胞及微观残留病灶复发。CAR-T(嵌合抗原受体T细胞)疗法虽已在血液肿瘤领域创造“治愈奇迹”,但在实体瘤治疗中却长期受困——肿瘤微环境复杂、CAR-T细胞难以定位肿瘤、易误伤正常细胞,这三大难题制约了其应用。而突破的关键,正指向“CEA”这一特异性靶点。
癌胚抗原(CEA)是一种特殊糖蛋白,胚胎发育阶段会短暂表达,成年后仅在胃肠道上皮细胞中低水平存在;但在多种实体瘤中会“异常活跃”,结直肠癌、70%的非小细胞肺癌、50%的乳腺癌,以及胃癌、胰腺癌等癌细胞表面,均呈现CEA高表达。这种“癌细胞特供”的表达模式,让CEA成为精准打击肿瘤的“黄金靶标”——CAR-T细胞可通过识别CEA,像导弹般锁定癌细胞,有效避免损伤正常细胞。
2025年ASCO大会报道了一项单组剂量递增I期临床试验(NCT05240950),该试验为全球首个探索抗CEA CAR-T疗法延长结直肠癌肝转移术后患者无复发生存期的研究。研究共纳入12例患者,分别接受不同剂量CAR-T细胞输注:1×10^6/kg和3×10^6/kg剂量组各2例,6×10^6/kg剂量组8例。
结果显示:6×10^6/kg高剂量组疗效尤为显著:4例受试者输注后已分别维持5、7、10、15个月无复发生存,且随访仍在持续;该剂量组中,57.14%的受试者在根治性切除术后两年内未出现复发。

▲数据源自“ASCO”,医学部整理汇总
综上,该试验未观察到严重不良事件,且高剂量抗CEA CAR-T治疗能显著降低结直肠癌肝转移术后患者的复发风险,为这类患者的术后防复发提供了新的精准治疗方向。
中国患者如何寻求CAR-T疗法帮助
目前有多款CAR-T疗法的临床试验正在招募中,主要针对以下癌种及靶点:
1)GPC3:用于肝癌等治疗;
2)Claudin18.2:用于治疗胰腺癌、胃癌等;
3)GUCY2C:用于结直肠癌的治疗;
4)PSMA:用于治疗前列腺癌等;
5)GPEGFRvII:用于治疗神经胶质瘤、头颈部肿瘤等;
6)CEA:用于治疗肺癌、胰腺癌、胃癌、乳腺癌、结肠癌等;
7)间皮素(mesothelin):用于治疗间皮瘤、胰腺癌、肺癌、卵巢癌等;
8)MUC-1:用于治疗胃癌、肝癌、肺癌、胰腺癌、结肠癌等;
9)B7-H3:用于治疗髓母细胞瘤、肾母细胞瘤、尤文肉瘤、神经母细胞瘤、横纹肌肉瘤、特别难以治疗的脑干肿瘤(DIPG)等。
10)BCMA:用于多发性骨髓瘤等治疗;
11)CD19:用于治疗白血病、淋巴瘤、B细胞急性淋巴细胞白血病等;
12)CD20:用于治疗淋巴瘤、弥漫大B细胞淋巴瘤、B细胞非霍奇金淋巴瘤等。
做过基因检测的患者,可自行查看基因检测报告,一旦发现存在上述突变,可将近期病理报告、基因检测报告等资料汇总后,提交至医学部,初步评估是否有机会参加相关临床试验。一旦审核通过,有机会获得”天价“疗法免费治疗的机会。看不懂检测报告或想要明确相关靶点的患者,也可联系医学部,详细解读报告或了解检测详情。
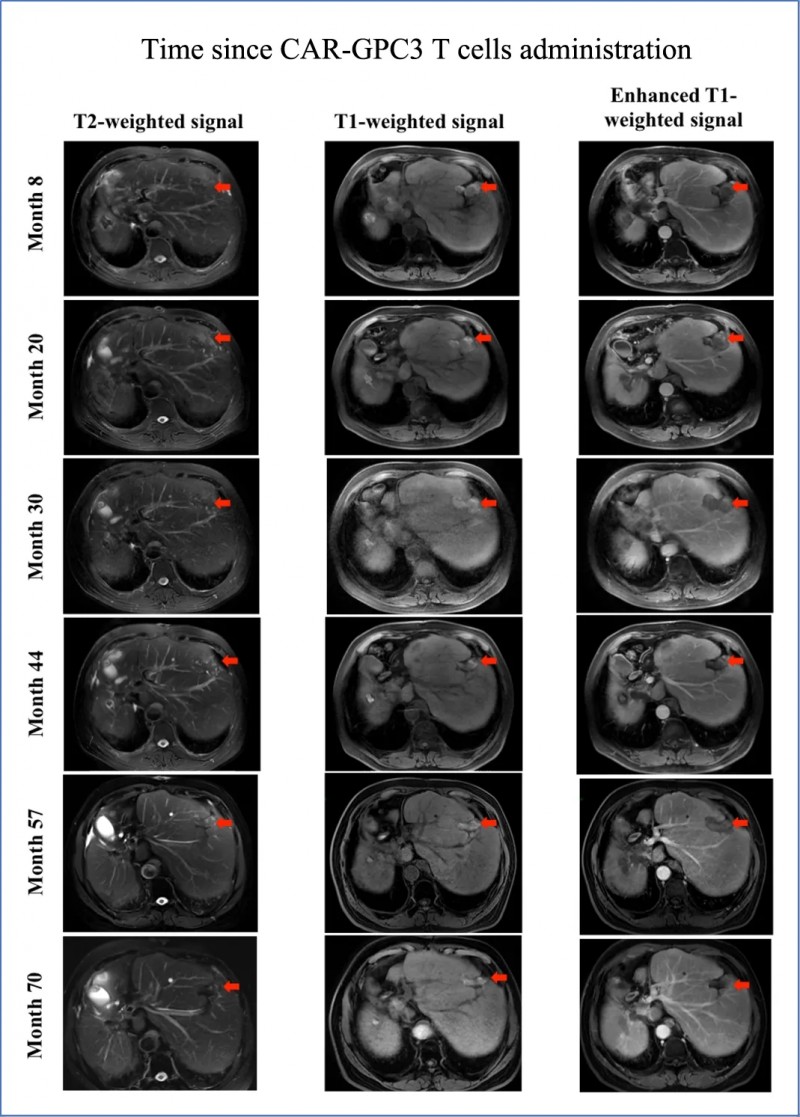
CAR-GPC3 T疗法助肝癌患者活过8年,远超17.8个月中位生存期
肝癌患者治疗选择有限,整体预后不佳——即使接受手术切除,术后中位总生存期也仅17.8个月。而世界知名期刊《癌症通讯》曾报道一则突破性案例:一名晚期肝细胞癌(HCC)患者,经创新型CAR-GPC3 T细胞疗法治疗后,总生存期超8年,远超肝癌术后17.8个月的中位生存期。
该患者为54岁男性,确诊时为Ib期肝细胞癌(HCC)。他此前已接受过肿瘤切除手术、经导管动脉化疗栓塞术(TACE)、肝癌微波消融治疗(MWA),但病情仍快速进展。MRI检查显示其肝脏存在多灶性病变,且伴随腹膜后淋巴结转移(LM),随后患者入组接受CAR-GPC3T细胞治疗。
治疗结果显著:甲胎蛋白(AFP)水平大幅降低56.6%,从1301ng/mL降至565ng/mL(详见下图)。

▲图源“WILEY Online Library”,版权归原作者所有,如无意中侵犯了知识产权,请联系我们删除
此外,CAR-GPC3 T细胞治疗2周后,患者腹膜后淋巴结转移灶(LM)开始缩小,病变短轴直径缩小5.2%、长轴直径缩小4.5%;第7次输注后第7天,靶病变短轴进一步缩小7.4%(详见下图H-I)。后续患者接受伽玛刀放射外科治疗(GKRS)后,AFP水平逐步降至正常范围,且自此进入无癌状态。除2016年7月的GKRS治疗外,患者未再接受任何抗癌治疗,仍保持无病状态超5年,总生存期超8年(详见下图,注:红色箭头表示治疗后的坏死肿瘤)。

▲图源“WILEY Online Library”,版权归原作者所有,如无意中侵犯了知识产权,请联系我们删除
全球首创国研KT032 CAR-T暴击卵巢癌/间皮瘤,首次人体临床试验疾病控制率达100%
KT032是全球首创的国研新型靶向间皮素(MSLN)的CAR-T细胞疗法,属于多链DAP-CAR-T技术路线。在体外细胞杀伤试验与异种移植模型中,该疗法(尤其由自然杀伤细胞免疫球蛋白样受体截短体与DAP12结合形成的多链DAP-CAR-T),相比其他由DAP12、DAP10或CD3ζ相关自然杀伤细胞激活受体介导的CAR-T,展现出更优的细胞毒性与肿瘤杀伤能力。近期,KT032公布首次人体临床试验的振奋数据——在卵巢癌与间皮瘤患者中,疾病控制率(DCR)达100%。
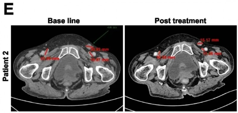
该研究共纳入8例晚期难治性患者(7例卵巢癌、1例间皮瘤),所有患者均至少接受过2种标准治疗(如化疗、靶向药)后复发或进展,且经病理确认肿瘤细胞MSLN表达≥15%(MSLN为KT032的精准靶点)。
结果显示:8例患者疾病控制率达100%,无1例出现快速进展,意味着CAR-T细胞成功抑制肿瘤进展;其中2例实现“部分缓解”(肿瘤缩小≥30%),部分缓解率33.3%;4例达到“疾病稳定”(肿瘤未增大或略有缩小),6例肿瘤得到有效压制。生存数据同样亮眼,患者中位无进展生存期(PFS)达5.5个月,中位总生存期(OS)达10.5个月,远超同类患者预期生存时间。此外,部分患者治疗后癌抗原125(CA125)水平显著下降,整体治疗有效率远超传统方案。
值得关注的是,两位患者的疗效尤为突出:患者1肝转移灶缩小31%,且腹腔积液完全消失;患者2可测量病灶总最大直径缩小42%(详见下图)。


▲图源“BMC”,版权归原作者所有,如无意中侵犯了知识产权,请联系我们删除
PSCA-CAR-T在前列腺癌中的首次"试水"!6个月生存率最高67%,转移灶消退
前列腺癌因肿瘤内部缺乏大量T细胞,被称为“免疫沙漠”,既往免疫疗法难以奏效。而前列腺干细胞抗原(PSCA)在前列腺癌中高度表达,且表达量随疾病进展升高,在晚期(尤其伴骨转移)患者中表达更高,为靶向治疗提供了理想靶点。
近期,世界知名期刊《Nature Medicine》报道了一项新型PSCA-CAR-T细胞疗法的首次人体1期临床试验(NCT03873805)。该试验共入组14例患者,均为PSCA阳性的转移性去势抵抗性前列腺癌(mCRPC)——癌细胞已扩散至前列腺外,且对激素治疗耐药,临床已无更优治疗方案,最终接受CAR-T细胞回输治疗。
结果显示:DL1、DL2、DL3三个剂量组患者的6个月生存率分别为33%、67%、40%。
值得关注的是,两例患者的治疗效果尤为亮眼,具体疗效如下:
第一例为DL3剂量组患者(UPN394),其肝转移负荷实现放射学改善,但未达到PSA反应;CT扫描清晰呈现了输注前的肝转移灶,以及输注PSCA-CAR-T细胞1个月后的疾病反应(详见下图c)。

▲图源“Nature Medicine”,版权归原作者所有,如无意中侵犯了知识产权,请联系我们删除
另一例为前列腺癌伴胰腺转移患者(UPN388):输注PSCA-CAR-T前后的CT复查显示,输注前病灶大小为40.2×24.8mm,输注后1个月病变完全消退、已无法测量(详见下图e);尽管因存在骨转移,RECIST评估结果为“病情稳定”,但患者软组织转移灶的放射学表现已有所改善(详见下图b)。


▲图源“Nature Medicine”,版权归原作者所有,如无意中侵犯了知识产权,请联系我们删除
小编寄语
CAR-T细胞疗法经过数十年的发展,已成为肿瘤治疗领域的新兴支柱,作为肿瘤免疫细胞疗法中的佼佼者,在治疗血液肿瘤方面的成绩有目共睹。如今CAR-T技术也已发展到了第五代,国内外相继有13款产品获批上市。CAR-T疗法的出现打破了传统的肿瘤治疗模式,肿瘤免疫疗法也成为了继手术、放化疗后的第四类肿瘤治疗方法。期待其在血液肿瘤和实体瘤的治疗领域,能取得更大的突破,并早日纳入医保范畴,让越来越多的癌症患者能得到这款“天价”疗法的帮助!
想明确自身靶点或寻求CAR-T等新型疗法帮助的患者,可将完整的病理报告、治疗经历等资料,提交至医学部,进行初步评估,或申请国外内抗癌专家会诊。
参考资料
[1]Li C,et al.Bispecific CS1-BCMA CAR-T cells are clinically active in relapsed or refractory multiple myeloma. Leukemia. 2024 Jan;38(1):149-159.
https://pmc.ncbi.nlm.nih.gov/articles/PMC10776387/
[2]Zhang W,et al.Safety and efficacy of anti-CEA CAR-T cells to prolong relapse-free survival of colorectal cancer liver metastases patients after radical resection[J]. 2025.
https://www.asco.org/abstracts-presentations/ABSTRACT491838
[3]Shi Y,et al.Combined local therapy and CAR-GPC3 T-cell therapy in advanced hepatocellular carcinoma: a proof-of-concept treatment strategy. Cancer Commun (Lond). 2023 Sep;43(9):1064-1068.
https://onlinelibrary.wiley.com/doi/10.1002/cac2.12472
[4]Xu T,et al.Efficacy and safety of novel multiple-chain DAP-CAR-T cells targeting mesothelin in ovarian cancer and mesothelioma: a single-arm, open-label and first-in-human study. Genome Med. 2024 Nov 15;16(1):133.
https://genomemedicine.biomedcentral.com/articles/10.1186/s13073-024-01405-5
[5]Dorff T B,et al.PSCA-CAR T cell therapy in metastatic castration-resistant prostate cancer: a phase 1 trial[J]. Nature Medicine, 2024: 1-9.
https://www.nature.com/articles/s41591-024-02979-8







