7年总生存率超55%!四大"救命"免疫疗法,破解肺癌、肝癌、乳腺癌等复发转移死局
小编 2025-09-29
免疫治疗肿瘤7年总生存率超55%!四大“救命”免疫疗法,破解肺癌、肝癌、乳腺癌等复发转移死局
全球每年约1800万人确诊癌症。尽管筛查提升了符合条件人群的早期发现率,但仅25%–30%患者就诊时处于疾病局部阶段,可手术切除治愈。即便手术成功,复发常见,癌症转移更是患者死亡主因——世卫组织数据显示,超90%癌症相关死亡源于转移,这在一线治疗失败后尤为突出。
过去十年,细胞免疫疗法已成为非小细胞肺癌(NSCLC)的变革性治疗策略。其通过体外修饰或扩增肿瘤浸润淋巴细胞(TIL)、嵌合抗原受体(CAR)T细胞、自然杀伤(NK)细胞等免疫效应细胞,产生高特异性、持久性抗肿瘤反应。其中:DC疫苗可增强免疫功能、安全性好,联合其他疗法效果更优;mRNA疫苗(尤其特定新抗原技术型)可引发强大抗肿瘤免疫反应;NK细胞疗法从简单输注发展为定制化形式,疗效与持久性显著提升。小编也希望下文的科普,让病友们多了解这些“救命的”前沿抗癌疗法,抗癌路上少走弯路,重燃生活希望!
抗癌"新武器"已就位!细胞免疫疗法四大王牌,激活自身免疫力,让"精准抗癌"照进现实
过去十年,细胞免疫疗法已成为癌症的变革性治疗策略,树突状细胞(DC)疫苗、mRNA疫苗、T细胞疗法、自然杀伤(NK)细胞疗法均具独特机制与临床潜力。
1、树突状细胞(DC)疫苗:利用DC强大的抗原呈递能力激发肿瘤特异性T细胞应答——作为专业抗原呈递细胞,DC能启动幼稚T细胞,引发针对癌症相关抗原的强适应性免疫应答。体外构建非小细胞肺癌(NSCLC)DC疫苗的常用方法为:分离患者自体单核细胞并转化为DC,加载黏蛋白1(MUC1)、维尔姆斯肿瘤1(WT1)或定制新抗原等肿瘤相关抗原(TAA);加载抗原的DC成熟后回输患者,以触发靶向癌细胞的细胞毒性T淋巴细胞(CTL)应答(详见下图)。
▼树突状细胞疫苗生产和作用机制图:从患者血液采集到肿瘤特异性 T 细胞活化

▲图源“cells”,版权归原作者所有,如无意中侵犯了知识产权,请联系我们删除
2、mRNA癌症疫苗:已在多项早期试验中用于评估晚期非小细胞肺癌等癌种。多数患者可检测到新抗原特异性T细胞应答,生产可行性亦获验证;与免疫检查点抑制剂(ICI)联用可增强免疫原性与临床活性,且安全性良好。
3、自然杀伤(NK)细胞疗法:NK细胞(天然淋巴细胞)可通过死亡受体信号传导、穿孔素/颗粒酶释放及抗体依赖性细胞毒作用(ADCC),无需预先致敏肿瘤细胞即可将其清除。在NSCLC中,抑制性检查点上调、激活性配体下调,故需通过治疗增强NK活性。
4、肿瘤过继性T细胞疗法(ACT):取患者自身或供者T淋巴细胞,经体外感应筛选或基因修饰获得肿瘤杀伤活性、扩增后回输患者,以发挥杀伤作用。目前其主要包括CAR-T、TCR-T、TIL(肿瘤浸润淋巴细胞)疗法三类。
DC细胞疫苗联合T细胞疗法,改写肺癌预后不良困局,7年总生存率达55.1%
一项肺癌辅助化学免疫治疗III期随机对照试验的最终结果及免疫学分析证实:接受免疫治疗的患者具有显著优势。该研究纳入103例术后预后不良的晚期肺癌患者,将其随机分为两组:A组(化学免疫治疗组)接受自体活化杀伤性T细胞和树突状细胞(AKT-DC)过继移植联合治疗,B组(对照组)仅接受化疗,中位随访时间为59.6个月。
结果显示:两组总生存率(OS)与无复发生存率(RFS)差异显著。
1、总生存率(OS):A组(DC疫苗联合T细胞治疗组,AKT-DC)2年、5年、7年OS率分别为96.0%(95%CI:84.9–99.0)、69.4%(范围:54.4–80.3)、55.1%(范围:34.3–71.7);B组分别为64.7%(范围:50.0–76.1)、45.1%(范围:31.2–58.0)、38.1%(范围:24.6–51.4)(详见下图)。

▲图源“Cancer Immunol Immunother”,版权归原作者所有,如无意中侵犯了知识产权,请联系我们删除
2、无复发生存率(RFS):A组2年、5年、7年RFS率分别为70.0%(95%CI:55.3–80.7)、57.9%(范围:43.1–70.2)、47.5%(范围:29.2–63.8);B组分别为43.1%(范围:29.4–56.1)、31.4%(范围:19.3–44.2)、28.5%(范围:16.7–41.5)(详见下图)。

▲图源“Cancer Immunol Immunother”,版权归原作者所有,如无意中侵犯了知识产权,请联系我们删除
ASCO重磅数据:零死亡+低复发!LK101疫苗力挫肝癌,1年复发率仅18.2%
2023年3月,我国自主研发的个性化肿瘤新抗原疫苗“LK101注射液”获国家药监局药品审评中心临床试验默示许可,用于晚期实体瘤治疗。作为我国mRNA肿瘤疫苗领域的里程碑产品,LK101是结合树突状细胞(DC)与mRNA双重优势的个性化新抗原靶向疫苗——依据患者数十种肿瘤突变信息,将编码个性化肿瘤抗原靶点的mRNA转导至DC细胞中,激活针对癌细胞的特异性免疫反应以实现攻击与清除,可作用于多款晚期实体瘤。
2024年美国临床肿瘤学会(ASCO)大会上,其治疗肝细胞癌(HCC)的首次人体临床研究(NCT03674073)公布亮眼数据,进一步佐证疗效。该研究纳入24例IIa期HCC患者,按1∶1随机分组:疫苗接种组接受LK101联合消融治疗,对照组仅接受消融治疗。
结果显示:LK101联合消融疗法安全性可控,且存在免疫激活证据,更展现出显著的降复发与延生存潜力:1年复发率分别为18.2%(疫苗接种组) vs 33.3%(对照组);2年复发率分别为36.4%(疫苗接种组) vs 51.4%(对照组)。两组中位随访时间分别为48.4个月、38.8个月,对照组有3例患者死亡,而疫苗接种组12例患者均存活。这意味着,12名接受疫苗的患者生存期长达4年以上!

▲截图源自“NMPA官网”
想寻求LK101或其他癌症疫苗帮助的患者,可将治疗经历、近期病理检查及影像学检查结果等资料,提交至医学部,进行初步评估。
HPV-TIL疗法让化疗难治性宫颈癌患者长期无癌,完全缓解≥15个月,最长无癌生存22个月
转移性宫颈癌是化疗难治性上皮性恶性肿瘤,亟需新的治疗手段,而过继性T细胞疗法(ACT)正展现出广阔前景。《临床肿瘤学杂志》报道的一项研究显示:转移性宫颈癌患者接受针对HPV E6/E7反应性筛选的肿瘤浸润性T细胞(HPV-TIL)治疗后,实现了肿瘤客观消退,其中两例患者达成长期完全缓解。
该研究共纳入9例转移性宫颈癌患者,中位年龄37岁(30-59岁),肿瘤类型涵盖鳞状细胞癌(4例)、腺癌(3例)、腺鳞癌(2例);HPV血清型以HPV-18为主(7例),HPV-16占2例。所有患者均存在多处远处转移,且既往均接受过铂类化疗(部分联合放化疗)。入组后,患者先接受淋巴细胞耗竭化疗联合阿地白介素治疗,随后单次输注HPV-TIL。
结果显示,9例患者中3例实现客观缓解(ORR 33.3%):2例达完全缓解(CR),缓解持续时间分别为22个月和15个月;1例达部分缓解(PR),缓解持续3个月。
其中两例完全缓解患者的情况尤为值得关注:
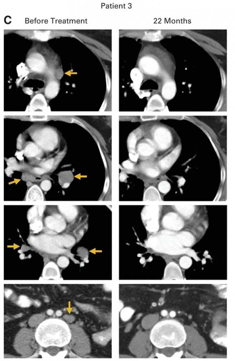
患者3(转移性鳞状细胞癌):经顺铂+长春新碱+博来霉素诱导治疗、吉西他滨+顺铂放化疗、拓扑替康+紫杉醇等多线治疗后,HPV-TIL治疗前肿瘤已进展至主动脉旁、双侧肺门、隆突下及髂骨等部位(详见下图C)。治疗后所有病灶完全消退,22个月时仍无疾病迹象。

▲图源“ASCO”,版权归原作者所有,如无意中侵犯了知识产权,请联系我们删除
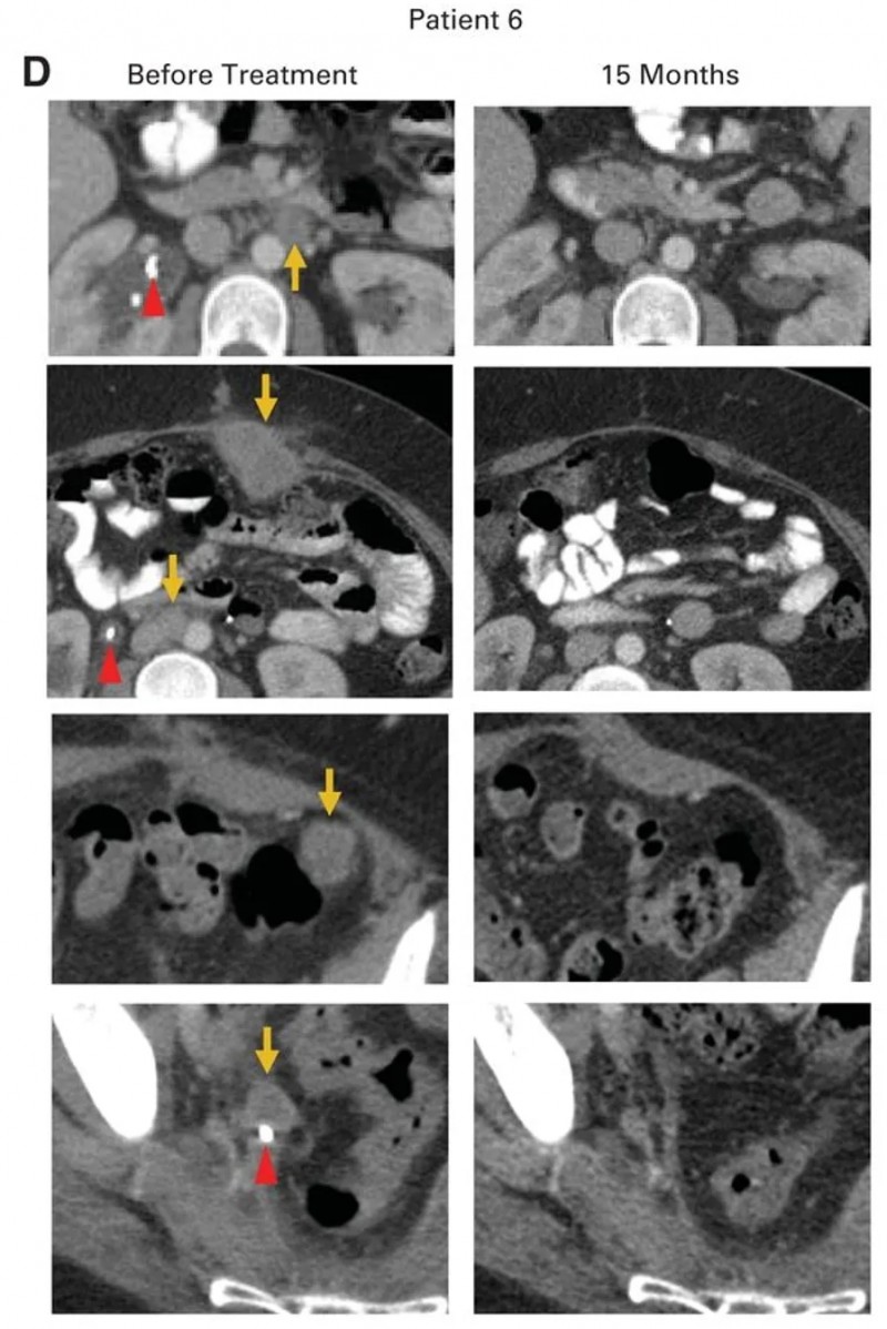
患者6(转移性腺癌):原发肿瘤对放化疗无应答,经挽救性手术后病情仍持续进展,累及腹膜后淋巴结、肝脏表面等部位,伴右侧输尿管肾积水、双侧肺栓塞,需依赖输尿管支架及抗凝治疗。HPV-TIL治疗前,腹膜后、腹壁、结肠旁等多处肿瘤仍在进展。治疗后达成完全临床缓解,15个月时无疾病迹象,右侧输尿管支架已移除(详见下图D)。

▲图源“ASCO”,版权归原作者所有,如无意中侵犯了知识产权,请联系我们删除
NK细胞联手曲妥珠单抗,暴击耐药HER2阳性乳腺癌,从"无药可用"到"病情稳控"
《临床癌症研究》曾报道一项Ⅰ期临床研究,评估自体NK细胞联合曲妥珠单抗治疗HER2阳性乳腺癌的效果。该研究共纳入19例18~75岁、对标准治疗耐药的HER2阳性晚期乳腺癌患者,均接受上述联合治疗。
结果显示:6例患者达到病情稳定(SD),且缓解持续时间≥6个月(范围6~12个月)。
值得一提的是,其中1例55岁的转移性激素受体阳性、HER2阳性乳腺癌患者实现了部分缓解(PR):该患者既往已接受过抗HER2治疗、激素疗法及多种化疗,经连续2个周期联合治疗后达PR,并在第8周期治疗后仍维持这一状态(详见下图)。此外,其肿瘤标志物CA-153水平从治疗前的146.8,下降至治疗第5周期的75.4,治疗结束时仍稳定在76.6。

▲图源“AACR”,版权归原作者所有,如无意中侵犯了知识产权,请联系我们删除
小编寄语
癌症转移与复发虽均威胁生命,但转移因癌细胞恶性程度更高、治疗难度更大、对生存率影响更致命,总体预后比复发更差。不过,随着靶向治疗、免疫治疗、精准放疗等技术发展,部分转移患者也能实现长期生存。
但小编也需提醒广大癌友,癌症作为一种极其狡猾并高度突变的疾病,其预防和治疗不是一蹴而就的。早发现、规范治疗和定期监测是核心;同时手术、放化疗在癌症治疗领域的地位不可撼动;在此基础上,患者可结合自身情况辅助癌症疫苗(如DC疫苗、mRNA癌症疫苗)、过继性T细胞疗法(CAR-T、TCR-T、TIL细胞疗法)等手段,降低癌症复发/转移风险、提高生活质量、尽可能延长生存期。
如果您对目前的治疗方案不满意,想寻求前沿检测手段、新兴抗癌技术的帮助,可将治疗经历、病理报告等,提交至医学部,进行初步评估或申请国内外抗癌专家会诊。
参考资料
[1]Masroor Ali Beg M,et al.Advances in Non-Small Cell Lung Cancer Cellular Immunotherapy: A Progress in Dendritic Cell, T-Cell, and NK Cell Vaccines[J]. Cells, 2025, 14(18): 1453.
https://www.mdpi.com/2073-4409/14/18/1453
[2]Kimura H,et al.Randomized controlled phase III trial of adjuvant chemoimmunotherapy with activated cytotoxic T cells and dendritic cells from regional lymph nodes of patients with lung cancer[J]. Cancer Immunology, Immunotherapy, 2018, 67(8): 1231-1238.
https://link.springer.com/article/10.1007/s00262-018-2180-6
[3]Stevanović S,et al.Complete regression of metastatic cervical cancer after treatment with human papillomavirus–targeted tumor-infiltrating T cells[J]. Journal of Clinical Oncology, 2015, 33(14): 1543-1550.
https://ascopubs.org/doi/10.1200/JCO.2014.58.9093
[4]Lee S C,et al.Phase I trial of expanded, activated autologous NK-cell infusions with trastuzumab in patients with HER2-positive cancers[J]. Clinical Cancer Research, 2020, 26(17): 4494-4502.
https://aacrjournals.org/clincancerres/article/26/17/4494/82678/Phase-I-Trial-of-Expanded-Activated-Autologous-NK







