100%控病率!全球首款"双靶点+智能开关"CAR-NK终结无效治疗,横扫血癌、肺癌、肠癌等
小编 2025-09-28
100%控病率!全球首款“双靶点+智能开关”CARNK细胞疗法终结无效治疗,横扫血癌、肺癌、肠癌等
2025年美国癌症研究协会(AACR)年会上,新型CAR-NK疗法SENTI-202的I期临床试验中期数据引发广泛关注。在4名复发或难治性(R/R)急性髓系白血病(AML)患者中,该疗法成功实现完全缓解,其中最长缓解持续时间已超8个月——这份经随访数据证实的深度持久缓解效果,令人尤为振奋。
更值得关注的是,SENTI-202还是全球首款采用「双靶点+智能开关」设计的CAR-NK疗法,其创新性与临床潜力尽显。这不仅为深陷治疗困境的R/R AML患者点亮了新的希望,更标志着CAR-NK疗法领域的重要突破,为癌症精准治疗的未来注入了强劲动力!

▲截图源自“pharmacy TIMES”
告别"无效治疗"!全球首款"双靶点+智能开关"CAR-NK点燃持久治愈希望
SENTI-202 CAR-NK,攻克AML两大"死穴"
急性髓系白血病(AML)是侵袭性极强的异质性血液肿瘤,治疗长期面临两大核心难题:一是肿瘤异质性突出,不同患者甚至同一患者的AML细胞差异显著,且伴随多种基因突变与表面抗原,难以确定普适性治疗靶点;二是治疗毒性风险高,AML细胞的诸多抗原与健康造血细胞重叠,易引发脱靶毒性。加之患者多存在免疫系统受损、T细胞功能失调的问题,即便在多发性骨髓瘤、部分淋巴瘤等B细胞肿瘤中成效显著的CAR-T疗法,也因依赖自体T细胞制备、靶点杂乱且易“误伤”正常细胞,在AML治疗中收效甚微——其核心症结正是AML复杂的生物学特性。
为此,研究人员转向NK细胞这一替代性细胞治疗平台。与T细胞不同,NK细胞可源自健康供体,能制成现成异体疗法,省去个体化制备耗时;且移植物抗宿主病风险更低,引发严重免疫相关不良反应(AE)的可能性更小。
基于NK细胞开发的SENTI-202,创新性融入逻辑门控设计:通过双靶点(CD33/FLT3)识别扩大对异质性AML细胞的杀伤范围,内置EMCN安全开关(检测到健康造血干/祖细胞特有的标志物即中止杀伤)以降低脱靶毒性,同时具备“即用型”优势——采用健康供体NK细胞制备,最快72小时即可输注。正如相关观点所指,这种仅细胞疗法能实现的逻辑门控技术,精准破解了AML缺乏“专属靶点”、易损伤健康细胞的核心困境。
SENTI-202让难治性AML患者获持久缓解,MRD阴性缓解超8个月
该I期SENTI-202-101(NCT06325748)临床试验旨在探究首创的现成嵌合抗原受体自然杀伤(CAR-NK)细胞疗法SENTI-202,在复发/难治性急性髓系白血病(R/RAML)中的疗效。
截至2025年1月数据截止日,已有9例R/R AML患者接受至少1个周期的SENTI-202治疗(治疗流程为:先接受淋巴细胞清除化疗,后输注CAR-NK细胞),相关研究结果于2025年AACR年会公布。
结果显示:在7例疗效可评估患者中:5例达到总体缓解[定义为复合完全缓解(cCR)或形态学无白血病状态],其中4例实现cCR(含3例CR伴血液学完全恢复、1例CR伴血液学部分恢复);在接受2期推荐剂量(RP2D)治疗的3例患者中,2例达到cCR。更值得关注的是,4例cCR患者经当地评估均为微小残留病灶阴性,截至数据截止仍持续缓解,最长随访时间超8个月,且其中3例成功接受了具备治愈潜力的骨髓移植。安全性方面,该疗法优势显著:未观察到剂量限制性毒性,所有严重不良事件均与预处理化疗相关。

▲图源“AACR”,版权归原作者所有,如无意中侵犯了知识产权,请联系我们删除
这项技术的核心价值在于,为实体瘤治疗开辟了新路径——多数癌症靶点存在“癌组织与正常组织共表达”的难题,而逻辑门控技术有望实现精准区分。随着后续研究推进,这种“智能细胞药物”或将为更多难治性肿瘤患者带来希望。
中国患者如何寻求CAR-NK疗法帮助
目前有多款在研的CAR-NK疗法,正急招非小细胞肺癌、肾细胞癌、急性髓系白血病、复发或难治性多发性骨髓瘤等多款癌种,对此感兴趣的病友,可将治疗经历、近期病理报告、影像学资料等,提交至医学部,了解详细的入排标准或进行初步评估。
NK细胞三联疗法强攻复发性胶质母细胞瘤,从"9%生存率"到"100%疾病控制率"
胶质母细胞瘤(GBM)是最常见且极具破坏性的脑癌类型之一,其治疗长期陷入瓶颈,现有获批疗法难以实现持久控制,生存率极低——45-54岁患者五年生存率仅9%,55-64岁患者更是降至6%,因此迫切需要寻求新的治疗方法。
在此背景下,ImmunityBio启动的一项临床试验引发广泛关注:该试验针对标准治疗失败的复发性(二线)GBM患者,采用首次非化疗方案,患者接受的在研免疫增强方案由三部分组成:NK细胞疗法(PD-L1t-haNK)、ANKTIVA(一种IL-15激动剂,可增强NK细胞活性)及OptuneGio(肿瘤治疗场)。于2025年8月26日公布了首批5例患者的早期数据,结果令人振奋。
数据显示:5例患者中3例出现缓解(含2例接近完全缓解),其余2例病情稳定,疾病控制率达100%。且所有患者均因一线放化疗出现淋巴细胞减少,治疗后其绝对淋巴细胞计数(ALC)均显著提升。

▲截图源自“ImmunityBio”
尽管目前仅为小规模患者的早期结果,但在治疗进展停滞数十年的GBM领域,这种无需化疗、兼具免疫刺激作用的NK细胞联合疗法已展现出光明前景。目前研究团队计划推进针对GBM二线治疗的2期临床试验,以进一步验证其潜力。业内认为,该疗法通过激活免疫系统实现持久应答,有望挽救一线治疗后免疫细胞受损的患者,或代表脑肿瘤治疗领域的根本性进步——即便结果尚处早期,对于高风险、低生存率的GBM而言,已足够带来希望。
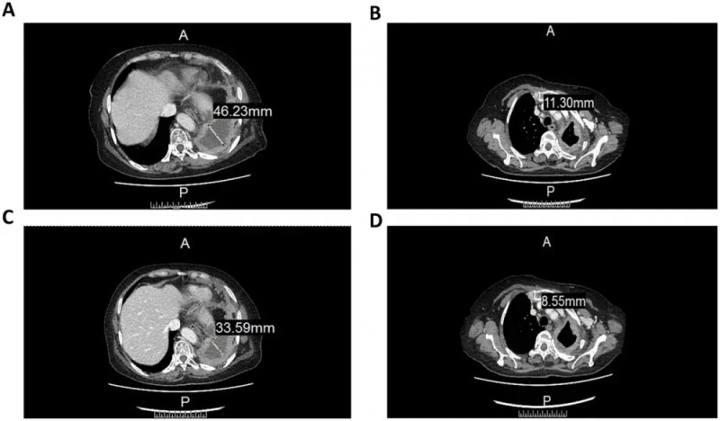
放疗、靶向无效后,国研CCCR-NK92细胞为晚期肺癌患者点亮生机,肿瘤病灶+胸腔积液双双"缩水"
CAR-NK细胞疗法不仅在血液肿瘤治疗中展现潜力,在实体瘤领域亦有突破——《细胞移植》杂志曾报道一例晚期非小细胞肺癌患者,经改良版CAR-NK细胞治疗后肿瘤病灶显著缩小的振奋案例。
该案例为一名69岁女性非小细胞肺癌(NSCLC)患者,影像学检查显示已发生颅内转移;基因检测提示其肺组织存在T790突变、Exon-1919-del突变,且PD-L1表达≥1%。患者此前接受过头部放疗、靶向治疗等方案,但疗效均不佳,随后入组接受CCCR-NK92细胞治疗。
结果显示:治疗后CT检查发现肿瘤病灶显著缩小、胸腔积液也有所减少。具体表现为前气管-后腔静脉间质区淋巴结由11.3mm缩小至8.55mm(详见下图B/D),左肺包裹性胸腔积液由46.22mm减少至33.59mm(详见下图A/C)。
▼CCCR-NK92细胞治疗前后CT图像对比

▲图源“Sage Journals”,版权归原作者所有,如无意中侵犯了知识产权,请联系我们删除
NKG2D CAR-NK暴击转移性肠癌,腹水锐减,肝转移病灶缓解
广州医科大学一篇2020年的硕士论文披露了NKG2D mRNA CAR-NK细胞疗法治疗转移性结直肠癌的临床研究成果。该研究以局部输注方式,对3例患者开展了靶向NKG2D的CAR-NK细胞治疗。
结果显示:2例患者经腹腔输注低剂量CAR-NK细胞后,腹水生成速度显著减缓,腹水中的肿瘤细胞数量急剧下降;另1例伴肝转移的患者采用“腹腔灌注联合超声引导下瘤内注射”方案治疗后,PET-CT检查提示肝脏病灶实现完全代谢缓解(详见下图)。值得关注的是,3例患者在治疗全程均未出现3级及以上不良反应。
该研究初步证实了NKG2D mRNA CAR-NK细胞用于转移性结直肠癌治疗的安全性与可行性,为晚期患者开辟了免疫治疗新路径。
▼3号患者经NKG2D CAR-NK治疗后,肝转移病灶的PEC-CT对比

CAR-NK细胞疗法还可用于这些实体瘤的治疗

▲数据源自“nature”,医学部整理汇总
小编寄语
当前,大量研究证据已充分证实,CAR-NK细胞疗法在肿瘤治疗领域展现出强劲潜力——经CAR修饰的NK细胞能更精准地对抗肿瘤细胞,在血液肿瘤及部分实体瘤的临床研究中,不仅呈现出令人惊艳的初步疗效,安全性亦备受认可。更值得关注的是,相较于CAR-T细胞疗法,CAR-NK细胞更易实现临床转化与大规模工业化生产,患者接受度也更高,堪称肿瘤治疗领域的一抹曙光。
令人振奋的是,我国目前已有多款CAR-NK细胞疗法进入临床研究阶段。我们期待,以NK细胞强大抗肿瘤能力为基石的CAR-NK疗法能早日获批上市,为血液肿瘤与实体瘤治疗带来突破性进展,让更多受癌症困扰的患者重燃希望。
如果您对目前的治疗方案存疑,或想寻求CAR-NK细胞、NK细胞、CAR-T细胞等国内外其他抗癌新技术的帮助,可咨询医学部,详细评估病情或申请国内外抗癌专家会诊。
参考资料
[1]Zhang X,et al.Cytokine release syndrome after modified CAR-NK therapy in an advanced non-small cell lung cancer patient: a case report[J]. Cell Transplantation, 2022, 31: 09636897221094244.
https://journals.sagepub.com/doi/full/10.1177/09636897221094244
[2]https://www.pharmacytimes.com/view/off-the-shelf-car-nk-therapy-senti-202-shows-potential-for-complete-remission-in-r-r-aml
[3]https://www.onclive.com/view/investigation-of-senti-202-in-r-r-aml-continues-after-confirming-rp2d
[4]https://immunitybio.com/initial-data-shows100-disease-control-in-5-out-of-5-patients-with-recurrent-glioblastoma-with-two-patients-in-near-complete-response-treated-with-immunitybios-anktiva-nk-cell-therapy-p/







