全球首款NK疗法最快3年上市?九大重磅进展盘点:横扫肺癌、乳腺癌等,1年生存率83%
小编 2025-09-22
全球首款NK细胞疗法最快3年上市?九大重磅进展盘点:横扫肺癌、乳腺癌等,1年生存率83%
NK细胞(自然杀伤细胞)是先天免疫的关键成员,无需抗原致敏即可直接杀伤肿瘤细胞和病毒感染细胞。基于其开发的NK细胞及CAR-NK细胞疗法,因具备强大的抗肿瘤能力与广阔的临床应用前景而备受关注。随着全球生物技术的迅猛发展,这类疗法正迎来前所未有的发展机遇。
田志刚院士曾明确指出:“未来5-10年,NK免疫细胞治疗将会成为癌症治疗的一线治疗方式。”据预测,到2028年,全球首款NK细胞疗法有望实现上市——这将为患者带来新的治疗希望,更将推动细胞疗法市场的快速增长。本文将深入剖析NK细胞疗法的药物管线最新研究进展,以期坚定大家的抗癌信心!从实验室到临床的每一步突破,都在为生命续航注入力量,这场与癌症的博弈中,免疫新星正冉冉升起,照亮更多患者的抗癌之路!
全球九款NK细胞疗法重磅进展盘点:覆盖肺癌、胆道癌、白血病、肠癌等多癌种,1年生存率最高83%
▼全球九款在研NK细胞疗法盘点

SMT-NK
SMT-NK是由SMTbio公司研发的一款同种异体NK细胞产品,SMT-NK联合帕博利珠单抗治疗化疗耐药晚期胆道癌的首次1/2a期临床试验,取得了振奋人心的结果,其关键临床数据同步发表在全球癌症领域权威期刊《Cancers》中。目前,该联合疗法的IIb/III期临床试验已在推进中,预计2026年完成,最快有望于2028年通过审批上市。
1/2a期试验数据显示:全分析集的总体缓解率(ORR)为17.4%,而按方案设置集(即完成研究方案的患者)的ORR高达50.0%;若以患者的最佳反应计,疾病控制率(DCR)更是达到73.9%,靶病变相对于基线的最大变化范围为-82.3%~169%(详见下图)。全分析集(可评估疗效患者)的中位无进展生存期(PFS)为4.1个月(95%CI:1.8-5.9个月)(详见下图)。

▲图源“Cancers (Basel)”,版权归原作者所有,如无意中侵犯了知识产权,请联系我们删除
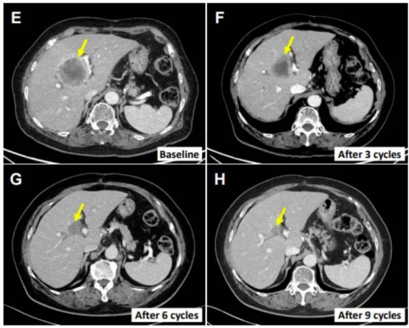
值得一提的是,76岁的肝外胆管癌女性患者(E0217)展现了显著且持久的疗效。该患者既往接受过胆总管节段切除术与胆囊切除术,术后4个月即出现多处肝转移;随后接受吉西他滨联合顺铂全身化疗,但疗效不佳,肝脏病变持续进展。入组接受SMT-NK联合帕博利珠单抗治疗后,其肝转移病变大幅减少70.4%(详见下图E-H),且在初始治疗后12个月仍保持无进展状态。

▲图源“Cancers (Basel)”,版权归原作者所有,如无意中侵犯了知识产权,请联系我们删除
SNK01
SNK01是美国NKGen Biotech公司研发的一款新型自体非转基因超级NK细胞,对多种肺癌细胞系均有杀伤活性,且有望通过NK细胞与T细胞的协同作用,突破现有免疫治疗应答率瓶颈,为更多非小细胞肺癌(NSCLC)患者带来“免疫抗癌”的新选择!
《癌症研究与治疗》杂志报道了SNK01联合帕博利珠单抗治疗的随机I/IIa期临床试验结果,数据十分振奋。结果显示:总人群中,联合治疗组客观缓解率(ORR)达41.7%,而单药组仅为0%;联合治疗组中位无进展生存期(PFS)为6.2个月,显著长于单药组的1.6个月(p=0.001,中位随访17.5个月,详见下图)。
在意向治疗(ITT)人群分析中,联合治疗组中位PFS为9.4个月,同样优于单药组的4.8个月(p=0.45)。生存率方面,联合治疗组1年生存率为66.7%,高于单药组的50.0%;ITT人群中,两组1年生存率分别为83.3%和50.5%(p=0.19)。
▲图源“JCO”,版权归原作者所有,如无意中侵犯了知识产权,请联系我们删除
NCR300
NCR300是中盛溯源在研的一款iPSC来源NK(iNK)疗法,可用于多种恶性肿瘤治疗,旨在提高细胞治疗的有效率与稳定性。
2023年4月,NCR300注射液用于治疗骨髓增生异常综合征(MDS)的IND申请获批准,它也成为了国内首个获批临床的iPSC-NK细胞疗法;同年10月,其另一项IND申请再获批准,适应症为预防急性髓系白血病(AML)异基因造血干细胞移植(alo-HSCT)后复发。目前,针对这两大适应症的临床研究已分别进展至1期和1/2期阶段。

▲截图源自“NMPA”
NK510细胞注射液
NK510细胞注射液是贝斯生物(Base The rapeutics)自主研发的全球首个碱基编辑通用型NK细胞产品。2024年10月,其新药临床试验申请(IND)首次获中国国家药品监督管理局(NMPA)批准,拟用于晚期肿瘤治疗;同年12月5日,该产品IND再次获得NMPA批准。
作为通用型NK细胞治疗产品,NK510依托贝斯生物自主研发的AccuBase®零脱靶碱基编辑系统(全球唯一以蛋白质形式提供的碱基编辑系统),实现对NK细胞关键基因的精准、安全编辑,编辑效率超90%。这一技术显著增强了NK510对肿瘤微环境内激活与抑制信号的精准识别能力,优化了其肿瘤杀伤反应,达成“克服肿瘤免疫逃逸”与“精准识别杀伤肿瘤”的双重效果,同时攻克了同种异体NK细胞产品增殖率低、转染效率低等世界性难题。
NK510的接连获批,标志着肿瘤免疫治疗领域的重要里程碑。该产品不仅能有效克服癌细胞免疫逃避,还可精准识别并杀伤癌细胞,在体外与体内实验中均展现出强大的抗肿瘤活性与治疗潜力,为全球癌症治疗带来新的突破方向。

▲截图源自“BioSpace ”
NK010
NK010是我国恩凯赛药公司研发的一款非基因修饰的外周血来源NK细胞药物。2024年1月17日,该药物获美国FDA的IND批准,适应症为卵巢癌。其针对铂不耐受或铂耐药的晚期难治性卵巢癌、难治/复发性急性髓系白血病(AML)的临床试验已积累相关数据。
结果显示:低剂量组患者及1例中剂量患者,在完成两个疗程治疗后,疾病评估均为稳定。其中,低剂量组患者后续维持同一剂量治疗,在完成第3个疗程后达到部分缓解;在持续治疗的患者中,最佳疗效实现了病灶缩小60%。部分患者在停止治疗6个月后复查,疾病未发生进展。安全性方面,接受治疗的4例患者在治疗期间均未发生细胞因子释放综合征、移植物抗宿主病(GVHD)等不良反应。
综上,NK010在铂不耐受/耐药的晚期难治性卵巢癌及难治/复发性AML的治疗中,均展现出显著的抗肿瘤潜力与良好的安全性。
CEL001注射液
CEL001注射液是希灵生物研发的一款非基因修饰通用现货型NK细胞候选产品,来源于同种异体外周血。其通过特定生产工艺制备并大量扩增NK细胞,无需复杂的基因改造,可有效降低治疗成本,适应症聚焦晚期实体肿瘤。值得一提的是,这也是我国首款申请临床试验(IND)并获得国家药品监督管理局药品审评中心(CDE)批准的非基因修饰型同种异体NK细胞候选产品,进一步丰富了NK细胞疗法的临床选择。
目前,CEL001注射液已获CDE临床试验默示许可,用于治疗晚期实体瘤,尤其针对晚期结直肠癌。临床前研究证实,该产品在结直肠癌临床前研究中展现出强大的抗肿瘤活性,且能解决结直肠癌的异质性困境——这一特性有望打破实体瘤治疗瓶颈,显著提升晚期实体瘤的治疗效果与患者生存质量,为不同类型及阶段的实体瘤患者提供一种新型治疗方案。

▲截图源自“NMPA”
AB-101
AB-101是AlloCyte Biotech研发的一款非转基因、同种异体冷冻保存NK细胞疗法,核心定位为联合单克隆抗体(mAb)或先天细胞衔接剂,通过增强抗体依赖性细胞毒性(ADCC)机制提升抗肿瘤疗效,支持门诊给药。
其优势源于专有技术与产品特性:依托专利培养体系,以健康供者外周血单个核细胞(PBMC)为来源,经细胞因子调控高效分离、激活并扩增NK细胞——无需基因编辑即增强肿瘤识别杀伤能力,且达临床治疗剂量;非基因改造简化制备流程、规避相关风险,同种异体属性实现“现货供应”,可快速适配病情进展迅速或自体细胞质量不佳的患者。
目前,AB-101的临床探索已覆盖多种实体瘤与血液瘤,早期数据初步验证了其疗效与安全性。2023年美国临床肿瘤学会(ASCO)大会公布的1/2期临床试验结果显示:在“AB-101单药或联合利妥昔单抗(RTX)治疗非霍奇金淋巴瘤”的研究中,联合治疗组(AB-101+RTX)的客观缓解率(ORR)达67%(4/6),完全缓解率(CR)为50%(3/6),且在既往CAR-T疗法失败的4例患者中,有3例实现缓解;单药治疗组的ORR则为27%(3/11)。

▲截图源自“ASCO”
IBR900注射液
IBR900是英百瑞自主研发的1类生物制品,为同种异体健康供者PBMC来源的非基因改造通用型NK细胞产品,具备杀伤肿瘤细胞的能力。其制备依托英百瑞自有培养工艺,可激活健康供者PBMC中NK细胞的免疫调节特性及无需预先致敏即可杀伤肿瘤的能力,且在研究中未见细胞因子释放综合征(CRS)、神经毒性(ICANS)及异体移植排异反应(GVHD),展现出高安全性优势。
在作用机制上,IBR900细胞可通过直接杀伤、分泌细胞因子诱导凋亡等途径作用于血液瘤或实体瘤,同时能借助ADCC效应联合单克隆抗体,靶向杀伤相应靶点阳性的肿瘤细胞。其核心适应症为B细胞淋巴瘤——这类由B细胞异常增殖形成的实体肿瘤,涵盖霍奇金淋巴瘤(HL)、非霍奇金淋巴瘤(NHL)等,具有病理机制复杂、异质性强、进展迅速、恶性程度高等特点,严重威胁患者生命健康。以常见的弥漫大B细胞淋巴瘤(DLBCL)为例,尽管标准免疫化疗可使40%~50%患者治愈、5年无进展生存率达60%~65%,但仍有10%~15%患者原发难治、20%~25%患者缓解后复发,这类患者预后极差,存在迫切的新药需求。
临床进展方面,2024年9月25日,IBR900注射液获国家药品监督管理局临床试验默示许可,用于治疗复发/难治CD20阳性B细胞非霍奇金淋巴瘤,目前已进入I期临床试验阶段,旨在评估其安全性、耐受性及初步疗效。近日,该产品针对B细胞淋巴瘤的另一项临床试验申请也已获国家药品监督管理局受理(受理号:CXSL2400441)。
GDA-201
GDA-201是Gamida Cell公司研发的突破性同种异体NK细胞疗法,其核心优势在于采用烟酰胺(NAM)增强的扩增技术——无需基因改造,仅通过独特的代谢调控机制即可显著提升NK细胞的抗肿瘤活性与持久性。作为非基因修饰的通用型细胞产品,它在体外培养阶段借助NAM稳定FOXO1蛋白表达,上调归巢分子CD62L,同时增强线粒体功能与抗氧化应激能力,使NK细胞能在肿瘤微环境中持续保持高效杀伤活性。
在临床应用上,GDA-201主要聚焦复发/难治性B细胞非霍奇金淋巴瘤(NHL),涵盖滤泡性淋巴瘤、弥漫大B细胞淋巴瘤等亚型,尤其针对经CAR-T治疗或造血干细胞移植后复发的高危患者。2023年《科学转化医学》发表的1期临床试验数据显示,19例晚期NHL患者接受GDA-201联合利妥昔单抗治疗后,总反应率达74%,其中11例实现完全缓解,中位缓解持续时间达10个月。2024年更新的1/2期试验结果进一步证实,在10例既往接受过中位6线治疗的患者中,观察到明显的剂量依赖性疗效——1×10⁸细胞/kg剂量组客观缓解率显著提升,部分CAR-T耐药患者仍能获益。
该疗法的安全性特征同样突出:临床试验中未发生严重细胞因子释放综合征(CRS),亦未出现移植物抗宿主病(GVHD)或神经毒性;最常见的3-4级不良事件为中性粒细胞减少,且可通过支持治疗缓解。
目前,GDA-201的冻存(cryopreserved)制剂1/2期试验(NCT05296525)正在招募阶段,有望为现货型NK细胞疗法的临床转化提供关键数据支撑,为淋巴瘤患者开辟全新治疗路径。
国内首个NK细胞乳腺癌对比试验结果出炉:异体NK细胞疾病控制率83%,单例患者2个月肿瘤显著缩小
除上述九款在研NK细胞产品外,我国暨南大学研究团队还开展了首个对比自体与同种异体NK细胞治疗复发性乳腺癌的临床试验(NCT02853903) 。
该研究共入组36例经组织病理学确诊的复发性乳腺癌患者,按RECIST评价标准显示:Ⅱ组(异体NK)临床疗效优于Ⅰ组(自体NK)——Ⅱ组中3例(16.67%)患者达部分缓解(PR),12例(66.67%)达疾病稳定(SD);Ⅰ组仅1例(5.56%)达PR(P<0.05),10例(55.56%)达SD(P>0.05)。初步结果表明,部分患者肿瘤显著缩小,生活质量亦得到提升。
值得一提的是,其中一位46岁乳腺癌患者的疗效值得广泛关注。治疗前CT显示,其右乳存在8.0×3.8×5.7cm边界不清的软组织肿块(增强CT呈中度不均匀强化),腋窝有多处肿大淋巴结(较大者约2.9×1.7×3.8cm);接受NK细胞治疗2个月后,肿块缩小至6.8×3.5×5.8cm(呈轻度不均匀强化),较大肿大淋巴结亦明显缩小(详见下图)。

▲图源“Dovepress”,版权归原作者所有,如无意中侵犯了知识产权,请联系我们删除
小编寄语
NK细胞(即自然杀伤细胞)是公认的人体抗癌、抗病毒感染的第一道防线。1964年,人们首次提出了NK细胞的存在,当时人们观察到受辐射的小鼠,根据组织相容性,排斥未经事先致敏的移植骨髓细胞。后来,在20世纪70年代,人们对NK细胞进行了更详细的描述,发现主要组织相容性复合体(MHC)非限制性杀伤细胞对肿瘤细胞(包括白血病细胞)具有天然细胞毒性。
时至今日,研究人员已针对NK细胞进行了大量研究,并肯定了其在支持整个免疫系统中的关键作用,确定了其与多种人类疾病的关联,尤其是尝试将NK细胞用作癌症的治疗,协和医院发表的研究,再次肯定的了NK细胞的重要性。
小编也希望通过这篇文章能让更多癌友,了解并认识到NK细胞这一新型抗癌疗法,为大家带来新的曙光与选择!对现有治疗方案不满意,或想寻求NK细胞疗法、CAR-NK疗法等抗癌新技术帮助的患者,可将近期病理检查报告、治疗经历、出院小结等,提交至医学部,进行初步评估。
参考资料
[1]Leem G,et al.Safety and Efficacy of Allogeneic Natural Killer Cells in Combination with Pembrolizumab in Patients with Chemotherapy-Refractory Biliary Tract Cancer: A Multicenter Open-Label Phase 1/2a Trial. Cancers (Basel). 2022 Aug 30;14(17):4229.
https://pmc.ncbi.nlm.nih.gov/articles/PMC9454779/
[2]Kim E J,et al.A phase I/IIa randomized trial evaluating the safety and efficacy of SNK01 plus pembrolizumab in patients with stage IV non-small cell lung cancer[J]. Cancer Res Treat, 2022, 54(4): 1005-1016.
https://e-crt.org/journal/view.php?doi=10.4143/crt.2021.986
[3]Khanal R,et al.AB-101, an Allogeneic, Non-Genetically Modified, Natural Killer (NK) Cell Therapy, Evaluated as Monotherapy or in Combination with Rituximab in R/R Non-Hodgkin Lymphoma[J]. J Clin Oncol, 2023, 41(7529): 10.1200.
https://ascopubs.org/doi/10.1200/JCO.2023.41.16_suppl.7529
[4]Liang S,et al.Comparison of autogeneic and allogeneic natural killer cells immunotherapy on the clinical outcome of recurrent breast cancer. Onco Targets Ther. 2017 Aug 28;10:4273-4281.
https://www.dovepress.com/comparison-of-autogeneic-and-allogeneic-natural-killer-cells-immunothe-peer-reviewed-fulltext-article-OTT







