《Nature Medicine》官宣!TIL暴击胃肠癌,4例活过5年,最长生存10年!为肺癌、头颈癌等续命
小编 2025-09-19
《Nature Medicine》官宣!TIL细胞疗法治疗胃肠癌,4例活过5年,最长生存10年!为肺癌、头颈癌等续命
2025年4月,全球知名期刊《Nature Medicine》发表了一项美国国家癌症研究所(NCI)研究团队的重磅研究成果。该研究由人类癌症免疫学先驱、TIL疗法奠基者StevenA.Rosenberg教授领衔,聚焦探究TIL疗法在胃肠道肿瘤中的治疗效果。
研究结果显示:4例生存期已超过48个月的患者(含例先前报告的病例),生存期已分别延长至126个月、106个月、86个月和76个月;更值得关注的是,一名接受TIL+PD-1单抗联合治疗的患者,最长存活时间已超10年。
这些远超预期的长期生存数据,不仅强有力地印证了TIL疗法及其联合治疗方案在胃肠道肿瘤治疗中的巨大潜力,更为无数与癌症抗争的患者点亮了长期生存的希望之光!

▲截图源自“Nat Med”
不止于缩小肿瘤!SEL-TIL联合PD-1为难治性胃肠癌患者,打开"长期生存窗口"
这项研究共纳入91例难治性、错配修复功能正常的转移性胃肠道癌患者。这些患者此前均接受过中位数为4种的治疗方案,但病情仍无法控制。入组后,所有患者均接受淋巴细胞清除化疗联合高剂量白细胞介素-2(IL-2)治疗,在此基础上被分为两组:39例仅接受SEL-TIL(经筛选用于新抗原识别的TIL)治疗、34例接受SEL-TIL联合PD-1抗体帕博利珠单抗治疗(SEL-TIL+P组)。
结果显示:73名可评估患者中有11名(15.1%)出现确认的部分缓解(PR)反应。其中,SEL-TIL单药组肿瘤显著缩小比例为7.7%(95%CI:2.7–20.3);SEL-TIL+P组这一比例达23.5%(95%CI:12.4–40.0)。
截至2024年5月数据截止时,4例生存期超过48个月的患者,生存期分别达到126个月、106个月、86个月、76个月。具体来看,SEL-TIL单药组患者的反应持续时间为8个月~5.8年以上;SEL-TIL+P组患者的反应持续时间为4个月~3.5年,且该组有1名患者的最长存活时间已超10年。

▲图源“Nat Med”,版权归原作者所有,如无意中侵犯了知识产权,请联系我们删除
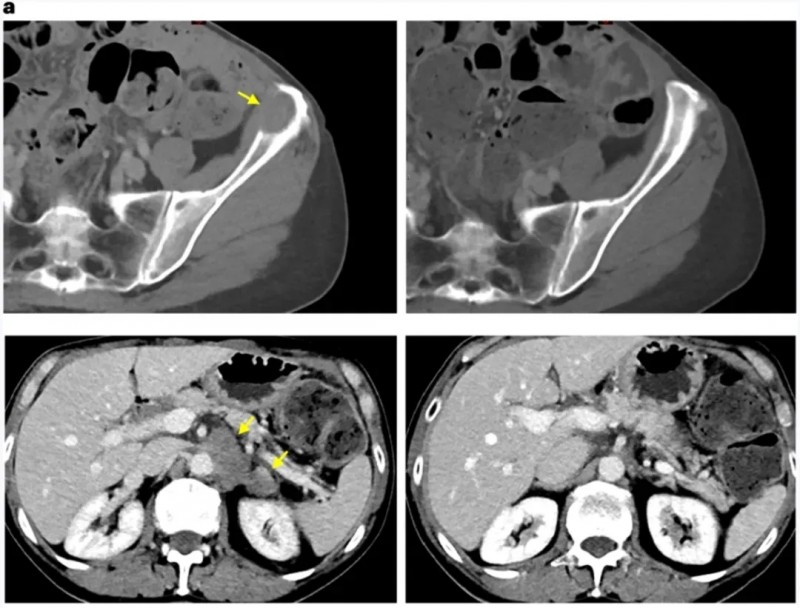
值得一提的是,SEL-TIL+P组中有三例患者的疗效尤为值得关注:
其中一位胆管癌患者,在治疗9个月时,骨骼及主动脉旁淋巴结两处肿瘤均消退,骨转移部位出现愈合迹象,肝脏、肺、肾上腺等其他病灶未在检查中呈现。

▲图源“Nat Med”,版权归原作者所有,如无意中侵犯了知识产权,请联系我们删除
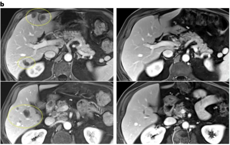
另一位直肠癌患者,在治疗10个月时,肝脏两处肿瘤均缩小,肺部和淋巴结虽存在其他病灶,但未在检查中体现。

▲图源“Nat Med”,版权归原作者所有,如无意中侵犯了知识产权,请联系我们删除
最后一位结肠癌患者,在治疗7个月时,右肺、左肺两处结节完全消退,其余结节也有所缩小。

▲图源“Nat Med”,版权归原作者所有,如无意中侵犯了知识产权,请联系我们删除
别扔!你的肿瘤里藏着抗癌"精兵",TIL细胞为癌症患者留好"生命后手",越早期越珍贵
肿瘤浸润淋巴细胞(TIL)疗法自1988年首次应用于临床以来,已历经30余载发展。相较于其他免疫细胞疗法,TIL疗法有着独特优势——能将患者自身肿瘤组织“变废为宝”,堪称实体瘤治疗领域当之无愧的“抗癌黑科技”。它既适用于早期癌症患者,可有效预防肿瘤复发与转移;也能作为晚期患者的挽救性治疗手段,为其带来一线生机。
然而遗憾的是,既往患者通过手术切除的肿瘤组织,通常仅提取小部分制成病理蜡块用于诊断,其余大部分会作为医疗垃圾丢弃,这无疑白白浪费了患者体内蕴藏的抗癌能力极强的TIL。
更值得注意的是,肿瘤患者越早储存TIL细胞越好,核心原因有二:首先,TIL细胞数量会随肿瘤进展逐渐减少;其次,术后接受辅助治疗(如放化疗)可能损伤体内正常细胞及免疫细胞。因此,最佳储存时机是癌症刚确诊、尚未接受放化疗等其他治疗时,此时TIL细胞的抗癌能力最强。
综上,建议肿瘤患者术前与主治医师充分沟通,尽可能保留新鲜肿瘤标本组织,并联系专业机构进行TIL细胞的分离与冻存,以备不时之需。若您还想了解TIL细胞制备、储存方面的更多信息,可致电医学部,了解详细的流程。
历经多线治疗仍复发?TIL疗法让复发头颈癌患者实现"病情长期稳定",疾病控制率高达76%
头颈部鳞状细胞癌(HNSCC)是一组起源于口腔、咽喉、喉头和鼻窦黏膜上皮细胞的恶性肿瘤,亦是免疫细胞浸润程度最高的肿瘤类型之一。然而,该疾病治疗面临显著困境:接受免疫检查点抑制剂(ICI)治疗期间或之后病情进展的患者,有效治疗选择极少;复发性和/或转移性HNSCC在一线免疫治疗或化学免疫治疗后复发率也居高不下。而近年研究发现,HNSCC肿瘤中高密度的肿瘤浸润淋巴细胞(TIL)与临床疗效改善相关,为此类患者带来了新的希望与选择!
《癌症免疫治疗杂志》报道了一项应用一次性自体TIL细胞治疗复发性和/或转移性HNSCC的2期开放标签研究(NCT03083873)。研究共纳入53例经原发肿瘤组织学评估确诊的患者,均既往接受过一至三线全身免疫治疗和/或化疗,中位年龄57岁,先前接受的全身治疗中位数为2种;其中87%(46/53)的患者接受过抗PD-1/PD-L1治疗,72%(38/53)接受过化疗,中位随访时间为17.9个月。
结果显示:全分析集的客观缓解率(ORR)为11%(6/53),6名患者均达到部分缓解(PR);疾病控制率(DCR)为76%(40/53),其中64%(34/53)的患者达到病情稳定(SD)。患者的中位缓解持续时间(DOR)为7.6个月(95%CI,2.8-NR)(详见下图)。

▲图源“BMJ”,版权归原作者所有,如无意中侵犯了知识产权,请联系我们删除
此外,在49名可评估患者中,76%(37/49)出现肿瘤负荷减少(详见下图A)。

▲图源“BMJ”,版权归原作者所有,如无意中侵犯了知识产权,请联系我们删除
全球首款!无需预处理的TIL新药GC101:让晚期肺腺癌病灶显著缩小36%,持续24周
GC101 TIL是君赛生物自主研发的全球首款天然TIL细胞新药,其核心优势在于无需进行淋巴细胞清除预处理及白细胞介素-2(IL-2)注射,目前针对多种晚期实体瘤的临床研究正稳步推进。
近期公布的一例典型案例颇具说服力:一位合并淋巴结、胸膜及骨转移的晚期肺腺癌患者,既往接受放疗联合靶向治疗后病情仍持续进展,随后入组接受GC101 TIL细胞回输治疗。治疗期间,研究团队分别于回输后第6周、12周、18周、24周进行肿瘤影像学评估。
结果显示:回输后第12周(第二次评估)的增强CT可见靶病灶缩小36%,患者最终达到部分缓解(PR);更令人瞩目的是,回输24周后,患者在未接受其他任何治疗的情况下,肿瘤病灶仍持续缩小(详见下图)。
▼该患者在接受TIL回输治疗前、TIL治疗6周、12周、18周、24周的CT对比

▲图源“JUNCELL”,版权归原作者所有,如无意中侵犯了知识产权,请联系我们删除
TIL疗法联合低剂量IL-2,让难治性黑色素瘤患者迎来"治愈曙光",持续2.6年完全缓解
自体肿瘤浸润淋巴细胞(TIL)疗法对转移性黑色素瘤疗效显著,其核心方案为“预处理化疗+TIL输注+IL-2”。相较于标准疗法,该疗法不仅完全缓解率更高,且疗效持续时间更长,凸显出潜在的治愈价值。
《临床癌症研究》杂志报道了一项Ⅰ/Ⅱ期临床试验(NCT00937625)的振奋数据——该试验采用自体TIL联合低剂量IL-2治疗进展期难治性转移性黑色素瘤患者,证实低剂量IL-2可在保障疗效的同时降低毒性。
研究中一个典型案例的疗效尤为突出:患者(M26)在治疗2个月后即达到部分缓解(PR),仅因疤痕组织吸收缓慢,FDG-PET/CT仍可见残余病灶;13个月后复查FDG-PET/CT,根据RECIST1.0标准确认达到完全缓解(CR),且该CR状态持续长达32个月(约2.6年)(详见下图)。

▲图源“AACR”,版权归原作者所有,如无意中侵犯了知识产权,请联系我们删除
小编寄语
我国TILs疗法是在美国的肿瘤浸润淋巴细胞(TIL)疗法的基础上,经过特殊改良,以增加TIL细胞的自我扩增能力,克服肿瘤微环境。近年来,我国多款新型TILs疗法相继问世,不仅疗效惊艳,而且其中一款更是无需清淋、也无需联合IL-2治疗,其安全性大大提升、性价比更高!
好消息是,目前我国多款TILs疗法已正式获批开展临床研究,主要针对非小细胞肺癌、卵巢癌、宫颈癌、恶性黑色素瘤等多款实体瘤。想咨询肿瘤组织储存,或想寻求TIL疗法帮助的患者,可咨询医学部。
参考资料
[1]Lowery F J,et al.Neoantigen-specific tumor-infiltrating lymphocytes in gastrointestinal cancers: a phase 2 trial[J]. Nature medicine, 2025: 1-10.
https://www.nature.com/articles/s41591-025-03627-5
[2]Ferris R L,et al.Efficacy and safety of one-time autologous tumor-infiltrating lymphocyte cell therapy in patients with recurrent and/or metastatic head and neck squamous cell carcinoma[J]. Journal for Immunotherapy of Cancer, 2025, 13(8): e011633.
https://jitc.bmj.com/content/13/8/e011633
[3]Andersen R,et al.Long-lasting complete responses in patients with metastatic melanoma after adoptive cell therapy with tumor-infiltrating lymphocytes and an attenuated IL2 regimen[J]. Clinical cancer research, 2016, 22(15): 3734-3745.
https://aacrjournals.org/clincancerres/article/22/15/3734/79342/Long-Lasting-Complete-Responses-in-Patients-with







