全球首款通用型CD19-UCAR-Vδ1T细胞新药IND中国获批!复合细胞携手抗击肺癌、卵巢癌等,68%控瘤率
小编 2025-09-15
全球首款通用型CD19-UCAR-Vδ1T细胞新药IND中国获批!复合细胞携手抗击肺癌、卵巢癌等,68%控瘤率
2025年4月22日,中国国家药品监督管理局(NMPA)批准了由博生吉医药研发的UTAA09注射液的药物临床试验批件(编号:2025LP01155),适应症为成人复发/难治性急性B淋巴细胞白血病(B-ALL),它也成为了全球首个获批临床试验(IND)的通用现货型CD19-UCAR-Vδ1T细胞产品。
UTAA09注射液是一款基于Vδ1T细胞的靶向CD19通用现货型嵌合抗原受体(CAR)-T细胞注射液(UCAR-Vδ1T细胞产品),以健康供者单采血为原料制备,不仅保留了强大的组织脏器归巢能力,其CMC制备工艺更处于全球领先水平——这一工艺突破大幅降低了细胞药物成本,为提升CAR-T细胞治疗的患者可及性创造了有利条件。更重要的是,该产品的获批不仅为深陷此疾病困境的患者点亮了新的生存希望,更为国产免疫细胞疗法在实体肿瘤等领域的后续开发奠定了坚实基础!

▲截图源自“NMPA”
抗癌力量再升级!复合型免疫细胞"军团"协同作战,筑牢机体抗癌防线
复合型免疫细胞疗法是癌症免疫治疗的重要分支,常见包括树突状细胞(DC)、自然杀伤(NK)细胞、γδT细胞、辅助性T细胞(TH细胞)、杀伤性T细胞、NKT细胞等,通过调集调集多种免疫细胞,组建协同抗癌“联合部队”,借细胞间高效协作强化抗肿瘤效果。
其中,γδT细胞是占T淋巴细胞0.5%~5%、表达γδT细胞受体(TCR)的独特先天免疫细胞,成熟后在皮肤、消化道等上皮黏膜组织(实体肿瘤高发区)含量丰富,天然利于抗癌。目前其已在恶性血液肿瘤、晚期肺癌、肾细胞癌、结直肠癌等多种癌症治疗中显优异效果,既能直接清除肿瘤细胞,又可激活抗肿瘤免疫,堪称“免疫细胞抗癌新星”。
γδT细胞主要通过四种途径启动抗肿瘤免疫反应,具体包括:(1)直接发挥杀伤作用;(2)分泌IFN-γ(干扰素-γ)与TNF-α(肿瘤坏死因子-α);(3)诱导B细胞转化,促使其分泌大量IgE(免疫球蛋白E)并启动适应性免疫反应;(4)引发CD8+T细胞应答(详见下图)。
从亚型分类来看,γδT细胞可细分为三种常见类型:Vδ1T细胞、Vδ2T细胞(外周血中γδT细胞的主要亚群)、Vγ9Vδ2T细胞。其中Vδ1T细胞是人体组织主要亚群,广泛存在于真皮、肠上皮等黏膜组织,作为天然驻留免疫细胞,具备强组织归巢与浸润能力,可借释放穿孔素、颗粒酶等细胞毒介质及分泌IFN-γ、TNF-α,诱导肿瘤细胞凋亡。目前其细胞毒功能已用于急性淋巴细胞白血病(ALL)、急性髓细胞白血病(AML)等癌症治疗,本文开篇的UTAA09注射液,就是基于Vδ1T细胞开发的靶向通用型CAR-T细胞产品。

▲图源“frontiers”,版权归原作者所有,如无意中侵犯了知识产权,请联系我们删除
血癌治疗迎新拐点!两项权威报道力证γδT细胞抗癌潜力,3/4患者完全缓解,1例持续缓解19个月
《转化医学杂志》报道的一项先导研究,首次证实输注单倍体相合γδT细胞具有可行性,且通过注射磷酸抗原与低剂量IL-2,可在体内诱导供体γδT细胞显著增殖。同时,该临床试验还首次证明,选择性刺激同种异体γδT细胞能在体内产生抗肿瘤活性,且不会诱发移植物抗宿主病(GVHD)。
该研究共纳入4例晚期难治性血液系统恶性肿瘤患者,包括1例T细胞非霍奇金淋巴瘤、1例急性髓系白血病、1例继发性浆细胞白血病、1例多发性骨髓瘤,均因病情不适合接受同种异体移植。所有患者先接受淋巴细胞减少诱导化疗(氟达拉滨+环磷酰胺),再联合唑来膦酸+IL-2治疗以诱导体内γδT细胞增殖。
结果显示:尽管所有患者此前接受的治疗均无效,但3/4的患者在治疗后实现完全缓解(CR),其中1例继发性浆细胞白血病患者的缓解持续8个月,其余CR患者的缓解持续时间为2-8个月。以3号患者为例,其患有继发性浆细胞白血病,对包括自体干细胞移植在内的三种治疗方案均无应答,此次治疗后仍获得严格完全缓解(详见下图)。
▼对患有难治性浆细胞白血病的患者3,进行供体先天淋巴细胞的治疗和过继转移

▲图源“BMC”,版权归原作者所有,如无意中侵犯了知识产权,请联系我们删除
注:右上象限显示供体γδT细胞随时间的变化百分比。
总之,上述初步研究明确了单倍体相合γδT淋巴细胞过继转移与体内扩增的可行性,同时证实这类细胞在血液系统疾病治疗中具备潜在价值。
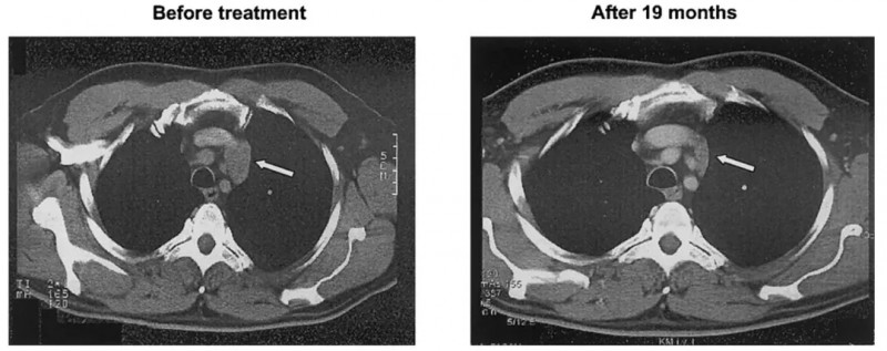
除了这项先导研究外,《Blood》杂志也曾报道1例γδT细胞治疗淋巴系统恶性肿瘤的成功案例。
该患者是一例滤泡中心淋巴瘤患者(编号9B),既往接受过高剂量化疗但疗效不佳,病情仍复发。入组后,接受3个周期的帕米膦酸盐+低剂量IL-2联合治疗,通过体内刺激γδT细胞发挥抗癌作用。
结果显示:治疗后CT检查显示,其皮肤转移灶及纵隔淋巴结消退(详见下图,箭头所示);除1个淋巴结略增大外,其余多数淋巴结无明显变化,且该增大淋巴结的病理活检提示纤维化,表明仅残留少量淋巴瘤细胞。此后患者肿瘤负荷稳步下降,经19个月持续治疗后最终达到部分缓解(PR)。

▲图源“Blood”,版权归原作者所有,如无意中侵犯了知识产权,请联系我们删除
多线治疗失败的非小细胞肺癌也有救!Vγ9Vδ2T细胞实现68%控瘤率+418天总生存,脑转移者肿瘤显著缩小
《免疫治疗癌症杂志》报道了一项“应用唑来膦酸扩增的自体Vγ9Vδ2T细胞,治疗难治性非小细胞肺癌(NSCLC)”的2期临床研究结果。
该研究共纳入25例难治性非小细胞肺癌患者(含20例腺癌、4例鳞状细胞癌、1例大细胞癌),所有患者均因病变无法切除或复发,此前已接受至少2种标准化疗,或至少1项含化疗/放疗的治疗方案,最终入组接受自体Vγ9Vδ2T细胞治疗。
结果显示:该疗法临床疗效显著,疾病控制率(DCR)高达68.0%(范围:46.5%–85.1%),其中1例患者实现部分缓解(PR),16例患者达到病情稳定(SD);中位无进展生存期(PFS)为95.0天(95%CI73.0~132.0天),中位总生存期(OS)更长达418.0天(范围:179.0–479.0天)。
值得一提的是,其中1例66岁男性患者(编号TU-2844)的治疗效果尤为突出:该患者为左上叶原发性肺癌伴脑转移,病理诊断为大细胞神经内分泌癌,此前接受全脑照射、CDDP+VP-16全身化疗后病情仍持续进展,二线TS-1化疗也因腹泻被迫停止,最终入组接受Vγ9Vδ2T细胞治疗。接受治疗后,患者肺部肿瘤及肿大淋巴结显著缩小(详见下图);治疗期间虽短暂出现发热、咳嗽等症状,但经全身类固醇与抗生素治疗后迅速缓解。

▲图源“J Immunother Cancer”,版权归原作者所有,如无意中侵犯了知识产权,请联系我们删除
DC疫苗+NK细胞力挽狂澜,晚期卵巢癌患者获根治术机会,肿瘤缩小、转移灶消失、腹水消退
除前文提及的γδT细胞外,其他复合免疫细胞的临床疗效同样亮眼。以树突状细胞(DC)疫苗与自然杀伤(NK)细胞为例,世界知名医学杂志《Cureus》报道的一则病例,生动展现了二者携手抗癌的振奋效果——一位确诊卵巢癌并伴全身多发性转移的患者,经NK细胞、WT1-DC疫苗联合纳武利尤单抗治疗后,体内多处肿瘤显著缩小、腹水完全消失,病情大幅改善,更因肿瘤缩小获得了原发肿瘤根治性切除术的机会。
该病例为一名30岁左右女性,在二胎产后6个月突发腹水症状,经全面检查确诊为IV期卵巢癌。起初患者仅接受常规化疗(紫杉醇+卡铂AUC5),但医生评估后认为病情预后不佳,遂调整方案,在化疗基础上叠加多轮WT1-DC疫苗+高活性NK细胞联合治疗,最终收获显著疗效,具体结果如下:
1、全身肿瘤大幅缩小:治疗前PET-CT显示,患者不仅存在原发性卵巢癌病灶,还出现肝脏、肺部、腹膜、骨骼等全身多处转移(详见图1A,黑色箭头标注)。而在接受NK细胞+WT1-DC疫苗+纳武利尤单抗联合治疗的第142天,复查PET-CT结果令人振奋:原发性肿瘤明显缩小,肺转移灶、腹膜播散灶完全消失,肝转移灶显著缩小(详见图1B)。基于肿瘤的明显退缩,患者已具备进行原发肿瘤根治性切除术的条件。

▲图源“Cureus”,版权归原作者所有,如无意中侵犯了知识产权,请联系我们删除
2、腹水显著减少,腹膜播散获抑制:NK细胞治疗前,患者腹部CT清晰显示大量腹水(详见下图A);治疗期间腹水减少趋势明显,第56天复查腹部CT时,腹水较确诊时大幅减少,同时肝转移灶也有所缩小(详见下图B)。这一变化充分证实,NK细胞疗法在抑制腹膜播散方面发挥了积极作用。

▲图源“Cureus”,版权归原作者所有,如无意中侵犯了知识产权,请联系我们删除
3、肿瘤标志物与身体指标持续改善:患者接受第三次NK细胞治疗后,体内癌胚抗原(CEA)、糖类抗原125(CA125)水平显著下降并趋近正常范围,腹围也明显减小(详见下图)。整个治疗周期内,患者仅在注射DC疫苗或NK细胞时出现短暂发热,未发生其他严重不良反应,既体现了该联合治疗方案的安全性,也为后续治疗的顺利推进提供了保障。

▲图源“Cureus”,版权归原作者所有,如无意中侵犯了知识产权,请联系我们删除
小编寄语
复合型免疫细胞作为新型抗癌利器,凭借强大的肿瘤杀伤活性、卓越的免疫监视特性与独特的肿瘤识别能力,已成为治疗血液肿瘤与实体瘤的“新晋明星细胞”。更值得关注的是,它不仅能与分子药物、化疗、手术等传统抗癌手段联合使用,近年研究人员更将其与CAR-T细胞等前沿疗法“强强联合”,开辟出新型抗癌路径。
不过需要提醒广大病友:癌症具有高度突变性且极为狡猾,目前仅凭单一治疗手段难以达到预期效果。理想的抗癌方案,需在权威医院及专家精准规范诊断的前提下,以手术、放化疗等传统治疗为基石,辅以免疫细胞治疗、靶向药物、肠道菌群调节、癌症疫苗等新型前沿手段——既提升患者自身抵抗力、巩固治疗成果,又能将潜在癌细胞扼杀于摇篮,预防复发与转移,最终在提高生存质量的同时,尽可能延长生存期。
如果您想了解NK细胞、DC细胞、γδT细胞等国内外新型前沿抗癌疗法的更多讯息,可将治疗经历、近期病理及影像学检查报告等资料,提交至医学部,详细评估病情,或申请国内外抗癌专家的联合会诊。
参考资料
[1]Yan W,et al.The capability of heterogeneous γδ T cells in cancer treatment[J]. Frontiers in Immunology, 2023, 14: 1285801.
https://www.frontiersin.org/journals/immunology/articles/10.3389/fimmu.2023.1285801/full
[2]Wilhelm M,et al.Successful adoptive transfer and in vivo expansion of haploidentical γδ T cells[J]. Journal of translational medicine, 2014, 12(1): 45.
https://translational-medicine.biomedcentral.com/articles/10.1186/1479-5876-12-45
[3]Kakimi K,et al.Adoptive transfer of zoledronate-expanded autologous Vγ9Vδ2 T-cells in patients with treatment-refractory non-small-cell lung cancer: a multicenter, open-label, single-arm, phase 2 study. J Immunother Cancer. 2020 Sep;8(2):e001185.
https://pmc.ncbi.nlm.nih.gov/articles/PMC7511646/







