这款致命癌种有救了!GD2-CAR-T疗法让肿瘤缩小91%,最长带瘤生存超2年
小编 2025-09-08
靶向GD2的CAR-T细胞疗法治疗致命胶质瘤,帮助患者肿瘤缩小91%,最长带瘤生存超2年
2025年9月3日,“OncLive”报道了“GD2导向CAR-T细胞疗法治疗H3K27M突变型弥漫性中线胶质瘤”的振奋人心的早期数据!
研究显示,该疗法在这类胶质瘤(包括弥漫性内在性脑桥胶质瘤、脊髓弥漫性中线胶质瘤)中展现出初步抗肿瘤活性:部分患者不仅病情长期好转,听力、运动、味觉、触觉等多项神经功能亦得到显著改善;更有1名患者达到持久完全缓解(CR)——治疗后肿瘤完全消失,至今已无瘤生存长达四年,这对该疾病的治疗而言堪称里程碑式的突破。再次验证了CAR-T疗法在治疗恶性实体瘤方面的巨大应用潜力,为现有治疗方案无效的肿瘤患者带来了新的曙光与选择!

▲截图源自“OncLive”
儿童脑癌"头号杀手"束手无策?手术不能做、化疗无效时,GD2-CAR-T疗法给出救命新方案
弥漫性中线胶质瘤是一种恶性程度极高的原发性脑癌,虽常见于儿童,也可发生于年轻人。因其起源于神经系统中线结构而得名,主要包括弥漫性内在性脑桥胶质瘤、丘脑胶质瘤及脊髓胶质瘤等亚型,均属于高级别侵袭性癌症。
这类肿瘤的致命性不仅在于其侵袭性,更因肿瘤会与神经元形成突触、广泛扩散并整合到神经回路中,导致手术无法实施;放疗仅能暂时缓解症状,现有化疗药物均未见效,预后极差。其中,H3K27M突变型弥漫性中线胶质瘤(DMG)是尤为棘手的亚型,主要累及儿童和年轻人。其最常见的脑桥亚型(即弥漫性内在性脑桥胶质瘤,DIPG)是儿童脑癌的首要死因,标准治疗为姑息放疗,即便联合化疗、靶向治疗等,患者中位总生存期仍仅11个月,5年生存率低于1%,因此,迫切需要全新治疗手段,改善预后。
值得关注的是,近期研究显示,GD2-CAR-T细胞疗法在神经母细胞瘤治疗中已取得显著疗效,为该类疾病的治疗带来了新的曙光!
致命胶质瘤不再无药可治!GD2-CAR-T疗法让肿瘤缩小91%,听力/运动功能全面恢复,生存期超20个月
OncLive”报道的这项Ⅰ期临床试验(NCT04196413),共纳入13例保留患者,中位年龄15岁(范围4-30岁),其中10例为弥漫性内在性脑桥胶质瘤(DIPG)、3例为脊髓弥漫性中线胶质瘤(sDMG);最终11例接受了单次静脉GD2-CAR-T细胞回输治疗,该研究成果同步发表于《Nature》。
结果显示:所有患者的中位总生存期(OS)达20.6个月,其中脑桥弥漫性中线神经胶质瘤(DIPG)患者的中位OS为17.6个月,脊髓弥漫性中线神经胶质瘤(sDMG)患者的中位OS长达31.96个月(详见下图)。4例患者的肿瘤体积大幅缩小,缩小幅度分别为52%、54%、91%、100%,另有3例患者肿瘤小范围缩小。

▲图源“nature”,版权归原作者所有,如无意中侵犯了知识产权,请联系我们删除
值得一提的是,其中2位脑桥弥漫性中线神经胶质瘤(DIPG)患者(患者007、患者010),在数据截止时仍存活,生存期分别达33个月、30个月,远超传统治疗11个月的中位总生存期,生存期翻了3倍!下面重点介绍两例疗效显著的典型病例。
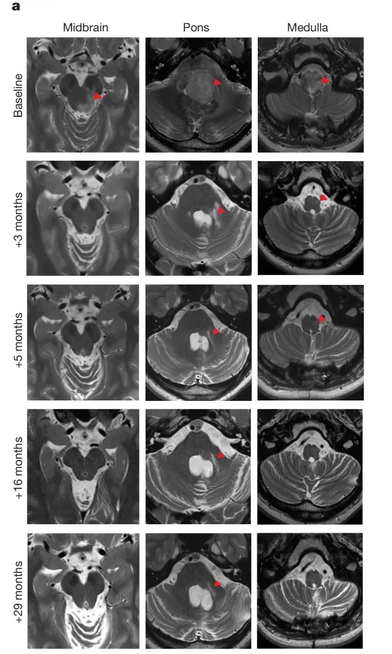
010号患者(DIPG):完全缓解30个月,神经功能大幅恢复
该患者确诊脑桥弥漫性中线神经胶质瘤(DIPG)并完成前期放疗后,影像学提示肿瘤可能进展或假进展。首次输注GD2-CAR-T细胞后数月内,肿瘤持续缩小至完全缓解,且该状态在入组后30个月(数据截止时)仍在持续。治疗前,肿瘤累及中脑、脑桥及延髓,遮挡第四脑室;治疗3个月后,脑干大小恢复正常,周围脑脊液回流改善,大部分脑干T2信号恢复正常,仅脑桥活检道区域残留异常信号,5个月后完全消退(详见下图)。
在临床症状方面,患者入组时存在感觉与运动障碍,需辅助行走(长距离依赖轮椅);治疗后左侧听力、半脸及半身感觉、味觉均明显改善,运动协调性及步态恢复至可独立行走。

▲图源“nature”,版权归原作者所有,如无意中侵犯了知识产权,请联系我们删除
006号患者(sDMG):7个月肿瘤缩小91%,截瘫症状缓解
该患者确诊脊髓弥漫性中线神经胶质瘤(sDMG)时,已处于临床与放射学肿瘤进展期。首次输注GD2-CAR-T细胞后7个月,肿瘤体积显著缩小91%。治疗前,T11/12水平脊髓肿瘤弥漫性浸润,脊髓扩张填满椎管,无周围脑脊液(CSF);治疗后脊髓逐渐恢复正常大小,T2信号异常基本消失(详见下图)。
在临床症状方面,患者入组时伴有严重截瘫、神经性疼痛、肠道/膀胱功能障碍;在肿瘤缩小90%以上的最佳反应期,疼痛明显缓解,下肢功能改善,可借助拐杖行走。

▲图源“nature”,版权归原作者所有,如无意中侵犯了知识产权,请联系我们删除
该研究不仅证实GD2-CAR-T疗法对致死率近乎100%的弥漫性中线胶质瘤具有显著疗效,更有患者实现近3年无复发的完全缓解,再次验证了CAR-T疗法在恶性实体瘤治疗中的巨大潜力,为传统方案无效的患者带来了全新希望与选择。
小编寄语
CAR-T治疗实体瘤却一直是临床的老大难问题,值得欣慰的是,如今各国都已纷纷加入CAR-T研发大军中,并不断更新CAR-T技术、发现新的治疗靶点。尤其是本文报道的这项研究,让弥漫性中线神经胶质瘤患者的生存期,从中位11个月,最大提升至33个月,更有甚者肿瘤缩小率高达100%,再次让我们看到了攻克实体瘤的希望!想寻求CAR-T、CAR-NK、TCR-T、TIL等国内外新型抗癌疗法帮助的患者,可将治疗经历、近期病理报告、近期影像学检查结果等资料,提交至医学部,详细评估病情,或申请国内外抗癌专家会诊。
参考资料
[1]Monje M,et al.Intravenous and intracranial GD2-CAR T cells for H3K27M+ diffuse midline gliomas[J]. Nature, 2024: 1-8.
https://www.nature.com/articles/s41586-024-08171-9
[2]https://www.onclive.com/view/gd2-directed-car-t-cell-therapy-generates-early-antitumor-activity-in-h3k27m-mutant-diffuse-midline-glioma







