TCR-T联合DC疫苗,让69%患者肿瘤大幅缩小,全身转移灶消退
小编 2025-09-05
TCR-T细胞疗法联合DC疫苗,让69%患者肿瘤大幅缩小,全身转移灶消退
TCR-T细胞疗法(即T细胞受体工程化T细胞疗法)除单药应用外,还可与树突状细胞(DC)疫苗等其他疗法联合使用。《临床癌症研究》发表的一项临床试验(NCT00910650),探讨了MART-1TCR转基因淋巴细胞过继转移联合MART-1肽脉冲DC疫苗在HLA-A2.1阳性转移性黑色素瘤患者中的疗效,结果显示69%(9例)的患者出现肿瘤消退迹象。
这一亮眼数据不仅印证了TCR-T与DC疫苗联合疗法的协同抗癌潜力,更给对传统治疗应答不佳的转移性黑色素瘤患者带来了新的生存曙光,为肿瘤免疫联合治疗的创新发展奠定了坚实基础!

▲截图源自“AACR”
TCR-T疗法为实体瘤治疗开辟新赛道,"精准杀癌"不是梦
TCR-T细胞疗法(即T细胞受体工程化T细胞疗法),是通过基因工程技术将抗原特异性TCR基因序列(α和β链)转入T细胞,使其能特异性识别肿瘤抗原并精准杀伤癌细胞的免疫疗法。
TCR-T细胞可识别细胞膜表面及细胞内来源的肿瘤特异性抗原,其中靶向NY-ESO-1的TCR-T细胞表现尤为突出——已在难治复发性黑色素瘤、滑膜肉瘤、肺癌、肝细胞癌、宫颈癌等多项实体瘤的临床试验中,展现出良好的安全性与有效性,是目前实体瘤领域最具突破潜力的T细胞免疫疗法之一。
2022年初,TCR-T细胞产品“Kimmtrack”获美国食品和药物管理局(FDA)批准用于治疗葡萄膜黑色素瘤,作为全球首款上市的TCR-T产品,它为实体瘤治疗开辟了全新赛道!
好消息是,目前针对乙型肝炎病毒相关肝细胞癌、妇科恶性肿瘤(卵巢癌、子宫内膜癌)、晚期葡萄膜黑色素瘤、鼻咽癌、血液系统恶性肿瘤等癌种的TCR-T疗法临床试验,正持续开展患者招募。想要参加的患者,可先将治疗经历、出院小结、近期病理报告等资料,提交至医学部,了解详细的入排标准,并进行初步评估!
TCR-T+DC疫苗联合发力,给晚期黑色素瘤患者活下去的底气,69%肿瘤消退,连转移灶都缩小了
该研究共纳入14例HLA-A*0201阳性且MART-1阳性的转移性黑色素瘤患者,中位年龄为50岁,其中9例为伴有内脏和/或骨转移的M1c期,4例为肺转移的M1b期,1例为仅皮肤、淋巴结及皮下转移的M1a期。
结果显示:69%(9例)患者出现肿瘤消退迹象;在10例可评估疗效的患者中,8例于治疗第30天通过PET扫描或体检观察到初始抗肿瘤活性证据(详见下图)。

▲图源“Clin Cancer Res”,版权归原作者所有,如无意中侵犯了知识产权,请联系我们删除
此外,两例治疗前出现急性呼吸窘迫不良事件的患者(F5-12、F5-14),经TCR-T+DC癌症疫苗联合治疗后,胸部X光片显示,患者肺转移灶随时间推移逐渐缩小(详见补充图7)。

▲图源“Clin Cancer Res”,版权归原作者所有,如无意中侵犯了知识产权,请联系我们删除
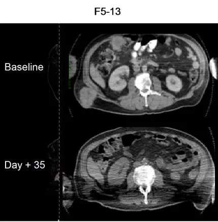
另一例患者(F5-13)经TCR-T+DC癌症疫苗联合治疗第35天的PET/CT显示出初始抗肿瘤活性,CT扫描可见大型皮下/肌肉转移灶消退(详见下图4)。

▲图源“Clin Cancer Res”,版权归原作者所有,如无意中侵犯了知识产权,请联系我们删除
综上,采用短程体外操作的DC疫苗联合TCR工程化T细胞的双细胞疗法不仅具有可行性,更展现出明确的抗肿瘤活性。
小编寄语
TCR-T疗法创新性地开创了“抗癌+抗病毒”双效合一的治疗范式。近年来,科研团队正加速探索其在病毒相关性实体瘤领域的应用,尤其是乙肝病毒引发的肝细胞癌,以及人乳头瘤病毒(HPV)相关的宫颈癌等重点癌种。值得振奋的是,随着2024年首款TCR-T细胞治疗产品成功获批上市,标志着这一前沿技术正式迈入临床应用阶段!我们期待未来有更多突破性抗癌疗法获批,助力实体瘤患者实现长期带瘤生存的希望。
更大的好消息是,多款在研TCR-T疗法正针对妇科肿瘤(宫颈癌、子宫内膜癌、卵巢癌)、头颈部肿瘤及乙肝相关肝癌等开展临床试验,中国患者可有机会同步参与前沿治疗!如果您也想寻求TCR-T、CAR-T、TILs等新兴抗癌疗法的帮助,可以将近期病理检查结果、治疗经历等资料,提交至医学部,进行初步评估!
参考资料
[1]Chodon T,et al.Adoptive transfer of MART-1 T-cell receptor transgenic lymphocytes and dendritic cell vaccination in patients with metastatic melanoma. Clin Cancer Res. 2014 May 1;20(9):2457-65.
https://pmc.ncbi.nlm.nih.gov/articles/PMC4070853/







