从癌症晚期到无癌10年!新型免疫疗法让肺癌,乳腺癌,胆管癌等各类癌症患者奇迹缓解
小编 2024-08-12
新型免疫TIL疗法帮助癌症患者从晚期到无癌生存10年,肺癌、乳腺癌、胆管癌等各类癌症患者奇迹缓解
一种从肿瘤患者自身的肿瘤组织中,寻找“实体瘤突破口”的新型免疫疗法——TIL疗法,经历三十余年的研发,终于在2024年2月16日,迎来首款获美国FDA批准的TIL产品——Lifileucel,它也是FDA批准的首个实体肿瘤细胞疗法,自此正式开启了实体瘤治疗的新纪元,实体瘤患者也终于“守得云开见月明”!
据悉,TIL疗法目前已帮助多名晚期肺癌、黑色素瘤、乳腺癌、胆管癌等实体瘤患者一次次躲过癌症攻击,实现长生存奇迹,这款号称“一次起效”的抗癌黑科技究竟有何魔力?下面全球肿瘤医生网小编就帮大家揭开TIL疗法的“神秘面纱”,以供癌友们参考!
TIL疗法助转移性黑色素瘤患者,无癌生存超9年
黑色素瘤被广泛认为是最具免疫原性的人类癌症类型之一,原发性病变和黑色素瘤转移中的T细胞浸润与临床结果之间存在很强的相关性。
荷兰癌症研究所(NKI)近期开展的一项“应用TIL疗法治疗转移性黑色素瘤的I/II期临床研究”,共入组10例患转移性皮肤IIIc/IV期黑色素瘤的患者,年龄≥18岁,且至少有一个可切除的足够大小的转移性病变(直径≥3cm)。入组接受黑色素瘤转移灶手术切除、清淋治疗(环磷酰胺+氟达拉滨)、白细胞介素-2(IL-2)。
结果显示如下:TIL治疗后,有2例患者奇迹般获得完全缓解(CR),另3例患者获得部分缓解(PR),还有1例患者达到病情稳定(SD),详见下图。
图1 基于CT扫描10例患者的最佳总体反应
▲图源“BMJ”,版权归原作者所有,如无意中侵犯了知识产权,请联系我们删除
1例完全缓解(CR)的患者,TIL治疗后无癌生存近10年
其中,一位46岁的男性BRAF V600E突变阳性黑色素瘤患者(患者3),既往接受过维莫非尼、伊匹单抗治疗,但病情仍持续进展,伴移行转移、肝转移、髂淋巴结转移、左侧肾上腺肿大。他入组接受1次TIL回输治疗,治疗12周后处于完全缓解(CR)状态。如今他已经无癌生存超9年!
▼患者3 TIL疗法治疗前后的大腿照片对比
▲图源“BMJ”,版权归原作者所有,如无意中侵犯了知识产权,请联系我们删除
注:疤痕标识了肿瘤切除部位,切除的肿瘤组织用于TIL细胞的培养。
中国患者如何寻求TIL疗法帮助?
好消息是,目前我国正有多款TILs疗法的临床试验正在招募中,主要针对黑色素瘤、非小细胞肺癌、胆管癌、乳腺癌、宫颈癌、卵巢癌、输卵管癌、子宫内膜癌、肾癌、食管鳞癌、头颈部鳞癌、尿路上皮癌等多款实体瘤。
想寻求TIL疗法帮助的患者,可将近期病理报告、治疗经历、影像学检查报告、出院小结等资料,提交至医学部,进行初步评估!
TIL细胞:实体瘤大杀器,一次治疗持续抗癌
“TIL细胞”即“肿瘤浸润淋巴细胞”(tumor-infiltrating lymphocytes,TILs),是从患者手术切除的肿瘤中,分离出浸润在肿瘤细胞周围的淋巴细胞,在体外扩增、培养后,再回输到患者体内的一种过继性免疫细胞疗法。
TIL细胞:蛰伏在肿瘤组织中的"免疫敢死队",持续猛攻癌细胞
这些免疫细胞是潜伏在肿瘤组织中,杀伤力最强的一支“免疫敢死队”,可杀入敌军内部与癌细胞近身肉搏。将这些数量不多但极其珍贵的免疫细胞,在实验室中培养、扩增后,就能得到数十亿个战斗力升级、数量暴增的“免疫军团——TIL大军”。这些TIL细胞一旦回输到患者体内,就会持续寻找并精准绞杀癌细胞。
更加津津乐道的是,作为一种“活的”细胞疗法,TIL细胞回输后可持续发挥作用,当体内再次出现癌细胞时,这些免疫细胞可以快速发动攻击。TIL细胞可用于术后辅助治疗,帮助早期肿瘤患者消灭体内残留的癌细胞,预防肿瘤的复发或转移;还可作为晚期癌症患者的末线补救治疗措施,帮助患者尽可能延长生存时间、提高生活质量,改善癌症晚期患者“无药可用”的困境!
"一次起效"的新型抗癌疗法
与CAR-T疗法类似,TIL细胞疗法也是一种一次性治疗。目前TIL细胞疗法已在黑色素瘤、非小细胞肺癌、结直肠癌、头颈癌、宫颈癌、卵巢癌等多种实体瘤治疗领域中,展现出积极的临床效果。TIL疗法也被视为“最有可能攻克实体瘤的免疫细胞疗法”!
斯坦福医学院的Betof Warner教授表示:“与其他转移性实体肿瘤治疗不同,TIL疗法真正的前景在于,这是一种‘大手笔’的方法,虽然在前期是一笔巨大的支出,但之后你就有机会在无需接受任何进一步癌症治疗的前提下,继续生存,这对于实体瘤患者是一种前所未有的选择”!
TIL细胞疗法的主要治疗步骤
1、手术切除肿瘤组织:医生首先需要切除患者病变部位的肿瘤组织,其内会混杂肿瘤细胞(浅蓝色)及T淋巴细胞(绿色、红色、深蓝色);之后需初步判断切除的组织,能否制备出足够的T细胞。
2、TIL细胞分离扩增:将肿瘤标本运送到专有的GMP设施,进行分离、扩增,并加入高浓度的IL-2(白细胞介素-2)进行培养,一般TIL细胞会在3周左右,扩增至数十亿。
3、测试有用的细胞群:用患者的肿瘤细胞及扩增后的T淋巴细胞反应,将能触发杀瘤效应的T淋巴细胞群,作为阳性TIL群(红色)进行保留;其余的(深蓝色、绿色)进行丢弃(详见下图)。
4、淋巴细胞清除术:患者需在TIL治疗前,接受淋巴细胞清除治疗,为接下来的TIL治疗做准备。
5、TIL回输治疗:将制备好的TIL细胞,以静脉回输等形式,回输到患者体内;之后还需要配合IL-2治疗,以支持患者体内TIL细胞的生长和激活,帮助找到并杀死潜伏在患者体内的癌细胞。
图1 TIL疗法治疗过程示例图
▲图源“TBCF”,版权归原作者所有,如无意中侵犯了知识产权,请联系我们删除
TIL疗法助力多款实体瘤患者,实现生存奇迹,重回正常生活
TIL疗法助晚期胆管癌患者,突破10年生存大关
《ASCO邮报》曾报道过一位与癌症顽强斗争数年,并最终在TIL疗法的帮助下,存活超10年的晚期肝内胆管癌患者的坚强抗癌经历!
▲截图源自“The ASCO Post”
梅琳达(MELINDA)是一位护理人员,她在2009年确诊为晚期肝内胆管,随即接受了手术治疗。但术后3个月,肺部出现转移灶。此时,化疗是她的唯一选择,她先后接受了吉西他滨+顺铂、多西他赛等多种化疗方案。然而,不幸的是,化疗并未完全阻断癌细胞的肆虐生长,梅琳达的肝脏和肺部都出现了转移灶,而且在两年多的抗癌过程中,她一直饱受化疗副作用的折磨,出现了耳鸣、手脚周围神经病变等严重的化疗副作用,生活质量急剧下降,最终无奈决定停止治疗。2012年4月,她的状态更差了,开始出现频繁咳嗽,几乎走不了路,医生无奈宣布,她的生命可能只剩下几个月了。
作为一名护理工作者,她了解到美国国家癌症研究所(NCI)正在进行一项“肿瘤浸润淋巴细胞疗法(TIL)治疗转移性癌症”的临床试验,她随后联系了Steven A. Rosenberg博士,尽管这种疗法当时还处于实验阶段,但她已经没有时间等待了,最终抱着最后的希望,报名并成功入组了该项研究。入组后,医生首先切除了梅琳达右肺的几个肿瘤,并从中提取出来免疫T细胞,之后再实验室进行扩增、培养,得到宝贵的TIL细胞。
当420亿个TIL细胞回输梅琳达体内1周后,奇迹出现了,梅琳达感觉症状明显改善,不仅咳嗽症状消失了,而且体力也有了明显恢复,即便走几层楼梯也不会气喘吁吁了。
TIL治疗1个月后,影像学检查显示,梅琳达肺部和肝脏中的所有肿瘤都在缩小。在接下来的1年内,肿瘤继续缩小并保持稳定。不过鉴于肿瘤随后又有复苏的迹象,梅琳达在2013年10月,接受了第二次TIL细胞回输治疗。在二次治疗后,复查影像学显示,她的肿瘤体积又缩小了60%!更为幸运的是,随后她的病情一直保持稳定,截至数据统计截止时,未见任何肿瘤活跃的迹象!自2009年确诊以来,梅琳达已存活超过10年!对她来说每一天都是一份礼物,如今的她成为了胆管癌基金会的倡导者,希望帮助更多的癌症患者勇敢战胜病魔!
首位接受新型免疫疗法的乳腺癌患者,奇迹般获得"临床治愈"
2018年ASCO年会上报告了“世界首例通过新型免疫疗法,宣告‘治愈’的转移性乳腺癌患者——55岁的朱迪·珀金斯(Judy Perkins)”,当时引发了极大的轰动。
Judy在2003年确诊为早期乳腺癌,之后进行了乳房切除术,切除了整个乳房及腋下所有的淋巴结,她以为自己早就远离了死神。
然而没想到10年后(2013年),她的癌症复发了,这一次被确诊为第四期HER2阳性转移性乳腺癌,癌细胞已转移至肝脏、胸、腹部、淋巴结等处,Judy随后接受了数次化疗和激素疗法。但不幸的是,这次复发来势汹汹,这些治疗无一例外都失败了,此时Judy的癌细胞已扩散至全身多个部位,她长出了“一堆肿瘤”,甚至连肝脏都长了一簇网球大小的肿瘤。医生无奈地告知Judy,她最多可能还有三个月可活,这也是第一次她感觉自己和死神的距离如此之近。
但Judy和家人不愿意放弃最后的希望,她找到了外科主任和免疫治疗领域的先驱Steven Rosenberg博士,并表示她想参加美国国立卫生研究院(NIH)正在进行的一项“肿瘤浸润淋巴细胞(TIL)的免疫疗法临床试验(NCT01174121)”,在与Rosenberg博士交流后,她了解到这种实验性疗法之前并未在乳腺癌领域有过尝试,她将成为第一批新疗法的实验者。抱着和死神最后一搏的想法,她决定做“第一个吃螃蟹的人”。
Judy的治疗始于2015年8月,医生采集了她的肿瘤样本,对其进行DNA测序,并在Judy的乳腺癌细胞里找到了62种不同的突变,接着,研究人员从她的肿瘤组织里寻找肿瘤浸润性免疫细胞(TIL细胞),之后再实验室中培养、扩增出数量庞大的“免疫军团”它们可以精准锁定并摧毁肿瘤细胞,最终达到对抗肿瘤的目的。
▼Judy正在回输TIL细胞
▲图源“NIH”,版权归原作者所有,如无意中侵犯了知识产权,请联系我们删除
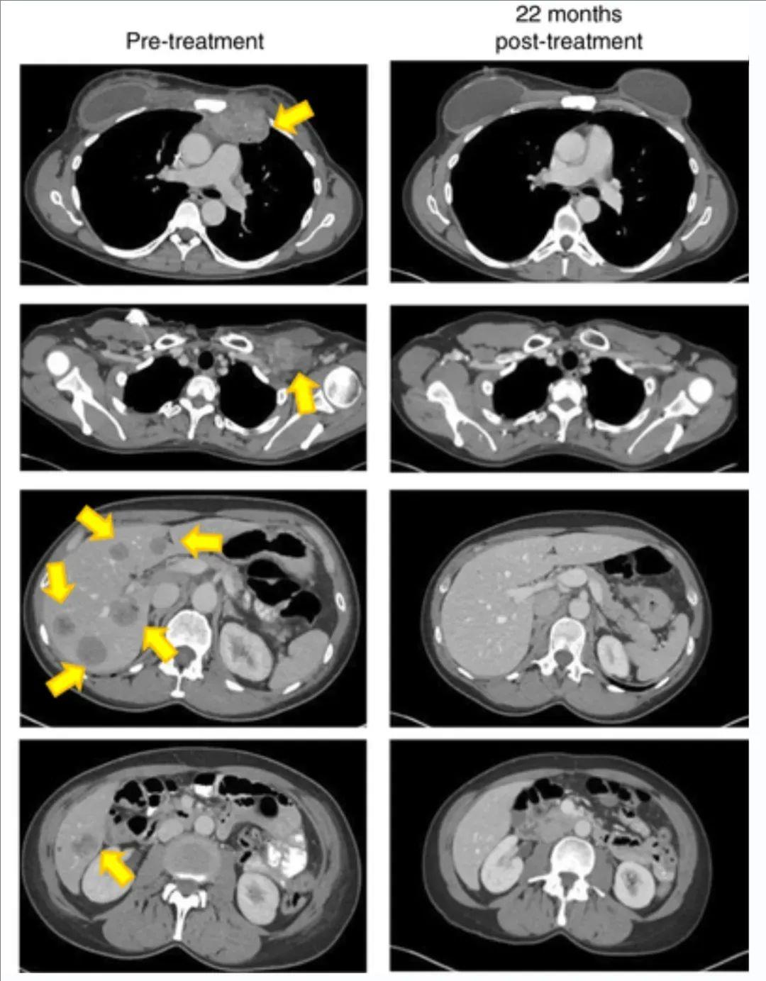
当900亿个免疫细胞被输入Judy体内后,奇迹出现了。TIL治疗1~2周后,胸腔内的肿瘤完全消失了!Judy在TIL回输治疗5个月后,2016年5月复查影像学显示,她的病灶竟然奇迹般的“消失”了(详见下图),肿瘤缩小到足以停止服用止痛药,而且生活也重回正轨。截至数据统计止,Judy已存活超过3年!她的经典案例也登上了顶级期刊《Nature》上,可以说TIL疗法,将Judy奇迹般地从死亡边缘拉了回来!如今她是全国乳腺癌联盟的倡导者,鼓励更多病友战胜癌症,重回正常生活!
▼TIL细胞治疗前、治疗后22个月的影像学对比
▲图源“Nat Med”,版权归原作者所有,如无意中侵犯了知识产权,请联系我们删除
TIL疗法助晚期非小细胞肺癌患者,获得完全缓解
莫菲特癌症中心(MOFFITT CANCER CENTER)官网也分享过,一位晚期肺癌患者经TIL治疗后,奇迹般地获得完全缓解(CR)!
▲截图源自“MOFFITT CANCER CENTER官网”
这位幸运的患者名为“黛博拉·巴克(Deborah Barker)”,她于2017年确诊为4期非小细胞肺癌(NSCLC),由于她的癌症突变没有可用的新型靶向药物治疗,仅接受了放射治疗。为了对抗癌症,她在2018年入组接受了TIL治疗。
入组后,医生先切除了Barker的一小部分癌变的肺组织和癌性淋巴结组织,并从中提取出了肿瘤组织中的免疫T细胞;接着将这些宝贵的T细胞送到实验室,进行扩增、培养,最终得到制备好的抗癌利器——TIL细胞。
在此期间,Barker接受了免疫治疗药物纳武单抗(nivolumab)治疗,她对初始治疗的反应较好,医生决定暂时推迟她的TIL细胞治疗。经过1年的稳定期后,病情再次进展,此时TIL细胞治疗已迫在眉睫,最终,经过一轮住院化疗后,Barker终于接受了TIL细胞回输治疗,并在此后的1年内,继续联合纳武单抗治疗。
Barker的免疫细胞被封锁在肿瘤内,因此无法完全根除癌细胞。但通过将这些T细胞取出、大量培养,并重新注入患者体内,她显然获得了良好的反应!如今,Barker奇迹般地获得完全缓解(CR),她也迎来了第二次人生!
其实,Barker并不是唯一一例经TIL治疗后,病情缓解的非小细胞肺癌患者。《癌症探索(Cancer Discov)》就曾于2024年5月,报道过一位41岁IV期肺黏液腺癌的男性患者,在TIL治疗3个月后,获得部分缓解(PR)的惊艳案例!
这位患者在TIL回输前后复查CT显示,反应持续时间分别为1.1+(TIL治疗前)、26.2+个月(TIL治疗6周后),更为欣喜的是,随着时间推移,反应不断加深。最终在TIL治疗12周(3个月)时,获得81%的部分缓解(PR)(详见下图)。
▲图源“Cancer Discov”,版权归原作者所有,如无意中侵犯了知识产权,请联系我们删除
小编寄语
TIL疗法自1988年初次尝试应用于临床以来,已走过三十多年的发展历程,今年更是迎来了首款TIL产品获批上市的好消息。与其他T细胞疗法相比,TIL疗法具有将患者自身的肿瘤组织“变废为宝”的神奇魔力,在治疗黑色素瘤、非小细胞肺癌、结直肠癌、乳腺癌等多款实体瘤领域具有独特优势,甚至能帮助部分实体瘤患者实现长期带瘤生存!
好消息是,目前我国多款TILs疗法已正式获批开展临床研究,主要针对非小细胞肺癌、乳腺癌、胆管癌、食道癌、宫颈癌、卵巢癌等多款实体瘤。对目前治疗方案不满意,想寻求TILs疗法等新型抗癌疗法帮助的患者,可咨询医学部,进行初步评估。
参考资料
[1]van den Berg J H,et al.Tumor infiltrating lymphocytes (TIL) therapy in metastatic melanoma: boosting of neoantigen-specific T cell reactivity and long-term follow-up[J]. Journal for immunotherapy of cancer, 2020, 8(2).
https://jitc.bmj.com/content/8/2/e000848
[2]Schoenfeld AJ,et al.Lifileucel, an Autologous Tumor-infiltrating Lymphocyte Monotherapy, in Patients with Advanced Non-small Cell Lung Cancer Resistant to Immune Checkpoint Inhibitors.Cancer Discov.2024 Apr 2.
https://aacrjournals.org/cancerdiscovery/article/doi/10.1158/2159-8290.CD-23-1334/742106/Lifileucel-an-Autologous-Tumor-infiltrating?searchresult=1
[3]Zacharakis N,et al.Immune recognition of somatic mutations leading to complete durable regression in metastatic breast cancer. Nat Med. 2018 Jun;24(6):724-730. doi: 10.1038/s41591-018-0040-8. Epub 2018 Jun 4.
https://www.ncbi.nlm.nih.gov/pmc/articles/PMC6348479/
[4]https://ascopost.com/issues/april-25-2020/a-clinical-trial-saved-my-life/
[5]https://www.moffitt.org/endeavor/archive/til-therapy-shows-promise-in-non-small-cell-lung-cancer/







