FDA新批"超级六边形战士"发动免疫攻击,暴击血癌及实体瘤(附:中外CAR-NK全景图)
小编 2024-07-24
FDA批准SENTI-202临床试验申请,CAR-NK细胞疗法暴击血癌及实体瘤(附:中外CAR-NK全景图)
近期,一款名为“SENTI-202”的研究性同种异体嵌合抗原受体自然杀伤(CAR-NK)细胞治疗候选药物,获得美国食品药品监督管理局(FDA)的新药临床试验申请(IND)申请,用于治疗骨髓增生异常综合征、急性髓细胞白血病(AML)。
此前的临床前数据已证实,Senti-202可在保留健康干细胞的前提下,选择性地靶向和消除白血病细胞,包括原始细胞和白血病干细胞,研究结果同步发表在《Cell Reports》上。Senti-202本次获批是CAR-NK发展的一个巨大里程碑,标志着这款结合了CAR工程技术和NK细胞优势的“抗癌六边形战士”的无限潜力!
▲截图源自“CGT live”
CAR-NK细胞:同时碾压实体瘤和血液肿瘤的六边形战士
自然杀伤(NK)细胞是先天淋巴细胞(ILC)的一种,是体内除T细胞和B细胞之外的第三大淋巴细胞亚群,约占外周血(PB)淋巴细胞总量的10%~15%,广泛分布于外周血、肝脏、脾脏等组织,又被喻为“人体抗癌和抗病毒的第一道防线”。这些NK细胞会警惕免疫系统中的任何干扰,当癌细胞下调主要组织相容性复合体(MHC)表达,以避免被T细胞攻击时,这种反应会被NK细胞标记,之后NK细胞会找到癌细胞,并杀死它们。NK细胞具有快速响应威胁的独特能力,无需抗原刺激,也不受主要组织相容性复合体(MHC)的限制。
而CAR-NK(chimeric antigen receptor-NK,CAR-NK)细胞,就是仿造CAR-T细胞的设计方式,通过转基因工程的方式,将人工合成的CAR结构,安装在NK细胞上,使其在保留NK细胞原有功能的前提下,又能将目标精准锁定在特定的抗原蛋白上,最终达到精准识别并绞杀癌细胞的目的,让狡猾的癌细胞“无处藏身”。
中外CAR-NK疗法在研项目"全景图"
近年来,CAR-NK细胞疗法已成为肿瘤治疗领域的冉冉升起的新星,在实体瘤和血液肿瘤治疗方面颇具建树,已发表或正在进行大量临床前及临床研究(详见下图)。
图1 CAR-NK治疗实体瘤和血液肿瘤领域临床试验数量统计
图2 不同国家/地区CAR-NK临床试验数量百分比
▲图源“Heliyon”,版权归原作者所有,如无意中侵犯了知识产权,请联系我们删除
全面汇总:中外CAR-NK临床试验涉及的癌种及靶点
1、国际已取得第一阶段研究进展的CAR-NK临床试验汇总

▲数据源自“Front Immunol”,全球肿瘤医生网医学部整理汇总
2、中国已获临床试验默示许可的CAR-NK疗法汇总
▲数据源自“NMPA”
值得注意的是,表中提到的MSLN CAR-NK注射液(即靶向间皮素嵌合抗原受体NK细胞注射液),是我国首款获国家药审中心(NMPA)批准的“现货型”异体来源CAR-NK产品,主要用于晚期上皮性卵巢癌的治疗,有助于提高治疗效果、改善患者的生活质量。
做了基因检测的病友可以拿出报告看看,一旦存在上述突变,可联系全球肿瘤医生网医学部,初步评估是否有机会接受CAR-NK、NK细胞或CAR-T细胞疗法等抗癌新技术的帮助。看不懂检测报告的病友,也可致电全球肿瘤医生网医学部解读报告。
CAR-NK疗法暴击CD19阳性恶性肿瘤,治疗半年仍处于完全缓解
2017年6月~2021 年5月期间,安德森癌症中心(MDACC)进行了一项“CAR19/IL-15 NK细胞(一种脐带血来源的表达抗CD19嵌合抗原受体和白细胞介素-15的NK细胞),治疗CD19阳性恶性肿瘤”的1/2期临床试验。本次研究共入组37例,中位年龄为7~80岁的CD19阳性恶性肿瘤患者,包括低度非霍奇金淋巴瘤(NHL)、弥漫大B细胞淋巴瘤(DLBCL)、未发生转化的慢性淋巴细胞白血病(CLL)。结果显示如下:
1、客观缓解率(OR):入组的37例患者第30天和第100天的客观缓解率(OR),均为48.6%。
2、完全缓解率(CR):37例患者第30天、第100天、1年的完全缓解率(CR),分别为27%、29.7%、37.8%。其中,有9例患者在180天时,仍处于CR状态。
3、生存率:18例获得客观缓解的患者,其1年总生存(OS)概率(94.4%∶58.3%,P=0.01)、无进展生存(PFS)概率(50.0%∶25.0%,P=0.016)明显更高(详见下图)。
▲图源“nature medicine”,版权归原作者所有,如无意中侵犯了知识产权,请联系我们删除
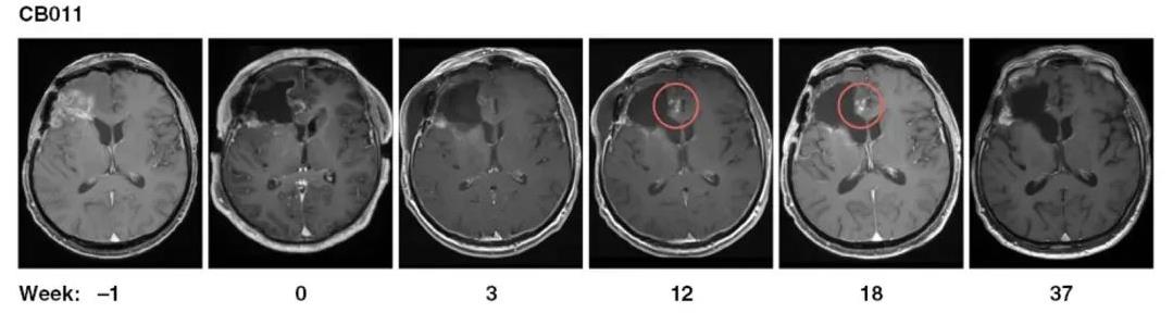
CAR-NK细胞治疗胶质母细胞瘤,中位总生存期长达135周
除了血液肿瘤外,CAR-NK细胞治疗多款实体瘤的潜力也不容小觑。《Neuro-Oncology(神经肿瘤学)》就曾报道过“CAR-NK细胞治疗复发性HER2阳性胶质母细胞瘤”的Ⅰ期惊艳结果。在本次研究中,入组9例复发性HER2阳性胶质母细胞瘤(GB)患者,这些患者在复发手术期间,在手术腔边缘进行CAR-NK细胞注射治疗,结果显示:
1、中位总生存期(OS):入组患者(n=9)中位总生存期(OS)达到31周。其中,出现假性进展的2例患者OS更长,分别达到98周、135周。
2、中位无进展生存期(PFS):9例患者中位无进展生存期(PFS)达7周。而出现假性进展的2例患者PFS更是长达37周。
3、病情稳定(SD):56%的患者(5例)在复发手术和持续7~37周的CAR-NK治疗后,达到病情稳定(SD)。
值得一提的是,治疗期间2例患者注射部位发现假性进展,提示存在治疗诱导的免疫反应。其中,MRI显示CAR-NK注射后第12周,患者切除边缘附近,出现斑点状对比增强,并在接下来的几周内消失,这可能与诱导的免疫反应相关,无需进一步治疗(详见下图)。
▲图源“Neuro-Oncology”,版权归原作者所有,如无意中侵犯了知识产权,请联系我们删除
小编寄语
将自然杀伤(NK)细胞可杀死恶性细胞的先天能力,与CAR构建体所传递的靶向和增强的细胞毒性相结合,产生了一种技术上可行、有效且安全的疗法——CAR-NK细胞疗法,可用于各种癌症和抗原靶点的治疗,弥补了CAR-T疗法在实体瘤治疗领域的“短板”,CAR-NK正迅速成为细胞免疫疗法的下一代选择!
如果您对目前的治疗方案存疑,或想寻求CAR-NK细胞、CAR-T、NK细胞等国内外抗癌新技术的帮助,可咨询医学部,详细评估病情,或申请国内外抗癌专家会诊。
参考资料
[1]Li J,et al.CAR-NK cells in combination therapy against cancer: A potential paradigm[J]. Heliyon, 2024.
https://www.cell.com/heliyon/fulltext/S2405-8440(24)03227-4
[2]Li T,et al.CAR-NK cells for cancer immunotherapy: recent advances and future directions. Front Immunol. 2024 Feb 9;15:1361194.
https://www.ncbi.nlm.nih.gov/pmc/articles/PMC10884099/
[3]Marin D,et al.Safety, efficacy and determinants of response of allogeneic CD19-specific CAR-NK cells in CD19+ B cell tumors: a phase 1/2 trial[J]. Nature medicine, 2024, 30(3): 772-784.
https://www.nature.com/articles/s41591-023-02785-8
[4]Burger M C,et al.Intracranial injection of natural killer cells engineered with a HER2-targeted chimeric antigen receptor in patients with recurrent glioblastoma[J]. Neuro-oncology, 2023, 25(11): 2058-2071.
https://academic.oup.com/neuro-oncology/article/25/11/2058/7155851?login=false
[5]https://www.cde.org.cn/
[6]https://www.cgtlive.com/view/senti-bio-car-nk-therapy-senti-202-clea
[4]https://oncubanews.com/tendencias/vida-saludable/cimavax-cancer-de-pulmon/
[5]https://ascopubs.org/doi/abs/10.1200/JCO.2023.41.16_suppl.9135







