癌症患者术后及时保留这种细胞,关键时刻或能"救命"
小编 2024-05-14
癌症患者手术后一定要及时保留TIL细胞,关键时刻TIL细胞疗法或许能"救命"
20世纪80年代末,TIL疗法由美国国家癌症研究所的Steven Rosenberg博士首次提出,同年他被授予“国家技术与创新奖章”以表彰其将肿瘤浸润淋巴细胞(TIL)疗法,引入临床方面的贡献。
2024年《美国医学会杂志(JAMA)》发表的一项最新研究显示,早期肿瘤内免疫细胞水平较高的三阴性乳腺癌(TNBC)患者,即便不接受化疗,复发风险也较低,生存率也较高,这一重要发现,表明乳腺组织中丰富的TIL细胞,是早期三阴性乳腺癌患者的预后生物标志物之一。
这款古老的疗法历经三十余载的研究,终于在2024年2月16日,迎来了首款获美国FDA(食品药品监督管理局)加速批准上市的TIL产品-Lifileucel,用于晚期黑色素瘤的治疗。除了黑色素瘤外,TIL疗法在非小细胞肺癌、结直肠癌、乳腺癌等其他实体瘤方面,也取得了惊艳的疗效!
为何要保留TIL细胞
TIL细胞及其优势
肿瘤患者既往通过手术切除的肿瘤病变组织,除了将一小部分做成病理蜡块,用于病理诊断外;剩下的大部分组织会作为医疗垃圾处理掉,这无疑是“暴殄天物”,白白浪费了患者自身隐藏的宝贵抗癌免疫细胞!
多项临床研究表明,肿瘤组织中含有的这类天然存在的免疫细胞,表明患者的身体正在努力对抗这些癌细胞,肿瘤浸润淋巴细胞(TIL细胞)就是从癌症患者自身的肿瘤活检组织里,采集浸润的淋巴细胞,之后经过体外扩增培养后,再回输到患者体内,以利用患者自身的天然抗癌能力,来识别并清除癌细胞的一种过继性免疫细胞疗法。
与CAR-T、TCR-T疗法相比,TIL细胞能识别更多的肿瘤抗原,从而覆盖高度异质性的实体瘤;还具有天然识别及杀伤肿瘤细胞的能力,同时能快速定位到肿瘤组织,并在体内发挥更加持久的抗肿瘤作用,因而被视为对抗实体瘤的“新型杀器”,用于乳腺癌、肺癌、肝癌、宫颈癌、黑色素瘤、卵巢癌等多款实体瘤的治疗。
TIL细胞的丰度,与癌症预后相关
三阴性乳腺癌(TNBC)是一种乳腺癌亚型,约占所有乳腺癌的15%,它生长迅速,在诊断前更有可能扩散到乳房以外,并且比其他乳腺癌更有可能复发,而且对雌激素受体或HER2蛋白的药物没有反应。TIL疗法的出现,为早期三阴性乳腺癌患者提供了一种新的希望与选择。
2024年4月2日,《美国医学会杂志(JAMA)》上发表的一项多中心国际研究表明,“乳腺组织中丰富的TIL细胞,是早期三阴性乳腺癌患者的预后生物标志物之一”。该研究共纳入1966例接受局部治疗但未接受辅助或新辅助化疗的早期三阴性乳腺癌(TNBC)患者,中位年龄为56岁(39-71),其中21%(417例)患者TIL水平≥50%,66%(1300例)患者TIL水平<30%,回顾性分析结果显示:
1、无远处复发生存期(DRFS):TIL水平≥50% I期三阴性乳腺癌患者的5年DRFS为94%;TIL水平<30%患者的5年DRFS为78%。显然,TIL水平与无远处复发生存期(DRFS),呈正相关。
2、总生存率:TIL水平≥50%的患者5年总生存率为95%,而TIL水平<30%患者的5年总生存率为82%。显然,TIL水平与总生存率,呈正相关。
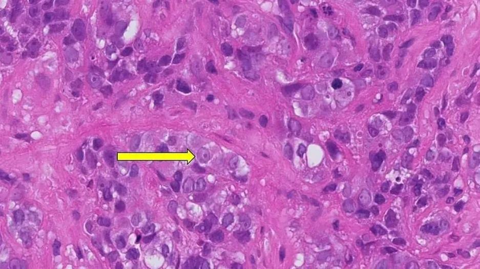
图1 无TIL细胞患者的肿瘤组织病理切片分析
▲图源“Mayo Clinic Cancer Center”,版权归原作者所有,如无意中侵犯了知识产权,请联系我们删除
注:上图为患者肿瘤组织病理切片,其内未见TIL细胞等免疫细胞。因此,患者的免疫系统无法攻击癌细胞(黄色箭头)。此类患者的复发风险较高,尤其是在没有化疗的情况下。
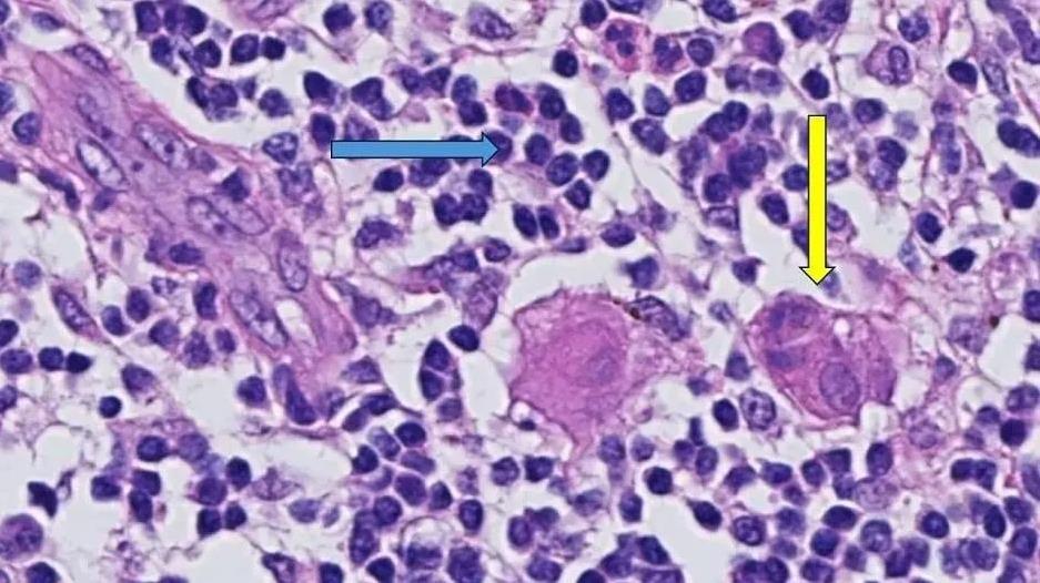
图2 有TIL细胞患者的肿瘤组织病理切片分析
▲图源“Mayo Clinic Cancer Center”,版权归原作者所有,如无意中侵犯了知识产权,请联系我们删除
注:上图为回输TIL细胞后,患者肿瘤组织病理切片,由图可见TIL细胞(蓝色箭头)正在攻击癌症(黄色箭头)。研究表明,即便术后未经化疗,这些患者预后也较好。
上述结果表明,在未接受辅助或新辅助化疗的早期TNBC患者中,TIL水平丰度较高的乳腺癌组织,可获得更好的生存率。这也意味着,术后接受TIL细胞回输治疗的患者,可利用自身的TIL细胞持续对抗癌细胞,或将避免术后必须接受强化化疗方案的无奈选择,从而降低耐药性、提高患者的生活质量。
癌症早期和晚期患者均可使用TIL细胞
1、癌症早期患者可将TIL疗法,作为术后辅助治疗手段,从而有利于消灭残留的癌细胞、预防肿瘤的复发。
2、癌症晚期患者可将TIL疗法,作为末线补救治疗措施,改善癌症晚期患者“无药可用”的困境,从而有助于提高患者的生活质量、在一定程度上延长患者的生存时间。
TIL疗法的最佳储存时机
一般情况下,TIL细胞推荐的储存时机为初次手术后,且未接受术后放化疗等传统治疗前,通常来说越早储存好,以免因肿瘤进展及术后放化疗,而影响TIL细胞数量及治疗效果。
1、术后接受辅助性治疗(如放化疗等),可能影响体内的正常细胞及免疫细胞。研究显示,术后未经其他治疗时的TILs细胞,其抗癌能力最强;一旦接受放化疗后,免疫细胞的杀伤力也可能会随之减弱。
2、TIL细胞的数量,会随肿瘤进展而逐渐降低。一项“应用TIL细胞治疗宫颈癌”的临床研究显示,在CD4+及CD8+细胞数量,在肿瘤末期的TILs细胞中显著降低(详见下图)。
综上,建议肿瘤患者,术前与主治医师沟通好,尽可能保留新鲜的标本组织,并联系专业机构进行TIL细胞的分离以及冻存,以备不时之需。若您还想了解TIL细胞在制备、储存方面的更多信息,可致电医学部,了解详细的流程。
TIL疗法:治疗实体瘤的大杀器
TIL细胞治疗转移性乳腺癌,肿瘤缩小率可达69%
美国国家癌症研究所(NCI)于2022年发表了一项“使用自体肿瘤浸润淋巴细胞(TIL),治疗转移性乳腺癌”的临床研究结果。在6例可评估疗效的患者中,经TIL治疗后,结果显示,一半(50%)患者经历了可测量的肿瘤缩小。其中2位患者在治疗6个月、治疗10个月后,肿瘤缩小率分别达52%、69%。另1例2018年研究中报告的患者,至今仍未患癌;且上述患者经TIL治疗后,约5年和3.5年内,未见新发癌症。
图2 一例乳腺癌患者TIL治疗前后的影像学对比
▲图源“NIH”,版权归原作者所有,如无意中侵犯了知识产权,请联系我们删除
图a:该患者治疗前(2015年12月)的影像学检查示,患者肝脏(下,左)、胸壁(上,左)处,存在转移性病变。
图b:该患者在接受免疫治疗后(2021年5月)的影像学检查示,肿瘤完全缩小,且随访5年未见新发癌症。
TIL-ACT治疗转移性黑色素瘤,中位总生存期达8.8个月
全球知名期刊《Science Immunology》近期报道了一项“使用TIL-ACT(离体扩增的肿瘤浸润淋巴细胞的过继细胞疗法),治疗转移性黑色素瘤的1期临床研究(NCT03475134)”结果。本次共纳入13例转移性黑色素瘤患者,既往接受过免疫检查点阻断(ICB)治疗,但疾病仍然进展。入组接受TIL-ACT联合IL-2(白细胞介素-2)治疗后,经过为期45.4个月的中位随访,结果显示如下:
1、6例患者观察到了客观反应,3例达到病情稳定(SD),2例获得持续完全缓解(CR),4例获得部分缓解(PR)。其中,3号患者治疗前、治疗后3年的PET-CT对比详见下图。
▲图源“Science Immunology”,版权归原作者所有,如无意中侵犯了知识产权,请联系我们删除
2、总生存期(OS):13例患者中,中位总生存期(OS)达8.8个月。
3、无进展生存期(PFS):在13例患者中,中位无进展生存期(PFS)达5.6个月(详见下图)。
▲图源“Science Immunology”,版权归原作者所有,如无意中侵犯了知识产权,请联系我们删除
TIL治疗转移性肺癌,2例患者获完全缓解
《Nat Med》发表过一项关于“TIL疗法治疗晚期非小细胞肺癌(NSCLC)的I期临床研究(NCT03215810)”结果,本次入组的可评估疗效的13例PD-1耐药的转移性NSCLC患者,在入组接受TIL治疗后,结果显示:
84.6%患者(11例)的肿瘤负荷减少,3例确认有反应,其中2例在治疗18个月后,获得持续的完全缓解(CR)。下图显示了入组患者(n=16),自回输TIL之日起的总生存期(OS)。
▲图源“PMC网站”,版权归原作者所有,如无意中侵犯了知识产权,请联系我们删除
中国患者如何寻求TIL疗法帮助
目前我国正有四款TILs疗法的临床试验正在招募患者,主要针对乳腺癌、黑色素瘤、非小细胞肺癌、卵巢癌、输卵管癌、宫颈癌、子宫内膜癌、尿路上皮癌、肾癌、头颈部鳞癌、胆管癌、食管鳞癌等多个癌种。
想参加TILs临床试验的癌友,可将基因检测报告、近期病理报告、治疗经历等详细资料汇总后,提交至医学部,进行初步评估。
TIL疗法在其他实体瘤领域大放异彩
1、肝细胞癌
肝细胞癌(HCC)是临床常见的肝癌类型,TIL疗法在肝细胞癌的预后及免疫治疗中,发挥着重要作用。
一项关于“TIL治疗肝细胞癌的I期临床试验”,共入组15例肝细胞癌患者,接受TIL细胞治疗后,经过14个月的中位随访,结果显示:这些患者100%(15例)存活,其中80%的患者(12例)未出现疾病证据。
2、卵巢癌
莱顿大学医学中心进行过一项“铂类化疗联合自体肿瘤浸润淋巴细胞(TIL),治疗上皮性卵巢癌的1/2期研究(NCT04072263)”。
在完成了完整TIL周期治疗的14例患者中,TIL联合铂类化疗后,9例患者获得部分缓解(PR),3例获得完全缓解(CR),2例达到病情稳定,客观缓解率(ORR)为86%,治疗6个月时的疾病控制率(DCR)达100%!中位无进展生存期(PFS)达10.7个月,中位无铂生存期达6.5个月。
3、头颈部鳞状细胞癌
头颈鳞状细胞癌(HNSCC)根据致病因素不同,可分为人乳头瘤病毒(HPV)阳性癌症、HPV阴性癌症等不同类型。
美国国家癌症研究所报告过关于“TIL细胞治疗转移性HPV相关癌症”的临床研究结果,患者在接受TIL细胞治疗后,结果显示:宫颈癌患者的客观缓解率(ORR)为28%,非宫颈HPV相关癌症患者的客观缓解率(ORR)为18%。其中1例头颈鳞状细胞癌伴肺转移的患者,其持续缓解时间长达5个月。
小编寄语
TIL疗法是通过激活患者自身的免疫系统,来杀死癌细胞的一种过继性免疫疗法,更难能可贵的是,它可将患者通过手术切除的肿瘤组织,“废物”利用起来,从中提取出抗癌能力最强的一类免疫细胞-肿瘤浸润淋巴细胞(TIL),该方法也被视为“最有可能攻克实体瘤的一类免疫疗法”!
好消息是,近年来我国也有多款TILs产品临床新药IND相继获批,TILs研发热度持续上升,目前我国已正式获批开展人体临床试验的TILs疗法,主要针对肺癌、黑色素瘤、胆道肿瘤、头颈部肿瘤、宫颈癌等多款实体瘤。小编也期望能早日迎来我国自主研发的TILs产品获批上市的消息,以造福更多的癌症患者!
想寻求TIL疗法或其他国内外抗癌新技术(如CAR-T、TCR-T、CAR-NK等)帮助的患者,可将病理结果、完整的治疗经历等资料,提交至医学部,详细评估病情。
参考资料
[1]Leon-Ferre RA,et al.Tumor-Infiltrating Lymphocytes in Triple-Negative Breast Cancer. JAMA. 2024;331(13):1135–1144.
https://jamanetwork.com/journals/jama/article-abstract/2816923
[2]Barras D,et al.Response to tumor-infiltrating lymphocyte adoptive therapy is associated with preexisting CD8+ T-myeloid cell networks in melanoma[J]. Science Immunology, 2024, 9(92): eadg7995.
https://www.science.org/doi/10.1126/sciimmunol.adg7995
[3]Zacharakis N,et al.Immune recognition of somatic mutations leading to complete durable regression in metastatic breast cancer. Nat Med. 2018 Jun;24(6):724-730.
https://www.ncbi.nlm.nih.gov/pmc/articles/PMC6348479/
[4]https://cancerblog.mayoclinic.org/2024/04/25/new-study-finds-triple-negative-breast-cancer-tumors-with-an-increase-in-immune-cells-have-lower-risk-of-recurrence-after-surgery/
[5]https://www.cancer.gov/news-events/press-releases/2022/personalized-immunotherapy-metastatic-breast-cancer







