Nature重磅:疾病控制率高达74%!新型T细胞免疫疗法对多种癌症有效
小编 2023-01-12
Nature杂志重磅消息:TCR-T细胞疗法Afami-Cel疾病控制率高达74%,对多种癌症有效
除了手术、放疗、化疗、靶向、PD-1这些大家熟知治疗模式外,肿瘤患者又迎来了一种全新的免疫治疗方案!
20年前,肿瘤的治疗方式仅有手术,放疗,化疗。近10年,免疫疗法的出现已经成为癌症研究最热门的领域之一,这种利用自身免疫细胞杀灭癌细胞的方式比传统治疗更有效。
近期,一项由全球知名的癌症中心-美国MD安德森癌症中心公布的新型过继性T细胞疗法,afami-cel的1期试验最新数据引起了轰动!并在2023年1月9日登上了顶级期刊《自然·医学》(Nature medicine)上。这是首个在人体中进行的研究,招募9类实体肿瘤患者,包括肺癌,胃食管交界癌,卵巢癌,头颈癌等。研究结果显示,多种治疗失败的临床上极难治疗的晚期患者,在使用自己的一种“特殊的”免疫细胞--TCR-T治疗后,竟能让各类癌症患者获得长期的缓解,更值得振奋的是,在这项初期实验中,还有幸运的患者肿瘤完全消失。这意味着使用自身免疫细胞杀灭肿瘤将逐渐成为现实!

疾病控制率高达74%!新型T细胞疗法对多种体瘤有效
众所周知,截止到目前为止,所有的针对实体肿瘤的细胞免疫疗法中,都没有取得像血液肿瘤的CAR-T疗法的高有效率,这是因为实体肿瘤中缺乏特异性高的肿瘤抗原。
近期,这一瓶颈终于被突破!研究人员经过多年研究发现MAGE-A4是一种非常理想的,存在于多种实体肿瘤的特性性癌抗原(包括滑膜肉瘤 、非小细胞肺癌、头颈鳞状细胞癌、卵巢癌、尿路上皮癌、黑色素瘤、胃食管癌等常见癌症类型)。因此研究人员专门研发了一种新型的专门针对MAGE-A4癌症抗原的TCR-T技术-afami-cel。
在《自然·医学》刚刚更新的临床试验数据显示,共有38名平均接受过3种全身治疗失败,临床上可以说是没有任何标准治疗方案的极晚期患者接受了新型的TCR-T疗法,包括恶性程度极高的滑膜肉瘤,卵巢癌,头颈癌,胃癌,粘液样/圆形细胞脂肪肉瘤,非小细胞肺癌,尿路上皮癌,食道癌和黑色素瘤。
这些患者在接受afami-cel细胞治疗后,产生了强烈的响应。
结果显示:针对所有癌症类型,总体确认的客观缓解率(ORR)为 24%(n = 9/38),疾病控制率(DCR)达到了74%,这意味着大部分晚期患者的病情在接受TCR-T治疗后得到了有效控制。
特别值得一提的是,在 16 名经过大量预处理的转移性 滑膜肉瘤患者中,客观缓解率(ORR)高达44%,这意味着近一半的患者肿瘤显著缩小30%以上甚至消失,疾病控制率(DCR)高达 94%!
比如下面这位幸运的滑膜肉瘤患者,接受TCR-T治疗后,肺部的转移病灶显著消退劳力性呼吸困难症状也明显改善。

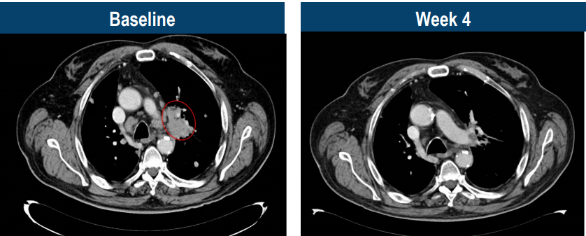
另一位幸运的晚期滑膜肉瘤患者,仅接受6周治疗,胸膜的巨大转移病灶就全部消失,达到了完全缓解(CR)。

此外,这项研究在2022年公布的数据中显示,卵巢癌、头颈癌、尿路上皮癌的疾病控制率高达100%!
比如这位幸运的患者,69岁的M先生,被确诊为4期头颈癌,接受了化疗和PD-1治疗后病情仍不断进展,肿瘤转移至肺等多部位。幸运的是,经过检测存在MAGE-A4高表达,当50亿能够精准识别癌细胞的TCR-T大军回输到M先生体内后,仅4周,肿瘤快速消退,达到部分缓解!

目前,ADP-A2M4的研究正在进行针对MAGE-A4肉瘤的II 期试验,我们也期待这款新型疗法能够早日完成临床验证,获批造福更多的患者。
攻克实体瘤的新希望--TCR-T疗法
相信看完上面的研究,很多病友会问,究竟什么是TCR-T疗法?
人体的免疫防御机制主要依靠体内的白细胞军团,作为白细胞的一种,T细胞有着不可替代的作用,它们是人体里面的特种兵,一旦发现癌细胞,T细胞首先主动出击,杀灭敌人,因此,它也被称为“杀手T细胞”。

大部分肿瘤患者体内没有足够能识别和杀伤肿瘤细胞的T细胞,对于这些患者,医生可以采用一种称为工程T细胞受体(TCR)治疗的方法。
TCR-T技术,即T细胞受体(TCR)嵌合型T细胞技术,也叫亲和力增强的TCR”技术。它的目的是让自身的杀手T细胞识别能力更强,因为原本的T细胞对肿瘤相关抗原的识别能力较弱,现在通过基因修改的方式增强识别亲和性,从而使T细胞攻击肿瘤细胞,达到治疗肿瘤的效果。
图片6
TCR-T疗法需要从患者身上获取T细胞,为T细胞配备新的T细胞受体,使其能够靶向特定的癌症抗原的疗法,这种新型的疗法可以允许医生为每个患者的肿瘤和不同类型的T细胞选择最合适的靶点进行工程改造,使治疗个体化,并为患者提供更大的缓解希望。
2022年1月25日,全球首款实体瘤TCR-T疗法--tebentafusp-tebn(Kimmtrak,Immunocore Limited)震撼上市,这是一种双特异性 gp100 肽-HLA 导向的 CD3 T 细胞接合剂,用于 HLA-A*02:01 阳性的无法切除或转移性葡萄膜黑色素瘤。这意味着T细胞疗法向实体瘤正式发起挑战,具有里程碑式的意义!
此外,TCR-T 细胞免疫疗法已在部分实体肿瘤的治疗中取得了较好的疗效,特别是对肝癌、黑素瘤、滑膜细胞肉瘤的临床数据都显示出了强大的抗癌活性。相信这一疗法未来将在各类实体肿瘤中开花结果。
好消息是,国内多项TCR-T疗法也正在进行临床实验,想寻求TCR-T细胞疗法及其他国内外治疗新技术帮助,且经济条件允许的情况下,患者可以先将病历提交至全球肿瘤医生网医学部进行初步评估。
免疫疗法将解开更多冰山中的抗癌宝藏
值得振奋的是,除了TCR-T疗法,近两年,基于T细胞的CAR-T疗法和TIL疗法也取得了前所未有的突破。
目前,三大类基于T细胞的免疫疗法已问世,唤醒体内的T细胞大军,一举歼灭肿瘤,将逐步成为现实,将给癌症病友带来更多的治疗选择,好消息是,目前这三类免疫疗法已经登陆中国正式开展临床实验,已经有大量病友通过全球肿瘤医生网医学部成功申请。
同时需要提醒病友,肿瘤的治疗一定是依托于权威医院及权威专家的正规治疗,在采取常规治疗手段(手术、放疗、化疗)治疗后,根据自身的经济情况,辅助免疫治疗技术等综合疗法,达到巩固治疗,预防复发,提高生活治疗,延长生存期的目的,最终取得抗癌成功。如果大家想全面了解自身的免疫状态或相关的免疫疗法,请致电医学部或加入免疫治疗医患交流群。
参考资料:
https://www.nature.com/articles/s41591-022-02128-z







