肺癌、乳腺癌等7大恶性肿瘤的"克星"TIL疗法来了,上市在即!
小编 2022-11-17
TIL细胞治疗,对肺癌乳腺癌等7大恶性肿瘤有效的TIL细胞疗法上市在即
99%的肿瘤患者都不知道,实际上,每个患者体内的肿瘤病灶中都深藏着一群珍贵的,杀癌能力很强的免疫细胞,它们被称为肿瘤浸润淋巴细胞(TIL)。
近两年,新型的过继细胞免疫疗法--肿瘤浸润淋巴细胞疗法(TIL)在国际各大肿瘤学会议上公布的肺癌、乳腺癌、结直肠癌、宫颈癌、胆管癌、黑色素瘤、头颈部肿瘤等实体肿瘤临床试验数据璀璨夺目,振奋人心。更值得一提的是,美国TIL疗法有望在2022年递交上市申请,加快其上市的进程,一旦FDA批准,也是有望攻克实体瘤的又一把利剑,将给无数晚期癌症患者带来全新的选择和希望。
一、肺癌:PD-1耐药后仍有完全缓解的希望?TIL疗法带来新曙光
“LN-145的治疗转移性非小细胞治疗的患者的结果令人兴奋!它代表了第一个TIL单药治疗的临床实验对转移性非小细胞肺癌有益。
--纪念斯隆凯瑟琳癌症中心Adam J. Schoenfeld博士”
肺癌是发病率和死亡率最高的癌症,尽管各类靶向药和PD-1/PD-L1抑制剂看上去相当给力,但在临床实践中,不少肺癌患者却失望地发现,这种疗法对自己无效,耐药后的治疗更是棘手。
2022年 5月 ,新型免疫疗法肿瘤浸润淋巴细胞(TIL)疗法 LN-145公布的代号为IOV-COM-202最新数据显示, 对于接受 PD-1治疗后进展的晚期或转移性非小细胞肺癌显示出良好的抗肿瘤应答!
结果显示:在队列 3B为非小细胞肺癌组,患者在LN-145 单药一次性治疗后,
总体缓解率 (ORR) 为 21.4%,其中有1位幸运的患者出现了完全缓解,靶病灶全部消失,并且患者时间长达29个月,超过了2年!另外还有5名患者部分缓解。疾病控制率 (DCR) 为 64.3%,包括两名 PD-L1 阴性肿瘤的应答者。

值得一提的是,在队列 3B 中的所有24名患者都是接受了 PD-1/L1 治疗失败的晚期患者,且所有6名有反应的患者先前还接受过化疗,这说明什么呢?从历史数据看,在化疗进展后接受抗癌“神药”PD-1的有效率也仅为20%左右,而TILs疗法对于化疗和PD-1都耐药的极晚期患者还能达到21.4%,并且还有一名患者肿瘤全部消失!意味着这种新型的免疫疗法潜力巨大,是一款有望超越PD-1的更强免疫疗法,给临床上各种治疗耐药后的患者提供了新的选择和希望!目前国内相关临床试验正在招募中,想了解详情的病友可以致电医学部。
二、乳腺癌:一半患者肿瘤缩小!美国国家癌症研究院公布最新成果
NCI 中心外科主任Steven A. Rosenberg 教授说:“激素受体阳性的乳腺癌不能引起免疫反应,也不易接受免疫治疗,这是目前的困境。新的研究结果表明,这种形式的免疫疗法可用于治疗一些已经用尽所有其他治疗方案的转移性乳腺癌患者。”
2022 年 2 月 1 日,美国国家癌症研究院公布了TIL疗法治疗晚期乳腺癌的最新数据,并发表在国际知名期刊《临床肿瘤学杂志》上。
在这项对 42 名患有转移性乳腺癌的女性进行的临床试验中,28 名(或 67%)的癌症产生了免疫反应。在适合该疗法的8名患者中,最终有6名患者接受了TILs疗法联合 pembrolizumab(≤ 4 剂)治疗,其中一半患者的肿瘤缩小达到客观缓解,包括1名完全缓解(现在持续超过 5.5 年!)和另外两名女性在 6 个月和 10 个月后肿瘤缩小分别为 52% 和 69%。
三、黑色素瘤:客观缓解率31.4%!TIL疗法有望获批
TILs疗法在黑色素瘤中的研究是最早也是最多的,并且取得的数据也是目前最好的。在刚刚过去的癌症免疫治疗学会(SITC)年会上,基于TILS细胞的创新型疗法LN-144(Lifileucel)更新了黑色素瘤的临床结果,这是目前最大的黑色素瘤的细胞疗法 2 期研究,再次引起了轰动。
153例接受过PD-1或靶向治疗进展后的极晚期黑色素瘤患者接受TILs治疗后,结果显示:
疾病控制率(DCR)高达77.8%;
客观缓解率达到31.4%。
更引人注目的是,患有PD-L1阴性的患者也有响应,这说明对免疫检查点抑制剂无效的患者仍能获益于TIL疗法。对于PD-1治疗后进展的患者,几乎没有其他治疗选择,这种治疗方案的效果几乎无与伦比。

四、宫颈癌:超50%患者病灶显著缩小甚至消失!TIL疗法首获FDA突破性治疗指定
2019 年美国临床肿瘤学会(ASCO)年会上,TIL疗法公布了宫颈癌初步数据,入组了27名标准治疗失败的晚期宫颈癌患者,平均回输280亿TILs细胞;6次白细胞介素-2。
结果显示:
客观缓解率(ORR)44%,完全缓解率(CR)11%,疾病控制率(DCR)高达85%。值得一提的是,2名幸运的患者接受治疗后病灶全部消失,达到完全缓解。FDA基于这项惊艳的数据,授予肿瘤浸润淋巴细胞(TIL)治疗方法LN-145为突破性的治疗指定。

2021 年 免疫治疗学会(SITC)年会上,TILs疗法又公布了一项全新的数据,联合PD-1抑制剂(pembrolizumab,K药)治疗的结果,更加令人鼓舞。
在14名未接受治疗的晚期宫颈癌中,接受TILs联合PD-1方案治疗,总体客观缓解率 (ORR) 高达 57.1% ,这意味着近60%的患者病灶显著缩小30%以上,还有1名幸运的患者达到完全缓解(CR),肿瘤全部消失。5 名患者疾病稳定 (SD),疾病控制率高达92%!
五、肉瘤:首次公布难治型骨肉瘤数据,已有患者完全缓解
2021,研究人员首次公布了TIL和抗PD1疗法联合治疗骨肉瘤的安全性和有效性,结果非常积极,给骨肉瘤患者带来了新的希望。
在这项研究中,有30例患者接受了nivolumab(百时美研发的一种PD-1)治疗,而其他30例接受了TILs疗法加nivolumab治疗。
结果显示:
截止到2020年6月1日。第1组的所有患者在最后一次随访评估中死亡,而第2组的30名患者中有10名存活,客观缓解率(ORR)达到33.3%,并且10例患者中有2位患者出现完全缓解,也就是说影像学检查显示病灶完全消失。
平均无进展生存期(mPFS):3.8 VS 5.4个月;
平均总生存期(mOS):6.6 VS 15.2个月,翻了一倍多!
(A)PFS曲线(B)OS曲线

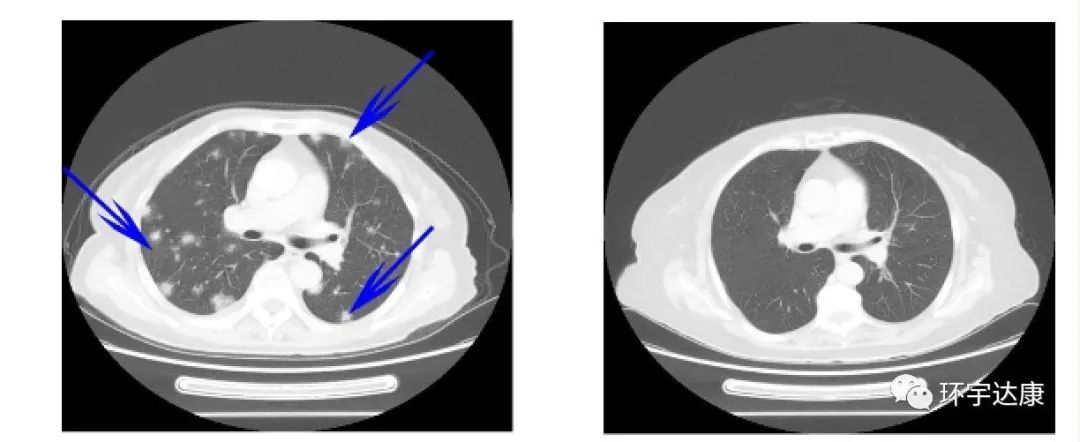
其中一位晚期骨肉瘤患者已经出现了双肺转移,TIL加抗PD1治疗后12周后双肺多个转移(蓝色箭头)完全缓解。

这些结果表明,TILs疗法联合PD-1显着提高了转移性骨肉瘤患者的治疗效果。
六、头颈癌:疾病控制率高达88.9%,TIL疗法曙光初现
接受LN-145+派姆单抗治疗的9例HNSCC患者的疗效:
–完全缓解率(CR)为11.1%
–客观缓解率(ORR)为44.4%
–疾病控制率(DCR) 为88.9%

七、卵巢癌:初步数据公布
已经在多种实体肿瘤中获批的免疫检查点抑制剂疗法在卵巢癌(OC)中一直没有成功。因此,研究人员尝试将检查点抑制剂(ICI)联合肿瘤浸润淋巴细胞(TIL)进行治疗。
6例晚期转移性高级别浆液性OC的患者接受了ipilimumab后进行手术,接受TIL疗法,再接受低剂量IL-2和nivolumab。
结果显示,一名患者获得了部分缓解,其他五名患者经历了长达12个月的疾病稳定期。初步证实免疫检查点抑制剂与TILs疗法结合是可行和安全的。
除了上面的7类癌症之外,TILs疗法在结直肠癌,胆管癌等恶性肿瘤中也显示出巨大潜力,请查看文末相关链接。已经发表的各项研究表明,TIL治疗将有待不断改进和发展,最终将成为人类抗癌的新武器。我们期待这款疗法能尽快上市造福更多的癌症患者。
TILs细胞疗法的国内最新进展有哪些
TIL细胞虽然珍贵,但却是每个肿瘤患者体内都存在的,这是我们的机体在发现体内的癌细胞后调动免疫大军中深入到肿瘤组织内部,对肿瘤有最强的识别、抵抗和攻击作用的一支“超能敢死队”。到达肿瘤内部后,通过释放细胞毒素直接杀伤肿瘤细胞。此外,TIL还能调节机体免疫功能,提高机体对肿瘤细胞的杀伤能力。
然而,肿瘤患者体内的氧气和重要的营养物质都被肿瘤剥夺,导致最有杀伤能力的TIL细胞进入衰竭状态,无法再有效的识别和攻击肿瘤细胞。
值得振奋的是,科学家已经成功从肿瘤附近组织中分离出TIL细胞,加入生长因子IL-2进行体外大量扩增,再回输到患者体内,从而扩大免疫“敢死队”的数量和攻击能力。这样一来,就意味着我们可以使用自己的免疫细胞来杀死肿瘤,这是一种更安全,更有效的新型免疫疗法,这就是大名鼎鼎的TILs细胞疗法。
需要告诉国内病友的好消息是,近两年,中国的研究人员也研发出多种新型TIL疗法。
据全球肿瘤医生网医学部了解,国内的TILs疗法是在美国的肿瘤浸润淋巴细胞(TIL)疗法基础上经过改良,提升其克服肿瘤微环境和增加自我扩增的能力,在前期的概念验证临床研究中已取得了非常积极的疗效和安全性验证,目前已获得批准正式开展人体临床试验,适合癌症种类:肺癌,, 宫颈癌,头颈部肿瘤、黑色素瘤、胆道肿瘤等实体肿瘤。想寻求TILs及其他国内外新抗癌治疗帮助,且经济条件允许的情况下,患者可以先将病历提交至全球肿瘤医生网医学部进行初步评估。
随着更多治疗方案的发展,晚期肿瘤患者将迎来更多治疗选择和希望,我们期待人类攻克癌症的那一天早日到来。







