TCR-T疗法ADP-A2M4CD8治疗实体瘤客观缓解率达52%
小编 2022-11-16
TCR-T疗法ADP-A2M4CD8治疗实体瘤客观缓解率达52%
客观缓解率达52%!实体瘤TCR-T疗法成新一代抗癌利器
2022年11月8日,研究人员公布了创新TCR-T疗法ADP-A2M4CD8治疗实体瘤的1期临床试验结果,再次证实了TCR-T疗法治疗实体瘤的优越性。
数据显示,接受单次T细胞疗法治疗后,晚期卵巢癌、尿路上皮癌和头颈癌患者的客观缓解率(ORR)提升至52%,中位缓解期延长至约20周。
本次所发布的数据显示,经过单剂ADP-A2M4CD8治疗后,晚期卵巢癌、尿路上皮癌和头颈癌患者中的ORR已上升至52%(ESMO大会上报告的ORR为44%),这些患者先前接受过抗癌治疗。此外,对于整个SURPASS试验而言,目前的ORR也从33%增加到37%,其中卵巢癌的ORR提高到43%(ESMO大会上报告的ORR为36%),尿路上皮癌的ORR提高到57%(ESMO上报告的ORR为43%)。自9月在ESMO大会的报告至今,头颈癌患者没有报告新的治疗反应,对治疗应答的患者数仍为3人(共4名头颈癌患者)。
专门采用针对MAGE-A4癌症抗原的TCR-T技术 afamitresgene autoleucel(afami-cel,以前称为ADP-A2M4),在多种实体瘤类型,包括滑膜肉瘤、头部肿瘤、宫颈癌和肺癌中均获得了缓解,并且多名患者出现持久反应,这意味着这种新型的基于TCR的新兴技术是未来攻破实体瘤的新希望。
2019年12月,ADP-A2M4被美国药品监督管理局(FDA)授予医学先进疗法称号(RMAT),用于治疗滑膜肉瘤;这款疗法在2018年也被FDA授予孤儿药称号,用于治疗软组织肉瘤。值得一提的是,基于以上积极数据,该公司预计ADP-A2M4将于2022年在美国上市。
此研究纳入了此前已经接受过多种治疗的晚期卵巢癌、尿路上皮癌、头颈癌、非小细胞肺癌、黑色素瘤、胃癌等实体瘤患者。其实今年9月份EMO大会上就已经报告过相关数据,此次再次发布的数据展现出众多实体瘤患者接受TCR-T疗法的抗肿瘤活性!
【2022年9月ESMO大会公布数据如下】
在所有的癌症类型的43名患者中,采用单剂ADP-A2M4CD8治疗的客观缓解率为33%,疾病控制率为81%。
在晚期卵巢癌、尿路上皮癌、头颈癌中,ADP-A2M4CD8的效果更为显著,总体客观缓解率达到44%;
其中卵巢癌客观缓解率为36%(5/14),疾病控制率为 86%(12/14);
尿路上皮癌客观缓解率为43%(3/7),疾病控制率为 86%(6/7);
头颈癌客观缓解率为75%(3/4)。
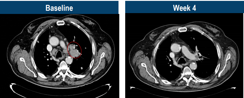
典型病例
这是一名69岁的男患者,被确诊为4期头颈癌,接受了化疗和PD-1治疗后病情仍不断进展,肿瘤转移至肺等多部位。幸运的是,经过检测存在MAGE-A4高表达,当50亿能够精准识别癌细胞的TCR-T大军回输到M先生体内后,仅4周,肿瘤快速消退,达到部分缓解!

如何寻求TCR-T疗法及其他疗法?>>
目前正有一项研发的TCR-T疗法在招募肝癌患者开展临床试验,想要参加的患者可提交病理报告、治疗经历、出院小结等资料至无癌家园医学部初步评估病情。
此外,若想咨询其他细胞疗法(CAR-T、NK、CAR-NK、CTL、TILs等疗法)的患者,同样可将病理报告及治疗经历、出院小结等资料提交至无癌家园医学部,详细评估病情。







