癌症有望被肿瘤疫苗攻克吗?YES!多款个性化新抗原疫苗实现治疗与预防复发双杀!
小编 2022-05-25
抗癌疫苗,多款个性化新抗原抗癌抗肿瘤疫苗实现癌症治疗与预防复发双杀
恶性肿瘤是目前威胁人类健康的重要疾病之一。根据世界卫生组织国际癌症研究机构(IARC)最新发布的《2020年全球最新癌症负担数据》显示:2020年全球新发癌症病例1929万例,其中中国新发癌症457万人,占全球23.7%,高居全球第一!我们身边有越来越多的人罹患癌症!
当前肿瘤的最主要治疗手段为外科手术、放疗、化疗以及靶向治疗,但这些治疗手段均具有不同的局限性,整体治疗效果欠佳,患者的长期生存率低。
肿瘤免疫治疗是近些年来研究进展非常迅速的一种新型治疗方式,是通过重新启动并维持肿瘤——免疫循环,恢复机体正常的抗肿瘤免疫反应,从而控制与清除肿瘤的一种治疗方法。目前肿瘤免疫治疗在免疫检查点抑制剂、小分子抑制剂、细胞治疗和肿瘤疫苗等方面的研究均取得了重大突破。然而免疫治疗也面临着有效率低和不良反应难以预料与控制等诸多问题。
近几年来,肿瘤新生抗原(neoantigens)成为了肿瘤免疫治疗的一个新的研究方向,目前的研究结果显示,新生抗原在免疫检查点抑制剂疗法、过继性T细胞治疗、治疗性肿瘤疫苗的开发应用等方面具有特殊价值,它为精准治疗恶性肿瘤带来了新的希望。
NEO-PV-01疫苗"一箭三雕"连破肺癌、膀胱癌、黑色素瘤,显著延长生存期
Neon公司开发的NEO-PV-01是一种“量身定制”的个体化新抗原疫苗。在早期临床试验中延长了黑色素瘤、非小细胞肺癌(NSCLC)和膀胱癌患者的无进展生存期。这一结果,揭示了癌症疫苗这一创新免疫治疗模式的潜力。
该研究发表在2020年的《Cell》杂志上,研究展示了首个开发标签的肿瘤个性化新抗原疫苗NEO-PV-01与PD-1抗体联用治疗晚期黑色素瘤、非小细胞肺癌或膀胱癌患者的 Ib 期临床试验结果。
这项试验针对不可切除或转移性黑色素瘤、吸烟相关的非小细胞肺癌和膀胱尿路上皮癌患者开放,并在美国 9 个主要的癌症中心招募受试者。
据了解,NEO-PV-01疫苗是根据每个患者独特的肿瘤基因突变点个性化定制的。其原理是,将NEO-PV-01输注到人体后,可以激活人体内的T细胞,产生抗肿瘤免疫反应,从而杀伤肿瘤细胞。
在疫苗生产期间,患者先接受 nivolumab 治疗12周;12 周以后,患者开始皮下注射 NEO-PV-01。在三个月内进行 5 次初次免疫和 2 次加强免疫接种,这构成了一个完整的 NEO-PV-01 治疗周期。
临床数据显示
9个临床中心共招募82例至少接受过一剂nivolumab 治疗的受试者,其中60例患者接受疫苗治疗,包括27例黑色素瘤,18例非小细胞肺癌,15 例膀胱癌。
截止到2019年8月,根据至少随访12个月的数据,研究人员分析到:
1)客观缓解率:
黑色素瘤:59%(39%~78%);
非小细胞肺癌:39%(17%~64%);
膀胱癌:27%(8%~55%)
2)中位无进展生存期:
黑色素瘤:23.5个月;
非小细胞肺癌:8.5个月;
膀胱癌:5.8个月
3)1年内的总生存率:
黑色素瘤:96%(76%~99%);
非小细胞肺癌:96%(76%~99%);
膀胱癌:67%(38%~85%)
历史数据表明,nivolumab单药治疗,在黑色素瘤患者中达到的PFS为3~7个月,非小细胞肺癌患者为2~4个月,膀胱癌患者为2~3个月。试验结果表明,与nivolumab单药治疗的历史数据相比,组合疗法在这三种癌症患者中均显著延长了生存期。
目前这款癌症疫苗还处于临床试验阶段。此外,还有一些国家的树突细胞疫苗已经正式进入临床应用,一些早期肿瘤患者可以在手术后考虑使用疫苗联合放化疗辅助治疗,起到杀伤残余癌细胞,产生免疫记忆、预防癌症复发和转移。
新款癌症疫苗PGV-001势头强劲,4名患者无癌生存925天
与传统的癌症疫苗不同,个性化的癌症疫苗(PGV-001)是一款专门用于标准治疗后的辅助性治疗疫苗,有助于清除体内残存的癌细胞,延长患者的生存期。
为了探究癌症疫苗的安全性,在2021年AACR年会期间提交的试验中,13名患者接受了PGV-001;其中包括10名实体瘤(6名头颈癌患者,2名非小细胞肺癌患者、1名尿路上皮癌患者、1名乳腺癌患者)和3名多发性骨髓瘤患者。
令人惊喜的是,在实际治疗中,患者接受癌症疫苗的整体耐受性良好,在平均随访925天后,4名患者仍然无癌生存,同也有4名患者在继续接治疗。仅有1/3的患者出现轻微的注射部位反应,整体治疗效果十分不错!
经过6次注射,癌细胞基本消失,注射10次后,看到强大的抗癌反应
参加这次临床试验的马克·鲍姆(Marc Baum)是2018年3月在尿检中检查出血尿后被诊断患有膀胱癌,他几乎采用了所有常规步骤来治疗他的膀胱癌,包括三个月的两次外科手术、放射疗法和化学疗法。
但医生希望可以采取进一步的措施来预防癌症的复发——注射治疗性癌症疫苗。
根据美国癌症研究协会(AACR)年会上刚刚报告的结果,一种精确靶向癌症的疫苗在早期临床试验中被证明是安全可行的。
Baum和其他12位患者在六个月的过程中接受了10项定制设计的疫苗接种。
57岁的他说:“治疗相当顺利,重要的是它没有严重的副作用,不会对人体有什么伤害。”
纽约市西奈山伊坎医学院的首席研究员托马斯·马伦(Marron)博士说,实验室测试表明,注射疫苗确实能促进免疫系统反应,随着时间的推移,可以看到T细胞(即免疫系统的白细胞)的数量随着时间的推移而缓慢增加,但还需要更大的后续试验来判断接种疫苗对杀死体内的癌细胞有多有效。
此次计划进行10次注射,治疗结果令人惊喜!经过6次注射,基本上已经看不到任何癌细胞,经过10次注射后,才能看到免疫系统产生真正强大的抗癌反应。

平均生存期超4年!晚期患者接种NeoVax个性化疫苗至今无复发
2021年1月21日,国际顶级癌症期刊《Nature medicine》发布的一项研究显示,8例晚期黑色素瘤、手术后有高复发风险的患者,在接受个性化的癌症疫苗治疗后,由疫苗引发的控制肿瘤生长的免疫反应已经持续超4年(56个月),8例患者的病情目前均无进展。

这是来自美国丹娜-法伯癌症研究所、布莱根妇女医院和布罗德研究所的I期临床研究结果,研究中纳入的8例晚期黑色素瘤患者均在手术治疗18周后,开始接受NeoVax个性化疫苗治疗。
研究人员发现,在接受NeoVax治疗(中位时间4年)后,8例患者都还活着。其中6例没有肿瘤进展的迹象。研究人员还分析了这些患者的T细胞,发现这些T细胞不仅“记住”了最初的目标表位,而且还扩展到识别其他与黑色素瘤相关的表位,起到了更强、更持久的抗癌效果。
另外2名患者,由于癌细胞已经扩散到肺部,在接种疫苗后肿瘤复发。随后,他们开始接受药物Keytruda(帕博丽珠单抗,商品名可瑞达)治疗,研究人员后来检测到T细胞已经侵入他俩的肿瘤组织,黑色素瘤细胞遭到了T细胞的致命攻击,病灶完全消失了,而且没有任何复发迹象。

研究中的第2例患者,接受疫苗治疗8周后PET / CT扫描显示右肺门淋巴结肿大,疫苗治疗12周后再次扫描显示右肺门淋巴结病灶完全消退。

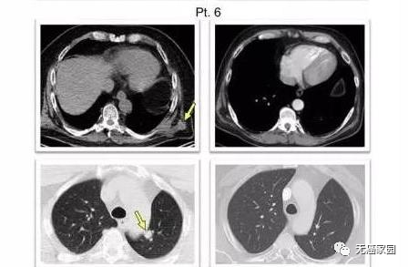
研究中的第6例患者,在疫苗治疗1周CT扫描显示左侧外侧和后侧胸壁有多个软组织结节(黄色箭头所指),接受疫苗治疗16.5周CT扫描显示:所有病灶的完全间隔消退。
值得一提的是,与其他的癌症疫苗相比,新抗原NeoVax是针对每个患者个性化定制的,使用由患者癌症独特的突变产生的抗原,并且抗原仅存在癌细胞上,从而绕过了自然免疫耐受过程,产生了有效的抗肿瘤免疫反应。
目前,NeoVax治疗脑瘤、肾癌、黑色素瘤的临床试验正在积极开展中。其中一项Ⅰb期的试验数据显示,NeoVax治疗脑胶质瘤中恶性程度最高的胶质母细胞瘤,中位无进展生存期PFS达到16.8个月。期待这些临床试验能带来积极的结果,并早日造福人类。
肿瘤新抗原是什么?肿瘤免疫治疗的新突破
刚才我们前面提到的PGV-001、NeoVax、NEO-PV-01都是个性化新抗原疫苗。无癌家园小编这里就要科普一个爆款的免疫治疗新概念:Neoantigen(新抗原)。众所周知,癌细胞是从正常细胞癌变而来,本来就属于人体内的一份子,只是经不起“糖衣炮弹”的诱惑,腐化堕落了,会潜伏在人体内“伪装”成正常细胞,千方百计误导防御机制,如果成功躲过防御机制的追击,癌细胞就会在正常组织上扎根,经过漫长的发展时间后,最终形成癌症。
然而正常细胞要癌变,必须要积累足够多的致癌突变,由这些致癌突变制造产生的癌蛋白,为癌细胞所特有,而并不存在于正常细胞上。而肿瘤新抗原是由癌细胞基因突变产生的特异性抗原,在正常细胞中不表达,可激活CD4+T和CD8+T细胞产生免疫反应,抑制肿瘤生长;其免疫原性高、抗肿瘤免疫持续时间长、不易耐受;其靶点是肿瘤特异性抗原(tumor specific antigen,TSA),只杀伤癌细胞,是一种个体化精准细胞免疫治疗。

图源《肿瘤新生抗原疫苗研究新进展》
设计肿瘤疫苗最关键的步骤是要找到正确的抗原。肿瘤抗原在传统上分为肿瘤相关抗原 (TAA) 和肿瘤特异性抗原 (TSA) 。肿瘤相关抗原是一类同时表达在肿瘤细胞和正常细胞表面的抗原。由于生长的需要,肿瘤细胞可能会在其表面过度表达某些抗原,这种表达水平的差异就会给患者一定的“治疗空间”。因此通过识别并攻击这类抗原也可以达到“多杀敌,少伤己”的效果。
而肿瘤特异性抗原顾名思义是正常细胞不存在的,肿瘤细胞特有的一些抗原,通过免疫应答可以精准地杀伤肿瘤微环境中的癌细胞而不会产生误伤正常细胞的副作用。因此,这类抗原应该是肿瘤免疫治疗最理想的靶点。
癌症疫苗是一种主动免疫疗法,是肿瘤免疫疗法领域的重要组成部分,通过刺激或恢复人体自身的免疫系统,来防止癌症发展或杀灭现有的肿瘤 。癌症疫苗主要包括细胞疫苗、DNA 疫苗、mRNA疫苗、多肽疫苗、树突状细胞疫苗、纳米疫苗等。
除了HPV疫苗是知名的预防性癌症疫苗外,Provenge(sipuleucel-T)是FDA批准的唯一一种由患者自身免疫细胞制成的前列腺癌免疫疗法,自此开创了肿瘤免疫治疗的新时代。
新抗原疫苗最大优势:根据患者肿瘤组织突变抗原"量身定制"
个体化新抗原疫苗以基因测序为基础,针对每位患者不同突变位点的、包含多个位点的、个体化的“高级定制”疫苗。
与传统疫苗相比,个体化新抗原疫苗最大的优势是,传统疫苗受HLA(人类白细胞抗原)和抗原表达的双重限制,适用疫苗的患者受限;而个体化新抗原疫苗是针对每位患者肿瘤组织突变抗原“量身定制”的疫苗,即使仍受患者HLA限制性的一定影响,但能保证每位患者有其特定疫苗,最大限度纳入肿瘤患者。其能够激发自体免疫系统对肿瘤细胞进行攻击,能够让更多的患者通过个体化的治疗长期获益。
若想咨询肿瘤新抗原疫苗的最新进展了解治疗事宜,癌友们可将病理报告及治疗经历、出院小结等资料提交至无癌家园医学部,详细评估病情。
新生抗原癌症疫苗制备的4个基本步骤是获取肿瘤组织和正常细胞、推定新肿瘤抗原、确定新表位和制备疫苗。随着新生抗原筛选技术的日趋成熟,已经有多种新生抗原疫苗进入了临床试验阶段,在已经开展的个体化新生抗原疫苗临床试验中,涉及实体肿瘤的超过40种,包括黑色素瘤、脑胶质瘤、肺癌、膀胱癌、胰腺癌、肝癌、卵巢癌等。
代表性癌症疫苗研究进展
非小细胞肺癌——DCVAC/LuCa疫苗
DCVAC/LuCa是由美国研发的针对非小细胞肺癌患者的树突状细胞疫苗。在2019年ASCO大会上公布的一项冲击晚期肺癌一线治疗方案的研究中,DCVAC/LuCa疫苗联合化疗组客观缓解率为45%,中位总生存期为15.5个月,中位无进展生存期为6.74个月,死亡风险降低46%!
在2022年最新的新型树突细胞疫苗DCVAC/LuCa(肺癌树突状细胞疫苗)联合标准卡铂/培美曲塞治疗晚期非鳞状细胞 (nsq) 非小细胞肺癌的II期临床研究中,患者1年生存率为72.73%,2 年生存率为 52.57%。截止数据发表时,还未达到中位总生存期。中位无进展生存期为8.0个月,客观缓解率为31.82%。
前列腺癌——Provenge疫苗
Provenge是首个在美国被批准用于治疗的疫苗,开创了癌症免疫治疗的新时代。这是一种自体细胞免疫疗法,于2010年4月29日获得美国FDA批准,用于治疗无症状或症状轻微的mCRPC,这项批复标志着20年的不懈努力终于取得成功。在美国,Provenge是FDA批准的唯一一种由患者自身免疫细胞制成的前列腺癌免疫疗法。
卵巢癌——DCVAC/OvCa疫苗
在2019年第50届妇科肿瘤学会(SGO)年会上,一项二期临床试验SOV02最终结果公布:对复发、铂敏感、上皮卵巢癌患者使用基于树突状细胞的免疫疗法DCVAC/OvCa添加到标准卡铂和吉西他滨方案,可以使晚期复发的卵巢癌患者总生存期(OS)延长一年多。而且DCVAC/OvCa将卵巢癌二线治疗的死亡风险降低了62%。总生存期(OS)显着增加13.4个月。中位数无进展生存率(mPFS)增加了1.8个月。即将开展全球III期研究。
黑色素瘤——TLPLDC疫苗
在2020年ASCO-SITC临床免疫肿瘤学会议上公布了TLPLDC疫苗治疗黑色素瘤IIb期临床试验的亚组分析结果。
在遵循临床研究方案(PT)人群分析中,与安慰机组相比,TLPLDC治疗组24个月无病生存率显著提高(62.9% vs 34.8%),表明疾病复发的相对风险降低了近50%。
在意向性治疗(ITT)人群分析中,TLPLDC治疗组和安慰剂组在24个月无病生存方面无显著性改善(38.5% vs 27%),但在该分析中,24个月总生存率(OS)的改善趋势更强(86.4% vs 75.1%)。
肾癌——ilixadencel疫苗
ilixadencel(伊利沙定)是一款同种异体树突状细胞(DC)疫苗。研究显示,ilixadencel联合靶向抗癌药舒尼替尼(索坦,通用名:sunitinib)一线治疗新诊断的晚期转移性肾细胞癌(mRCC)患者,与单独采用舒尼替尼治疗的患者相比,总缓解率提高一倍,完全缓解率更高,缓解更加持久!
胶质母细胞瘤——AV-GBM-1疫苗
2021年6月8日,国外知名生物医学公司宣布其个性化癌症疫苗AV-GBM-1的II期临床试验数据公布,研究显示此款新型疫苗对延长新诊断的胶质母细胞瘤患者的中期总体生存期展现出极大的潜力。
患者中位无进展生存期为10.4个月,与具有里程碑意义的STUPP研究中的中位无进展生存期6.9个月相比,提高了约50%,为新诊断的胶质母细胞瘤患者建立了护理标准。
非小细胞肺癌——Tedopi疫苗
2020年4月1日,新型抗癌疫苗Tedopi在非小细胞肺癌的Ⅲ期临床试验取得了阳性结果,入组的所有患者在免疫检查点抑制剂(PD-1)耐药或失败后,二线或三线使用Tedopi疫苗,一年的总生存率达到46%,远超预设的25%!
1名54岁的晚期肺癌患者在经过5次的新型肺癌疫苗注射后,肿瘤就迅速萎缩(从39mm降至23mm),截止报道时,生存期已经超过20.6个月,目前仍在随访中。
小编有话说
目前,以新抗原为基础的肿瘤疫苗临床试验正在如火如荼地开展,在不同肿瘤类型中取得疗效突破的好消息也不断传来。个性化新抗原肿瘤疫苗已经在延长晚期实体瘤患者生存期方面展现了不错的实力。
随着肿瘤和免疫相互作用机制的深入理解,肿瘤新抗原疫苗将开启精准治疗的新时代。尽管个性化新抗原肿瘤疫苗的研发和应用还存在诸多的挑战,但是随着对新抗原预测研究的持续深入和验证数据库不断积累,以及树突状细胞疫苗、mRNA疫苗等不同路径的尝试已经在临床上得到积极验证,新抗原肿瘤疫苗的研发脚步正在不断加快,预计未来几年将迎来飞速发展,给广大肿瘤患者带来福音。
参考文献
https://www.cell.com/cell/fulltext/S0092-8674(20)31141-7?_returnURL=https%3A%2F%2Flinkinghub.elsevier.com%2Fretrieve%2Fpii%2FS0092867420311417%3Fshowall%3Dtrue#figs2







