真的有效!人体免疫的广谱杀手NK细胞回输竟能治疗晚期癌症,疗效势不可挡!
小编 2022-05-24
NK细胞疗法治疗晚期癌症肿瘤,疗效势不可挡
肺癌是全球发病率最高及死亡率最高的恶性肿瘤,发病率和死亡率分别占全部肿瘤的11.6%和18.4%。其中非小细胞肺癌(NSCLC)患者约占85%,晚期患者既往5年生存率约为5%。
铂类化学疗法一直是晚期非小细胞肺癌的标准一线治疗方案。但是,化学疗法的毒性和副作用会影响患者的身体健康和生活质量,而且治疗效果有限,在过去十年内没有很大的发展。尽管非小细胞肺癌的治疗随着相应突变患者靶向药物的发展而有所改善,但只有一小部分肿瘤存在这些突变,大多数肿瘤对靶向治疗会产生耐药性。
近两年,免疫检查点抑制剂无疑是最成功的肿瘤免疫疗法之一,已经改变了肺癌的治疗前景。在化疗时代,晚期肺癌患者五年生存率极低,仅5%左右。而已有数据显示,部分类型的肺癌患者采用免疫治疗,其五年生存率可高达31.9%,足足提高了6倍!这无疑给更多的患者带来了“免死金牌”。
但不尽人意的是,PD-1仅对20%~30%的患者起效,并且产生的中度至严重副作用高达30%,如何让更多的患者能够获益于免疫治疗,如何进一步提升免疫治疗的有效率是肿瘤学家们现在和未来积极探索的方向。
近两年来,除了CAR-T疗法备受万众瞩目外,基于自然杀伤(NK)细胞的免疫疗法已成为治疗实体瘤和血液系统恶性肿瘤的一种有前途的治疗方法。研究人员说,NK细胞作为一种细胞抗癌疗法更具潜力,它可能会更安全、更便宜、更快速。
人体内冲锋陷阵斗士——NK细胞
NK细胞是人体第三类淋巴细胞,又被誉为天然免疫的核心细胞,约占淋巴细胞循环数的5%~15%,是对抗癌细胞的天生战士。其表面缺少T细胞和B细胞的特异性标志如TCR和Smlg,曾称为裸细胞。
与其他抗癌免疫细胞相比,如细胞毒性T细胞或树突状细胞,NK细胞杀灭肿瘤和病毒感染细胞的作用更强、更有效。它的激活不需要抗原递呈过程,不用别人通风报信,就可以直接、快速将外来异物(病毒、细菌、感染细胞、癌细胞、衰老细胞等)就地正法。NK细胞游弋在全身血管行使免疫监视功能,它能在第一时间发现并启动免疫防御功能,迅速杀死病变、癌变的细胞,因此被医学界公认为抗癌第一道防线。
如果将人体当成一场“战疫”的缩影,那么当面对病毒或癌细胞攻击时,我们的社会也会启动“免疫反应”,成千上万的医务工作者奔赴疫情严重地区。若要用人体的一种免疫细胞来形容医务工作者的话,很容易会联想到人体内先天性免疫系统的自然杀伤细胞(NK)细胞。

自然杀伤细胞(黄色)攻击癌细胞(来源:科学之眼)
NK细胞疗法治疗EGFR突变阳性的肺腺癌,效果更佳
一项于2019年12月发表于《Precision Clinical Medicine》杂志的研究,主要探讨自然杀伤(NK)细胞免疫疗法对有或无EGFR突变的非小细胞肺癌的有效性,以评估缓解率(RR)和无进展生存期(PFS)。

NK细胞治疗组的血清CEA和CA125值低于非NK治疗组(P<0.05)。结果表明,NK细胞治疗组的缓解率(RR)为75%,明显高于非NK治疗组的16.7%(P<0.01)。
通过评估免疫功能、肿瘤生物标志物、CTC、KPS和PFS的变化,此研究证明NK细胞治疗对EGFR突变阳性的肺腺癌具有更好的临床治疗效果。
客观缓解率翻倍,NK细胞疗法助力PD-1如虎添翼
由广东省蛋白质组学重点实验室姜勇教授团队开展的这项最新研究,惊讶地发现,PD-1抑制剂在临床治疗中对非小细胞肺癌具有活性,并且发现除了T细胞外,NK细胞不仅同样能够表达PD-L1蛋白,而且还具有延长晚期非小细胞肺癌患者生存期的潜力。
109名PD-L1阳性的晚期非小细胞肺癌患者随机分成两组,一组55名患者接受NK细胞回输联合Keytruda(派姆单抗,K药)治疗,54名患者单独的K药治疗,参加这项随机试验的大多数患者是现吸烟者或既往有吸烟史者,患有非鳞状组织学肿瘤,并且以前接受过一线系统治疗。
结果显示
接受过多次NK细胞回输配合K药治疗的患者,中位总生存期为18.5个月;
只接受过1次NK细胞回输配合K药的患者,中位总生存期为13.5个月;
只接受K药单药治疗的患者,中位总生存时间为13.3个月。
有效率方面,接受过NK细胞回输的患者,有效率为36.4%;单药K药的患者,有效率为18.5%。而控制率方面,两组相差不大。

在这项研究中,具有激活状态和细胞毒性状态的人类高活性NK(HANK)细胞来自适当的同种异体供体。输注扩增NK细胞后,患者的NK细胞数量显著增加,但仅用派姆单抗治疗的患者对血液中的NK细胞数量未显示任何显著影响,这表明患者中的NK细胞的增加是由供体来源的NK细胞引起的。而研究者们发现,将派姆单抗与同种异体NK细胞疗法联合使用可显著增强免疫功能,特别是细胞免疫。

此外,公认的循环肿瘤细胞(CTC)减少能够反映NK细胞通过靶向血液中的CTC来防止转移并减轻残余肿瘤负荷。此研究是目前所知的第一个研究派姆单抗和NK细胞输注联合使用的安全性和有效性试验,派姆单抗联合NK细胞在先前接受过治疗的PD-L1+晚期非小细胞肺癌患者中提高了生存率。
该研究结果表明,将抗PD-1或抗PD-L1抗体与NK细胞联合使用可增强抗肿瘤作用,并为先前接受过PD-L1+晚期治疗的非小细胞肺癌患者提供潜在的治疗策略。
经过几十年的临床研究,世界上已经实现了既增强NK细胞活性,又成功增加NK细胞的数量,完成了NK细胞回输体内对抗癌细胞必备的两项基本要求。目前,无论是中国、日本还是美国,NK细胞培养技术都已经非常成熟。国内患者想要接受NK细胞疗法可以咨询无癌家园医学部,提交病理报告、治疗经历、出院小结等资料初步评估病情。
针对一线治疗失败的非小细胞肺癌,NK联合PD-1生存期翻倍
2021年11月15日,NKGen Biotech公司宣布,自体自然杀伤(NK)细胞疗法SNK01,与PD-1抑制剂帕博利珠单抗(pembrolizumab)联用,治疗非小细胞肺癌(NSCLC)的1/2a期临床试验获得积极数据。
试验结果显示,与帕博利珠单抗单药相比,组合疗法治疗的患者无进展生存期(PFS)显著延长。

NKGen的创新NK细胞免疫疗法使用从患者血液中提取的高纯度NK细胞,扩增并激活后回输患者体内。目的是改善免疫系统功能,消除受感染或异常细胞,防止疾病复发(图源NKGen公司官网)
此次入组的18例晚期非小细胞肺癌患者均在既往一线铂类药物治疗中失败。试验数据表明,SNK01联合治疗组患者的中位无进展生存期(PFS)为6.2个月,明显优于帕博利珠单抗组的1.6个月;此结果证明组合疗法增强了患者临床治疗的抗肿瘤活性。
此外,治疗结果观察到剂量效应,4x109个细胞剂量SNK01/帕博利珠单抗联合治疗组的PFS为9.4个月,而帕博利珠单抗组为1.6个月。
关于客观缓解率,之前在2020年ASCO大会上曾报道过,联合治疗组的总体缓解率(ORR)为44%,与Keytruda单独治疗的0%相比,明显更高;并且接受最高剂量的NK细胞治疗的患者的ORR可以达到50%。
给NK细胞装上"弹头",CAR-NK杀伤力倍增
目前用于肿瘤免疫治疗的NK细胞策略有:体外活化的自体或异体NK细胞治疗;联合NK细胞和单抗药(如免疫检查点抑制剂)来诱导抗体特异的细胞毒性;构建CAR-NK细胞免疫疗法。而CAR-T细胞疗法取得的成功激发了人们对用CAR基因修饰NK细胞来增强其杀肿瘤能力的热情。
CAR-NK就是利用基因工程给NK细胞加入一个能识别肿瘤细胞,并且同时激活NK细胞杀死肿瘤细胞的嵌合抗体。嵌合抗原受体能显著提高NK细胞疗效特异性。这个思路和CAR-T的构建类似:CAR包括胞外的识别结构域(如scFv)识别肿瘤特异性抗原;一个跨膜结构域,和一个胞内信号结构域(CD3ζ 链)可以诱导NK细胞的活化。

图为构建CAR-NK细胞免疫疗法的过程
CAR-NK细胞比CAR-T细胞具有多个优势
01、与CAR-T细胞不同,CAR-NK细胞保留了通过其天然受体识别和靶向肿瘤细胞的内在能力,从而通过CAR-NK靶向治疗时,肿瘤细胞能够逃脱杀伤的可能性降低。
02、CAR-NK细胞在数天至数周内不会发生免疫排斥反应。因此,它们在许多CAR-T临床试验中均未表现出相同的安全问题,例如没有细胞因子释放综合征的困扰。
03、NK细胞不需要严格的HLA匹配,并且没有引起移植物抗宿主病的潜力,这却是CAR-T细胞免疫疗法一种重要的风险。
想寻求CAR-NK细胞疗法及其他国内外治疗新技术帮助,且经济条件允许的情况下,患者可以先将病历提交至无癌家园医学部进行初步评估。
初露锋芒!晚期非小细胞肺癌患者采用改良CAR-NK治疗后,肿瘤显著缩小
一项于2022年5月3日发表于《Cell Transplantation》上的研究中,报道了采用改良后的CAR-NK疗法治疗晚期非小细胞肺癌患者的病例分析。
国内研究者们首先在体外验证了CCCR-NK92细胞对肺癌细胞系的杀伤作用,最后,在人肺癌NOG小鼠皮下异种移植模型中进行了动物实验,用 CCCR-NK92 细胞处理的小鼠的肿瘤体积明显小于对照组,在实验小鼠中未观察到明显的毒副作用。
此后,他们设计了一项II期临床试验来评估CCCR-NK92 细胞疗法的疗效和安全性。
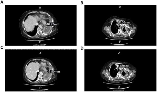
2017年2月2日,69岁的女性患者被确诊为非小细胞肺癌,影像结果显示颅内转移,而基因检测显示 Exon-19 19-del 突变和 T790 突变,以及肺组织中 PD-L1 表达≥1%。她第一次服用吉非替尼 3 个月。然而,由于疾病进展,她改用奥希替尼 10 个月。之后,她因颅内转移于 2018 年 7 月 13 日接受了头部放疗。3个月后给予靶向治疗药物和局部放疗,然后于2018年9月27日进行评估。她因害怕副作用拒绝化疗。考虑到她的条件合适,她参加了包含用于 NSCLC 的 CCCR-NK92 细胞的临床试验。
经3周期的治疗后,CT图像显示细胞疗法在治疗肿瘤方面具有一定的疗效。具体来说,左肺包裹的胸腔内液体从46.22mm减少到 33.59mm(图 2A ~2C),而前气管-后腔静脉间质区域的淋巴结从11.3mm减少到8.55mm(图2B~2D)。

大放异彩,CAR-NK疗法在实体瘤中的成就不容小觑
1、创新CAR-NK疗法FT536获FDA批准用于临床试验
2022年1月10日,Fate Therapeutics公司宣布,美国FDA已批准FT536的新药临床研究(IND)申请。FT536是一款经过多重工程修饰、诱导多能干细胞(iPSC)衍生的“即用型”嵌合抗原受体(CAR)自然杀伤(NK)细胞疗法。

FT536表达一种特异性靶向I类主要组织相容性复合体(MHC)相关蛋白A和B(MICA/MICB)α3结构域的新型CAR。
MICA和MICB属于应激蛋白,在许多实体瘤上高水平表达。癌细胞经常通过MICA/B的α1和α2结构域的蛋白水解脱落来逃逸免疫细胞识别。此前有研究发现,靶向MICA/B的α3结构域的抗体能够特异性地阻止MICA/B脱落,恢复NK细胞介导的免疫力。
此次FT536获批临床应用,表明MICA和MICB正在成为广泛的实体瘤中令人兴奋的癌症免疫疗法靶标,而FT536也代表了一种靶向这些应激诱导配体的新型治疗策略。关于此款疗法的多中心I期临床试验开展的肿瘤类型包括:晚期非小细胞肺癌、结直肠癌、头颈癌、胃癌、乳腺癌、卵巢癌和胰腺癌。
2、"现货型"CAR-NK疗法向"癌王"胰腺癌发起进攻
2022年1月6日,在国际胃肠病领域权威杂志《Gastroenterology》刊登了希望之城国家医学中心和细胞疗法创新公司CytoImmune Therapeutics合作开发的重磅研究,研究结果显示,以前列腺干细胞抗原(PSCA)为靶点的“现成”的CAR-NK疗法能够显著抑制胰腺癌。

近年来,随着医学临床研究的深入,人们发现大约60%~80%的胰腺癌表达前列腺干细胞抗原(PSCA),除了胰腺癌,胃癌和前列腺癌等实体肿瘤同样高表达前列腺干细胞抗原(PSCA)。
为了寻找更有效和创新的实体瘤治疗方法,CytoImmune与City of Hope合作开发了一种针对PSCA的嵌合抗原受体(CAR),用于转导到人类自然杀伤 (NK)细胞中。研究团队选择了构建PSCA-CAR,此外还敲入了分泌性IL-15,维持NK细胞的存活。

CYTO NK-203试验流程这款被称为CYTO NK-203的治疗方法,是一种现成的同种异体 CAR-NK 细胞疗法,源自脐带血,并具有提高 NK 细胞安全性和杀伤功效的一种潜在的疗法。
CYTO NK-203在人类转移性胰腺癌小鼠模型中效果显著,在小鼠体内持续存活超过90天,显著延长其寿命,且未显示出治疗相关毒性,这项临床前研究支持该疗法在今年进入人体临床试验。
研究团队认为这种CAR-NK疗法对胰腺癌治疗充满希望,原因有两个:首先,该疗法基于精准医学方法,靶向胰腺癌患者的特殊靶点——PSCA;这是一种免疫疗法,使用工程化的人类自然杀伤细胞,被改造为专门攻击癌细胞。
此外,由于前列腺干细胞抗原(PSCA)在胃癌、前列腺癌中也同样高表达,因为这款CAR-NK细胞疗法同样对胃癌和前列腺癌的治疗充满希望。
3、国内首个"现货型"CAR-NK临床试验获药监局批准
2021年11月11日,国家药监局药品审评中心通过了一款我国自主研发的针对“晚期上皮性卵巢癌治疗的靶向间皮素(Mesothelin,MSLN)嵌合抗原受体NK细胞(CAR-NK)注射液”(简称:CAR-NK注射液)的临床试验申请。
据无癌家园获悉,此款产品是国内首例“现货型”异体来源的CAR-NK产品。这也标志着我国的免疫细胞药物治疗实体瘤的研究迈入了新的里程碑!

卵巢癌为妇科第二大肿瘤,有70%的卵巢癌患者被诊断时已是晚期。在过去的10年间,我国卵巢癌发病年龄越来越年轻,发病率增长30%,死亡率增加18%。其在妇科恶性肿瘤中5年生存率最低,仅为39%,5年复发率最高,达到70%。
尽管卵巢癌肿瘤细胞减灭术及以铂类为基础的术后化疗延长了患者生存期,但约60%患者接受一线化疗方案后会复发。目前除了PARP抑制剂能够满足30%~40%有基因突变的患者外,目前临床上没有更好的药物及疗法来满足临床需求。
此款CAR-NK疗法的研发有利于提高卵巢癌的治疗效果和改善患者生活质量。而且“现货型”的产品可进行标准化批量生产,从而扩大治疗机会,减少治疗成本,临床普及性较高。
4、1年生存率翻一倍,CAR-NK疗法在实体瘤中疗效暴增
近期,《临床肿瘤研究》杂志发布了一项针对肺癌的2期临床试验。热休克蛋白70(Hsp70)在70%左右的中晚期肺癌中高表达,NK细胞在体外先用Hsp70激活,相当于在体外先让NK细胞与未来的敌人先遭遇、先“结仇”,然后回输给病人,让NK细胞在体内正式与癌细胞殊死搏斗——这样一种在体外先用抗原肽刺激、赋予NK细胞一定特异性的作法,是近年来研究的热点。
这项临床试验一共入组了16例III期非小细胞肺癌患者,一组接受传统的放化疗综合治疗,一组接受放化疗联合Hsp70预激的NK细胞回输治疗。
结果显示:Hsp70预激的NK细胞回输治疗,配合传统的放化疗,可以将1年的生存率从33%翻倍到67%,初步结果振奋人心。
接下来,小编展示联合疗法中一个典型的成功案例,如图所示:治疗1~2个月后复查,肺部肿瘤完全消失,并且疗效已经保持了18个月。

5、采用靶向NKG2D的CAR-NK细胞治疗结直肠癌,安全且可行
在2020年一篇广州医科大学的硕士学位论文中,我国研究学者采用靶向NKG2D的CAR-NK细胞治疗结直肠癌患者,其初步疗效值得肯定,且具有安全性。
本研究中,采用局部输注 NKG2Dp CAR-NK的方式治疗了3 例转移性结直肠癌患者。前两例患者腹腔输注低剂量 CAR-NK 细胞后,可观察看腹水生成量减慢以及腹水样本中肿瘤细胞的数量急剧减少。第三例肝转移瘤患者采用超声引导下瘤内经皮注射和腹腔内灌注方式输注 CAR-NK细胞后,多普勒超声可见肝部肿瘤快速缩小,正电子发射断层扫描(PET-CT)提示经治疗的肝病灶为完全代谢反应。3 例患者在治疗过程中均无出现3级或以上的不良事件。

第3例患者多普勒超声成像显示局部注射 CAR-NK 细胞降低肝转移病灶肿瘤负荷

CAR-NK 细胞治疗后肝转移病灶 PEC-CT 结果对比图
(患者肝Ⅵ段的最大氟脱氧葡萄糖(FDG)摄取值从 8.2 降至 0.14,经评估为完全代谢缓解)
本项研究结果初步显示 NKG2D mRNA CAR-NK细胞局部输注治疗转移性结直肠癌患者具有安全性和可行性,为肿瘤免疫治疗提供了一种新的策略。
除了上述提到的国内外临床研究外,CAR-NK细胞还对胶质母细胞瘤和神经母细胞瘤、肝癌等的疗效颇佳,特异性识别和高效杀伤乳腺癌肿瘤细胞,对多发性骨髓瘤疗效显著。
NK细胞治疗前景广阔,未来可期
CAR-NK细胞疗法是一个很有前途的临床研究领域,对某些癌症患者具有良好的安全性和初步疗效。与CAR-T细胞相比,CAR-NK细胞具有自己独特的优点,但仍面临着一些挑战。这些挑战包括细胞增殖的改善,使细胞毒性的激活更有效,以及最终找到NK细胞的最佳重建方法。相信解决好这些问题,基于NK细胞优秀的抗肿瘤血统,极有可能在CAR修饰的武装下为肿瘤治疗带来新的突破。
鉴于CAR-T的成功、CAR-NK的快速发展,将CAR工程技术沿袭用于其他类型免疫细胞的工程化改造引起了研究者们极大的兴趣。
根据这种基因工程技术,CAR-NKT、CAR-巨噬细胞(CAR-M)、CAR-Treg、CAR-γδT等异军突起,在肿瘤的免疫治疗中展现出广阔的前景。之前无癌家园小编就给各位癌友们介绍过以CAR技术为核心的各大新型细胞疗法的研究进展。
总之,小编坚信,在未来将会有越来越多的细胞免疫技术和药物联合使用的试验不断涌现,只要不放弃任何一点希望,攻克癌症指日可待!







