给免疫细胞装上"弹头",杀癌力倍增!CAR-T、CAR-M、CAR-NK开启"三强争霸"模式!
小编 2022-05-16
细胞免疫疗法开启CAR-M、CAR-T、CAR-NK三强争霸的模式
对于癌症的治疗和攻克,我国的医学家们从未停止过研究创新的脚步,从最初的化疗药,再到现如今的靶向、免疫治疗,我们距离治愈癌症的目标也越来越近。而近期内最火的癌症疗法,当属于免疫疗法中的嵌合抗原受体T细胞(CAR-T)。
的确,CAR-T技术在多种血液肿瘤,如白血病、淋巴瘤、多发性骨髓瘤中,表现出不俗的疗效,让许多濒临绝境、无药可治的血癌患者,一大半都获得了良好的疗效。
鉴于CAR-T的成功,将CAR工程技术沿袭用于其他类型免疫细胞的工程化改造引起了研究者们极大的兴趣。嵌合抗原受体(CAR)是一种受体蛋白,它赋予免疫细胞新的能力,以靶向特定的抗原蛋白。
CAR-M疗法
2022年3月10日,诺华与Carisma Therapeutics达成初步战略合作协议,对HER2靶向的CAR-巨噬细胞(CAR-M)细胞疗法的候选产品CT-0508进行临床制备。临床制备计划预计将于2023年开始。
在治疗实体瘤的CAR-M临床试验中,研究人员看到了在将CAR-M输入到患者体内的巨噬细胞表现出高CAR的活性表达,且耐受性良好。2021年4月中旬,Carisma靶向HER2的CAR-M的候选产品CT-0508完成首批志愿者的初步给药。初步数据显示,CAR-M具有改变实体瘤微环境、骨髓细胞和T细胞组成的能力。
2021年9月23日,FDA授予CT-0508快速通道资格,作为实体瘤患者的一种潜在治疗选择。目前,Carisma Therapeutics共有3条CAR-M研究管线,除了靶向HER2(实体瘤)外,还开发了靶向Mesothelin(治疗间皮素阳性实体瘤)和PSMA(治疗转移性去势抵抗前列腺癌)。

▲ 图片来源:研发管线(Carisma官网)
CAR-M疗法是以巨噬细胞为中心,巨噬细胞吞噬入侵的细胞,而不是像T细胞那样将其靶向破坏;T细胞更像是太空入侵者(Space Invaders)游戏,而巨噬细胞更像是吃豆人(Pac-Man)游戏。
巨噬细胞与T细胞的另一个主要区别在于它们是身体对病毒感染的第一反应者。从历史上看,这在试图对它们进行基因改造来攻击癌症方面提出了挑战,这是因为巨噬细胞不易被基因疗法和细胞疗法中使用的标准病毒载体转染。
总而言之,把巨噬细胞作为用以CAR改造的效应细胞,有望逆转肿瘤抑制性微环境,以此突破免疫细胞疗法在实体瘤中的障碍。
目前,基于CAR工程技术,CAR-NK、CAR-NKT、CAR-巨噬细胞(CAR-M)、CAR-Treg、CAR-γδT等异军突起,在肿瘤的免疫治疗中展现出广阔的前景。

其中在实体瘤治疗领域,CAR-T、CAR-M、CAR-NK可谓是形成了“三强争霸”模式!
CAR-T疗法
免疫疗法已然成为人类对抗癌症新的希望,而CAR-T疗法则是近年来最有前景的肿瘤免疫疗法之一。这项技术在治疗各种恶性肿瘤方面取得了巨大进展,已成功应用于多种血液恶性肿瘤的治疗。
特别是2021年我国正式开启细胞免疫治疗元年,分别于6月份迎来首款CAR-T疗法——阿基仑赛注射液;9月3日,迎来第二款获批的CAR-T产品——瑞基奥仑赛注射液,这也是中国首款1类生物制品的CAR-T产品。2022年随着西达基奥仑赛被美国FDA获批上市,CAR-T疗法有望迎来井喷期!
作为一种“活的”药物,CAR-T疗法与传统药物有着很大的区别。它是一种治疗肿瘤的新型精准靶向疗法。通过基因工程技术将T细胞激活,并装上定位导航装置CAR(肿瘤嵌合抗原受体),将T细胞这个普通“战士”改造成“超级战士”,即CAR-T细胞,专门识别体内肿瘤细胞,并高效杀灭肿瘤细胞,从而达到治疗恶性肿瘤的目的。与传统的化疗和造血干细胞移植相比,它对肿瘤细胞的杀伤更为精准,在提高疗效的同时大幅减轻了毒副作用。
无癌家园专家科普:CAR-T免疫疗法是如何工作的


目前全球获批上市的所有CAR-T产品
虽然,CAR-T疗法在实体肿瘤方面如肝癌、胃癌、胰腺癌等消化系统肿瘤中也取得了一定的疗效,但是少之又少,这主要是碍于靶点选择困难、CAR-T细胞进入肿瘤组织困难、CAR-T细胞进入肿瘤组织后容易被其他免疫抑制性的分子或细胞所阻挡无法发挥作用等。
但国内外的学者针对CAR-T进行了多种改造,不断地发现新靶点,以用于治疗多种实体肿瘤。
目前,无癌家园有多款血液肿瘤及实体瘤的CAR-T临床试验正在进行招募,有意向者可咨询医学部具体评估病情!

接下来,无癌家园的小编就给大家一一回顾下CAR-T疗法在各癌种中颇为出圈的临床研究,希望为各位癌友们提供新的治疗选择。
01、CAR-T疗法治疗胃癌、胰腺癌
作为国际上首个针对Claudin18.2的CAR-T细胞,CT041早在2019年ASCO年会上就崭露头角,当时总客观缓解率为33.3%就已经惊艳世界,如今更加显著的疗效无疑是锦上添花!此次的临床数据展现出对消化系统肿瘤的良好治疗前景!
国产CAR-T疗法CT041首次亮相ESMO
2021年欧洲肿瘤内科学会(ESMO)年会上,由科济药业开发的靶向Claudin18.2(CLDN18.2)自体CAR-T候选产品CT041展现了其在消化系统肿瘤中的突出疗效,可谓是大放异彩!
研究数据格外亮眼
1. 所有患者的客观缓解率达48.6%,疾病控制率达73%;所有胃癌患者总客观缓解率为57.1%。
2. 既往接受至少2线治疗失败的胃癌患者:客观缓解率为61.1%,疾病控制率为83.3%。
3. 而且总体耐受性良好!
截止到2022年3月3日,CT041成为全球首个且唯一进入到确证性Ⅱ期临床试验的用于治疗实体瘤的CAR-T细胞候选产品。这是CAR-T攻克实体瘤领域是里程碑般的存在,可喜可贺!
除此之外,还有多款靶向CLDN18.2的CAR-T细胞疗法。例如,由传奇生物研发的LB-1904,用于治疗胃癌或者胰腺癌,目前已经进入临床I期试验。此外,传奇生物还启动了一项靶向Claudin18.2 的CAR-T细胞制剂LCAR-C18S,用于治疗晚期胃腺癌患者,目前也正在进行临床试验招募中。
目前急招B细胞淋巴瘤、T细胞淋巴瘤、T细胞白血病(T-ALL)、急性白血病、非霍奇金淋巴瘤、肝癌、胃癌、前列腺癌、甲状腺癌等癌种!
想要评估病情是否能够接受CAR-T疗法可将病理报告、治疗经历及出院小结等提交至无癌家园医学部进行初步评估!
02、CAR-T疗法治疗肝癌
当前应用CAR-T治疗肝癌的临床试验靶点主要是GPC3(磷脂酰肌醇蛋白多糖3)。
由上海交通大学医学院附属仁济医院肿瘤介入科科主任翟博教授团队等完成的突破性研究成果,发表在2020年5月5日的国际权威期刊《Clinical Cancer Research(临床肿瘤研究)》上。
截止到2019年7月24日,共有13例患者接受了中位值为19.9×108的CAR-GPC3 T细胞。所有患者均为GPC3阳性,均接受过手术治疗、局部治疗或全身性的系统治疗,都携带乙型肝炎病毒(HBV)。
其中有2例患者获得部分缓解(PR),所有患者6个月、1年和3年的生存率分别为50.3%、42.0%和10.5%,中位生存时间(OS)为278天(39.7周)。
2021年ASCO年会上我国医学研究者们首次公布了靶向GPC3的CAR-T药物(Ori-CAR-001)治疗复发/难治性肝细胞癌的最新临床研究数据。
截至2021年3月10日,共纳入11名接受细胞输注的复发受试者。所有受试者均患有晚期肝细胞癌,并且经过化疗、TACE(肝动脉化疗栓塞术)和靶向治疗均无效。9例可评估受试者中,4例达到部分缓解 (PR),3例达到疾病稳定 (SD),2例出现疾病进展 (PD),客观缓解率为44%,疾病控制率达到78%。
03、卵巢癌、肺癌、胆道系统肿瘤、前列腺癌等
关于以下癌种的CAR-T疗法请戳下方链接,阅读完整全文
卵巢癌:国内CAR-T疗法对付实体瘤初战告捷!历经53次化疗的晚期卵巢癌患者重现曙光!
延长生存达17个月!12年剑指实体瘤!新型CAR-T联合疗法治疗卵巢癌带来惊喜
肺癌:国人屡向非小细胞肺癌进军,CAR-T联手PD-1/L1,有效抑制肿瘤生长
胆道系统肿瘤:中国CAR-T技术首次碰撞胆道系统肿瘤,肿瘤完全消失,至今未复发!
前列腺癌:热点!CAR-T之父公布首个实体瘤临床试验结果!历时5年,CAR-T有望挺进一线治疗!
CAR-T疗法攻克实体瘤再传捷报!瞄准前列腺癌、胰腺癌、肝癌、胃癌,火力全开!
CAR-NK疗法
近两年来,除了CAR-T疗法备受万众瞩目外,另外一种新的癌症细胞疗法——自然杀伤(NK)细胞疗法也逐渐受到关注。研究人员说,NK细胞作为一种细胞抗癌疗法更具潜力,它可能会更安全、更便宜、更快速。
CAR-T细胞疗法取得的成功激发了人们对用CAR基因修饰NK细胞来增强其杀肿瘤能力的热情。
CAR-NK就是利用基因工程给NK细胞加入一个能识别肿瘤细胞,并且同时激活NK细胞杀死肿瘤细胞的嵌合抗体。嵌合抗原受体能显著提高NK细胞疗效特异性。这个思路和CAR-T的构建类似:CAR包括胞外的识别结构域(如scFv)识别肿瘤特异性抗原;一个跨膜结构域,和一个胞内信号结构域(CD3ζ 链)可以诱导NK细胞的活化。

图为构建CAR-NK细胞免疫疗法的过程
想寻求CAR-NK细胞疗法及其他国内外治疗新技术帮助的患者可以先将病历提交至无癌家园医学部进行初步评估。
大放异彩,CAR-NK疗法在实体瘤中的成就不容小觑
1、创新CAR-NK疗法FT536获FDA批准用于临床试验
2022年1月10日,Fate Therapeutics公司宣布,美国FDA已批准FT536的新药临床研究(IND)申请。FT536是一款经过多重工程修饰、诱导多能干细胞(iPSC)衍生的“即用型”嵌合抗原受体(CAR)自然杀伤(NK)细胞疗法。

FT536表达一种特异性靶向I类主要组织相容性复合体(MHC)相关蛋白A和B(MICA/MICB)α3结构域的新型CAR。
MICA和MICB属于应激蛋白,在许多实体瘤上高水平表达。癌细胞经常通过MICA/B的α1和α2结构域的蛋白水解脱落来逃逸免疫细胞识别。此前有研究发现,靶向MICA/B的α3结构域的抗体能够特异性地阻止MICA/B脱落,恢复NK细胞介导的免疫力。
此次FT536获批临床应用,表明MICA和MICB正在成为广泛的实体瘤中令人兴奋的癌症免疫疗法靶标,而FT536也代表了一种靶向这些应激诱导配体的新型治疗策略。关于此款疗法的多中心I期临床试验开展的肿瘤类型包括:晚期非小细胞肺癌、结直肠癌、头颈癌、胃癌、乳腺癌、卵巢癌和胰腺癌。
2、"现货型"CAR-NK疗法向"癌王"胰腺癌发起进攻
2022年1月6日,在国际胃肠病领域权威杂志《Gastroenterology》刊登了希望之城国家医学中心和细胞疗法创新公司CytoImmune Therapeutics合作开发的重磅研究,研究结果显示,以前列腺干细胞抗原(PSCA)为靶点的“现成”的CAR-NK疗法能够显著抑制胰腺癌。这款被称为CYTO NK-203的治疗方法,是一种现成的同种异体 CAR-NK 细胞疗法,源自脐带血,并具有提高 NK 细胞安全性和杀伤功效的一种潜在的疗法。
CYTO NK-203在人类转移性胰腺癌小鼠模型中效果显著,在小鼠体内持续存活超过90天,显著延长其寿命,且未显示出治疗相关毒性,这项临床前研究支持该疗法在今年进入人体临床试验。
研究团队认为这种CAR-NK疗法对胰腺癌治疗充满希望,原因有两个:首先,该疗法基于精准医学方法,靶向胰腺癌患者的特殊靶点——PSCA;这是一种免疫疗法,使用工程化的人类自然杀伤细胞,被改造为专门攻击癌细胞。
此外,由于前列腺干细胞抗原(PSCA)在胃癌、前列腺癌中也同样高表达,因为这款CAR-NK细胞疗法同样对胃癌和前列腺癌的治疗充满希望。
3、国内首个"现货型"CAR-NK临床试验获药监局批准
2021年11月11日,国家药监局药品审评中心通过了一款我国自主研发的针对“晚期上皮性卵巢癌治疗的靶向间皮素(Mesothelin,MSLN)嵌合抗原受体NK细胞(CAR-NK)注射液”(简称:CAR-NK注射液)的临床试验申请。
据无癌家园获悉,此款产品是国内首例“现货型”异体来源的CAR-NK产品。这也标志着我国的免疫细胞药物治疗实体瘤的研究迈入了新的里程碑!

此款CAR-NK疗法的研发有利于提高卵巢癌的治疗效果和改善患者生活质量。而且“现货型”的产品可进行标准化批量生产,从而扩大治疗机会,减少治疗成本,临床普及性较高。
4、1年生存率翻一倍,CAR-NK疗法在实体瘤中疗效暴增
近期,《临床肿瘤研究》杂志发布了一项针对肺癌的2期临床试验。热休克蛋白70(Hsp70)在70%左右的中晚期肺癌中高表达,NK细胞在体外先用Hsp70激活,相当于在体外先让NK细胞与未来的敌人先遭遇、先“结仇”,然后回输给病人,让NK细胞在体内正式与癌细胞殊死搏斗——这样一种在体外先用抗原肽刺激、赋予NK细胞一定特异性的作法,是近年来研究的热点。
这项临床试验一共入组了16例III期非小细胞肺癌患者,一组接受传统的放化疗综合治疗,一组接受放化疗联合Hsp70预激的NK细胞回输治疗。
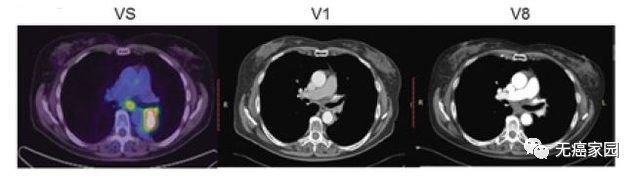
结果显示:Hsp70预激的NK细胞回输治疗,配合传统的放化疗,可以将1年的生存率从33%翻倍到67%,初步结果振奋人心。
接下来,小编展示联合疗法中一个典型的成功案例,如图所示:治疗1~2个月后复查,肺部肿瘤完全消失,并且疗效已经保持了18个月。

除了上述提到的国内外临床研究外,CAR-NK细胞还对胶质母细胞瘤和神经母细胞瘤、肝癌等的疗效颇佳,特异性识别和高效杀伤乳腺癌肿瘤细胞,对多发性骨髓瘤疗效显著。
小编有话说
CAR技术的问世为肿瘤免疫治疗开辟了新的格局,尤其是CAR-T疗法的飞速发展,更是让业界意识到CAR技术的价值不仅仅表现在对T细胞的改造上,发展CAR-M、CAR-NK、CAR-NKT、CAR-Treg等细胞疗法更为重要。
小编也希望基于CAR技术的细胞免疫疗法能够为肿瘤免疫治疗领域带来更多突变,让癌症晚期患者增加更多延长生存期的选择!
参考文献
https://www.novartis.com/news/media-releases/novartis-signs-initial-agreement-carisma-therapeutics-manufacturing-her-2-targeted-car-m-cell-therapy







