无癌生存超10年,世界首批接受CAR-T治疗的两名肿瘤患者创造奇迹!CAR-T之父最新研究!
小编 2022-02-15
CART成功案例,世界首批接受CAR-T治疗的两名患者无癌生存超10年
对于癌症的治疗和攻克,我国的医学家们从未停止过研究创新的脚步,从最初的化疗药,再到现如今的靶向、免疫治疗,我们距离治愈癌症的目标也越来越近。而近期内最火的癌症疗法,当属于免疫疗法中的嵌合抗原受体T细胞(CAR-T)。
与以往开发抗癌药物,包括最新的靶向药物,成功的目标都是“延长患者的寿命”、“提高患者生活质量”,描述抗癌药物有效的指标是“1年生存率”、“5年存活率”等,并没有不切实际地提出把“治愈癌症”作为目标。
然而CAR-T当时是以治愈癌症为目标,在血液性肿瘤的治疗中,CAR-T的有效率甚至超过80%,一度成为最耀眼的明星疗法,这也让CAR-T的发明者Carl June教授被冠以“CAR-T之父”之名。

“CAR-T之父”Carl June博士(图源美国癌症研究所)
就在2022年2月2日,“CAR-T之父”Carl June教授为首的研究团队在国际知名杂志《Nature》上发表了最新论文,其中详细介绍了世界首批接受CAR-T治疗的患者Bill Ludwig和Doug Olson的治疗结果。二人在治疗后超过10年的时间内一直未检测到白血病的迹象,这项研究为CAR-T细胞疗法的长期治疗效果和整合到体内的安全性提供了强大佐证。

癌症杀伤细胞在10年后仍然存在,开创性CAR-T疗法的首批患者至今仍无癌
在第一批接受革命性疗法治疗的肿瘤患者中,有两名患者在十年后仍然拥有杀死癌症的细胞,并且没有任何疾病复发的迹象。
这一发现表明 CAR-T 细胞疗法构成了对某些血癌的“治愈”,尽管事实证明将其用于治疗实体瘤更具挑战性。
Doug Olson就是其中一位幸运儿,在2010年9月13日,身患慢性淋巴细胞白血病(CLL)的Doug Olson在“CAR-T之父”Carl June的帮助下制定了新的临床试验方案。自从1996年被诊断患上慢性淋巴细胞白血病,Doug Olson在经过多年化疗后,病情仍持续发展,甚至都开始考虑骨髓移植了。当他看了试验方案后,本身从事医疗行业的他并怀着希望决定参加这项临床试验。
当时谁也不知道CAR-T细胞能够达到怎样的效果,更不敢奢望临床治愈白血病。就在接受了CAR-T治疗的几周后,Doug Olson的体内已经找不到癌细胞了。在接受完治疗后,他开始参加半程马拉松比赛,当研究人员检查患者的血液时,他们仍然可以识别出能够增殖和杀死癌细胞的CAR-T细胞,以及其他有助于形成免疫反应的细胞。

Doug Olson医生(图源美联社,侵删)
时间来到2022年,早已过去了十年之久,Carl June教授兴奋地说:“我们称这些细胞为活疗法,尤其令我们吃惊的是,它们在输注10年后仍然能够杀死癌细胞。我们不能说最后一个癌细胞是否在治疗3周内消失,或者它们可能像打地鼠一样不断出现然后被杀死,但我们知道这些CAR-T细胞正在巡逻。它们持续存在,并且发挥作用。”
无癌生存超10年,接受CAR-T疗法的75岁白血病患者却输给了新冠病毒
此外,另一位成功抗癌超过10年的全球首个接受CAR-T治疗的成年白血病患者Bill Ludwigs就格外令人惋惜,他在战胜癌症10年后,却无法战胜COVID-19(新冠病毒肺炎),于2021年1月去世,享年75岁。

网友Twitter截图
Bill Ludwigs是一名来自美国新泽西州的退休狱警,当他被确诊患有慢性淋巴性白血病后,便开始漫长的抗癌之路,这一晃就是十年之久,经过手术、化疗等治疗依旧没法好转,还可惜的对化疗产生了耐药。更惨的是,由于经过太多次的化疗,让他产生了副作用——白细胞飙升,进而无法进行骨髓移植。
当时的Bill Ludwig万念俱灰,别无选择,不管免疫疗法奏不奏效,这是他唯一剩下为之一搏的治疗方法了!
在宾夕法尼亚医学大学,免疫学家Carl June医学博士正在多年的研究基础上,研究表明免疫系统可以靶向并消灭癌症。直到2010年8月,Bruce Levine教授和Carl June教授的研究小组才确定了他们的第一位患者——Bill Ludwig。
研究人员从Bill体内提取了他的免疫细胞T细胞,并通过从人类、小鼠和奶牛中选取的DNA经过基因工程进行改造,形成CAR-T细胞。
两周后,这些细胞生长了700倍,并准备好重新引入比尔的血液中,以便于更快地生长。在第一次治疗的一周后,Bill出现了严重的副作用,但在一个月后,他体内的癌细胞逐渐消失,白血病也消失了。每个回输的CAR-T细胞至少消除了1000个癌细胞!
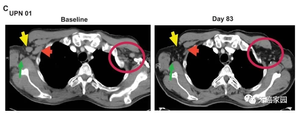
据悉,与Bill一同接受治疗的还有两位白血病患者,三人中,仅在单次治疗后就有两名患者(Bill和Doug)体内的癌细胞被完全清除,呈现完全缓解,另一例为部分缓解。以下是一位患者接受治疗83天后的对比图,可见疗效格外令人惊艳!

尽管一些患者在接受CAR-T治疗后得到了长期缓解,但并非每个患者都这么幸运,一开始,只有约25%~35%的 慢性淋巴细胞白血病(CLL)在接受CAR-T治疗后得到完全缓解。目前,医学研究者们也在不断改进CAR-T技术,重点针对提高癌症治愈率,让我们拭目以待。
血液肿瘤治疗界的"抗癌利器"——CAR-T疗法
CAR-T疗法先驱Carl June博士曾经在采访中对CAR-T细胞疗法拆分为两部分进行解读:
●T细胞(T淋巴细胞)在人体中扮演“战士”角色,负责抵御和消灭感染、肿瘤、外来异物等“敌人”。
●CAR,中文学名“嵌合抗原受体”,发挥着类似定位导航的作用。
通过基因工程技术将T细胞激活,并装上“定位导航装置”CAR,专门识别体内肿瘤细胞,并通过免疫作用释放多种效应因子,高效地杀灭肿瘤细胞,从而达到治疗恶性肿瘤的目的。
无癌家园专家科普:CAR-T细胞免疫疗法的治疗过程

Carl June称,过去CAR-T细胞疗法在全球只有3个临床的实验,而且都是在美国。“现在已经有400多个遍布全世界的临床实验,其中大多数是在中国和美国进行的。”
以急性白血病复发的小女孩Emily为例,她于2012年(6岁)进行注射,现在其体内仍有CAR-T细胞。“只要注入一次CAR-T细胞,就可以在人的身体存活终生,它在人体内的半衰期是70年。”

CAR-T细胞疗法是第一个细胞和基因疗法。虽然在甲状腺癌、乳腺癌等实体瘤领域的研究不甚顺利,但在白血病、淋巴瘤和骨髓瘤等肿瘤治疗的临床试验中都有积极的表现,尤其是针对晚期白血病。
“5年之内应该所有的血液肿瘤都可以通过CAR-T疗法进行治愈。”Carl June说道。
对抗实体瘤面临诸多困境,多种改造CAR-T疗法任重道远
目前,随着阿基仑赛注射液、瑞基奥仑赛注射液前后在中国获批上市,癌症治疗领域火速掀起一阵“CAR-T热”。的确,CAR-T技术在多种血液肿瘤,如白血病、淋巴瘤、多发性骨髓瘤中,表现出不俗的疗效,让许多濒临绝境、无药可治的血癌患者,一大半都获得了良好的疗效。
虽然,CAR-T疗法在实体肿瘤方面如肝癌、胃癌、胰腺癌等消化系统肿瘤中也取得了一定的疗效,但是少之又少,这主要是碍于靶点选择困难、CAR-T细胞进入肿瘤组织困难、CAR-T细胞进入肿瘤组织后容易被其他免疫抑制性的分子或细胞所阻挡无法发挥作用等。
但国内外的学者针对CAR-T进行了多种改造,不断地发现新靶点,以用于治疗多种实体肿瘤。
随着针对实体瘤的CAR-T治疗的临床试验数量不断增加,现对这些试验进行总结,以探索基于特定肿瘤微环境选择合适靶点的方法。如下图为针对不同的癌症的抗原分类。

不同癌症的CAR-T靶点分类
目前,无癌家园有多款血液肿瘤及实体瘤的CAR-T临床试验正在进行招募,对于标准治疗失败又想尝试新疗法的患者可咨询医学部具体评估病情!

临床CAR-T和商业CAR-T,有何区别
临床CAR-T的招募由医药公司或具有临床科研资质的医院开展,患者需要评估身体状况、疾病进展等适应症是否能够入组,其筛选较为严格,除了适应症外,还要综合考虑患者的年龄、用药经历、既往病史等诸多条件,有一项不符合都无法成功入组。
相比之下,商业CAR-T的要求就较为宽松,除了符合病情符合适应症外,再综合判断身体条件及疾病进展情况即可,若符合条件且有一定经济能力的患者,在标准治疗失败后可以尝试CAR-T疗法,这不失为一个新的治疗选择。
特别提醒
需要特别提醒病友们的是,临床试验并不适合极晚期的患者,比如进展期的脑转移患者,体力评分不佳或卧床不起,肝肾功能低下和贫血较严重者通常无法入组,需要提升免疫,调整身体状态后再进行评估,可以通过无癌家园营养免疫的相关专家寻求改善晚期状态的方案。此外,正在接受正规治疗的早期患者也要多关注新药进展,一旦病情进展,可以寻求新药的临床试验。
CAR-T疗法的获批将为中国患者带来更多临床获益
阿基仑赛注射液、瑞基奥仑赛注射液的纷纷获批上市,首先对符合其适应症的患者又增加了一种新的治疗选择,也就多了一份治愈的希望。
其次,这两次的获批意味着CAR-T疗法已经被国内环境所接纳,未来更多CAR-T产品或适应症的研发及审批都将得到提速。
经过近30年的发展,CAR-T细胞疗法已然兴起,该领域不会孤立的发展。目前已经有一些试验表示,很可能最好的肿瘤响应需要特异性的CAR-T疗法结合小分子治疗、免疫调节、化疗和基于抗体的治疗等多种治疗的协同作用,这些试验不提供特定的CAR,而是针对一些可能的抗原靶点设计CAR,这些抗原靶点取决于病人疾病的免疫表型。
在个性化医疗的时代,无论是单一疗法还是联合疗法,CAR-T无疑是医药领域火热的研究对象,希望今后能够取得更多突破,在血液肿瘤和实体瘤的治疗上展现其独特的实力!
参考文献
1.https://www.nature.com/articles/s41586-021-04390-6
2.https://www.theguardian.com/society/2022/feb/02/first-patients-pioneering-car-t-cell-therapy-cured-of-cancer







