CAR-T之父重大研究进展!拿捏两大重要靶点使抗癌效果翻倍,征服实体瘤有戏了!
小编 2021-12-08
CAR-T可以治疗哪些肿瘤癌症,CAR-T细胞免疫疗法治疗效果怎么样,掌握好ID3和SOX4两大重要靶点使CAR-T疗法抗癌效果翻倍
ID3和SOX4两大重要靶点
对于癌症的治疗和攻克,我国的医学家们从未停止过研究创新的脚步,从最初的化疗药,再到现如今的靶向、免疫治疗,我们距离治愈癌症的目标也越来越近。而近期内最火的癌症疗法,当属于免疫疗法中的嵌合抗原受体T细胞(CAR-T)。
与以往开发抗癌药物,包括最新的靶向药物,成功的目标都是“延长患者的寿命”、“提高患者生活质量”,描述抗癌药物有效的指标是“1年生存率”、“5年存活率”等,并没有不切实际地提出把“治愈癌症”作为目标。
然而CAR-T当时是以治愈癌症为目标,在血液性肿瘤的治疗中,CAR-T的有效率甚至超过80%,一度成为最耀眼的明星疗法,这也让CAR-T的发明者Carl June教授被冠以“CAR-T之父”之名。

“CAR-T之父”Carl June博士(图源美国癌症研究所)
然而,CAR-T治疗在实体瘤上的临床疗效差强人意。究其原因,主要在于实体瘤的细胞疗法存在不少难点,如不同类型实体瘤的异质性大、缺乏独特的肿瘤相关抗原作为CAR-T靶点、T细胞无法有效归巢到肿瘤部位、CAR-T细胞持续性不够以及肿瘤内复杂的微环境对免疫有抑制作用。
近日,“CAR-T之父”Carl June及其团队有重大研究发现,其发表在国际知名肿瘤杂志《Cell》上的研究表明,尽管目前嵌合抗原受体(CAR)-T疗法在血液肿瘤方面的治疗效果显著,然而,由于受到T细胞耗竭的限制,进入实体瘤的T细胞无法完全消灭癌细胞。

针对CAR-T疗法治疗实体瘤的短板,Carl June及其团队开发了一种实验室培养皿模型,旨在全面研究攻击胰腺肿瘤的CAR-T细胞的衰竭过程。不仅与患者T细胞中的T细胞耗竭过程非常相似,而且还在研究过程中观察到CAR-T细胞的衰竭伴随着两种蛋白质ID3和SOX4水平的激增,这两种蛋白质作为免疫细胞中大量基因的主开关。这无疑是揭示了T细胞的衰竭与两大遗传调节因子ID3和SOX4密切相关。
通俗点讲,抑制ID3和SOX4,能使耗竭的CAR-T细胞即使在长时间暴露于肿瘤细胞后仍然能够保持大部分肿瘤杀伤能力,这有助于CAR-T细胞能够更好地抵抗实体瘤!
CAR-T疗法针对实体瘤疗效差强人意竟是因T细胞耗竭
作为一种“活的”药物,CAR-T疗法与传统药物有着很大的区别。它是一种治疗肿瘤的新型精准靶向疗法。通过基因工程技术将T细胞激活,并装上定位导航装置CAR(肿瘤嵌合抗原受体),将T细胞这个普通“战士”改造成“超级战士”,即CAR-T细胞,专门识别体内肿瘤细胞,并高效杀灭肿瘤细胞,从而达到治疗恶性肿瘤的目的。与传统的化疗和造血干细胞移植相比,它对肿瘤细胞的杀伤更为精准,在提高疗效的同时大幅减轻了毒副作用。
的确,CAR-T技术在多种血液肿瘤,如白血病、淋巴瘤、多发性骨髓瘤中,表现出不俗的疗效,让许多濒临绝境、无药可治的血癌患者,一大半都获得了良好的疗效。
然而CAR-T细胞对实体瘤的疗效差强人意,主要是因为T细胞存在一种重要的称为T细胞衰竭的怪癖,这种怪癖被认为是一种进化的方式,可以防止这些强大的免疫细胞对身体造成太多的间接伤害。正是有T细胞衰竭的存在,才使得CAR-T细胞对实体瘤的效果没那么有效。
在这项新研究中,Carl June博士及其团队用一种叫做间皮素的细胞标记物来改造CAR-T细胞,这种标记物发现于胰腺和其他一些肿瘤的表面,并使T细胞暴露于表达间皮素的胰腺肿瘤细胞四周。然而T细胞的反应是典型的衰竭迹象,甚至有些T细胞还原为一种免疫细胞NK细胞(NK细胞被认为是T细胞的远亲)。
更重要的是,研究中的重磅发现是T细胞的衰竭与两大遗传调节因子ID3和SOX4密切相关。

因此,本研究提出了一个具体的策略,即抑制ID3和SOX4,这可能有助于CAR-T细胞更好地对抗实体肿瘤。
对于这一重大发现,宾夕法尼亚大学细胞免疫治疗中心主任Regina Young博士说道:“这些发现令人兴奋,因为它们具有潜在的临床意义,而且还因为它们从本质上验证了我们新的基于细胞的模型,在探索CAR T细胞生物学和持续改进免疫治疗以造福患者方面的实用性。”
为了攻克实体瘤这一艰巨的目标,国内外的学者针对CAR-T进行了多种改造,不断地发现新靶点,以用于治疗多种实体肿瘤。
随着针对实体瘤的CAR-T治疗的临床试验数量不断增加,现对这些试验进行总结,以探索基于特定肿瘤微环境选择合适靶点的方法。如下图为针对不同的癌症的抗原分类。

不同癌症的CAR-T靶点分类
目前,无癌家园也有多款实体瘤的CAR-T临床试验正在进行招募,有意向者可咨询医学部具体评估病情!

接下来,无癌家园的小编就给大家一一回顾下CAR-T疗法在各癌种中颇为出圈的临床研究,希望为各位癌友们提供新的治疗选择。
CAR-T可以治疗哪些肿瘤癌症
CAR-T疗法治疗胃癌及胰腺癌
9月16~21日召开的欧洲肿瘤内科学会(ESMO)年会上,由科济药业开发的靶向Claudin18.2(CLDN18.2)自体CAR-T候选产品CT041展现了其在消化系统肿瘤中的突出疗效,可谓是大放异彩!
Claudin18.2(CLDN18.2)是一种胃特异性膜蛋白,被认为是胃癌和其他癌症类型的潜在治疗靶点。基于此,中国研究人员开发了国际上首个针对 Claudin18.2的CAR-T细胞。
截止到2021年4月8日,纳入的37例CLDN18.2表达阳性的晚期消化道肿瘤患者,其中包括28例胃癌/胃食管结合部癌、5例胰腺癌和4例其他类型的实体瘤,约84%的患者既往接受过至少2线治疗,中位转移器官数量为3个。
研究数据颇为亮眼
1)总疗效:所有患者的客观缓解率达48.6%,疾病控制率达73%;所有胃癌患者总客观缓解率为57.1%。
2)既往接受至少2线治疗失败的胃癌患者:客观缓解率为61.1%,疾病控制率为83.3%。
3)28例胃癌/胃食管结合部癌各亚组:在既往PD-(L)1抑制剂治疗失败、存在腹膜转移、印戒细胞癌等预后差且已无有效治疗手段的患者中,客观缓解率均可维持在50%或以上。
4)安全性:CT041总体耐受性良好,未发生治疗相关死亡或免疫细胞治疗相关神经系统毒性综合征(ICANS)。
除了CT041目前正在开展临床试验外,另外一款针对既往接受过胃全切除术/胃大部切除术后的复发或转移性晚期胃腺癌(包括胃食管结合部腺癌)的靶向Claudin18.2 的CAR-T细胞制剂,名为LCAR-C18S也在临床招募中。
CAR-T疗法治疗肝癌
今年ASCO年会上我国医学研究者们首次公布了靶向GPC3的CAR-T药物(Ori-CAR-001)治疗复发/难治性肝细胞癌的最新临床研究数据。该研究的初步数据显示,Ori-CAR-001在GPC3阳性复发/难治性患者中表现出良好安全性和有效性。
截至2021年3月10日,共纳入11名接受细胞输注的复发受试者。所有受试者均患有晚期肝细胞癌,并且经过化疗、TACE(肝动脉化疗栓塞术)和靶向治疗均无效。9例可评估受试者中,4例达到部分缓解 (PR),3例达到疾病稳定 (SD),2例出现疾病进展 (PD),客观缓解率为44%,疾病控制率达到78%。
在7月29日的国际知名杂志《Journal of Hematology & Oncology》刊登了我国医学研究者们的一项成功改造CAR-T技术的临床研究,研究中提及的CAR-T产品选择的靶点是glypican-3(GPC3)和mesothelin(MSLN)中,报道的治疗结果格外令人惊艳!
其中1例晚期肝癌患者接受了瘤内注射CAR-T治疗,治疗后肝脏病灶代谢基本消失。

注射60天后,虽然2个肺部结节的尺寸无显著改变;但在第10天时肝脏肿瘤病变显著收缩,注射第32天后则完全消失
更绝的是1例晚期胰腺癌患者,接受的是静脉回输的CAR-T治疗,治疗后全身的病灶,基本都实现了代谢活性完全消失。

在治疗240天后达到完全缓解,未见其他肿大的淋巴结,患者病灶完全消失
CAR-T疗法治疗卵巢癌
2月18日,国际一流学术期刊《癌症免疫治疗杂志》刊登了关于中国医学研究者采取CAR-T自分泌PD-1抗体用于实体肿瘤治疗的研究成果。临床数据显示,一名晚期难治性卵巢癌患者采用这种治疗手段后,无进展生存5个月,生存达17个月。
结果表明,CAR-T细胞与阿帕替尼的组合将成为治疗晚期/难治性卵巢癌的新治疗方法。
CAR-T疗法治疗非小细胞肺癌
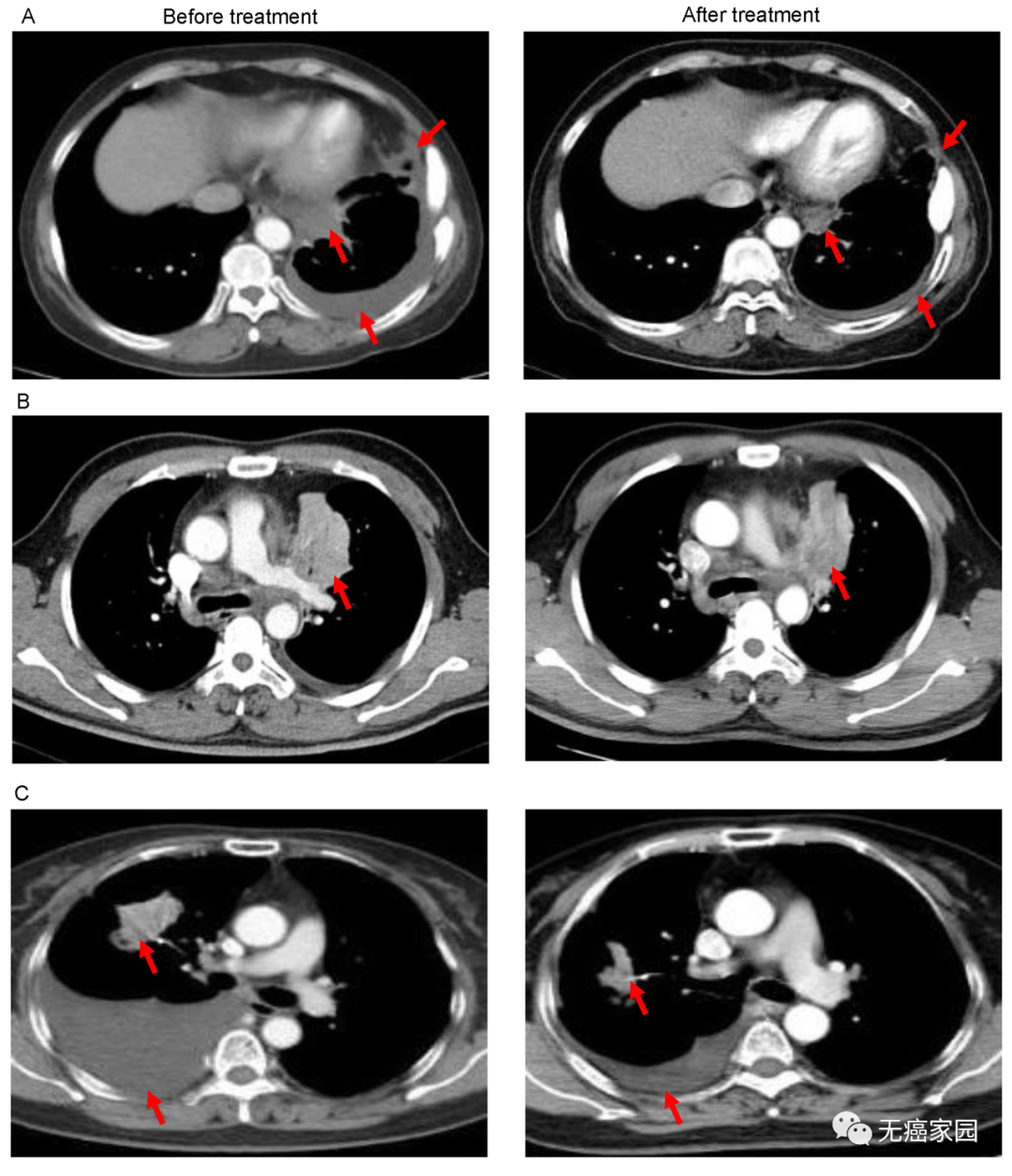
301医院在国内率先开展CAR-T疗法,成果显著。韩为东教授曾报道过利用EGFR为靶点的CAR-T治疗EGFR表达强阳性(EGFR表达超过50%)的晚期难治性的非小细胞肺癌患者。
研究结果显示,其中11例患者疗效可评价:2例患者肿瘤明显缩小,5例疾病稳定。
图A中患者1在输注CAR-T细胞后,通过CT扫描显示其胸腔积液减少,转移性肺门淋巴结和胸膜结节轻度缩小(箭头)。
图B中CT图像显示患者8的原发性肿瘤缩小(箭头);
图C中CT检查发现CAR-T治疗后患者9的胸腔积液吸收和肺部病变明显消退。

CAR-T疗法治疗胆道系统肿瘤
在2018年3月,解放军总医院韩卫东教授的团队公布了利用EGFR CAR-T技术治疗胆道系统肿瘤的初步结果。
此次纳入的患者均为EGFR强阳性(>50%的癌细胞表达EGFR)的不可切除的胆道系统恶性肿瘤患者,共纳入19例患者,包括胆管癌14例,胆囊癌5例。
研究结果显示,17例患者可评估,其中1例胆管癌患者的肿瘤完全消失,截止到目前疗效已经保持了22个月,尚未发现疾病复发。10例患者疾病稳定,疗效保持2.5~15.5个月,中位无进展生存期为4个月。

CART-RGFR细胞治疗之前和1、3、10和15个月患者1的CT扫描图像。
红色箭头表示原发肿瘤和腹膜后淋巴结转移。
在研究中有10例患者在化疗预处理中出现3~4级的副作用,经积极处理均可恢复正常。
这是中国人自主研发的针对实体瘤的CAR-T第一次报道不错的临床疗效。极度恶性的胆管癌患者,首次出现了完全缓解,可喜可贺!
除了上述小编提到的热门靶点外,还有很多治疗靶点,特整理如图所示。

CAR-T疗法的获批将为中国患者带来更多临床获益
阿基仑赛注射液、瑞基奥仑赛注射液的纷纷获批上市,首先对符合其适应症的患者又增加了一种新的治疗选择,也就多了一份治愈的希望。
其次,这两次的获批意味着CAR-T疗法已经被国内环境所接纳,未来更多CAR-T产品或适应症的研发及审批都将得到提速。
经过近30年的发展,CAR-T细胞疗法已然兴起,该领域不会孤立的发展。目前已经有一些试验表示,很可能最好的肿瘤响应需要特异性的CAR-T疗法结合小分子治疗、免疫调节、化疗和基于抗体的治疗等多种治疗的协同作用,这些试验不提供特定的CAR,而是针对一些可能的抗原靶点设计CAR,这些抗原靶点取决于病人疾病的免疫表型。
在个性化医疗的时代,无论是单一疗法还是联合疗法,CAR-T无疑是医药领域火热的研究对象,希望今后能够取得更多突破,在血液肿瘤和实体瘤的治疗上展现其独特的实力!
参考文献
https://medicalxpress.com/news/2021-12-insights-cell-exhaustion-cancer-immunotherapies.html







