可惜!120万一针"天价"CAR-T疗法无缘医保,没关系!更多免费治疗机会抢先用!
小编 2021-11-15
120万一针的复星凯特CAR-T细胞免疫疗法"阿基仑赛注射液"无缘进入医保,更多的免费CAR-T临床实验招募正在进行中
冬风凛凛,但是为期三天的医保谈判现场的热情却丝毫不减!
11月11日下午5点,2021年国家医药产品目录谈判在京落下帷幕,最终结果有望于11月底公布。据新华社11月12日报道,国家医保局最新消息,价值120万元的阿基仑赛注射液通过了初步形式审查,但并未进入医保目录谈判环节。
据介绍,价格较为昂贵的药品通过了初步形式审查,仅表示经初步审核该药品符合申报条件,获得了进入下一个调整环节的资格。药品最终能否进入国家医保药品目录,还要接受包括经济性等方面的严格评审,独家药品还要经过价格谈判。
在这次谈判开始前,复星凯特的CAR-T被寄予厚望。这种药虽然一针贵达120万元,但对于某些淋巴瘤可以做到一针治愈。
在7月31号,国家医保局官网发布的《关于公示2021年国家医保药品目录调整通过初步形式审查药品及信息的公告》中有就有我国首款“天价抗癌药”CAR-T疗法。

但是,120万的特效药最终还是没有坐上谈判桌,所有的期待都落空。复星凯特方面没有正面回应媒体。
120万一针的天价CAR-T疗法无缘医保,理由值得深思
其实,这些天价药对应的疾病也并非无其他药可治,CAR-T目前的市场渗透率并不高,通过“以价换量”的模式进入医保意义不大,所以战略性放弃不失为明智之举。
事实上,想要接受阿基仑赛注射液治疗的患者必须是复发难治性的大B细胞淋巴瘤,但是对此,诸多患者并不知情,如此会导致很多刚发现淋巴瘤的患者咨询。其实通过一线标准的化疗或靶向治疗后,原则上60%~70%的患者可以实现治愈,因此并不推荐CAR-T治疗。
此外,业内有观点认为,在广覆盖、保基本的医保政策之下,国家医保短时间内不太可能为CAR-T疗法买单。
药企要考虑成本与利润,医保则要考虑基金承受力。药价没有降到医保基金能够承受的点位,医保基金暂不会考虑将药品纳入医保目录。
其实,天价“抗癌神药”进入医保谈判,这本身就是一次成功。
CAR-T疗法"天价"如何破?未来十年有望降到"白菜价"
CAR-T疗法就是嵌合抗原受体T细胞免疫疗法,是一种治疗肿瘤的新型精准靶向疗法。通过基因工程技术将T细胞激活,并装上定位导航装置CAR(肿瘤嵌合抗原受体),将T细胞这个普通“战士”改造成“超级战士”,即CAR-T细胞,专门识别体内肿瘤细胞,并高效杀灭肿瘤细胞,从而达到治疗恶性肿瘤的目的。

截图选自CCTV1《人口》节目
虽然目前国内的CAR-T疗法仅获批了阿基仑赛注射液和瑞基奥仑赛注射液,但后续已经有类似产品在跟进。目前对于如何破解“天价”,分析师们畅所欲言。
对策A就是国内目前已经有商业保险开始覆盖CAR-T疗法,患者们可以从这方面考虑。
其次,要相信中国CDMO(合同研发生产)企业可以将CAR-T疗法的成本降到全球较低的水平。
最后,分析师提到,从生产成本来看,经测算,国产的CAR-T产品有机会降到18万左右,未来甚至可以降到10万以下。
通过国内CAR-T登记的注册临床试验很直观地能看出,中国成为自2017年9月以来注册CAR-T试验最多的国家。
一方面是CAR-T的价格有望降低,一方面是进入CAR-T赛道的企业越来越多,这是否意味着CAR-T将像当前的PD-1卡耐药一样成为残酷的“红海”赛道?
分析师认为,预计3~5年后的CAR-T疗法可能面临类似当前PD-1的激烈竞争格局。除了血液肿瘤方面,CAR-T在实体瘤还有很大的市场。无论是血液肿瘤还是实体瘤,CAR-T疗法还有望冲击肿瘤治疗的前线。
我们期待这些“天价”但是“特效”的抗癌疗法能将价格降到国内癌友们能承受的范围。
目前正有血液肿瘤及实体瘤的CAR-T临床试验正在进行招募,有意向者可咨询无癌家园医学部400-626-9916具体评估病情!

其实近几年,国产CAR-T细胞疗法正飞速发展中,不断地突破桎梏,探求新的进展。那么,今天小编就给大家介绍下近期内有哪些令人惊艳的国产CAR-T疗法的最新临床研究。
CAR-T疗法治疗复发/难治性多发性骨髓瘤
总缓解率98%!BCMA CAR-T疗法JNJ-4528疗效强劲
6月1日,国内药企公布了BCMA导向CAR-T细胞疗法JNJ-4528(cilta-cel,LCAR-B38M CAR-T细胞自体回输制剂)的最新研究数据。结果表明,在先前接受过多种疗法(过度预治疗)的复发/难治性多发性骨髓瘤(RRMM)患者中,cilta-cel显示出持续的疗效和持续缓解!
研究结果显示,中位18个月的长期随访,客观缓解率(ORR)达到了98%,80%的患者达到严格的完全缓解(sCR),强调随着时间的推移缓解加深(sCR从2020年ASH年会上报告的67%增加到80%)。在18个月时,有66%的患者存活且疾病无进展。在2021年ASCO年会上将要公布的最新研究结果显示,中位随访18个月,总生存(OS)率为81%,缓解率在全部预先指定的亚组和不同治疗线数患者中具有可比性。
缓解率达94.7%!国产CAR-T疗法打破复发难治性癌种治疗瓶颈
近期国内创新药企在ASCO(美国临床肿瘤学会)年会及EHA(欧洲血液学协会)大会期间公布了旗下GC012F治疗复发/难治性多发性骨髓瘤最新临床研究进展。
临床数据显示,早期客观缓解率(ORR)高达94.7%(18/19),所有应答均获得了极佳的部分缓解(VGPR),乃至严格意义上的完全缓解(sCR);从剂量维度来看,不同组别的数据也均呈现出快速、深入、持久的治疗效果。
惊喜的是,最高剂量组的数据尤为亮眼,全部9例患者均取得微小残留病灶阴性-严格意义上的完全缓解(MRD-sCR),且在接受GC012F输注后6个月乃至更长时间都保持着深度应答。
CAR-T疗法治疗肝癌
晚期肝癌也有救!中国人专属的CAR-T临床试验,再现曙光
以GPC3为靶点的CAR-T细胞治疗晚期肝细胞癌(HCC)的I期临床研究结果“面世”:治疗的安全性和有效性均获得了令人期待的结果。
截止到2019年7月24日,共有13例患者接受了CAR-GPC3 T细胞。所有患者均为GPC3阳性,均接受过手术治疗、局部治疗或全身性的系统治疗,都携带乙型肝炎病毒(HBV)。
其中有2例患者获得部分缓解(PR),所有患者6个月、1年和3年的生存率分别为50.3%、42.0%和10.5%,中位生存时间(OS)为278天(39.7周)。
典型病例
这两例患者生存时间分别是20.5个月(图P13)和44.2个月(图P3),其中一例疾病稳定的患者至今生存期将近4年!

疾病控制率达78%,国产CAR-T疗法在肝癌领域大展拳脚
今年ASCO年会上我国医学研究者们首次公布了靶向GPC3的CAR-T药物(Ori-CAR-001)治疗复发/难治性肝细胞癌的最新临床研究数据。该研究的初步数据显示,Ori-CAR-001在GPC3阳性复发/难治性患者中表现出良好安全性和有效性。
截至2021年3月10日,共纳入11名接受细胞输注的复发受试者。所有受试者均患有晚期肝细胞癌,并且经过化疗、TACE(肝动脉化疗栓塞术)和靶向治疗均无效。9例可评估受试者中,4例达到部分缓解 (PR),3例达到疾病稳定 (SD),2例出现疾病进展 (PD),客观缓解率为44%,疾病控制率达到78%。

在数据截止时,受试者007的部分缓解时间6个月,其肿瘤体积在细胞治疗输注后1个月减少了80%以上。(截至2021年6月,该受试者已超过8个月的疾病控制,随访仍在进行中)。受试者012是1例弥漫型、巨块型晚期肝癌患者,曾接受过12次以上的TACE治疗、放疗及靶向治疗,不幸的是均无效,随后参与本研究。
在输注CAR-T细胞后的第28天,受试者MRI结果显示最大肿瘤直径从最初的133毫米减少至9毫米,缩小超过93%。目前,该受试者正在接受CAR-T细胞输注后第3个月的评估,MRI扫描显示此肿瘤几乎消失。此外,甲胎蛋白(AFP,原发性肝癌的特定肿瘤标志物)水平从基线值 >80,000/ng/ml 下降到第1个月的1148.9ng/ml,并在第3个月下降到746.7ng/ml输注(正常范围<40ng/ml),证明 Ori-CAR-001 在晚期肝癌患者中具有显著的初步疗效。

受试者012的MRI结果示意图
在已回输的11例患者中,Ori-CAR-001显示出了良好的安全性和耐受性。
CAR-T疗法治疗卵巢癌
无进展生存5个月,生存达17个月!新型CAR-T疗法成效显著!
2月18日,国际一流学术期刊《癌症免疫治疗杂志》刊登了关于中国医学研究者采取CAR-T自分泌PD-1抗体用于实体肿瘤治疗的研究成果。临床数据显示,一名晚期难治性卵巢癌患者采用这种治疗手段后,无进展生存5个月,生存达17个月。
此文也是国际上第一篇使用CAR-T自分泌PD-1抗体用于实体肿瘤治疗的临床数据文章。PD-1/PD-L1抑制剂对PD-1的阻断作用可以显著增强CAR-T细胞的抗肿瘤功效和反向免疫抑制。
在这项研究中,化疗失败史的卵巢癌患者接受了与阿帕替尼组合的两次αPD-1-mesoCAR-T细胞输注。MRI观察到肝转移结节的协同抑制作用。该患者获得部分缓解,生存了17个月,并有轻微的副作用。结果表明,CAR-T细胞与阿帕替尼的组合将成为治疗晚期/难治性卵巢癌的新治疗方法。
CAR-T疗法治疗胆道系统肿瘤
中国CAR-T技术首次碰撞胆道系统肿瘤,肿瘤完全消失
在2018年3月,解放军总医院韩卫东教授的团队在国际知名《clinical cancer research》杂志上报道了利用EGFR CAR-T技术治疗胆道系统肿瘤的初步结果。
此次纳入的患者均为EGFR强阳性(>50%的癌细胞表达EGFR)的不可切除的胆道系统恶性肿瘤患者,共纳入19例患者,包括胆管癌14例,胆囊癌5例。
研究结果显示,17例患者可评估,其中1例胆管癌患者的肿瘤完全消失,截止到目前疗效已经保持了22个月,尚未发现疾病复发。10例患者疾病稳定,疗效保持2.5~15.5个月,中位无进展生存期为4个月。

CART-RGFR细胞治疗之前和1、3、10和15个月患者1的CT扫描图像。红色箭头表示原发肿瘤和腹膜后淋巴结转移。在研究中有10例患者在化疗预处理中出现3~4级的副作用,经积极处理均可恢复正常。
这是中国人自主研发的针对实体瘤的CAR-T第一次报道不错的临床疗效。极度恶性的胆管癌患者,首次出现了完全缓解,可喜可贺!
CAR-T疗法治疗胃癌及胰腺癌
疾病控制率73%,晚期胃癌新希望!国产CAR-T疗法CT041效果惊艳
9月16~21日召开的欧洲肿瘤内科学会(ESMO)年会上,由科济药业开发的靶向Claudin18.2(CLDN18.2)自体CAR-T候选产品CT041展现了其在消化系统肿瘤中的突出疗效,可谓是大放异彩!
Claudin18.2(CLDN18.2)是一种胃特异性膜蛋白,被认为是胃癌和其他癌症类型的潜在治疗靶点。基于此,中国研究人员开发了国际上首个针对 Claudin18.2的CAR-T细胞。
截止到2021年4月8日,纳入的37例CLDN18.2表达阳性的晚期消化道肿瘤患者,其中包括28例胃癌/胃食管结合部癌、5例胰腺癌和4例其他类型的实体瘤,约84%的患者既往接受过至少2线治疗,中位转移器官数量为3个。
研究数据颇为亮眼
1)总疗效:所有患者的客观缓解率达48.6%,疾病控制率达73%;所有胃癌患者总客观缓解率为57.1%。
2)既往接受至少2线治疗失败的胃癌患者:客观缓解率为61.1%,疾病控制率为83.3%。
3)28例胃癌/胃食管结合部癌各亚组:在既往PD-(L)1抑制剂治疗失败、存在腹膜转移、印戒细胞癌等预后差且已无有效治疗手段的患者中,客观缓解率均可维持在50%或以上。
4)安全性:CT041总体耐受性良好,未发生治疗相关死亡或免疫细胞治疗相关神经系统毒性综合征(ICANS)。
除了CT041目前正在开展临床试验外,另外一款针对既往接受过胃全切除术/胃大部切除术后的复发或转移性晚期胃腺癌(包括胃食管结合部腺癌)的靶向Claudin18.2 的CAR-T细胞制剂,名为LCAR-C18S也在临床招募中。
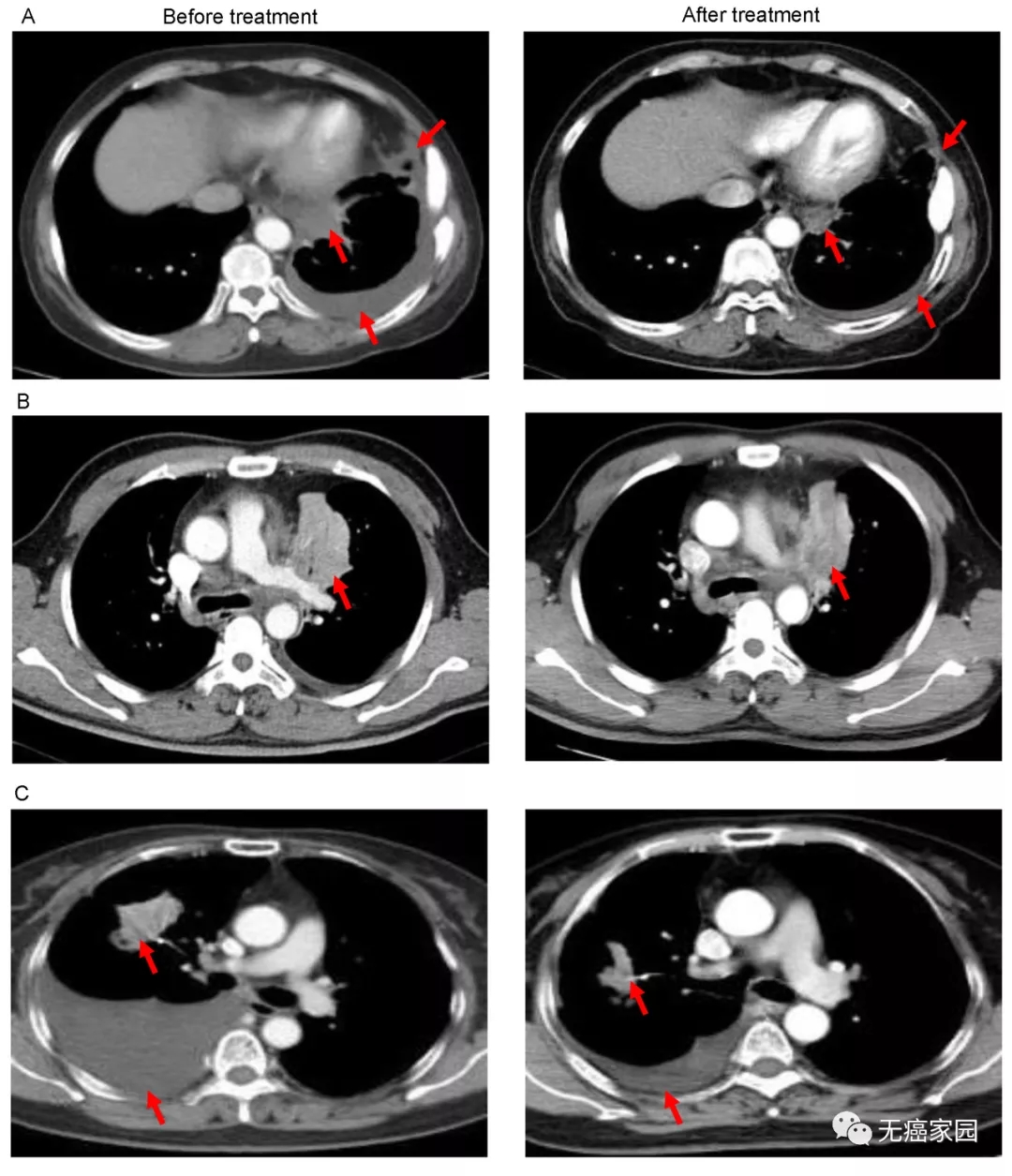
CAR-T疗法治疗非小细胞肺癌
EGFR为靶点的CAR-T治疗晚期难治性NSCLC
301医院在国内率先开展CAR-T疗法,成果显著。韩为东教授曾报道过利用EGFR为靶点的CAR-T治疗EGFR表达强阳性(EGFR表达超过50%)的晚期难治性的非小细胞肺癌患者。
研究结果显示,其中11例患者疗效可评价:2例患者肿瘤明显缩小,5例疾病稳定。
图A中患者1在输注CAR-T细胞后,通过CT扫描显示其胸腔积液减少,转移性肺门淋巴结和胸膜结节轻度缩小(箭头)。
图B中CT图像显示患者8的原发性肿瘤缩小(箭头);
图C中CT检查发现CAR-T治疗后患者9的胸腔积液吸收和肺部病变明显消退。

CAR-T疗法的获批将为中国患者带来更多临床获益
阿基仑赛注射液、瑞基奥仑赛注射液的纷纷获批上市,首先对符合其适应症的患者又增加了一种新的治疗选择,也就多了一份治愈的希望。
其次,这两次的获批意味着CAR-T疗法已经被国内环境所接纳,未来更多CAR-T产品或适应症的研发及审批都将得到提速。
我们期待着,越来越多的临床前/临床试验数据能够拼凑出一幅完整的拼图,充分展示CAR-T细胞疗法治疗晚期血液肿瘤及实体瘤的真正实力。







