占比90%的实体瘤成为抗癌主战场,各大细胞免疫疗法纷纷发力,未来鹿死谁手?
全球肿瘤医生网 2021-09-26
CAR-T细胞免疫疗法、TIL免疫疗法、TCR-T细胞疗法三大T细胞免疫疗法治疗实体瘤,未来鹿死谁手?
免疫疗法已然成为人类对抗癌症新的希望,而CAR-T疗法则是近年来最有前景的肿瘤免疫疗法之一。这项技术在治疗各种恶性肿瘤方面取得了巨大进展,已成功应用于多种血液恶性肿瘤的治疗。
特别是今年我国正式开启细胞免疫治疗元年,分别于6月份迎来首款CAR-T疗法——阿基仑赛注射液;9月3日,迎来第二款获批的CAR-T产品——瑞基奥仑赛注射液,这也是中国首款1类生物制品的CAR-T产品。
根据Clinical Trials.gov提供的数据,截至2021年4月,共有1358项活跃状态的细胞治疗试验;与2019年~2020年24%的增长相比,2020年至2021年增长了43%。这一增长的大部分是由于CAR-T细胞临床试验,其自2019年更新以来增加了83%,以及更多试验测试了其他细胞疗法、TCR-T细胞疗法和TIL细胞疗法。而NK/NKT细胞的试验数量下降,尚未完全恢复。

然而值得一提的是,以上大多数试验依然是集中在血液肿瘤(非实体瘤)领域,在广阔的实体瘤领域依然困难重重,而实体瘤才是抗癌的“主战场”。如2021年最新的全球癌症数据指出,约90%的癌症发病率都是由实体瘤引起,但关于实体瘤的细胞治疗临床试验却很少(实体瘤占40%,且大部分处于早期阶段)。由此可见,实体瘤仍然是细胞免疫治疗的难点。

a为血液肿瘤的细胞治疗靶点;b为实体瘤的细胞治疗靶点
免疫疗法是本质区别于手术、传统化疗及靶向治疗,针对免疫细胞,而不是癌细胞,这种新型疗法通过激活或改造人体免疫系统抗肿瘤的免疫力,使之成为攻击癌细胞的武器,也被称为癌症“第四种疗法”。
细胞免疫治疗是将人体自身的免疫细胞进行收集,然后进行体外处理、培养扩大,增强其靶向杀伤功能,然后回输体内,激活和增强机体免疫功能,达到抗肿瘤、抗病毒的目的。
面对占比90%以上的实体瘤,各大细胞免疫疗法纷纷发力,不断地克服难题,取得许多突出研究进展。今天无癌家园的小编就盘点下目前国际上重大研究进展的几款细胞免疫疗法,希望给各位束手无策不知该尝试何种疗法的癌友们另辟蹊径,提供一种新的治疗选择。
CAR-T细胞疗法
要说近年来最火的癌症疗法,免疫疗法中的CAR-T绝对是被广泛宣传的“抗癌明星”,网络、电视、广播等媒体,铺天盖地,资本市场对此也是趋之若骛,各大机构、各大医院你追我赶,仿佛CAR-T就是攻克癌症的“必杀技”。那么,CAR-T到底是何方神圣呢?
CAR-T疗法就是嵌合抗原受体T细胞免疫疗法,是一种治疗肿瘤的新型精准靶向疗法。通过基因工程技术将T细胞激活,并装上定位导航装置CAR(肿瘤嵌合抗原受体),将T细胞这个普通“战士”改造成“超级战士”,即CAR-T细胞,专门识别体内肿瘤细胞,并高效杀灭肿瘤细胞,从而达到治疗恶性肿瘤的目的。
目前,随着阿基仑赛注射液、瑞基奥仑赛注射液前后在中国获批上市,癌症治疗领域火速掀起一阵“CAR-T热”。的确,CAR-T技术在多种血液肿瘤,如白血病、淋巴瘤、多发性骨髓瘤中,表现出不俗的疗效,让许多濒临绝境、无药可治的血癌患者,一大半都获得了良好的疗效。
然而,CAR-T治疗在实体瘤上的临床疗效差强人意。究其原因,主要在于实体瘤的细胞疗法存在不少难点,如不同类型实体瘤的异质性大、缺乏独特的肿瘤相关抗原作为CAR-T靶点、T细胞无法有效归巢到肿瘤部位、CAR-T细胞持续性不够以及肿瘤内复杂的微环境对免疫有抑制作用。
针对存在的重重困难,国内外科研人员可没掉以轻心:
1.促进T细胞运输至肿瘤部位:(1)使用趋化因子受体修饰CAR-T细胞,从而改善CAR-T细胞向肿瘤部位的归巢。(2)将CAR-T细胞局部给药于肿瘤部位。
2.改善免疫抑制微环境:在实体瘤中,即使CAR-T细胞能够迁移到肿瘤部位,CAR-T细胞也面临着敌对的肿瘤微环境(TME)。
3.根据肿瘤微环境选择合适抗原:随着针对实体瘤的CAR-T治疗的临床试验数量不断增加,现对这些试验进行总结,以探索基于特定肿瘤微环境选择合适靶点的方法。如下图为针对不同的癌症的抗原分类。

不同癌症的CAR-T靶点分类
接下来,无癌家园的小编就给大家一一回顾下CAR-T疗法在各癌种中颇为出圈的临床研究,希望为各位癌友们提供新的治疗选择。
CAR-T疗法胃癌及胰腺癌
9月16~21日召开的欧洲肿瘤内科学会(ESMO)年会上,由科济药业开发的靶向Claudin18.2(CLDN18.2)自体CAR-T候选产品CT041展现了其在消化系统肿瘤中的突出疗效,可谓是大放异彩!
Claudin18.2(CLDN18.2)是一种胃特异性膜蛋白,被认为是胃癌和其他癌症类型的潜在治疗靶点。基于此,中国研究人员开发了国际上首个针对 Claudin18.2的CAR-T细胞。
截止到2021年4月8日,纳入的37例CLDN18.2表达阳性的晚期消化道肿瘤患者,其中包括28例胃癌/胃食管结合部癌、5例胰腺癌和4例其他类型的实体瘤,约84%的患者既往接受过至少2线治疗,中位转移器官数量为3个。
研究数据颇为亮眼
1.总疗效:所有患者的客观缓解率达48.6%,疾病控制率达73%;所有胃癌患者总客观缓解率为57.1%。
2.既往接受至少2线治疗失败的胃癌患者:客观缓解率为61.1%,疾病控制率为83.3%。
3.28例胃癌/胃食管结合部癌各亚组:在既往PD-(L)1抑制剂治疗失败、存在腹膜转移、印戒细胞癌等预后差且已无有效治疗手段的患者中,客观缓解率均可维持在50%或以上。
4.安全性:CT041总体耐受性良好,未发生治疗相关死亡或免疫细胞治疗相关神经系统毒性综合征(ICANS)。
除了CT041目前正在开展临床试验外,另外一款针对既往接受过胃全切除术/胃大部切除术后的复发或转移性晚期胃腺癌(包括胃食管结合部腺癌)的靶向Claudin18.2 的CAR-T细胞制剂,名为LCAR-C18S也在临床招募中。
CAR-T疗法肝癌
今年ASCO年会上我国医学研究者们首次公布了靶向GPC3的CAR-T药物(Ori-CAR-001)治疗复发/难治性肝细胞癌的最新临床研究数据。该研究的初步数据显示,Ori-CAR-001在GPC3阳性复发/难治性患者中表现出良好安全性和有效性。
截至2021年3月10日,共纳入11名接受细胞输注的复发受试者。所有受试者均患有晚期肝细胞癌,并且经过化疗、TACE(肝动脉化疗栓塞术)和靶向治疗均无效。9例可评估受试者中,4例达到部分缓解 (PR),3例达到疾病稳定 (SD),2例出现疾病进展 (PD),客观缓解率为44%,疾病控制率达到78%。
在7月29日的国际知名杂志《Journal of Hematology & Oncology》刊登了我国医学研究者们的一项成功改造CAR-T技术的临床研究,研究中提及的CAR-T产品选择的靶点是glypican-3(GPC3)和mesothelin(MSLN)中,报道的治疗结果格外令人惊艳!
其中1例晚期肝癌患者接受了瘤内注射CAR-T治疗,治疗后肝脏病灶代谢基本消失。

注射60天后,虽然2个肺部结节的尺寸无显著改变;但在第10天时肝脏肿瘤病变显著收缩,注射第32天后则完全消失
更绝的是1例晚期胰腺癌患者,接受的是静脉回输的CAR-T治疗,治疗后全身的病灶,基本都实现了代谢活性完全消失。

在治疗240天后达到完全缓解,未见其他肿大的淋巴结,患者病灶完全消失
CAR-T疗法卵巢癌
2月18日,国际一流学术期刊《癌症免疫治疗杂志》刊登了关于中国医学研究者采取CAR-T自分泌PD-1抗体用于实体肿瘤治疗的研究成果。临床数据显示,一名晚期难治性卵巢癌患者采用这种治疗手段后,无进展生存5个月,生存达17个月。
结果表明,CAR-T细胞与阿帕替尼的组合将成为治疗晚期/难治性卵巢癌的新治疗方法。
CAR-T疗法非小细胞肺癌
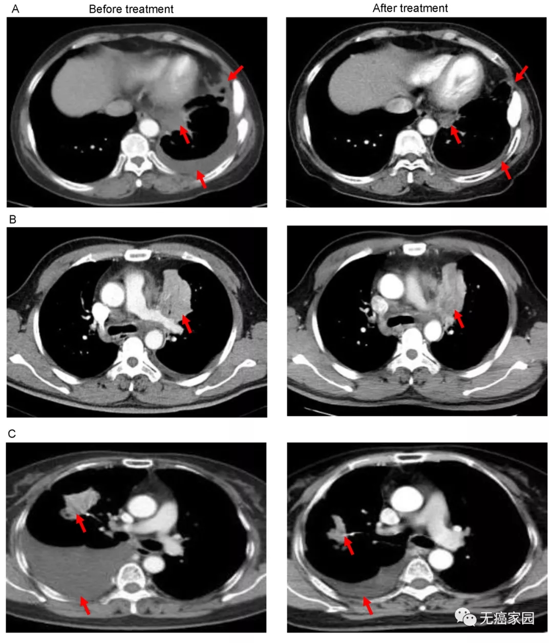
301医院在国内率先开展CAR-T疗法,成果显著。韩为东教授曾报道过利用EGFR为靶点的CAR-T治疗EGFR表达强阳性(EGFR表达超过50%)的晚期难治性的非小细胞肺癌患者。
研究结果显示,其中11例患者疗效可评价:2例患者肿瘤明显缩小,5例疾病稳定。
图A中患者1在输注CAR-T细胞后,通过CT扫描显示其胸腔积液减少,转移性肺门淋巴结和胸膜结节轻度缩小(箭头)。
图B中CT图像显示患者8的原发性肿瘤缩小(箭头);
图C中CT检查发现CAR-T治疗后患者9的胸腔积液吸收和肺部病变明显消退。

CAR-T疗法胆道系统肿瘤
在2018年3月,解放军总医院韩卫东教授的团队公布了利用EGFR CAR-T技术治疗胆道系统肿瘤的初步结果。
此次纳入的患者均为EGFR强阳性(>50%的癌细胞表达EGFR)的不可切除的胆道系统恶性肿瘤患者,共纳入19例患者,包括胆管癌14例,胆囊癌5例。
研究结果显示,17例患者可评估,其中1例胆管癌患者的肿瘤完全消失,截止到目前疗效已经保持了22个月,尚未发现疾病复发。10例患者疾病稳定,疗效保持2.5~15.5个月,中位无进展生存期为4个月。

CART-RGFR细胞治疗之前和1、3、10和15个月患者1的CT扫描图像。
红色箭头表示原发肿瘤和腹膜后淋巴结转移。
在研究中有10例患者在化疗预处理中出现3~4级的副作用,经积极处理均可恢复正常。
这是中国人自主研发的针对实体瘤的CAR-T第一次报道不错的临床疗效。极度恶性的胆管癌患者,首次出现了完全缓解,可喜可贺!
目前,无癌家园有多款血液肿瘤及实体瘤的CAR-T临床试验正在进行招募,有意向者可咨询医学部具体评估病情!

肿瘤浸润淋巴细胞(TIL)治疗
TILs疗法,简单点讲就是将手术切除的肿瘤组织中的淋巴细胞分离纯化,挑选出其中能特异性抗癌的淋巴细胞,扩增活化后回输。这类疗法拥有30多年的历史,最早用于恶性黑色素瘤,近年来在宫颈癌、肺癌等多种实体瘤中都给出了不俗的数据。
这个疗法相当于直接从战场上拉回有战斗经验的老兵,经过一轮“政治审查”和业务能力“大比拼”,把内奸、叛徒尽量剔除出去,留下战斗力最强的,提供补给,再重新送回战场继续战斗。
疾病控制率89%!LN-145疗法获FDA突破性疗法称号
2019年6月,FDA批准肿瘤浸润淋巴细胞(TIL)治疗方法LN-145为突破性的治疗指定,这是用于实体瘤的细胞免疫疗法首次获此殊荣,相信距离上市也仅是时间问题,一旦FDA批准,这将是首款用于实体瘤的细胞免疫疗法,将给癌症患者带来巨大的生存获益。
FDA此次授予是基于正在进行的第二阶段innovaTIL-04(C-145-04)积极的试验的数据,摘要数据显示,晚期宫颈癌患者的TIL治疗总体反应率(ORR)为44%,疾病控制率为89%!
典型患者病例
接下来小编专门找到一些关于TILs治疗各类癌症的相关临床病例,以供各位癌友们参考,也希望给各位带来更多生存的希望!
案例一、9年无复发,TILs疗法治疗黑色素瘤疗效强劲
一项针对TIL治疗转移性黑色素瘤的I / II期可行性研究,以评估可行性和临床有效性。
一共10名患者接受了治疗,有5例显示出明显的临床反应,其中包括2例完全缓解的患者,持续治疗7年以上。1位患者疾病稳定超过2个月,剩余4位表现为进行性疾病。
其中治疗效果最好的患者3是一名46岁男性,患有BRAF V600E突变阳性黑色素瘤,伴有淋巴结转移,肝转移和左侧肾上腺增大。
TIL治疗后,该患者保持无病状态超过9年。如下瀑布图显示了10名患者的最佳反应,其中患者3腿部肿瘤图片给出了新生抗原TILs疗效最强有力的证明。

TILs免疫疗法招募
目前无癌家园有一款TILs免疫细胞临床试验正在招募中,主要治疗恶性实体肿瘤(包括肺癌、食道癌、卵巢癌、宫颈癌)等癌种。若想参加请咨询无癌家园医学部,详细评估病情。
案例二、乳腺癌:810亿个T细胞回输患者体内,10天后她的肿瘤完全消退
2015年,49岁的Judy Perkins 是一名ER+/HER-晚期乳腺癌患者,接受过化疗、内分泌等标准治疗,但是全部耐药,全身多处转移。
鉴于病情较严重,已经没有办法通过常规的方法治疗,所以医生预测,她最多只能活3个月。早在此前,她曾经也接受过免疫治疗的临床试验。
研究人员们在她的肿瘤里寻找到了肿瘤浸润性免疫细胞。在分离出这些免疫细胞后,科学家们决定对它们进行大量扩增,再输回到患者体内。
一周过后,Judy Perkins感觉自己的身体起了明显的变化。比如她长在胸部的肿瘤,感觉逐渐缩小。又过了一两周,胸腔内的肿瘤荡然无存。目前,她已无癌6年!

左图黄色箭头是治疗前肿瘤位置;右图是治疗结束14个月后的复查:肿瘤完全消失
案例三、胆管癌:首位接受TILs疗法的超级幸存者至今已活12年
2009年的秋天,对于41岁的Melinda Bachini来说终身难忘。就在儿子14岁生日的当天,她被诊断出患有罕见的胆管癌,被宣判生命只剩几个月,她的内心痛苦挣扎又不甘心。所幸命运对她不薄,现在已成为晚期胆管癌存活12年的幸存者!
从生存期仅剩几个月到成为超级幸存者,让Melinda重获新生的新型免疫疗法就是肿瘤浸润淋巴细胞(TIL)疗法。

对Melinda发挥巨大作用的是第二次输入的1270亿个免疫细胞,起初她的肿瘤体积缩小60%,待试验结束后,又接受了免疫检查点抑制剂pembrolizumab的治疗,成功地缩小了肿瘤,目前身体任何部位已确保处于无癌状态。
破冰!中国研发的超级TILs疗法横空出世
近期,中国的研究人员宣布,已成功研发出一种新型的超级TILs疗法。
据无癌家园了解,国内的TILs疗法是在美国的肿瘤浸润淋巴细胞(TIL)疗法基础上经过改良,并进一步给予基因修饰,提升其克服肿瘤微环境和增加自我扩增的能力,在前期的概念验证临床研究中已取得了非常积极的疗效和安全性验证,目前已获得批准正式开展人体临床试验招募患者,想申请的病友可以咨询无癌家园医学部。
TILs疗法在多种实体瘤中表现出优异的治疗效果,但并不是所有患者都适合该疗法,首先必须是实体瘤患者并且能拿到肿瘤组织;其次要能顺利从肿瘤组织中分离所需要的淋巴细胞;另外,所分离的淋巴细胞拥有足够的活性,并且能充分扩增培养。任何一个环节出现问题都不能支持患者完成治疗,因此是否能受益于该疗法需要根据患者具体情况具体评估,所以治疗前一定要与专家进行充分的沟通交流。
目前,TILs疗法对转移病灶的治疗效果比较明显,尤其适用于手术后对转移病灶的清除并预防肿瘤复发,对于体积较大的实体瘤,TILs疗法治疗作用有限,需联合其他方法共同治疗。
TCR-T细胞疗法
CAR-T 细胞和TCR-T细胞都属于经基因工程技术改造的T细胞。相较于CAR-T疗法,TCR-T疗法在实体瘤治疗领域具备独特优势。
TCR-T细胞疗法可识别细胞膜表面或细胞内来源的肿瘤特异性抗原,已从最开始的基础免疫研究走进临床应用,在实体瘤中显示出初步疗效,成为目前最有可能在实体瘤领域中取得突破的T细胞免疫疗法!
何谓TCR-T细胞疗法
TCR-T技术主要机制是向普通T细胞中引入新的基因,使得改造过的T细胞能够表达有效识别肿瘤细胞的TCR(T cell receptor,T细胞抗原受体),从而引导T细胞杀死肿瘤细胞。
晚期肝癌迎来新曙光!TCR-T疗法让癌症患者完全缓解
早在2020年国际肝病大会(ILC)上,一款基于T细胞的肝癌新型TCR-T疗法ADP-A2AFP引起了不小的轰动,也让肝癌的新疗法有了新的突破。
在纳入的患者中,有一名患者的癌细胞进程出现了完全缓解(CR)的表现,其余参与者的甲胎蛋白(AFP)也都出现了不同程度的下降,这意味着试验取得了进展,也说明该疗法针对晚期肝癌的治疗是有效果的。

参与的9例患者均接受过手术及常规放化疗,但出现失败或不耐受的现象。在接受最高剂量治疗的4例患者中,有1例患者获得完全缓解,CT扫描显示,患者体内所有病变都消失了,而且完全缓解后已持续半年以上无任何复发的状态!
其他患者(队列1、队列2)最佳反应是病情稳定。队列2中的1例患者在治疗1个月后原发病灶体积未缩小,但纵膈淋巴结转移灶体积明显缩小!

因此,靶向AFP(甲胎蛋白)的TCR-T疗法能够杀死表达AFP的肿瘤细胞,基于此项研究的积极结果,研究人员有望将最大剂量扩大至50亿个细胞治疗,我们期待这项研究更新的数据公开!
无癌家园TCR-T疗法招募
那么到底有没有机会尝试TCR-T疗法呢?小编这就带来了一个好消息,目前正有一项研发的TCR-T疗法在招募肝癌患者开展临床试验,想要参加的患者可以咨询无癌家园医学部了解详细入排标准。
【部分入选标准如下】
1. 18周岁≤年龄≤70周岁,男女均可;
2. 经病理组织学或者细胞学检查确诊的中晚期肝细胞癌(HCC)患者,不适合手术或局部治疗且既往曾接受至少一种规范系统性治疗后发生进展或不耐受(系统性治疗包括但不局限于全身用化疗、分子靶向、免疫检查点抑制剂等治疗),或无力承担标准治疗的患者;
基因型筛选须符合:HLA-A*02:01、02:02、02:03、02:04、02:07、02:09或02:16。
疾病控制率为86%!新型TCR-T疗法最新数据出炉
在代号为 SURPASS 的1 期试验中,共招募了25位晚期转移性癌症患者,并且这些患者平均接受了3种治疗方案,可以说是临床上很难治疗的患者。截止到2021年8月2日,这些患者都接受了ADP-A2M4CD8细胞疗法,最终22名患者可评估。
实验结果:
数据非常振奋人心,一期的试验显示了这一新兴疗法的疗效和持久性都非常有希望,并且5类实体瘤出现响应。
1.总体客观反应率(ORR)为36%,疾病控制率(DCR)高达86%;
2.一名卵巢癌患者报告了完全缓解,并且输注后 6 个月仍在持续缓解;

3.截至数据截止,11 名患者仍在接受研究。在 8 名响应者中,5 名仍然有响应,其余的患者无进展时间超过24周。

此外,还有针对MAGE-A4癌症抗原的TCR-T技术afamitresgene autoleucel(afami-cel,以前称为ADP-A2M4),在多种多种实体瘤类型,包括滑膜肉瘤、头部肿瘤、宫颈癌和肺癌中均获得了缓解,并且多名患者出现持久反应,这意味着这种新型的基于TCR的新兴技术是未来攻破实体瘤的新希望。
总而言之,TCR-T相比于CAR-T,优势是安全性更高,劣势是TCR-T需要像骨髓移植一样,首先配型;然后,还要检测患者肿瘤组织中特定蛋白质的表达。只有相应的特定蛋白质高表达,而且配型合适的病友,才能使用,否则没有效果。
除了上述细胞免疫疗法外,还有CTL疗法(利用癌细胞特有的、正常细胞上没有或者含量很低的蛋白质做诱饵,把外周血中那“万里挑一”的真正能抗癌的淋巴细胞,挑选出来,然后在体外进一步改良和扩增,然后回输给患者)、树突细胞疫苗(一群异质性的免疫细胞,抗原提呈功能最强, 是唯一能够激活初始型T细胞的专职抗原递呈细胞,因此也称为免疫系统的“哨兵”)、其他癌症疫苗等也正在不断改进技术,力求早日攻克实体瘤。
未来可期!细胞免疫疗法是攻克癌症的终极武器
TCR-T细胞疗法根据最新统计资料显示,相对于只接受手术、放疗、化疗的晚期肺癌、胃癌、肝癌等患者来说,辅助细胞免疫疗法能够让患者延长生存期,显著提高资料效果。究其原因,就在于细胞免疫疗法的几点优势:
1.手术后或错失手术时机的患者,都需要化疗和放疗,但化疗或放疗无法达到预期效果,唯有辅以细胞免疫疗法才能达到良好的效果。
2.在化疗、放疗间歇期细胞免疫疗法有协同抗肿瘤的作用,使患者对化疗和放疗的毒副作用更敏感,增强抗癌作用,提高肿瘤综合治疗效果。
3.细胞免疫疗法是恶性黑色素瘤、肾癌等对化疗、放疗敏感的特殊类型恶性肿瘤的潜在替代疗法。
4、结合细胞免疫疗法能明显提高肿瘤患者的免疫系统功能,有利于清除术后残留的癌细胞和微转移灶,明显降低局部复发和远处转移的发生几率。
5.通过体外扩增后,免疫细胞可直接杀伤肿瘤细胞或激发机体的肿瘤免疫反应,从而达到控制肿瘤复发转移的目的,从而延长患者生存期,提高生活质量。
6.与传统疗法相比,细胞免疫疗法更具有针对性,利用人体自身的免疫细胞来杀伤肿瘤,更安全,副作用更小。
参考文献
https://media.nature.com/original/magazine-assets







