短短1个月,中国第2款、全球第6款CAR-T疗法获批!晚期癌症患者有救了!
全球肿瘤医生网 2021-09-06
全球第六款、中国第二款CAR-T疗法瑞基奥仑赛注射液(Relma-cel、倍诺达)获批上市,CAR-T可以治疗哪些肿瘤,CAR-T临床试验有哪些
瑞基奥仑赛注射液获批上市
要说近年来最火的癌症疗法,免疫疗法中的嵌合抗原受体T细胞(CAR-T)绝对是焦点之一。
在全球癌症细胞免疫治疗领域,CAR-T细胞疗法依旧是独占鳌头。
作为一种“活的”药物,CAR-T疗法与传统药物有着很大的区别。首先,该疗法需要从患者体内分离出T细胞,并在体外利用嵌合抗原受体(CAR)进行修饰,使其能够特异性识别癌细胞,最后再将改造后的T细胞扩增、回输至患者体内。与传统的化疗和造血干细胞移植相比,它对肿瘤细胞的杀伤更为精准,在提高疗效的同时大幅减轻了毒副作用。

尤其是CAR-T疗法在血液系统恶性肿瘤的治疗中取得了重大成功。截至目前,美国已经批准了5款CAR-T疗法,而中国也终于在今年6月份也迎来了首款CAR-T疗法——阿基仑赛注射液。
就在今天,无癌家园小编得到最新好消息,国家药监管理局最新公示,药明巨诺靶向CD19的CAR-T产品瑞基奥仑赛注射液(relma-cel,商品名:倍诺达)已正式获批。瑞基奥仑赛注射液此次获批的适应症为:用于治疗经过二线或以上系统性治疗后成人患者的复发或难治性大B细胞淋巴瘤(r/r LBCL)。瑞基奥仑赛注射液是中国第二款获批的CAR-T产品,也是中国首款1类生物制品的CAR-T产品。

距离上次7月30日提交审批,不过才短短1个月左右,可谓是进展神速,可喜可贺!
2020年6月,瑞基奥仑赛注射液用于弥漫性大B细胞淋巴瘤的三线治疗上市申请获得NMPA受理,并纳入优先审评。
在2020年美国血液学会(ASH)年会公布的数据中,58例可评估有效性的复发或难治性(r/r)大B细胞淋巴瘤患者,3个月的客观缓解率(ORR)为58.6%;客观缓解率(BOR)为75.9%,完全缓解率(CR)为51.7%;中位随访时间为8.9个月,中位总生存期(OS)尚未达到,6个月的OS率为90.8%;6个月缓解持续时间(DOR)为60%;6个月的无进展生存率(PFS)为54.2%。
不良事件方面,3级及以上CRS(细胞因子释放综合征)率达5.1%,NT毒性达5.1%。总的来说,无论从临床疗效抑或安全性的角度,瑞基奥仑赛注射液表现均十分优异。
淋巴瘤CAR-T疗法招募
(目前有一款针对复发/难治CD4阳性T细胞淋巴瘤和一款靶向CD20复发难治非霍奇金淋巴瘤的CAR-T疗法正在招募中,详细入排标准请咨询无癌家园医学部。
呈井喷式爆发,进入临床阶段的CAR-T疗法多达36款
据悉,此次获批的瑞基奥仑赛为全球首次申报上市,该疗法与美国Breyanzi产品乃是同宗同源。除此之外,还有6款细胞免疫治疗的候选产品,包括靶向BCMA的CAR-T产品JWCAR129、靶向AFP的TCR-T产品JWATM203、靶向GPC3的T细胞疗法JWATM204、靶向AFP的TCR-T细胞疗法JWATM213等,适应证覆盖血液瘤和实体瘤。其中JWCAR129的临床试验申请已于7月6日获得NMPA受理,这也是药明巨诺申报的第二款CAR-T产品。
据公开资料显示,在国内,进入临床阶段的CAR-T疗法多达36款,除了复星凯特阿基仑赛、药明巨诺瑞基奥仑赛以外。诺华的Kymriah正处于III期临床阶段,传奇生物BCMA CAR-T正处于II期临床阶段。而在CAR-T疗法市场,这种你追我赶的背后,也使得竞争进入白热化阶段,中国CAR-T细胞治疗行业必将迎来崭新的竞争格局。
血液肿瘤!实体瘤!CAR-T细胞免疫疗法通通不放过
其实除了血液肿瘤外,近几年,国产CAR-T细胞疗法正飞速发展中,不断地突破桎梏,探求新的进展。那么,今天小编就给大家介绍下近期内有哪些令人惊艳的国产CAR-T疗法的最新临床研究。
CAR-T疗法治疗胃癌及胰腺癌
CAR-T挑战实体瘤!治疗胃癌及胰腺癌有效率达33%
在实体肿瘤领域,中国取得了备受世界瞩目的成绩,研发出了国际上首个靶向Claudin18.2的实体瘤CAR-T疗法。
Claudin18.2(CLDN18.2)是一种胃特异性膜蛋白,被认为是胃癌和其他癌症类型的潜在治疗靶点。基于此,中国研究人员开发了国际上首个针对 Claudin18.2 的 CAR-T 细胞。
2019 ASCO年会上,CAR-Claudin18.2 T 细胞治疗胃癌/胰腺癌的临床数据更新显示,靶向claudin18.2 CAR T细胞治疗12例转移性腺癌(胃癌7例,胰腺癌5例),未发生严重不良事件、治疗相关死亡或严重神经毒性。11例评估对象中:1例(胃腺癌)完全缓解;3例(胃腺癌2例胰腺腺癌1例)部分缓解;5例病情稳定;2例病情进展;总客观缓解率为33.3%。

并且,CAR-Claudin18.2 T 细胞治疗胃癌的临床前研究成果显示,靶向Claudin18.2的CAR-T细胞在小鼠模型中可以完全清除胃肿瘤,且没有发生脱靶毒性。
CAR-T疗法治疗肝癌
晚期肝癌也有救!中国人专属的CAR-T临床试验,再现曙光
以GPC3为靶点的CAR-T细胞治疗晚期肝细胞癌(HCC)的I期临床研究结果“面世”:治疗的安全性和有效性均获得了令人期待的结果。
截止到2019年7月24日,共有13例患者接受了CAR-GPC3 T细胞。所有患者均为GPC3阳性,均接受过手术治疗、局部治疗或全身性的系统治疗,都携带乙型肝炎病毒(HBV)。
其中有2例患者获得部分缓解(PR),所有患者6个月、1年和3年的生存率分别为50.3%、42.0%和10.5%,中位生存时间(OS)为278天(39.7周)。
典型病例
这两例患者生存时间分别是20.5个月(图P13)和44.2个月(图P3),其中一例疾病稳定的患者至今生存期将近4年!

疾病控制率达78%,国产CAR-T疗法在肝癌领域大展拳脚
今年ASCO年会上我国医学研究者们首次公布了靶向GPC3的CAR-T药物(Ori-CAR-001)治疗复发/难治性肝细胞癌的最新临床研究数据。该研究的初步数据显示,Ori-CAR-001在GPC3阳性复发/难治性患者中表现出良好安全性和有效性。
截至2021年3月10日,共纳入11名接受细胞输注的复发受试者。所有受试者均患有晚期肝细胞癌,并且经过化疗、TACE(肝动脉化疗栓塞术)和靶向治疗均无效。9例可评估受试者中,4例达到部分缓解 (PR),3例达到疾病稳定 (SD),2例出现疾病进展 (PD),客观缓解率为44%,疾病控制率达到78%。
无癌家园临床招募
目前,无癌家园正在对一款CAR-T细胞疗法进行招募,主要是关于晚期实体瘤的临床研究。
其中涵盖14大癌种,包括结直肠癌、肺癌、乳腺癌、肝癌、膀胱癌、食管癌、肾癌、卵巢癌、子宫癌、黑色素瘤、胃癌、胰腺癌、滑膜肉瘤、头颈癌。
具体的入排标准可详情咨询无癌家园医学部,会进行详细的医学评估。
CAR-T疗法治疗非小细胞肺癌
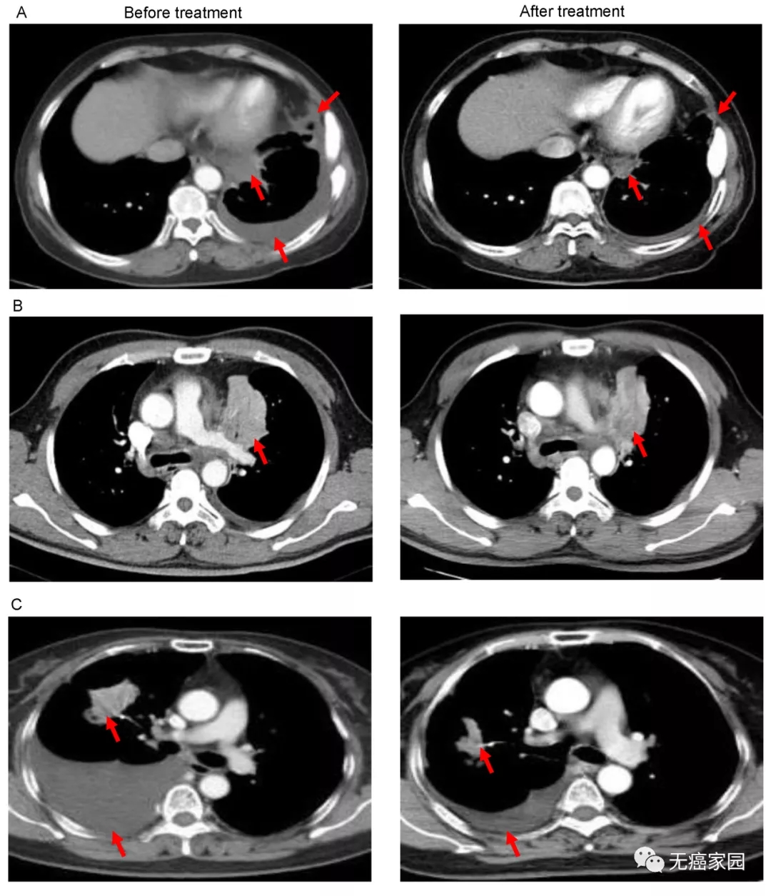
301医院在国内率先开展CAR-T疗法,成果显著。韩为东教授曾报道过利用EGFR为靶点的CAR-T治疗EGFR表达强阳性(EGFR表达超过50%)的晚期难治性的非小细胞肺癌患者。
研究结果显示,其中11例患者疗效可评价:2例患者肿瘤明显缩小,5例疾病稳定。
图A中患者1在输注CAR-T细胞后,通过CT扫描显示其胸腔积液减少,转移性肺门淋巴结和胸膜结节轻度缩小(箭头)。
图B中CT图像显示患者8的原发性肿瘤缩小(箭头);
图C中CT检查发现CAR-T治疗后患者9的胸腔积液吸收和肺部病变明显消退。

CAR-T疗法治疗甲状腺癌
为了评估抗 TSHR CoupledCAR T 细胞对难治性或复发性甲状腺癌的临床安全性和有效性,我国医学研究人员根据伦理审查委员会批准的方案治疗难治性/复发性甲状腺切除术后甲状腺癌患者。使用抗 TSHR CoupledCAR T 细胞治疗了两名患者,观察到 CAR-T细胞快速扩增并增强了对肿瘤细胞的杀伤。一名患者的最佳反应为完全缓解,另一名患者接近完全缓解。
患者1:男性,64岁,甲状腺乳头状癌。输注后1个月(M1),患者被评估为PR:无法检测到淋巴结转移,并且胸腔气管旁肿瘤结节显著减小。输注后三个月(M3),患者评价为完全缓解,肿瘤组织明显小于M1。
患者2:女性,60岁,甲状腺癌。患者在输注后1个月评估为PR(部分缓解):肺右下叶肿瘤体积缩小约67.51%(从65*55mm减小到42*39mm)。输注后3个月(M3),肿瘤体积较之前缩小约73.54%,SUV max值从14.9降至2.8,因此评估为nCR(接近完全缓解)。
这项研究表明 TSHR 是治疗甲状腺癌的良好靶点,抗 TSHR CoupledCAR T 细胞可安全有效地治疗甲状腺癌。
CAR-T疗法治疗结直肠癌
两名结直肠癌患者在输注 Coupled CAR-T 细胞后,这两名患者表现出 Coupled CAR-T 细胞的快速扩增和对肿瘤细胞的杀伤。
两名患者均达到 PR(部分缓解)。
患者1:男性,55 岁,结肠腺癌。输注后1个月(M1),患者被评估为PR;大部分目标病灶明显缩小50%以上,原发肿瘤体积缩小约45%。
患者2:女性,57岁,结直肠癌。输注后1个月,患者也被评估为PR;左上叶尖后段的肿瘤缩小了约 75%。
CAR-T疗法治疗胆道系统肿瘤
在2018年3月,解放军总医院韩卫东教授的团队公布了利用EGFR CAR-T技术治疗胆道系统肿瘤的初步结果。
此次纳入的患者均为EGFR强阳性(>50%的癌细胞表达EGFR)的不可切除的胆道系统恶性肿瘤患者,共纳入19例患者,包括胆管癌14例,胆囊癌5例。
研究结果显示,17例患者可评估,其中1例胆管癌患者的肿瘤完全消失,截止到目前疗效已经保持了22个月,尚未发现疾病复发。10例患者疾病稳定,疗效保持2.5~15.5个月,中位无进展生存期为4个月。

CART-RGFR细胞治疗之前和1、3、10和15个月患者1的CT扫描图像。
红色箭头表示原发肿瘤和腹膜后淋巴结转移。
在研究中有10例患者在化疗预处理中出现3~4级的副作用,经积极处理均可恢复正常。
这是中国人自主研发的针对实体瘤的CAR-T第一次报道不错的临床疗效。极度恶性的胆管癌患者,首次出现了完全缓解,可喜可贺!
CAR-T疗法治疗卵巢癌
2月18日,国际一流学术期刊《癌症免疫治疗杂志》刊登了关于中国医学研究者采取CAR-T自分泌PD-1抗体用于实体肿瘤治疗的研究成果。临床数据显示,一名晚期难治性卵巢癌患者采用这种治疗手段后,无进展生存5个月,生存达17个月。
结果表明,CAR-T细胞与阿帕替尼的组合将成为治疗晚期/难治性卵巢癌的新治疗方法。
CAR-T疗法治疗乳腺癌
2018年圣安东尼奥乳腺癌研讨会上,CAR-T治疗晚期三阴乳腺癌(TNBC)获得了长期病情稳定。
7名表达ROR1的三阴性乳腺癌(TNBC)患者,经CAR-T治疗后,患者的病情持续时间延长,一个达15周,另一个达19周,没有任何后续治疗方案的治疗效果超过CAR-T细胞。
另外,有一个患者第一次回输CAR-T后病情稳定,第二次回输后部分应答持续14周之久(对于晚期三阴乳腺癌,延长一周生存期就很不容易了!)。
CAR-T疗法的获批将为中国患者带来更多临床获益
阿基仑赛注射液、瑞基奥仑赛注射液纷纷获批上市,首先对符合其适应症的患者又增加了一种新的治疗选择,也就多了一份治愈的希望。
其次,这次的获批意味着CAR-T疗法已经被国内环境所接纳,未来更多CAR-T产品或适应症的研发及审批都将得到提速。
参考文献
https://www.nmpa.gov.cn/zwfw/sdxx/sdxxyp/yppjfb/20210903084004127.html







