放疗累到撑不住?质子疗法化身"抗癌导弹"精准爆破,中位生存超2年,疲乏率大降
小编 2025-12-11
放疗累到撑不住?质子刀化身“抗癌导弹”精准爆破,中位生存超2年,疲乏率大降
胶质母细胞瘤(GBM)约占成人原发性中枢神经系统(CNS)肿瘤的25%。随着患者生存期延长,颅脑放疗后可能出现的认知功能障碍成临床关注重点,减少脑部正常组织辐射暴露是降低这类副作用的关键。
《Neuro-oncology》发表的一项“新诊断GBM患者质子放疗与IMRT的前瞻性II期随机试验”发现:质子治疗能显著减少正常组织辐射剂量、降低毒性反应,还能减轻患者自述疲劳,为改善GBM患者治疗体验与长期生存质量提供有力支撑,无疑是这类难治性脑瘤治疗领域振奋人心的突破!

▲截图源自“OXFORD”
质子治疗相较传统放疗的优势
质子治疗(PT,又称质子束治疗PBT)是当前放射治疗领域的先进技术,作为体外放射治疗(EBRT)的重要方式,其核心优势源于独特的物理特性,疗效与安全性均优于传统电子或光子放疗:
首先,质子质量远大于电子或光子,能显著减少散射,形成更锐利的横向束分布;更关键的是其“布拉格峰”特性——能量可精准沉积在肿瘤靶区,穿透肿瘤后剂量急剧衰减,实现优异的横向与远端剂量适形性。这使得质子治疗能在精心选择的患者群体中发挥两大核心作用:一是更安全地向解剖位置复杂的肿瘤输送治疗剂量,降低急性毒性并优化肿瘤控制;二是减少邻近正常组织的积分剂量(低剂量辐射暴露),从而降低亚急性与晚期毒性风险。此外,铅笔束扫描等质子输送技术的最新改进,进一步提升了剂量适形度,增强其减少毒性、改善临床结果的潜力。
相比之下,传统光子放疗(如X射线)需照射肿瘤及周围区域,易损伤邻近健康组织并引发严重副作用;而质子束可直接聚焦于肿瘤部位,大幅降低健康组织受损概率——即使目前两类疗法的对比研究仍有限,但质子治疗的安全性优势已得到初步认可。
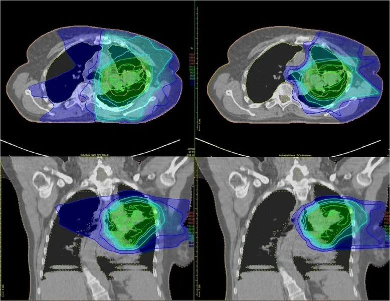
例如,针对局部晚期非小细胞肺癌(NSCLC)患者的剂量分布显示:与调强光子放疗(IMRT)相比,质子治疗对危及器官(OAR)的剂量显著更低,传统放射疗法会将辐射波及肿瘤周围健康组织(详见下图左),而质子疗法则能将大部分辐射集中于肿瘤靶区(详见下图右)。

▲图源“Trials”,版权归原作者所有,如无意中侵犯了知识产权,请联系我们删除
质子治疗点亮胶质母细胞瘤治疗新方向,毒性大降、疲乏减轻,中位总生存达24.5个月
该研究共入组67例可评估疗效的新诊断WHOIV级胶质母细胞瘤或胶质肉瘤成年患者,其中28例接受质子治疗(PT组),39例接受调强放射治疗(IMRT组),中位随访时间为48.7个月(范围:7.1-66.7个月)。
结果显示:两组患者认知功能衰竭(认知功能障碍)的累积发生率无显著差异(HR=0.88,95%CI:0.45-1.75,P=0.74,详见下图)。但质子治疗(PT)组的疲乏发生率较低,分别为24% vs 58%(P=0.05)。

▲图源“Neuro-oncology”,版权归原作者所有,如无意中侵犯了知识产权,请联系我们删除
在生存数据方面,调强放射治疗(IMRT组)的中位总生存期(OS)为21.2个月,而质子治疗(PT)组为24.5个月(HR=0.86,95%CI:0.49-1.50,P=0.60,详见下图)。

▲图源“Neuro-oncology”,版权归原作者所有,如无意中侵犯了知识产权,请联系我们删除
综上,质子治疗(PT)虽未延缓认知功能衰竭的发生,但能显著降低治疗毒性反应及患者自述的疲劳程度。加之该疗法本身具备的剂量学优势(可减少危及器官受照剂量),为后续通过“剂量递增”优化肿瘤控制、改善生存结局提供了潜力。
质子治疗适用于哪些肿瘤
质子治疗适用范围广泛,可用于治疗多种肿瘤及特殊人群,且治疗方式灵活。
适用肿瘤类型
①脑部及颅底肿瘤:恶性神经胶质瘤(如胶质母细胞瘤、星形细胞瘤、室管膜瘤)、侵袭性垂体瘤、脑膜瘤、脑转移瘤(来自乳腺、肺等部位)、脊索瘤、软骨肉瘤、腺癌、鳞状细胞癌等。
②脊柱肿瘤:各类脊柱相关肿瘤及癌症。
③其他部位肿瘤:乳腺、眼、食道、头颈部、肝、肺、淋巴瘤、胰腺、前列腺、肉瘤等。
④特殊人群:对辐射损伤更敏感的儿童肿瘤患者。
注:具体适用人群需由医生根据患者病情、疾病分期、癌症类型、个体情况等进行综合评估后,进行判断。
治疗方式与应用场景
质子治疗可单独使用,也可与手术、化疗等其他治疗手段联合使用;对于传统X射线放疗后残留或复发的肿瘤,同样适用。其核心优势在于能以亚毫米级精度靶向肿瘤,同时有效保护周围健康组织,最大限度减少治疗副作用。
小编寄语
放射治疗始终是众多癌症患者极为关键且必不可少的一种治疗途径。尽管随着IMRT(调强放射治疗)和VMAT(容积旋转调强放疗)等放疗技术的持续发展与进步,对健康组织所造成的损害在一定程度上有所减轻,然而持久的副作用却依然如影随形。
而质子治疗不但能够取得与传统放疗平分秋色的治疗成效,还能够进一步削减对邻近健康组织所产生的不良影响,有助于提升患者在治愈之后的生存质量。上文所提及的这项3期临床试验数据,也有力地证实了在治疗头颈部口咽癌时,质子治疗(IMPT)的疗效并不亚于IMRT,而且具有减少营养不良和胃造口管依赖等副作用。当前,质子治疗主要被应用于儿童脑部和脊柱肿瘤的治疗领域,例如胶质瘤、室管膜瘤、神经母细胞瘤等这类所处位置较为特殊、手术切除难度颇高的实体瘤。若患者及家属有意寻求质子治疗方面的协助与支持,可联系医学部,为患者进行权威的质子方案评估。
参考资料
[1]Zschaeck S,et al.PRONTOX - proton therapy to reduce acute normal tissue toxicity in locally advanced non-small-cell lung carcinomas (NSCLC): study protocol for a randomised controlled trial. Trials. 2016 Nov 15;17(1):543.
https://pmc.ncbi.nlm.nih.gov/articles/PMC5111266/
[2]Brown P D,et al.A prospective phase II randomized trial of proton radiotherapy vs intensity-modulated radiotherapy for patients with newly diagnosed glioblastoma[J]. Neuro-oncology, 2021, 23(8): 1337-1347.
https://academic.oup.com/neuro-oncology/article/23/8/1337/6154000?login=false







