4个月婴儿确诊致命脑瘤被判死刑,革命性抗癌药拉罗替尼创造生命奇迹
小编 2026-03-03
广谱靶向药硫酸拉罗替尼胶囊(Larotrectinib、Vitrakvi)帮致命脑瘤婴儿创造生命奇迹
从4月龄颅内肿瘤炸裂式生长、重症监护室命悬一线,到2岁活蹦乱跳重回正常生活,莱昂的的抗癌故事,是精准医疗时代最动人的生命奇迹。而创造这一奇迹的,正是全球首款不限癌种精准靶向药拉罗替尼(Vitrakvi®)——这款直击NTRK融合靶点的“抗癌神药”,不仅让晚期肿瘤患儿重获新生,更以“打破癌种限制、全年龄覆盖、疗效持久”的突破性优势,开启了实体瘤精准治疗的新纪元。更令国内患者振奋的是,这款药物已正式纳入中国医保,天价药变身普惠药,NTRK融合肿瘤患者在家门口就能拥抱生的希望!

4个月婴儿确诊致命脑瘤被判死刑,革命性抗癌药拉罗替尼创造生命奇迹
莱昂,这个天生爱笑的小男孩,曾是父母生命里的光。早产两个月的他,好不容易在父母身边度过六周温馨时光,一场突如其来的异常,让这个家庭瞬间坠入深渊。
四个月时,莱昂头围开始毫无征兆地快速增大。“我们只觉得不对劲,却从没想过是癌症,儿科医生看到的那一刻,脸色瞬间变了,立刻安排了影像检查,一切都快得让我们来不及反应。”父母回忆时痛苦的说到。

影像结果如晴天霹雳:莱昂的额叶过度发育,颅内肿瘤疯狂生长,头部肿胀得像“一头白鲸”,必须立刻手术!周二做检查,周三紧急动身术前准备,夫妻俩被卷入医疗决策的旋风,连悲伤的时间都没有。“我们根本来不及思考,只能跟着医生的脚步跑,心里只有一个念头:救救我的孩子。”
紧急开颅手术过后,莱昂的情况雪上加霜:输血、静脉破裂、颅内严重肿胀,生命体征长时间不稳定,还接连做了两次分流手术,在重症监护室整整挣扎了两周。“护士告诉我们,莱昂的病例是她们见过最令人震惊的病例之一。”那段日子,医院的仪器滴答声是夫妻俩最恐惧的声音,孩子插满管子的小小身躯,成了他们心中永远的痛。更糟的是,术后的病理结果显示,莱昂的肿瘤竟是高级别星形细胞瘤——一种侵袭性极强的恶性脑癌,预后极差,莱昂的生命进入了倒计时。
抱着最后一丝希望,医生将莱昂的肿瘤组织送去做了全面的分子谱分析。但万幸的是,他的肿瘤中竟然检测出了非常罕见NTRK基因融合——这个结果意味着,他可以使用全球首款不限癌种,专门针对NTRK融合的靶向药——拉罗替尼。
更加幸运的是,莱昂,遇上了参与拉罗替尼最初临床试验的资深医生,在纽约大学朗格尼医学中心开启了靶向治疗。与化疗的痛苦不同,拉罗替尼是口服液体剂型,莱昂可以在家服药,不用再频繁往返医院。“拯救我儿子的药,就放在家里的冰箱里,和芹菜、酸奶油放在一起,每天喂他喝一点,就这么简单。”
如今的莱昂,已经两岁了,拉罗替尼成功稳定了他的颅内肿瘤,没有出现任何治疗相关副作用,那个爱笑的小天使,重新回到了他的生活里。

可治疗25类癌症,“传奇”抗癌药拉罗替尼已上市
莱昂的奇迹,并非个例,而是拉罗替尼临床疗效的真实缩影。作为全球首个口服、高选择性TRK抑制剂,拉罗替尼自2018年获FDA批准上市以来,就以“不限癌种、只看靶点”的颠覆性优势,震撼全球肿瘤界,成为NTRK融合肿瘤患者的“救命神药”,其重大意义远超一款药物本身,更是精准医疗从“针对癌种”到“针对靶点”的里程碑式跨越。这个全球首款不区分肿瘤来源的靶向药物的问世已经帮助了世界各地成千上万的肿瘤患者:
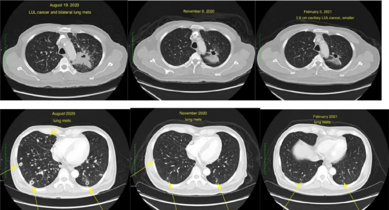
1、IV期肺癌
晚期肺癌SOSTM1-NTRK1融合,接受拉罗替尼治疗6周后,不仅最大的那个病灶明显缩小(6×5cm至4.6×4.2cm),全身的肿瘤数量也出现了骤减(肺部病灶由之前扫描的100个减少到25个),75个病灶消失!

肺及纵隔病灶:治疗前治疗6周治疗20周
2、结直肠癌
晚期肠癌TPR-NTRK1基因融合,接受拉罗替尼治疗5周后,腹部CT显示,最大的转移灶已经迅速从9.6cm缩小到3.9cm,达到了手术根治的标准,术后所有标本均为癌阴性(达到完全病理缓解)!此后长达26个月(2年多)的时间,没有任何疾病复发的迹象。

这样的案例数不胜数....
值得所有中国病友们振奋的是,2022年4月13日,全球首个不区分肿瘤来源的广谱靶向药-larotrectinib(硫酸拉罗替尼胶囊,Vitrakvi®,统称拉罗替尼)终于获得中国国家药品监督管理局批准正式上市,用于治疗患有NTRK基因融合的局部晚期或转移性实体瘤的成人和儿童患者!
该药的最大看点在于,它是一款针对特定基因突变,而不针对特定癌症种类的抗癌新药。因此,只要基因检测存在有NTRK的融合,不管是什么类型的癌症,不论早期还是晚期,不论成人还是儿童,都可以尝试拉罗替尼。
研究证实,拉罗替尼可治疗成人和儿童肿瘤25种存在NTRK融合的不同的肿瘤类型,最常见的是:软组织肉瘤(STS[43%],包括婴儿纤维肉瘤[18%]和其他类型[25%])、甲状腺(11%)、肺癌(10%)、唾液腺(9%)和结肠直肠(7%)等。
(注:做了基因检测的病友可以拿出报告看看,一旦存在NTRK融合,可以马上联系医学部申请是否有机会接受新药治疗,看不懂的病友也可以找医学部解读报告。)
中国患者福音:多款广谱靶向药启动招募
拉罗替尼的问世,为原本走投无路的癌症患者带来了完美的结局。
好消息是,2022年4月13日,全球首个不区分肿瘤来源的广谱靶向药--larotrectinib(硫酸拉罗替尼胶囊,Vitrakvi®)终于获得中国国家药品监督管理局批准正式上市,用于治疗患有NTRK基因融合的局部晚期或转移性实体瘤的成人和儿童患者!同时也有了响当当的大名-维泰凯®。
更值得庆幸是,中国的癌症患者迎来了好时代!除了拉罗替尼,针对成人实体瘤和儿童实体瘤的多款美国及中国自主研发的NTRK抑制剂正式在国内获批开展临床试验,已经有大量NTRK融合的患者通过医学部成功入组并接受抗癌新药治疗,成功逆转了病情,我们希望有更多的病友知道这个好消息,有更多的病友能够获益于这些新型的抗癌药物,战胜癌症!
对于国内的肿瘤患者而言,这是最好的时代:顶尖的靶向药纳入医保,精准的检测技术普及全国,耐药后的替代方案不断涌现。哪怕身处绝境,也请不要放弃希望——尽早做基因检测,找到属于自己的“黄金靶点”,或许下一个生命奇迹,就是你!
愿每一位肿瘤患者,都能像莱昂一样,在黑暗中找到光,在绝境中迎来新生;愿精准医疗的光芒,照亮每一位抗癌患者的道路!







