1个月实现完全缓解!"神奇"抗癌药让全球首例ETV6-NTRK2融合罕见肺癌重获新生
小编 2025-12-25
NTRK基因融合阳性突变靶向药恩曲替尼胶囊(罗圣全、Entrectinib、Rozlytrek)让全球首例ETV6-NTRK2融合罕见肺癌重获新生
接受各种治疗后病情仍在疯狂进展,肿瘤全身扩散的晚期罕见肺癌患者,在接受一款“神奇”抗癌药治疗后,仅一个月左右,所有转移性肺病灶实现完全缓解,并且已持续1年以上。全新药物为世界各地的NTRK融合患者带来重生希望!
1个月实现完全缓解!"神奇"抗癌药让全球首例ETV6-NTRK2融合罕见肺癌重获新生
2023年初,家住上海的张阿姨在体检时突然发现左肺上叶有一个直径约 15 毫米的结节,为了进一步明确诊断,住院进行了详细的检查。万万没想到的是,虽然肿瘤标志物检测结果正常,但经 CT 引导下经皮肺活检,组织病理学检查显示肿瘤细胞形态相对均一,最终确诊为肺非典型类癌。听到这个诊断,张阿姨恍如五雷轰顶,想到自己才56岁,从不吸烟,也没有出现任何咳嗽的症状,不明白怎么就得了癌症?
更糟糕的是,医生告诉她这不是常见的肺癌,而是一种出现在肺部的极为罕见的神经内分泌肿瘤,并且肺类癌仅占肺原发性肿瘤的 2%,治疗选择极为有限,这也导致了预后不良。
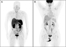
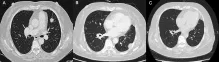
为了尽快控制病情,张阿姨接受了完全切除术,然而不幸的是,手术后不久就出现了转移,并且由于她的生长抑素受体表达极低,生长抑素类似物和肽受体放射性核素治疗等常规手段均无法应用,只能不断尝试各类化疗药物。让医生束手无策的是,在使用了包括卡铂、依托泊苷、卡培他滨、替莫唑胺、紫杉醇在内的多种化疗药物,以及依维莫司和阿特珠单抗等治疗方案后,肿瘤仍在疯狂增长,张阿姨病情持续恶化,出现无数皮下结节、左侧胸膜转移、多发性骨转移和脑转移等严重状况...
就在治疗陷入绝境时,医生决定做最后的尝试,为张阿姨进行全基因检测,结果惊喜的发现,张阿姨的基因出现了一种非常罕见的突变类型: ETV6-NTRK2 融合基因。针对这一靶点已上市的拉罗替尼和恩曲替尼数据都非常鼓舞人心,很多患者接受治疗后重返正常生活。
基于这一发现,医疗团队迅速调整策略,为张阿姨启用第一代原肌球蛋白受体激酶抑制剂恩曲替尼(600 毫克,每日一次)进行治疗。
奇迹就这样发生了,治疗仅1个月迅速起效,张阿姨所有转移性肺病灶实现完全缓解。更令人欣喜的是,从开始接受恩曲替尼治疗至今,已持续获益至少一年,目前治疗仍在顺利进行中。


总结
值得一提的是:这是全球首例携带 ETV6-NTRK2 融合基因的转移性 肺非典型类癌女性患者成功接受恩曲替尼治疗的案例,也是第二例报道 TRK 抑制剂治疗 NTRK 基因重排 肺非典型类癌患者的病例。与此前报道的携带 ETV6-NTRK3 基因融合的 肺非典型类癌 患者相比,本病例进一步丰富了 NTRK 融合在 AC 中的临床数据,为恩曲替尼在该类患者中的应用提供了更坚实的证据支持。
该病例的成功治疗,不仅为张阿姨带来了新生,更对肺非典型类癌的诊疗策略产生了深远影响。它充分凸显了分子谱分析在罕见肿瘤诊疗中的关键作用 —— 精准的基因检测是找到有效治疗方案的前提。同时,也为 NTRK 靶向药物在罕见肿瘤治疗中的应用提供了新的思路和方向,鼓励临床医生在面对复杂疑难病例时,积极开展分子检测,探索个性化治疗方案。
横跨14类癌症!泛癌种靶向药恩曲替尼已在中美上市
相信大家看完上面的案例,都想了解下这款针对特定靶点有着卓越疗效并且具有强效抗脑转效果的靶向药。
据专家介绍,恩曲替尼是一种具有中枢神经系统活性的酪氨酸激酶抑制剂(TKI),能够穿过血脑屏障,是临床上唯一一种被证明针对原发性和转移性脑疾病具有疗效的TRK抑制剂,并且没有不良的脱靶活性。
2019年,恩曲替尼正式在美国获批上市。
2022年7月29日,针对14类癌症有效的广谱抗癌药恩曲替尼胶囊(Rozlytrek,Entrectinib,RXDX-101)终于在国内获批上市,用于治疗成人及12岁以上儿童患者NTRK融合阳性、初始治疗后局部晚期或转移性实体肿瘤!中国病友迎来暨拉罗替尼后的第2款不限癌种靶向药,同时它也有了响当当的中文大名--罗圣全®。
恩曲替尼的获批数据显示:在NTRK融合阳性实体瘤患者中,entrectinib(恩曲替尼,RXDX-101)的客观缓解率ORR(肿瘤缩小)为57.4%,并且在横跨10种不同类型肿瘤中均观察到了客观缓解(肿瘤缩小)。存在脑转移的患者中,entrectinib的颅内客观缓解率ORR为54.5%,其中超过1/4实现完全缓解(病灶全部消失)。

近期更新的综合分析覆盖了14 种肿瘤类型和至少 30 种不同组织学亚型的 121 名成人患者,中位随访时间为 25.8 个月。结果不负众望,可评估患者的总客观缓解率( ORR )为 61.2%。令研究人员惊喜的是,其中19 例患者出现了完全缓解,这意味着影像学证实他们的靶病灶已完全消失!55 例部分缓解。此外,对于临床中非常棘手的脑转移,恩曲替尼也展现出了强大的入脑活性。11 名盲法独立中心审查评估的基线存在脑转移的患者,颅内病灶的客观缓解率( ORR )高达为63.6%(95% CI,30.8-89.1),中位颅内疾病控制时间为 22.1 个月,将近两年!这再次证实了entrectinib 对实体瘤及脑转移患者具有确切的疗效!值得肺癌病友们关注的是,通过对代号为ALKA‑372‑001、STARTRK‑1和STARTRK‐2的数据汇总分析显示,恩替尼在非小细胞肺癌中的客观有效率(ORR)高达70%,无进展生存期(PFS)长达14.9个月。
如何接受恩曲替尼治疗
一,药品信息
通用名:Entrectinib
获批适应症:
1.NTRK基因融合阳性的晚期复发实体瘤的成人和儿童患者。
2.ROS1阳性非小细胞肺癌成人患者。
研发公司:由生物制药公司Ignyta研发,2017年年底被罗氏耗资17亿收购。
上市时间及国家:
2019年6月18日,经PMDA批准在日本上市
2019年8月16日,经FDA批准在美国上市
2022年7月29日,经NMPA批准在中国上市
剂型:口服胶囊100/200mg
二,哪些患者可以使用
这个靶向药不仅疗效显著,还是广谱抗癌药物,对很多不同肿瘤都有效!这也这个药品这么吸引眼球的原因。
在实验中,这些患者肿瘤类型包括14种不同的肿瘤:结直肠癌,非小细胞肺癌,胰腺癌,软组织肉瘤,乳腺癌,甲状腺癌,神经系统肿瘤,妇科肿瘤,分泌型乳腺癌,胆管癌。
即使是标准治疗方案失败,也可以尝试进行基因检测,一旦存在NTRK1、NTRK2或者NTRK3基因融合,或者肺癌患者存在ROS1阳性,就可以使用这款有效率超高的“治愈系”抗癌药。
三、恩曲替尼多少钱
目前,Rozlytrek在美国的癌症治疗价格每月17050美元,几乎仅为竞争对手Vitrakvi的一半,但每年花费仍需204,560美元。此价格对于患者来说,仍堪称天价。
2022年11月初,随着恩曲替尼在全国多地药房正式上架,国内病友们关注的价格也公布了,税后为37000元/盒,规格为200mg×90粒/盒。
值得病友们振奋的是,这款药物已经纳入医保,给更多的患者带来“治愈”的机会。
四、国内的患者如何接受治疗
目前恩曲替尼已在国内多地药房出售。
除了拉罗替尼和恩曲替尼,还有多款美国及中国自主研发的NTRK抑制剂正式在国内获批开展临床试验。
以前这些美国研发上市的抗癌新药对于国内的患者来说遥不可及,近两年随着国家的重视,加快了各类抗癌药物研发上市的审批速度,让更多国外的新药好药,也能造福国内的癌症患者。并且随着国家和相关部门的重视,相信更多效果好的抗癌药都会加快在我国上市和纳入医保的步伐,让更多的百姓获益,我们共同期待!
参考文献:
https://www.clinical-lung-cancer.com/article/S1525-7304(24)00040-8/abstract







