肝癌"救命组合拳"!DC疫苗+NK细胞+PD-1抑制剂联手让肿瘤退缩、腹水消失
小编 2025-12-02
三免疫疗法DC疫苗+NK细胞+PD-1抑制剂联手治疗肝癌,帮患者肿瘤退缩、腹水消失
对于体能状态(PS)较差、肝储备功能有限的肝细胞癌(HCC)患者,目前尚无有效治疗方案,这一困境在年轻患者群体中尤为显著。不过,随着癌症免疫疗法领域的持续发展,各类创新方案不断涌现,有望逆转这一困境!其中,整合树突状细胞(DC)疫苗、自然杀伤(NK)细胞疗法与免疫检查点抑制剂(如纳武利尤单抗)的联合方案,或将成为增强抗肿瘤免疫反应的三重高效策略,核心是通过更高效调动人体免疫系统来对抗恶性肿瘤。
近期,全球知名期刊《Cureus》报道了一例上述免疫联合疗法的疗效显著案例:该疗法不仅大幅提升了抗肿瘤效果,还成功改善了患者的体能状态与肝储备功能,为这类难治性HCC患者带来了新的治疗希望。

▲截图源自“Cureus”
DC疫苗+NK细胞强强联合,构建抗癌"免疫矩阵",多重防线精准狙击癌细胞
传统化疗药物因能选择性靶向并摧毁快速增殖的癌细胞而广受认可,而近年来研究进一步发现,其疗效亦得益于增强抗癌免疫的作用。这种免疫增强效应主要通过两条途径实现:一是释放垂死肿瘤细胞中的免疫激活分子,二是间接调控其他免疫细胞功能。
其中,树突状细胞(DC)疫苗是重要的免疫治疗手段之一——通过采集患者自体DC细胞,在体外进行改造后回输,可有效促进肿瘤清除相关免疫反应。DC疫苗的核心作用在于将肿瘤特异性抗原呈递给T细胞,进而诱导靶向性免疫反应,协调针对个体癌症的适应性免疫应答;其中,Wilms肿瘤1(WT1)常被用于优化免疫谱,可能延长化疗疗效,而α-半乳糖神经酰胺(α-Galcer)则有望激活自然杀伤T(NKT)细胞功能。
自然杀伤(NK)细胞与NKT细胞则通过快速启动固有免疫反应,补充DC疫苗的作用——它们既能通过细胞毒性直接摧毁肿瘤细胞,又能精准靶向那些可能逃避DC疫苗诱导的适应性免疫反应的细胞,发挥关键互补作用。
与此同时,阻断癌细胞逃避免疫识别的免疫检查点通路,是极具前景的抗癌免疫策略,多款相关药物正处于广泛临床评估阶段。其中,纳武利尤单抗作为靶向程序性死亡受体1(PD-1)通路的免疫检查点抑制剂,可阻断癌细胞用于抑制免疫活性的负向信号,避免免疫细胞“失活”,进而增强机体抗癌能力。这种检查点阻断疗法能够恢复并强化固有免疫与适应性免疫反应,是DC疫苗与NK细胞疗法的理想补充。
免疫"三重奏"攻克难治肝癌!DC疫苗+NK细胞+纳武利尤单抗联手,晚期患者肿瘤缩小、腹水清零
该患者是一位61岁男性,既往有丙型肝炎病毒感染史,因腹胀就诊,后因腹水蓄积超3升紧急入院,最终确诊为ⅣB期(T4N1M1)肝细胞癌(HCC),伴多发淋巴结、肺及骨转移(详见下图1A、2A)。实验室检查提示患者淋巴细胞比例偏低、肝功能受损、肿瘤标志物水平升高,且肝储备功能差(Child-PughC级),药物治疗难度极高,初始给予姑息治疗。
▼患者入院时的初始冠状面CT扫描

▲图源“Cureus”,版权归原作者所有,如无意中侵犯了知识产权,请联系我们删除
考虑到患者体能状态(PS)不佳、病灶广泛,遂为其制定强化免疫联合治疗方案:次日行血细胞分离术,两周后正式启动治疗——每周1次DC疫苗(靶向WT1及α-半乳糖神经酰胺)联合纳武利尤单抗,同时每3周进行1次NK细胞联合治疗。
治疗后患者病情显著改善:前3个疗程结束,体能状态明显提升,腹胀症状有效缓解;第6个疗程结束后转至原医院复查,Child-Pugh分级已升至A级,CT扫描提示原发肿瘤及转移灶均缩小、腹水完全消失,符合实体瘤疗效评价标准(RECIST)1.1版的部分缓解(详见下图1B、2B);肿瘤标志物显著下降(维生素K缺乏诱导蛋白II恢复正常),白细胞总数及淋巴细胞比例亦恢复至正常水平。鉴于肝储备功能已显著改善,患者在完成第7个免疫联合治疗疗程后,顺利过渡至阿替利珠单抗联合贝伐珠单抗标准化疗。
综上,本例初始评估无法耐受标准治疗的晚期肝细胞癌患者,经DC疫苗+NK细胞疗法+纳武利尤单抗联合免疫治疗后,病情实现显著逆转并成功衔接标准治疗。该联合免疫疗法为肝储备功能差的晚期肝细胞癌患者(尤其相对年轻群体)提供了潜在的重要治疗选择,为传统治疗无效者带来了改善预后的新希望。
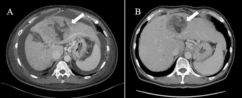
▼经联合免疫治疗后横断面CT图像(病情有所改善)

▲图源“Cureus”,版权归原作者所有,如无意中侵犯了知识产权,请联系我们删除
小编寄语
癌症作为一种高度突变且极度狡猾的疾病,目前很难仅依靠单一疗法,达到预期治疗效果。现阶段理想的抗癌治疗,是依托于权威医院和权威专家的早期规范诊断,并在传统治疗(入手术、放化疗)的基础上,根据患者自身情况、疾病特点、经济状况等,辅以免疫细胞疗法(如CAR-T、TCR-T、TIL、NK、CAR-NK细胞疗法)、癌症疫苗、靶向药物、硼中子俘获疗法、质子治疗等抗癌新药/新技术,以预防癌症复发或转移、尽可能延长生存期、提高患者的生存质量。
对现阶段治疗方案不满意的患者,可将近期影像及病理检查报告、治疗经历等,提交至医学部,详细评估病情,或申请国内外抗癌专家会诊,寻求抗癌新药/新技术的帮助。
参考资料
[1]Nagai H,et al.Combined Immune Therapy Proves Effective in an Advanced Hepatocellular Carcinoma Patient With Poor Liver Reserve: A Case Report[J]. Cureus, 2024, 16(8).
https://www.cureus.com/articles/277474-combined-immune-therapy-proves-effective-in-an-advanced-hepatocellular-carcinoma-patient-with-poor-liver-reserve-a-case-report#!/







