化疗难治宫颈癌不再坐以待毙!HPV-TILs疗法最长完全缓解22个月无复发
小编 2025-11-26
HPV-TIL细胞疗法治疗化疗难治的宫颈癌最长完全缓解22个月无复发
转移性宫颈癌是一种难以治疗且通常无法治愈的疾病,不仅属于典型的化疗难治性上皮恶性肿瘤,其一线以铂类药物为基础的化疗方案也极少能实现持久的疾病控制。因此,迫切需要寻求新的有效治疗方案。值得关注的是,近年兴起的过继性 T 细胞疗法(ACT)已为癌症治疗开辟了广阔前景。
《临床肿瘤学杂志》报道的一项研究专门针对转移性宫颈癌的治疗困境展开探索,该研究公布了一组女性患者的临床及免疫学治疗结果,其中两例患者竟奇迹般达到完全缓解!这一突破性进展为深陷治疗困境的转移性宫颈癌患者点亮了生存新希望,也为该领域免疫治疗的深入探索筑牢了坚实基础,让我们看到了攻克这种难治性癌症的曙光!

▲截图源自“ASCO”
化疗难治宫颈癌迎来新希望!HPV-TILs单次治疗助两例患者完全缓解持续15/22个月
本研究纳入9例局部晚期复发/转移性宫颈癌患者,涵盖鳞状细胞癌4例、腺癌3例、腺鳞癌2例,中位年龄为37岁(范围30-59岁),此前均接受过铂类化疗或放化疗,其中6例患者还接受过联合化疗方案。入组后先接受淋巴细胞清除化疗,再单次输注肿瘤浸润性T细胞(HPV-TILs),最后进行白介素-2(IL-2)治疗。
治疗结果十分亮眼:9例患者中3例实现客观肿瘤缓解,包括2例完全缓解(CR)、1例部分缓解(PR)。其中,部分缓解持续3个月,2例完全缓解分别持续至治疗后22个月和15个月,且均无疾病复发迹象。
值得关注的是,两例完全缓解患者的治疗经历极具代表性。
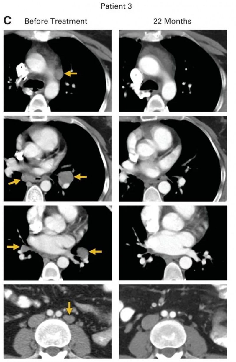
患者3是一位转移性鳞状细胞癌患者,此前接受过诱导化疗、吉西他滨联合顺铂放化疗,以及拓扑替康和紫杉醇治疗,病情仍进展并转移至腹主动脉旁、双侧肺门、隆突下和左髂淋巴结等多个部位(详见下图C,金色箭头所示)。在接受HPV-TIL治疗后,所有病灶完全消退(详见下图C),且治疗后22个月未见疾病复发。

▲图源“JCO”,版权归原作者所有,如无意中侵犯了知识产权,请联系我们删除
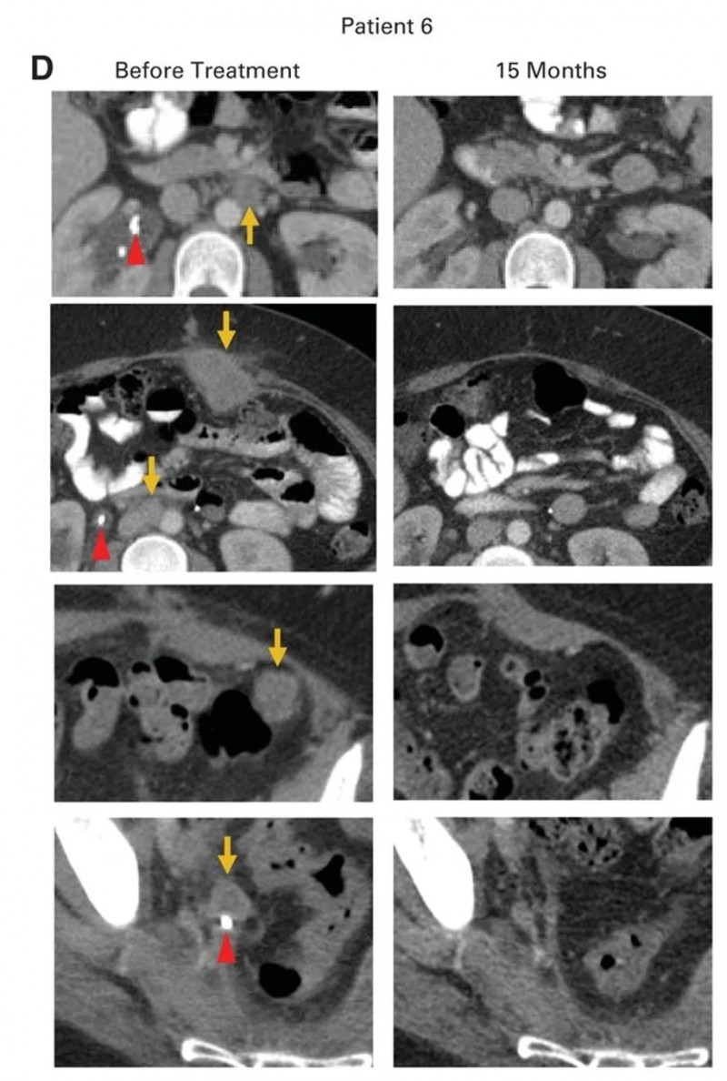
患者6是一位转移性腺癌,原发肿瘤对放化疗耐药,经挽救性手术后病情仍进展,转移病灶累及腹主动脉旁淋巴结、腹壁、主动脉腔静脉淋巴结、左侧结肠周围盆腔肿块和右侧输尿管结节等部位(详见下图D,金色箭头所示),还伴随右侧输尿管肾积水、双侧肺栓塞等并发症,需要放置输尿管支架和抗凝治疗。而在接受HPV-TIL治疗后,实现完全临床缓解(详见下图D),且治疗后15个月无复发迹象,右侧输尿管支架也在肿瘤消退后顺利取出。

▲图源“JCO”,版权归原作者所有,如无意中侵犯了知识产权,请联系我们删除
综上,本研究证实,单次输注HPV-TILs可使转移性宫颈癌实现持久且完全的肿瘤消退,且鳞状细胞癌、腺癌两种不同组织学类型的患者均能从中获益。此次研究中,鳞状细胞癌与腺癌患者经单次T细胞输注后,分别获得22个月和15个月的持续完全缓解,这一成果不仅为转移性宫颈癌的免疫治疗提供了有力依据,更对细胞疗法在宫颈癌领域的拓展应用具有重要意义,为后续研究的推进奠定了坚实基础。
小编寄语
几年前,宫颈癌术后和化疗后的临床标准做法就是被动的“观察和等待”,等着癌症复发,等着癌细胞在体内肆虐到兵强马壮的时候,我们再仓皇的应对,但通常为时已晚。
而近年来,随着医学对于预防癌症复发的重视,让我们变得更加主动,以上专门针对宫颈癌患者的维持疗法可以帮助卵巢癌患者大大延长潜在复发时间。想了解卵巢癌治疗更多抗癌新药/新技术的患者,可将治疗经历、近期病理检查结果等,提交至医学部,进行初步评估。
参考资料
[1]Stevanović S,et al.Complete regression of metastatic cervical cancer after treatment with human papillomavirus–targeted tumor-infiltrating T cells[J]. Journal of Clinical Oncology, 2015, 33(14): 1543-1550.
https://ascopubs.org/doi/10.1200/JCO.2014.58.9093?url_ver=Z39.88-2003&rfr_id=ori:rid:crossref.org&rfr_dat=cr_pub%20%200pubmed







