TIL细胞联合疗法开挂了!近5年持续缓解,刷新这款实体瘤预后天花板
小编 2025-10-11
TIL细胞疗法联合免疫治疗黑色素瘤,近5年持续缓解,刷新这种实体瘤预后天花板
过去十年,转移性黑色素瘤治疗取得长足进步。当前,该病的标准治疗已包含可增强黑色素瘤免疫应答的药物,其中基于肿瘤浸润淋巴细胞(TIL)的过继细胞疗法(ACT)疗效尤为突出。
《癌症免疫与免疫治疗》杂志报道了首例免疫检查点抑制剂联合 TIL-based ACT 的前瞻性临床试验,核心是评估ACT联合伊匹单抗(ipilimumab)治疗转移性黑色素瘤的安全性与可行性。结果显示,该联合方案不仅可行、耐受性良好,还能通过降低患者退出率、增加肿瘤内免疫浸润、增强输注淋巴细胞与TIL的相互作用来提升疗效。
这一突破不仅为转移性黑色素瘤患者带来了更安全有效的治疗新选择,更标志着免疫联合细胞疗法在实体瘤治疗领域迈出关键一步,未来有望为更多癌症患者点亮生命希望!

▲截图源自“frontiers”
TIL联合方案在转移性黑色素瘤治疗领域交出振奋答卷,从病灶全消退到近5年缓解
该研究共纳入13例IV期转移性黑色素瘤患者(包含M1a期1例、M1b期2例、M1c期10例),中位年龄为51岁(范围22-70岁)。患者入组后先接受至少两剂伊匹单抗治疗,其中12例(92%)后续接受了TIL治疗。
结果显示:输注TIL细胞后12周,5例患者(38.5%)获得客观缓解,其中4例在1年后仍维持缓解;4例部分缓解患者中80%(3例)持续缓解,持续时间分别达34个月、38个月及46个月以上。另有3例患者在12周时病情稳定,1年反应率为31%。除方案规定治疗外,所有持续缓解患者均未接受其他治疗。
生存分析显示,中位随访35个月时,中位总生存期(OS)未达到(详见下图A);中位无进展生存期(PFS)为7.3个月(95% CI 6.13–29.9个月,详见下图B)。

▲图源“frontiers”,版权归原作者所有,如无意中侵犯了知识产权,请联系我们删除
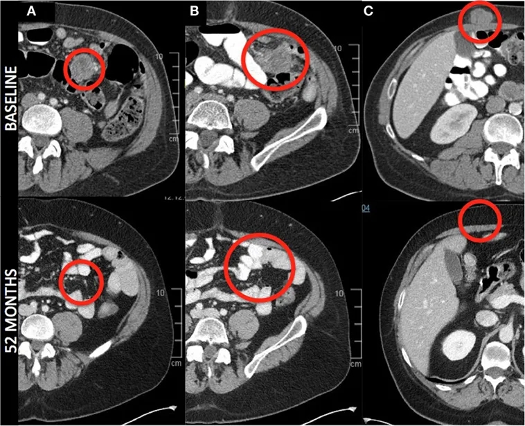
值得关注的是,1例患者在52个月时达到完全缓解(详见下图),并持续至53个月(≈4.4年),且参加试验后未接受后续治疗。下图的放射影像学轴向图像显示,该患者肠系膜(详见下图A、B)和腹壁(详见下图C)病变完全消退,肝脏、腹后壁等其他病变亦完全消退。

▲图源“frontiers”,版权归原作者所有,如无意中侵犯了知识产权,请联系我们删除
小编寄语
肿瘤浸润淋巴细胞(TIL)疗法自1988年首次应用于临床以来,已走过30余载的发展历程。相较于其他免疫细胞疗法,TIL疗法独具将患者自身肿瘤组织“变废为宝”的神奇功效,堪称实体瘤治疗领域当之无愧的抗癌黑科技。它既适用于早期癌症患者,可有效预防肿瘤的复发与转移;又能作为晚期患者的挽救性治疗手段,为癌症患者带来一线生机。
值得关注的是,TILs细胞数量会随着肿瘤的进展而逐渐减少,并且在术后接受辅助性治疗(如放疗、化疗)时,不仅癌细胞会受到杀伤,体内的免疫细胞也可能受到影响。因此,建议患者务必珍惜这或许仅有一次的宝贵抗癌机会。在术前应积极与主治医师进行沟通,尽可能地保留新鲜的肿瘤标本组织,并联系专业机构对TIL细胞进行分离和冻存,做到未雨绸缪。
想寻求TILs疗法帮助或了解TILs细胞制备或冻存更多信息的患者,可将治疗经历、近期影像学检查及病理报告等资料,提交至医学部,进行初步评估获了解详细的入排标准。
参考资料
[1]Mullinax J E,et al.Combination of ipilimumab and adoptive cell therapy with tumor-infiltrating lymphocytes for patients with metastatic melanoma[J]. Frontiers in oncology, 2018, 8: 44.
https://www.frontiersin.org/journals/oncology/articles/10.3389/fonc.2018.00044/full







