全球首个加速器BNCT疗法!90天"爆破"乳腺癌,零严重不良反应!
小编 2025-10-10
全球首个加速器硼中子俘获疗法(BNCT)治疗乳腺癌,90天爆破癌细胞,零严重不良反应
硼中子俘获疗法(BNCT)常规用于脑肿瘤与头颈部肿瘤治疗;虽已证实可用于乳腺癌,但目前仅少数病例通过基于反应堆的BNCT系统进行胸部照射。
《Cureus》报道了全球首个采用基于加速器的BNCT系统,治疗放疗后复发性乳腺癌的临床研究。该研究是AB-BNCT技术首次应用于乳腺癌治疗的重要里程碑,前三例病例初步结果显示:同侧肺平均最大受照剂量为5Gy-Eq,所有病例治疗后90天内均未发生放射性肺炎。尽管仍需长期观察,但这些结果为乳腺癌治疗提供了新方案基础,推动了胸部BNCT领域发展,也提示BNCT有望用于胸部区域肿瘤治疗。对放疗后复发的乳腺癌患者而言,这不仅是新治疗希望的曙光,更预示着BNCT在胸部肿瘤治疗领域的潜力——随着研究持续深入,未来或有更多胸部肿瘤患者能迎来更安全、精准的治疗选择!

▲截图源自“Cureus”
复发乳腺癌迎来安全方案!BNCT治疗前三例无肺转移病例,90天零严重不良反应
针对BNCT治疗前无肺转移的前三例病例,研究通过CT或MRI检查肺部,结果显示:所有病例90天内均未出现3级及以上不良反应。
病例1:是一位72岁女性,硼中子俘获疗法(BNCT)治疗前12年半因左侧乳腺癌先接受化疗,后行乳房切除术(ypT2N1M0);后续左侧胸骨旁淋巴结复发,接受激素治疗与化疗,4年前左胸壁及胸骨旁区域接受30次照射。因左侧内乳淋巴结复发接受BNCT治疗。
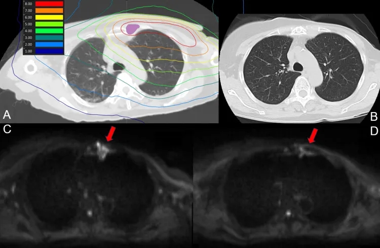
结果显示:BNCT后1天、7天MRI检查及30天、90天CT扫描,均未显示放射性肺炎迹象。下图1为肺部剂量分布及治疗后90天CT、MRI扫描。

▲图源“Cureus”,版权归原作者所有,如无意中侵犯了知识产权,请联系我们删除
注:
①图1 A:BNCT(肺部)剂量分布图。紫色代表 GTV。
②图1 B:治疗后90天的CT扫描未显示放射性肺炎的迹象。
③图1 C:治疗前弥散加权成像MRI。
④图1 D:治疗90天的MRI扫描显示,信号强度下降。
病例2:是一位61岁女性,BNCT治疗前6年半因左侧乳腺癌先接受化疗,后行乳房切除术(ypT2N1M0),左胸壁再接受30次照射。此后3年左胸复发,接受手术、28次放疗及化疗;因左胸壁再次复发接受BNCT。
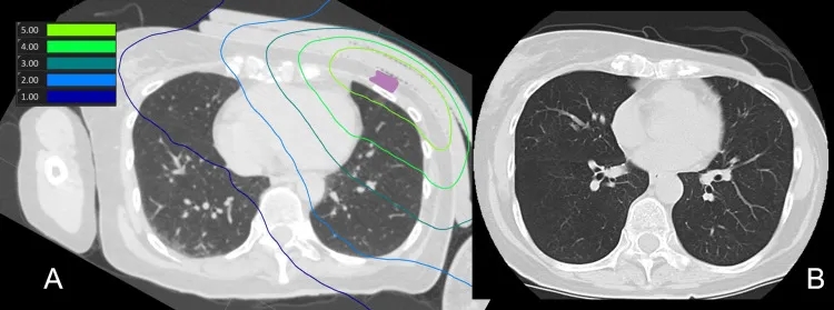
结果显示:BNCT后1天、3天、7天、30天、60天、90天CT扫描,均未显示放射性肺炎迹象,下图2为肺部剂量分布及治疗后90天CT扫描)。

▲图源“Cureus”,版权归原作者所有,如无意中侵犯了知识产权,请联系我们删除
注:
①图2 A:BNCT(肺部)剂量分布图。
②图2 B:治疗后90天CT扫描,未观察到放射性肺炎的迹象。
病例3:是一位52岁女性,BNCT治疗前10年因右侧乳腺癌先接受化疗,后行保乳手术,再接受25次共50Gy保乳放疗。3年半前局部复发,接受手术(rpT3N2M0)及化疗;后续虽再接受两次局部复发手术及激素治疗,癌症仍复发,遂接受BNCT治疗。
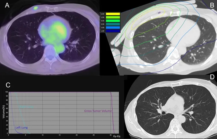
结果显示:BNCT后1天、7天、30天、60天、90天CT扫描,均未显示放射性肺炎迹象。下图3为肺部剂量分布及治疗后90天CT扫描。

▲图源“Cureus”,版权归原作者所有,如无意中侵犯了知识产权,请联系我们删除
注:
①图3 A:治疗前PET-CT。
②图3 B:BNCT(肺部)剂量分布图。
③图3 C:剂量-体积直方图。
④图3 D:治疗后90天CT扫描,显示GTV减少。
硼中子俘获疗法:30分钟"爆破"肿瘤的抗癌新星
硼中子俘获疗法(BNCT)是一种将中子束与硼药物结合的肿瘤选择性粒子放射疗法,能精准作用于细胞水平,已成为治疗难治性肿瘤的高精度、高效率方法,尤其有望用于难治性和复发性癌症的治疗。
其抗癌原理与传统放疗不同:传统放疗通过X射线或碳离子等强电离辐射束直接杀灭肿瘤细胞;而硼中子俘获疗法利用超热中子源摧毁吸收了硼药物的肿瘤细胞,因使用的光束强度低于传统放疗,能最大程度减少对健康组织的损伤。
治疗时,医生会先为患者注射硼药物,这类化合物会在癌细胞中选择性聚集;随后用紧凑型粒子加速器释放低能中子流,照射硼含量较高的肿瘤组织。此时,癌细胞内的硼-10(B-10)会与中子发生反应,产生具有强杀伤力的阿尔法粒子和锂粒子。这些粒子在人体内的作用范围与靶细胞大小相当,可精准杀死癌细胞,同时避免损伤周围正常细胞(详见下图)。
多数患者仅需照射1次,单次时长约30~50分钟,最快30分钟即可达到杀伤癌细胞的效果;部分患者可能需要照射2次,具体治疗次数及疗程需由专业医生评估确定。
小编寄语
硼中子俘获疗法作为抗癌领域冉冉升起的新星,已在日本获批上市,拥有了合法身份。好消息是,近期,日本的硼中子俘获疗法近期终于启动临床了,目前,只接受不可切除的局部晚期或局部复发的头颈癌成年患者、乳腺癌患者等。感兴趣的癌友,可将治疗经历、近期影像及病理学检查结果提交至医学部,进行初步评估或了解详细的入排标准。
参考资料
[1]Kurosaki H,et al.The Effects of Boron Neutron Capture Therapy on the Lungs in Recurrent Breast Cancer Treatment. Cureus. 2024 Apr 1;16(4):e57417.
https://pmc.ncbi.nlm.nih.gov/articles/PMC11061820/







