无进展生存率从33%飙升至67%!NK细胞联合放化疗挽救无法手术的肺鳞癌
小编 2025-10-09
肺癌无法手术怎么办?NK细胞联合放化疗治疗无法手术的肺鳞癌,患者无进展生存率从33%飙升至67%
肺癌目前仍是发病率和死亡率始终居高不下的癌种。对于无法切除的晚期非小细胞肺癌(NSCLC)患者,尽管临床已采用同步放疗(剂量达70Gy)联合铂类化疗的积极综合治疗方案,但患者的肿瘤控制率与总生存期(OS)仍未达预期,OS甚至不足2年。
不过近期前沿研究发现,自然杀伤(NK)细胞为晚期NSCLC患者带来了新的治疗希望,而《临床癌症研究》报道的一项随机II期临床试验(Eudra CT 2008-002130-30)中,振奋人心的数据进一步验证了这一方向的可行性。这不仅为NK细胞在晚期NSCLC治疗领域的应用筑牢了关键基础,更给那些对传统治疗应答有限、迫切渴望延长生存的患者点亮了新的曙光——随着后续研究的持续推进,这场针对晚期NSCLC的“攻坚战”必将迎来更多突破,让长期生存的目标离患者越来越近!

▲截图源自“AACR”
NK细胞联合放化疗让晚期肺鳞癌无进展生存率翻倍,从33%→67%,1例病灶全消
这项随机II期临床试验(Eudra CT 2008-002130-30),共纳入16例经组织学证实、无法手术的mHsp70阳性临床Ⅲa/b期鳞状细胞肺癌(非小细胞肺癌亚型)患者,均在同步放化疗(RCT)后至少处于无进展状态。入组后将患者随机分为两组:介入组(INT,8例,接受体外活化自体NK细胞+同步放化疗联合治疗)、对照组(CTRL,8例,仅接受同步放化疗治疗)。
结果显示:两组疗效差异显著:对照组(CTRL)1年无进展生存率(PFS)仅33%(95%CI:5%–68%)(详见下图);而介入组(INT,NK细胞+同步放化疗)1年PFS率则高达67%(95%CI:19%–90%),较对照组提升近一倍。

▲图源“AACR”,版权归原作者所有,如无意中侵犯了知识产权,请联系我们删除
此外,从临床应答来看,INT组(NK细胞+同步放化疗)疗效更优:随机分组后18个月的末次随访显示,该组1例患者达到完全缓解(CR)、1例达到部分缓解(PR)、2例达到疾病稳定(SD);而对照组仅2例患者出现临床应答(1例PR、1例SD)。
值得一提的是,其中两个典型案例更具突破性表现:
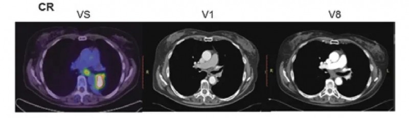
1、完全缓解(CR)病例:INT组(NK细胞+同步放化疗)1例CR患者,基线检查(VS)时,纵隔淋巴结与左肺门的靶病变清晰可见;但在同步放化疗后的首次随访(V1)、及随机分组后18个月的随访(V8)中,两处靶病变均完全消失,最终达到完全缓解(CR)。

▲图源“AACR”,版权归原作者所有,如无意中侵犯了知识产权,请联系我们删除
2、部分缓解(PR)病例:INT组(NK细胞+同步放化疗)另1例PR患者,基线检查(VS)时右肺存在较大肿瘤肿块;至V8随访时,该肿块显著缩小,仅残留少量病灶,符合部分缓解(PR)标准。

▲图源“AACR”,版权归原作者所有,如无意中侵犯了知识产权,请联系我们删除
多款肺癌新药/新技术上市在即!国内多中心启动临床
相信看了上面的数据,肺癌一定燃起了新的希望!好消息是,目前我国正在开展多项针对肺癌的临床研究,现已有大量患者通过抗癌新药招募中心,成功入组接受抗癌新药/前沿技术的治疗!
【Vx-001注射液】
1、药品名称:Vx-001注射液(mRNA癌症疫苗)。
2、临床分期:Ⅰ期。
3、治疗线数:标准治疗失败。
4、突变基因:无靶点要求。
5、适合人群:晚期实体瘤/非小细胞肺癌患者(HLA抗原检测含有HLA-A*0201型TERT表达阳性,且肿瘤浸润淋巴细胞[CD3/CD8 TILs]表达为阴性)。
【JWTCR001】
1、药品名称:JWTCR001(靶向MAGE-A4抗原的TCR-T疗法)。
2、临床分期:Ⅰ期、Ⅱ期。
3、治疗线数:标准治疗失败。
4、适合人群:经治失败的鳞状非小细胞肺癌、食管鳞癌(含胃-食管交界部鳞癌)、滑膜肉瘤、卵巢癌患者。
【JYP0322】
1、药品名称:JYP0322(ROS1抑制剂)。
2、临床分期:Ⅲ期。
3、治疗线数:标准治疗失败。
4、突变基因:ROS1。
5、适合人群:ROS1阳性局部晚期或转移性非小细胞肺癌患者。
申请流程:
想申请抗癌新药临床试验的患者,需将近期病理报告、基因检测报告等资料汇总后,提交至医学部,进行初步评估。
我们的专家将为您全面分析解读检测报告,预计一个工作日内联系推荐用药方案,并匹配适合患者入组的临床试验项目。注:作为国内权威的肿瘤患者服务平台,我们承诺对所有受试者的个人信息保密,并保证在整个过程中,遵循国家临床研究相关的法律法规。
小编寄语
NK细胞(即自然杀伤细胞)是公认的人体抗癌、抗病毒感染的第一道防线。时至今日,研究人员已针对NK细胞进行了大量研究,并肯定了其在支持整个免疫系统中的关键作用,确定了其与多种人类疾病的关联,尤其是尝试将NK细胞用作癌症的治疗,协和医院发表的研究,再次肯定的了NK细胞的重要性。
小编也希望通过这篇文章能让更多癌友,了解并认识到NK细胞这一新型抗癌疗法,为大家带来新的曙光与选择!对现有治疗方案不满意,或想寻求NK细胞疗法、古巴肺癌疫苗、CEA CAR-T、TIL疗法等抗癌新技术帮助的患者,可将近期病理检查报告、治疗经历、出院小结等,提交至医学部,进行初步评估。
参考资料
[1]Multhoff G,et al.Targeted Natural Killer Cell-Based Adoptive Immunotherapy for the Treatment of Patients with NSCLC after Radiochemotherapy: A Randomized Phase II Clinical Trial. Clin Cancer Res. 2020 Oct 15;26(20):5368-5379.
https://aacrjournals.org/clincancerres/article/26/20/5368/82812/Targeted-Natural-Killer-Cell-Based-Adoptive







