3名晚期肠癌患者肿瘤消退!《自然医学》重磅公布全新TCR-T疗法Ⅱ期研究数据
小编 2024-11-25
《自然医学》重磅公布全新TCR-T细胞疗法Ⅱ期研究数据,3名晚期肠癌患者肿瘤消退
七名转移性MMR型结直肠癌有三名出现肿瘤转移灶消退!针对患者独特的肿瘤新抗原而设计的全新TCR-T疗法公布重磅的2 期试验中期数据,首次证明了TCR-T疗法在MSS结直肠癌患者中具有临床疗效,引起巨大轰动!

根据GLOBOCAN的数据,结直肠癌是全球第三大最常见的癌症,占全世界癌症发病率和死亡率负担的三分之一,仅次于肺癌和乳腺癌。在结直肠癌的分子分型中,微卫星不稳定型(MSI-H)或错配修复缺陷(dMMR)患者的预后要好过微卫星稳定型(MSS)或错配修复功能正常(MMR),并且还有免疫检查抑制剂可以使用。
而对于多达95%微卫星稳定和错配修复功能正常的结直肠癌患者来说往往对免疫治疗的效果不佳,目前还没有获批的药物,标准的治疗方案响应率仅为1%~2%,中位预期生存期仅为6~7个月,预后极差,临床迫切需要更加有效的治疗方案。
3名晚期肠癌患者肿瘤消退!《自然医学》重磅公布全新TCR-T疗法Ⅱ期研究数据
近期,一项由全球免疫学泰斗,美国癌症研究协会Steven A. Rosenberg 教授团队领导的针对患者独特的肿瘤新抗原而设计的全新TCR-T疗法公布重磅的2 期试验中期数据研究成果发表在了国际顶级医学期刊《自然医学》上,引起巨大轰动,也为全球结直肠癌患者点亮了新的希望!

在这项试验中,共有 7 名MMR(错配修复功能正常)的结肠直肠癌患者入组,值得一提的是,这些患者都是已经接受过两种或两种以上化疗后病情有所进展的晚期难治性患者。
这些患者入组后,首先接受部分手术切除,并使用肿瘤样本来识别新抗原和新抗原反应性 T 细胞。然后将识别出的新抗原反应性 TCR 编码到逆转录病毒载体中,转导到患者的 自体外周血淋巴细胞 (PBL) 中,从而能够产生更强的抗肿瘤免疫力。
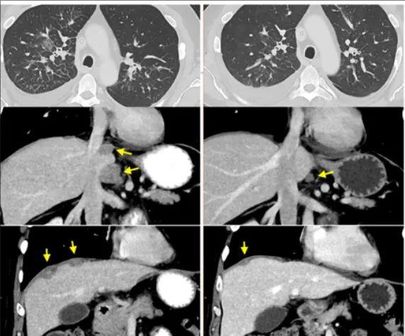
结果显示:7 名患者中有 3 名出现部分反应,包括肝脏、肺和淋巴结转移消退,缓解持续时间为 4 至 7 个月。并且总体而言,治疗耐受性良好。
患者一、转移性直肠癌,左肺术后局部复发和纵隔淋巴结消退

患者二、转移性结肠癌患者,支气管镜记录的右肺淋巴管炎受累(顶部,轴向)、腹膜后淋巴结和肝周肿瘤(中和底部,冠状方向)的消退

患者三、转移性直肠癌患者的肝转移、门管淋巴结和多个肺转移的消退

这项研究提供的早期结果表明,使用经过基因改造以表达个性化新抗原反应性 TCR 的 T 细胞进行过继性细胞治疗可以被耐受,并可介导转移性结直肠癌患者的肿瘤消退。这项试验目前仍在美国进行中,我们期待后续将公布更多卓越的临床结果。
宣战结直肠癌的终极武器!全新TCR-T免疫疗法震撼登场
人体的免疫防御机制主要依靠体内的白细胞军团,作为白细胞的一种,T细胞有着不可替代的作用,它们是人体里面的特种兵,一旦发现癌细胞,T细胞首先主动出击,杀灭敌人,因此,它也被称为“杀手T细胞”。
大部分肿瘤患者体内没有足够能识别和杀伤肿瘤细胞的T细胞,对于这些患者,医生可以采用一种称为工程T细胞受体(TCR)治疗的方法。

TCR-T技术,即T细胞受体(TCR)嵌合型T细胞技术,也叫亲和力增强的TCR”技术。TCR-T 疗法的工作原理与 CAR T 细胞疗法类似,但 TCR 疗法不使用嵌合抗原受体,而是修饰患者的 T 细胞以表达识别癌细胞上特定抗原的 T 细胞受体 (TCR)。一旦修饰后的 T 细胞被输回患者体内,它们就可以寻找并摧毁表达目标抗原的癌细胞。
| CAR-T细胞疗法 | TCR-T细胞疗法 | |
| 结构体 | – 由细胞内和细胞外结构域组成的工程受体 | – 天然或最低限度工程化的 TCR |
| 目标 | – 仅针对细胞表面抗原 | – 针对 MHC 类分子呈现的细胞表面和细胞内抗原 |
| 优点 | – 细胞靶标不受MHC复合体限制 – 血液癌症的良好治疗效果 | – 实现更多样化的靶标,因为它可以靶向细胞内抗原 – 允许与 MHC 进行高度敏感的结合相互作用实体瘤治疗中的令人鼓舞的结果 |
| 缺点 | – 对实体瘤影响不大 – 副作用如细胞因子释放综合征和神经毒性 | – 受 MHC 相容性限制 – 细胞因子释放综合征和神经毒性等副作用 |
| FDA状态 | – 批准治疗多种癌症 | – 预计上市时间(2024年8月) |
CAR-T和TCR-T疗法的区别
TCR-T疗法需要从患者身上获取T细胞,为T细胞配备新的T细胞受体,使其能够靶向特定的癌症抗原的疗法,这种新型的疗法可以允许医生为每个患者的肿瘤和不同类型的T细胞选择最合适的靶点进行工程改造,使治疗个体化,并为患者提供更大的缓解希望。
国研TCR-T疗法崛起,多家癌症中心启动招募
目前,TCR-T 细胞免疫疗法已在部分实体肿瘤的治疗中取得了较好的疗效,特别是对肝癌、宫颈癌、黑素瘤、滑膜细胞肉瘤的临床数据都显示出了强大的抗癌活性。相信这一疗法未来将在各类实体肿瘤中开花结果。
好消息是,一项I期,首次在人体进行的旨在评估靶向KRAS G12V的新型TCR-T在中国晚期胰腺癌及结直肠癌且HLA分型含有HLA-A*02:01亚型和PRAME阳性的成年患者的临床研究已获得批准正式开展人体临床试验。已经有大量晚期患者成功入组并接受治疗。我们希望有更多的病友知道这个好消息,有更多的病友能够获益于这些新型的抗癌疗法,战胜癌症!
临床招募
●目前,国内多家癌症中心启动TCR-T细胞疗法临床实验,针对多种晚期实体瘤进行临床招募。
●年龄在18岁至75周岁,晚期复发的经病理学或组织学证实的胰腺癌及结直肠癌;
●经研究者判断无可适用的治疗方案,或无法耐受目前可用的治疗方案;
●经HLA-A分型确认含有HLA-A*02:01亚型且肿瘤PRAME 表达经IHC检测阳性;
●经HLA分型确认含有HLA-A*11:01亚型且肿瘤KRAS G12V阳性;
●依照RECIST 1.1标准,至少有一个可以进行影像学测量评估的肿瘤病灶。
想寻求TCR-T及其他国内外新抗癌治疗帮助,且经济条件允许的情况下,可以先将病历提交至医学部进行初步评估,一旦审核通过,有机会获得”天价“疗法免费治疗的机会。
目前,三大类基于T细胞的免疫疗法已问世,唤醒体内的T细胞大军,一举歼灭肿瘤,将逐步成为现实,将给癌症病友带来更多的治疗选择,好消息是,目前这三类免疫疗法已经登陆中国正式开展临床实验,已经有大量病友通过全球肿瘤医生网医学部成功申请。
同时需要提醒病友,肿瘤的治疗一定是依托于权威医院及权威专家的正规治疗,在采取常规治疗手段(手术、放疗、化疗)治疗后,根据自身的经济情况,辅助免疫治疗技术等综合疗法,达到巩固治疗,预防复发,提高生活治疗,延长生存期的目的,最终取得抗癌成功。如果大家想全面了解自身的免疫状态或相关的免疫疗法,请致电医学部或加入免疫治疗医患交流群。







