四大肺癌细胞免疫疗法引领肺癌治疗新纪元
小编 2024-05-08
四大肺癌细胞免疫疗法引领肺癌治疗新纪元
肺癌新曙光:还有这些免疫疗法可选
PD-1耐药的转移性肺癌患者,经TIL治疗后获得完全缓解
一项关于“TIL细胞治疗PD-1耐药的转移性肺癌”的I期临床研究,在13例可评估疗效的患者中,经TIL细胞治疗后,结果显示:有11例患者(84.6%)显示肿瘤负荷减少,3例确认有反应;其中2例患者更是在治疗1.5年后,获得完全缓解(CR)。下图显示自TIL输注之日起,全部患者(n=16)的总生存期。

▲图源“PMC”网站,版权归原作者所有,如无意中侵犯了知识产权,请联系我们删除
其中9号患者是一位既往有吸烟史的肺腺癌患者,她对纳武单抗有部分反应,随后出现转移性淋巴结肿大、肋骨软组织转移等表现。入组接受TIL治疗后,获得完全缓解(CR),而且影像学检查(冠状对比增强CT)显示,目标病变持续消失(见下图)。该患者输注的TIL细胞中含有体细胞突变的T克隆型、黑色素瘤相关基因(MAGE),这些抗体在她的肿瘤中异常表达。

▲图源“PMC”网站,版权归作者所有,如无意中侵犯了知识产权,请联系我们删除
晚期非小细胞肺癌CCCR-NK92治疗后,肿瘤显著缩小
全球著名期刊《细胞移植(Cell Transplantation)》,报道了一个“CCCR-NK92细胞治疗晚期非小细胞肺癌(NSCLC)”的病例分析。
一位69岁存在Exon-19 19-del突变、T790突变的非小细胞肺癌(NSCLC)女性患者,已发生颅内转移,既往接受过奥西替尼、吉非替尼、靶向治疗及头部放射治疗。因其担心化疗副作用而拒绝化疗,此时临床已经无其他更适合她的治疗方案。万般无奈下,她参加了“CCCR-NK92的Ⅱ期临床试验(NCT03656705)”。
幸运的是,该患者在入组经过3个周期的CCCR-NK92细胞治疗后,影像学(CT)评估显示,CCCR-NK92细胞起到了一定的抗肿瘤效果,具体结果如下:
1、患者气管前-后腔静脉间质区的淋巴结,从11.3毫米(mm),缩小至8.55mm(详见下图)。

▲图源“Sage Journals”,版权归原作者所有,如无意中侵犯了知识产权,请联系我们删除
2、患者左肺包裹的胸腔积液,从46.22mm,减少至33.59mm(详见下图)。

▲图源“Sage Journals”,版权归原作者所有,如无意中侵犯了知识产权,请联系我们删除
WT1-DC疫苗治疗肺癌全身转移患者,病灶显著缩小
WT1树突状细胞疫苗(WT1-DC),是一款用于血液肿瘤及实体瘤治疗的“定制版”树突状疫苗,是依据HLA(人类白细胞抗原)检测结果,将适合患者自身的“个体化”WT1肽(一款在多款肿瘤中高表达的抗原),掺入培养中的树突状细胞,制备而成的一款疫苗。
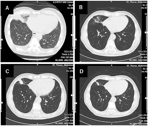
知名医学杂志《Cureus》报道了一个“WT1-DC治疗全身转移的肺癌”的案例分析,该患者为1例69岁男性,患右肺中叶IV期鳞状细胞癌,且已出现双侧肾上腺转移、多发性肝及骨转移症状,目前已无法耐受手术、放疗等传统治疗手段。万念俱灰下,他入组接受了“WT1-DC联合(卡铂AUC6+紫杉醇)化疗”,结果显示如下:
1、胸部CT:患者在刚诊断时的胸部CT示,右下肺原发性肺癌,伴左右胸腔积液;治疗第114天,肺部原发病灶几乎消失;但此后原发病灶有一定的复发倾向(治疗第213天);不过值得欣慰的是,在治疗第338天复查显示,原发性及复发性病灶缩小(详见下图)。

▲图源“Cureus”,版权归原作者所有,如无意中侵犯了知识产权,请联系我们删除
注:图A、B、C、D分别代表诊断时、治疗第114天、治疗第213天、治疗第338天的CT图像。
2、癌胚抗原(CEA):在联合多西他赛+雷莫芦单抗后,CEA降至5.9。
3、其他实验室检查结果:在治疗第254~577天,淋巴细胞百分比保持相对有利,平均值为21.0%;N/L(中性粒细胞对淋巴细胞比率)始终保持在低水平,平均值为3.27。
想寻求DC疫苗或其他癌症疫苗帮助的患者,可将完整病理报告、治疗经历、出院小结等资料,提交至医学部,进行初步评估。
新型NK疗法-SNK01:晚期非小细胞肺癌2年总生存率提高41.6%
SNK01是一种离体扩增的自体NK细胞疗法,2022年世界肺癌大会上公布了“SNK01联合派姆单抗(Pembrolizuma)治疗非小细胞肺癌(NSCLC)”的长达2年的临床研究数据!
该研究共入组20例一线铂类药物治疗失败(PD-L1肿瘤比例评分≥1%)的NSCLC患者(男13例,女7例),入组后将这些患者随机分成三组,即派姆单抗单药治疗组(n=6)、SNK01+派姆单抗高剂量组(4×109个细胞)、SNK01+派姆单抗低剂量组(2×109个细胞)。结果显示如下:
1、总生存期(OS):2年OS为16.7%(派姆单抗单药组) vs 58.3%(联合治疗组)。显然,与派姆单抗单药治疗组相比,SNK01联合治疗组的生存率整整提高了41.6%(详见图1a)!
图1a 单药治疗组vs联合治疗组OS对比图

▲图源“WILEY online Library”,版权归原作者所有,如无意中侵犯了知识产权,请联系我们删除
2、无进展生存期(PFS):与派姆单抗单药治疗组相比,SNK01联合派姆单抗治疗组的中位PFS显然更长(详见图2a)。此外,在联合治疗组中,2年PFS率为16.7%(低剂量SNK01组) vs 33.3%(高剂量SNK01组)(详见图2b)。

▲图源“WILEY online Library”,版权归原作者所有,如无意中侵犯了知识产权,请联系我们删除
小编寄语
肺癌的发病率较高、治疗难度较大,尤其是晚期肺癌的整体预后并不理想,后续缺乏行之有效的治疗手段。不过值得欣慰的是,近年来随着多种靶向药及免疫疗法(如NK、CAR-NK、TIL、癌症疫苗等)的相继出现,为肺癌患者带来了新的曙光!
如果您对目前的治疗方案存疑,或想寻求TILs、NK、CAR-NK、癌症疫苗等国内外抗癌新技术的帮助,可联系医学部,初步评估病情,或申请国内外抗癌专家会诊。







