WT1树突细胞疫苗治疗晚期肺鳞癌无进展生存期超577天
小编 2024-03-26
WT1树突细胞疫苗治疗晚期肺鳞癌无进展生存期超577天
无进展生存期超577天!WT1树突状细胞疫苗疗法给晚期肺鳞癌带来新生!
IV期肺鳞癌预后较差,5年生存率低于5%,IV期不建议进行手术和放疗,仅进行化疗,然而二线多西紫杉醇和雷莫芦单抗联合治疗的效果并不令人满意,无进展生存期为4.5个月,总生存期为10.5个月。因此,各国的研究人员纷纷将目光投向细胞免疫领域,希望寻求突破。
WT1是一种常见的癌症抗原,在癌症中广泛表达,据报道WT1在鳞状细胞肺癌中的表达率超过90%。美国国家癌症研究所报道,WT1在癌症中的表达比例、免疫原性和临床疗效方面都。因此,WT1在日本临床上常用作树突状细胞疫苗治疗的通用抗原。
据报道,WT1-DC可以减小肿瘤大小、降低肿瘤标志物并延长总生存期。癌症免疫疗法,包括免疫检查点抑制剂,已被证明不仅可以提高缓解率,还可以提高长期生存率,即生存曲线中的长尾效应。
著名国际医学期刊《Cureus》发布了一例采用WT1树突状细胞疫苗疗法联合二线化疗,治疗终末期鳞状细胞肺癌患者的案例报道。
该例患者为69岁男性,被诊断为IV期右肺中叶鳞状细胞癌,伴有双侧肾上腺转移、多发肝转移、多发骨转移,根据指南,无法进行手术和放疗,因此采取卡铂(CBDCA)AUC6和紫杉醇(PTX)治疗联合WT1-DC(WT1树突状细胞疫苗)。WT1树突状细胞疫苗治疗从第155天开始,直到第280天共注射8剂。结果显示如下:
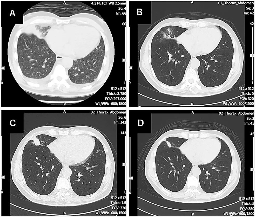
1.与治疗开始时(第0天)的胸部CT相比,第114天的胸部CT观察到癌症明显缩小(图1)。

图1 胸部CT图象对比
A:诊断时的CT图像。可见左右胸腔积液,以及原发性右下肺癌。B:第114天的CT图像。原发病灶几乎消失。C:第213天的CT图像。显示原发病变复发。D:第338天的CT图像。原发复发病灶已缩小。
2. 诊断时癌胚抗原(CEA)为66.4,但在第121天降至3.0,C反应蛋白(CRP)降低,N/L比(中性粒细胞对淋巴细胞比率)降低。
3.诊断时PET-CT显示除右下肺原发肿瘤外,还显示双侧多发肺内转移、多发肝转移、双侧肾上腺转移和多发骨转移(图A)。第 479 天的全身 PET-CT,显示右肺有两个小转移灶,肝脏有一个小转移灶(图B)。

图1 全身PET-CT对比
答:诊断时PET-CT显示除右下肺原发肿瘤外,还显示双侧多发肺内转移、多发肝转移、双侧肾上腺转移和多发骨转移。B:第 479 天的全身 PET-CT,显示右肺有两个小转移灶,肝脏有一个小转移灶。
4.截至数据统计时,该患者无进展生存期(PFS)已超577天,而且临床状况良好,体能状态为1。
在该病例中,患者确诊后接受CBDCA和PTX治疗,肿瘤缩小,CEA下降。但白细胞计数较高,中性粒细胞百分比较高,淋巴细胞百分比较低,N/L比值仍较高。尽管肿瘤缩小且 CEA 降低,但这种不良免疫特征状态的持续存在代表着预后不良。在该病例中,经过一线化疗缩小的癌症在完成四个疗程后恢复生长,同时CEA也迅速增加。因此,即使化疗成功,如果免疫特征状态不好,复发的可能性很高,应考虑继续化疗或联合治疗以改善免疫状况。
这次研究证实,WT1-DC与分子靶向药物联合能够预防癌症复发,改善长期预后。这种免疫细胞疗法与分子靶向药物的联合治疗可能是提高常规化疗疗效的新治疗方法。
如何寻求树突状细胞疫苗治疗>>
目前,癌症疫苗中疗效及预防复发效果较为突出的当属树突状细胞疫苗及个性化新抗原疫苗等,在德国、日本也有树突状细胞疫苗用于临床辅助治疗多种癌症,如肺癌、肝癌、肾癌、乳腺癌、皮肤癌等,这是癌症患者治疗的新希望。
想寻求国内外治疗新技术帮助的患者,在经济条件允许的情况下,可以先将病理报告、治疗经历及出院小结等资料提交至医学部进行初步评估。







