治疗34个月肿瘤仍可持续缩小!靶向耐药患者也能获益,肺癌难治突变迎来新药!
小编 2023-09-26
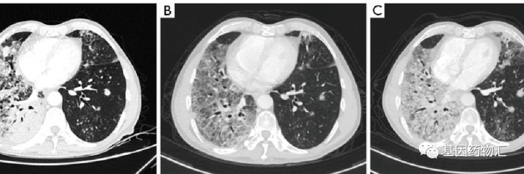
EGFR20ins突变靶向药治疗肺癌难治突变34个月肿瘤扔可持续缩小,靶向治疗耐药的患者也能获益
晚期非小细胞肺癌患者,不仅检测到了难治的基因突变,还先后对化疗和已经上市的靶向药物耐药了……幸好遇到了这款新药,在治疗34个月后的现在,E先生的肿瘤仍在持续缩小!
治疗已逾34个月,肿瘤仍可持续缩小!耐药患者也能获益
58岁的E先生,在治疗一次发热的过程中发现自己患上了肺癌。通过活检与基因检测,E先生被确诊为EGFR外显子20插入(ex20ins)突变的Ⅳ期肺腺癌。
与其它的EGFR突变不同,ex20ins是一种比较难以治疗的突变亚型,患者使用各类常用EGFR抑制剂的疗效都不理想。因此,E先生首先接受了卡铂+培美曲塞的一线化疗。
但很遗憾,疗效并不算理想,E先生体内的肿瘤病灶有增大的趋势。这个时候,E先生从医生那里得知,目前临床上有一些适合自己这样情况的患者的临床试验项目,可以免费使用新的靶向治疗药物。于是,E先生申请加入了TAK-788(莫博赛替尼)的临床试验。
在接受莫博赛替尼治疗的最初5个月里,E先生自我感觉变化很大,呼吸越来越轻松,病灶也缩小了。但在治疗到9个月之后,CT检查发现E先生的双侧肺出现了新的转移病灶,病情再次进展。
此时,E先生的基因检测报告仍然显示EGFR ex20ins突变,但没有太好的新药可选。于是,E先生尝试了免疫治疗:白蛋白紫杉醇+派姆单抗+贝伐珠单抗。组合疗法的疗效持续了大约10个月。
自从在上一次的临床试验中获益之后,E先生对新药有了更多的信心与期盼,于是这一次,于是他又尝试了一款Trop-2靶点ADC(抗体-偶联药物)的临床试验,遗憾的是用药期间肿瘤进展很快,只能退出了试验。
E先生重新接受了活检,发现仍然携带EGFR ex20ins突变。此时,E先生又做出了一个非常大胆的决定——他决定接受第三代EGFR抑制剂伏美替尼的治疗。
尽管同为第三代EGFR抑制剂,但伏美替尼有着很多EGFR抑制剂(例如奥希替尼)所没有的优势:对于EGFR ex20ins亚型的治疗效果比较好。最新的报告当中,对于经治患者,240 mg与160 mg剂量伏美替尼治疗的整体缓解率分别可以达到46.2%和38.5%。
果然,E先生再次找到了属于自己的幸运。截至案例发布时,E先生仍然在持续治疗当中,病灶在缩小,无进展生存期超过了9个月,且期间没有出现任何的并发症或不良反应。
尽管携带了一种很难治疗的基因突变,E先生的勇敢尝试以及稍许幸运,仍然让他在治疗34个月后肿瘤持续缩小着。

国研第三代靶向药伏美替尼,部分适应症疗效超越奥希替尼
在长达34个月(以上)的治疗过程中,E先生一共使用了两款EGFR抑制剂,莫博赛替尼(TAK-788)和伏美替尼。
其中,莫博赛替尼获批时的适应症便是EGFR ex20ins突变非小细胞肺癌,而伏美替尼则是一款非常经典、受医生推荐很多的国产第三代EGFR抑制剂。从结构上来说,这两款都是在奥希替尼的基础上通过结构改造而获得更特殊的疗效的药物;而从疗效方面来看,这两款药物对于EGFR ex20ins这种难治突变亚型,都有非常不错的治疗潜力。
莫博替尼
使用莫博赛替尼(Mobocertinib,TAK-788)治疗已经接受过铂类化疗且疾病进展的EGFR ex20ins突变非小细胞肺癌患者,整体缓解率为28%,中位缓解持续时间17.5个月,中位无进展生存期为7.3个月,中位总生存期24.0个月。
伏美替尼
根据2023年世界肺癌大会(WCLC)上分享的Ⅰb期FAVOUR试验(NCT04858958)的报告,在初治患者当中,接受伏美替尼(Furmonertinib)240 mg QD治疗的患者整体缓解率高达78.6%,初步的中位缓解持续时间达到15.2个月;此外用于已经接受过前线治疗的经治患者,伏美替尼在240 mg和160 mg剂量组中的整体缓解率也分别达到了46.2%和38.5%。
除了这两款药物和已经获批的埃万妥单抗(JNJ-6372)以外,针对EGFR ex20ins这个亚型,还有多款新药已经展现出了卓越的潜力。
PLB1004
根据PLB1004目前已经公布的数据,在治疗剂量≥160mg QD组中,患者的整体缓解率为57.7%,疾病控制率更是达到了100%;其中脑转移患者接受治疗的整体缓解率仍然达到了37.5%。
CLN-081
Zipalertinib(CLN-081,TAS6417)治疗EGFR ex20ins突变非小细胞肺癌,在所有剂量组中,患者的整体缓解率为38.4%,疾病控制率为95.9%。100毫克剂量组患者整体缓解率最高,为41.0%。患者的中位无进展生存期为10个月;其中100毫克剂量组最长,为12个月。
舒沃替尼
根据2023年ASCO大会上公布的Ⅱ期WU-KONG6试验数据,用于治疗经治的EGFR ex20ins突变非小细胞肺癌,舒沃替尼在300 mg剂量组中的整体缓解率高达60.8%,疾病控制率为87.6%。
根据报告,接受舒沃替尼治疗的患者,90%实现了肿瘤缩小;其中更是有部分患者已经接受过了埃万妥单抗(JNJ-6372,一款EGFR/MET双抗,已经获批用于治疗EGFR ex20ins突变的经治晚期非小细胞肺癌)治疗,再使用舒沃替尼同样有缓解的案例。
用药贵、用药难?临床试验给患者一个免费用新药的机会
E先生是幸运的,但他的幸运是靠自己争取得到的。在治疗的过程当中,E先生曾两次参与临床试验,并且尝试了尚未在EGFR ex20ins适应症上正式获批的伏美替尼,这才得到了34个月的出色疗效。
相信大家都已经明白了临床试验的重要性。事实上,针对EGFR ex20ins突变的非小细胞肺癌,目前在中国有很多正在进行临床试验、广泛招募患者的项目。像我们在上文中提到的这些新药,大家都可以尝试申请。
全球肿瘤医生网医学部已经帮助很多患者成功地申请了新药临床项目。希望寻求全新治疗方案的病友,可以将病历资料提交至全球肿瘤医生网医学部进行评估,或点击在线咨询,获取全球新药信息及临床试验详细招募条件,在线提交病历资料进行申请。
每一粒新药都是一份希望,愿所有病友都能找到适合自己的治疗方案!
申请条件
●能够配合接受临床试验;
●晚期非小细胞肺癌;
●携带EGFR外显子20插入(ex20ins)突变;
●点击在线咨询或电话联系医学部提交病历资料进行申请。







